Abstract
Objective:
To investigate the potential of inflammation to induce new adipose tissue formation in the in vivo environment.
Methods and results:
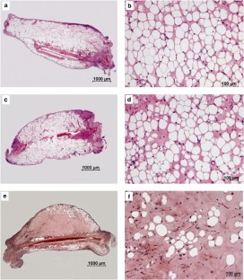
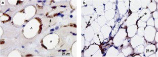
Using an established model of in vivo adipogenesis, a silicone chamber containing a Matrigel and fibroblast growth factor 2 (1 μg/ml) matrix was implanted into each groin of an adult male C57Bl6 mouse and vascularized with the inferior epigastric vessels. Sterile inflammation was induced in one of the two chambers by suspending Zymosan-A (ZA) (200–0.02 μg/ml) in the matrix at implantation. Adipose tissue formation was assessed at 6, 8, 12 and 24 weeks. ZA induced significant adipogenesis in an inverse dose-dependent manner (P<0.001). At 6 weeks adipose tissue formation was greatest with the lowest concentrations of ZA and least with the highest. Adipogenesis occurred both locally in the chamber containing ZA and in the ZA-free chamber in the contralateral groin of the same animal. ZA induced a systemic inflammatory response characterized by elevated serum tumour necrosis factor-α levels at early time points. Aminoguanidine (40 μg/ml) inhibited the adipogenic response to ZA-induced inflammation. Adipose tissue formed in response to ZA remained stable for 24 weeks, even when exposed to the normal tissue environment.
Conclusions:
These results demonstrate that inflammation can drive neo-adipogenesis in vivo. This suggests the existence of a positive feedback mechanism in obesity, whereby the state of chronic, low-grade inflammation, characteristic of the condition, may promote further adipogenesis. The mobilization and recruitment of a circulating population of adipose precursor cells is likely to be implicated in this mechanism.
This is a preview of subscription content, access via your institution
Access options
Subscribe to this journal
Receive 12 print issues and online access
$259.00 per year
only $21.58 per issue
Buy this article
- Purchase on SpringerLink
- Instant access to the full article PDF.
USD 39.95
Prices may be subject to local taxes which are calculated during checkout







Similar content being viewed by others
References
Vozarova B, Weyer C, Hanson K, Tataranni PA, Bogardus C, Pratley RE . Circulating interleukin-6 in relation to adiposity, insulin action, and insulin secretion. Obes Res 2001; 9: 414–417.
Yudkin JS, Stehouwer CD, Emeis JJ, Coppack SW . C-reactive protein in healthy subjects: associations with obesity, insulin resistance, and endothelial dysfunction: a potential role for cytokines originating from adipose tissue? Arterioscler Thromb Vasc Biol 1999; 19: 972–978.
Katsuki A, Sumida Y, Murashima S, Murata K, Takarada Y, Ito K et al. Serum levels of tumor necrosis factor-alpha are increased in obese patients with noninsulin-dependent diabetes mellitus. J Clin Endocrinol Metab 1998; 83: 859–862.
Desai MY, Dalal D, Santos RD, Carvalho JA, Nasir K, Blumenthal RS . Association of body mass index, metabolic syndrome, and leukocyte count. Am J Cardiol 2006; 97: 835–838.
Nanji AA, Freeman JB . Relationship between body weight and total leukocyte count in morbid obesity. Am J Clin Pathol 1985; 84: 346–347.
Fain JN, Madan AK, Hiler ML, Cheema P, Bahouth SW . Comparison of the release of adipokines by adipose tissue, adipose tissue matrix, and adipocytes from visceral and subcutaneous abdominal adipose tissues of obese humans. Endocrinology 2004; 145: 2273–2282.
Weisberg SP, McCann D, Desai M, Rosenbaum M, Leibel RL, Ferrante Jr AW . Obesity is associated with macrophage accumulation in adipose tissue. J Clin Invest 2003; 112: 1796–1808.
Das UN . Is obesity an inflammatory condition? Nutrition 2001; 17: 953–966.
Engstrom G, Hedblad B, Stavenow L, Lind P, Janzon L, Lindgarde F . Inflammation-sensitive plasma proteins are associated with future weight gain. Diabetes 2003; 52: 2097–2101.
Vassaux G, Negrel R, Ailhaud G, Gaillard D . Proliferation and differentiation of rat adipose precursor cells in chemically defined medium: differential action of anti-adipogenic agents. J Cell Physiol 1994; 161: 249–256.
