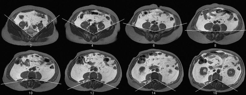
Figure 10

Illustration of the pelvis model: every second slice is shown. The white lines represent the mean pelvis model. The region affected anterior to the pelvis model, and inside the SAT, is given slightly brighter pixel values. SAT, subcutaneous adipose tissue.