Gustafson B, Smith U . Cytokines promote WNT signaling and inflammation and impair the normal differentiation and lipid accumulation in 3T3-L1 preadipocytes. J Biol Chem 2006; 281: 9507–9516.
Ohsumi J, Sakakibara S, Yamaguchi J, Miyadai K, Yoshioka S, Fujiwara T et al. Troglitazone prevents the inhibitory effects of inflammatory cytokines on insulin-induced adipocyte differentiation in 3T3-L1 cells. Endocrinology 1994; 135: 2279–2282.
Prins JB, Niesler CU, Winterford CM, Bright NA, Siddle K, O'Rahilly S et al. Tumor necrosis factor-alpha induces apoptosis of human adipose cells. Diabetes 1997; 46: 1939–1944.
Petruschke T, Hauner H . Tumor necrosis factor-alpha prevents the differentiation of human adipocyte precursor cells and causes delipidation of newly developed fat cells. J Clin Endocrinol Metab 1993; 76: 742–747.
Mattacks CA, Sadler D, Pond CM . The cellular structure and lipid/protein composition of adipose tissue surrounding chronically stimulated lymph nodes in rats. J Anat 2003; 202: 551–561.
Kawaguchi N, Toriyama K, Nicodemou-Lena E, Inou K, Torii S, Kitagawa Y . De novo adipogenesis in mice at the site of injection of basement membrane and basic fibroblast growth factor. Proc Natl Acad Sci USA 1998; 95: 1062–1066.
Kelly JL, Findlay MW, Knight KR, Penington A, Thompson EW, Messina A et al. Contact with existing adipose tissue is inductive for adipogenesis in matrigel. Tissue Eng 2006; 12: 2041–2047.
Di Carlo FJ, Fiore JV . On the composition of zymosan. Science 1958; 127: 756–757.
Underhill DM, Ozinsky A, Hajjar AM, Stevens A, Wilson CB, Bassetti M et al. The Toll-like receptor 2 is recruited to macrophage phagosomes and discriminates between pathogens. Nature 1999; 401: 811–815.
Kurt-Jones EA, Mandell L, Whitney C, Padgett A, Gosselin K, Newburger PE et al. Role of toll-like receptor 2 (TLR2) in neutrophil activation: GM-CSF enhances TLR2 expression and TLR2-mediated interleukin 8 responses in neutrophils. Blood 2002; 100: 1860–1868.
Underhill DM . Macrophage recognition of zymosan particles. J Endotoxin Res 2003; 9: 176–180.
Herre J, Marshall AS, Caron E, Edwards AD, Williams DL, Schweighoffer E et al. Dectin-1 uses novel mechanisms for yeast phagocytosis in macrophages. Blood 2004; 104: 4038–4045.
Le Cabec V, Carreno S, Moisand A, Bordier C, Maridonneau-Parini I . Complement receptor 3 (CD11b/CD18) mediates type I and type II phagocytosis during nonopsonic and opsonic phagocytosis, respectively. J Immunol 2002; 169: 2003–2009.
Bezerra MM, Brain SD, Greenacre S, Jeronimo SM, de Melo LB, Keeble J et al. Reactive nitrogen species scavenging, rather than nitric oxide inhibition, protects from articular cartilage damage in rat zymosan-induced arthritis. Br J Pharmacol 2004; 141: 172–182.
da SRJC, Peixoto ME, Jancar S, de QCF, de ARR, da Rocha FA . Dual effect of nitric oxide in articular inflammatory pain in zymosan-induced arthritis in rats. Br J Pharmacol 2002; 136: 588–596.
Tanriverdi P, Yuksel BC, Rasa K, Guler G, Iskit AB, Guc MO et al. The effects of selective nitric oxide synthase blocker on survival, mesenteric blood flow and multiple organ failure induced by zymosan. J Surg Res 2005; 124: 67–73.
Cassell OC, Morrison WA, Messina A, Penington AJ, Thompson EW, Stevens GW et al. The influence of extracellular matrix on the generation of vascularized, engineered, transplantable tissue. Ann NY Acad Sci 2001; 944: 429–442.
Cinti S, Cigolini M, Morroni M, Zingaretti MC . S-100 protein in white preadipocytes: an immunoelectronmicroscopic study. Anat Rec 1989; 224: 466–472.
Takeshita K, Sakai K, Bacon KB, Gantner F . Critical role of histamine H4 receptor in leukotriene B4 production and mast cell-dependent neutrophil recruitment induced by zymosan in vivo. J Pharmacol Exp Ther 2003; 307: 1072–1078.
de Hooge AS, van de Loo FA, Koenders MI, Bennink MB, Arntz OJ, Kolbe T et al. Local activation of STAT-1 and STAT-3 in the inflamed synovium during zymosan-induced arthritis: exacerbation of joint inflammation in STAT-1 gene-knockout mice. Arthritis Rheum 2004; 50: 2014–2023.
Nathan C . Points of control in inflammation. Nature 2002; 420: 846–852.
de Hooge AS, van De Loo FA, Arntz OJ, van Den Berg WB . Involvement of IL-6, apart from its role in immunity, in mediating a chronic response during experimental arthritis. Am J Pathol 2000; 157: 2081–2091.
Inoue K, Takano H, Yanagisawa R, Sakurai M, Shimada A, Morita T et al. Role of interleukin-6 in toll-like receptor 4 and 2 expressions induced by lipopolysaccharide in the lung. Immunopharmacol Immunotoxicol 2007; 29: 63–68.
Zhang X, Kimura Y, Fang C, Zhou L, Sfyroera G, Lambris JD et al. Regulation of Toll-like receptor-mediated inflammatory response by complement in vivo. Blood 2007; 110: 228–236.
Creely SJ, McTernan PG, Kusminski CM, Fisher FM, Khanolkar M, Evans M et al. Lipopolysaccharide activates an innate immune system response in human adipose tissue in obesity and type 2 diabetes. Am J Physiol Endocrinol Metab 2007; 292: E740–E747.
Lin Y, Lee H, Berg AH, Lisanti MP, Shapiro L, Scherer PE . The lipopolysaccharide-activated toll-like receptor (TLR)-4 induces synthesis of the closely related receptor TLR-2 in adipocytes. J Biol Chem 2000; 275: 24255–24263.
Chung S, Lapoint K, Martinez K, Kennedy A, Boysen Sandberg M, McIntosh MK . Preadipocytes mediate lipopolysaccharide-induced inflammation and insulin resistance in primary cultures of newly differentiated human adipocytes. Endocrinology 2006; 147: 5340–5351.
Zvaifler NJ, Marinova-Mutafchieva L, Adams G, Edwards CJ, Moss J, Burger JA et al. Mesenchymal precursor cells in the blood of normal individuals. Arthritis Res 2000; 2: 477–488.
Caplice NM, Bunch TJ, Stalboerger PG, Wang S, Simper D, Miller DV et al. Smooth muscle cells in human coronary atherosclerosis can originate from cells administered at marrow transplantation. Proc Natl Acad Sci USA 2003; 100: 4754–4759.
Han CI, Campbell GR, Campbell JH . Circulating bone marrow cells can contribute to neointimal formation. J Vasc Res 2001; 38: 113–119.
Shirley D, Marsh D, Jordan G, McQuaid S, Li G . Systemic recruitment of osteoblastic cells in fracture healing. J Orthop Res 2005; 23: 1013–1021.
Hong KM, Burdick MD, Phillips RJ, Heber D, Strieter RM . Characterization of human fibrocytes as circulating adipocyte progenitors and the formation of human adipose tissue in SCID mice. FASEB J 2005; 19: 2029–2031.
Abe R, Donnelly SC, Peng T, Bucala R, Metz CN . Peripheral blood fibrocytes: differentiation pathway and migration to wound sites. J Immunol 2001; 166: 7556–7562.
Gerhardt CC, Romero IA, Cancello R, Camoin L, Strosberg AD . Chemokines control fat accumulation and leptin secretion by cultured human adipocytes. Mol Cell Endocrinol 2001; 175: 81–92.
Kim CS, Kawada T, Yoo H, Kwon BS, Yu R . Macrophage inflammatory protein-related protein-2, a novel CC chemokine, can regulate preadipocyte migration and adipocyte differentiation. FEBS Lett 2003; 548: 125–130.
Basu S, Srivastava PK . Heat shock proteins: the fountainhead of innate and adaptive immune responses. Cell Stress Chaperones 2000; 5: 443–451.
Scaffidi P, Misteli T, Bianchi ME . Release of chromatin protein HMGB1 by necrotic cells triggers inflammation. Nature 2002; 418: 191–195.
Lacasa D, Taleb S, Keophiphath M, Miranville A, Clement K . Macrophage-secreted factors impair human adipogenesis: involvement of proinflammatory state in preadipocytes. Endocrinology 2007; 148: 868–877.
Constant VA, Gagnon A, Landry A, Sorisky A . Macrophage-conditioned medium inhibits the differentiation of 3T3-L1 and human abdominal preadipocytes. Diabetologia 2006; 49: 1402–1411.
Pezzato E, Dona M, Sartor L, Dell'Aica I, Benelli R, Albini A et al. Proteinase-3 directly activates MMP-2 and degrades gelatin and Matrigel; differential inhibition by (−)epigallocatechin-3-gallate. J Leukoc Biol 2003; 74: 88–94.
Anghelina M, Krishnan P, Moldovan L, Moldovan NI . Monocytes/macrophages cooperate with progenitor cells during neovascularization and tissue repair: conversion of cell columns into fibrovascular bundles. Am J Pathol 2006; 168: 529–541.
Kolaczkowska E, Chadzinska M, Scislowska-Czarnecka A, Plytycz B, Opdenakker G, Arnold B . Gelatinase B/matrix metalloproteinase-9 contributes to cellular infiltration in a murine model of zymosan peritonitis. Immunobiology 2006; 211: 137–148.
Higuchi H, Ishizaka M, Nagahata H . Complement receptor type 3 (CR3)- and Fc receptor (FcR)-mediated matrix metalloproteinase 9 (MMP-9) secretion and their intracellular signalling of bovine neutrophils. Vet Res Commun 2007; 31: 985–991.
Chavey C, Mari B, Monthouel MN, Bonnafous S, Anglard P, Van Obberghen E et al. Matrix metalloproteinases are differentially expressed in adipose tissue during obesity and modulate adipocyte differentiation. J Biol Chem 2003; 278: 11888–11896.
Bouloumie A, Sengenes C, Portolan G, Galitzky J, Lafontan M . Adipocyte produces matrix metalloproteinases 2 and 9: involvement in adipose differentiation. Diabetes 2001; 50: 2080–2086.
O'Connor KC, Song H, Rosenzweig N, Jansen DA . Extracellular matrix substrata alter adipocyte yield and lipogenesis in primary cultures of stromal–vascular cells from human adipose. Biotechnol Lett 2003; 25: 1967–1972.
Patrick Jr CW, Zheng B, Johnston C, Reece GP . Long-term implantation of preadipocyte-seeded PLGA scaffolds. Tissue Eng 2002; 8: 283–293.
von Heimburg D, Zachariah S, Low A, Pallua N . Influence of different biodegradable carriers on the in vivo behavior of human adipose precursor cells. Plast Reconstr Surg 2001; 108: 411–420;discussion 421–412.
Xia Z, Triffitt JT . A review on macrophage responses to biomaterials. Biomed Mater 2006; 1: R1–R9.
MacDougald OA, Mandrup S . Adipogenesis: forces that tip the scales. Trends Endocrinol Metab 2002; 13: 5–11.
Cho SW, Kim SS, Rhie JW, Cho HM, Choi CY, Kim BS . Engineering of volume-stable adipose tissues. Biomaterials 2005; 26: 3577–3585.
Acknowledgements
This work was supported in part by National Health and Medical Research Council grant 299872. We acknowledge the surgical assistance of the staff of the Experimental Medical and Surgical Unit, St Vincent's Hospital, Melbourne; J Palmer and X Han for their assistance in preparing histological specimens and Dr A Messina, Dr G Mitchell and Dr J Hamilton for their helpful advice.
Author information
Authors and Affiliations
Corresponding author
Rights and permissions
About this article
Cite this article
Thomas, G., Hemmrich, K., Abberton, K. et al. Zymosan-induced inflammation stimulates neo-adipogenesis. Int J Obes 32, 239–248 (2008). https://doi.org/10.1038/sj.ijo.0803702
Received:
Revised:
Accepted:
Published:
Issue date:
DOI: https://doi.org/10.1038/sj.ijo.0803702
Keywords
This article is cited by
-
Basivertebral Nerve Ablation for the Treatment of Vertebrogenic Pain
Pain and Therapy (2021)
-
Pathobiology of Modic changes
European Spine Journal (2016)
-
Dynamic changes in high and low mammographic density human breast tissues maintained in murine tissue engineering chambers during various murine peripartum states and over time
Breast Cancer Research and Treatment (2013)
-
A novel xenograft model with intrinsic vascularisation for growing undifferentiated pleomorphic sarcoma NOS in mice
Journal of Cancer Research and Clinical Oncology (2012)


