Abstract
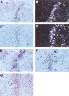
Oxygen deprivation is an important biological feature of tumor growth. We previously showed that in glioma, anoxia increases expression of IL-8, a chemokine and angiogenic factor. Here, we analysed for the first time the biochemical mechanisms inducing the IL-8 gene upon anoxia in glioma cells, and showed that they differ from those inducing the VEGF gene. Both genes are induced in biologically and genetically heterogenous glioblastoma cell lines (LN-229, LN-Z308, U87MG, T98G), whereas, in gliosarcoma cells (D247MG), only the VEGF gene is induced. The kinetics of IL-8 and VEGF mRNA inductions differ in these cells and reoxygenation experiments showed that the induction is due to the anoxic stress per se. Furthermore, in LN-229 and LN-Z308 cell lines actinomycin D, DRB and nuclear run-on experiments showed that anoxia stimulates increased transcription of both genes. Electromobility shift assays show increased protein binding to the AP-1 site on the IL-8 promoter following anoxia treatment. Finally, in situ hybridization on glioblastoma sections shows that the in vivo expression patterns of IL-8 and VEGF genes overlap, but are not identical. Since intratumoral augmentation of IL-8 and VEGF secretion, following microenvironmental decreases in oxygen pressure, may promote angiogenesis, further definition of these pathways is essential to appropriately target them for antitumoral therapy.
This is a preview of subscription content, access via your institution
Access options
Subscribe to this journal
Receive 50 print issues and online access
$259.00 per year
only $5.18 per issue
Buy this article
- Purchase on SpringerLink
- Instant access to the full article PDF.
USD 39.95
Prices may be subject to local taxes which are calculated during checkout






Similar content being viewed by others
Abbreviations
- Act.D:
-
actinomycin D
- DRB:
-
5,6-dichloro-1-D-ribofuranosylbenzimidazole
- HIF-1:
-
hypoxia-inducible factor-1
- IL-8:
-
interleukin-8
- MLTF:
-
adenovirus type 2 major late transcription factor
- VEGF:
-
vascular endothelial growth factor
References
Albertoni M, Daub MD, Arden KC, Viars C, Powell C and Van Meir EG. . 1998 Oncogene 16: 321–326.
Arenberg DA, Kunkel SL, Polverini PJ, Glass M, Burdick MD and Strieter RM. . 1996 J. Clin. Invest. 97: 2792–2802.
Baggiolini M, Dewald B and Moser B. . 1994 Adv. Immunol. 55: 97–179.
Colgan SP, Dzus AL and Parkos CA. . 1996 J. Exp. Med. 184: 1003–1015.
Damert A, Machein M, Breier G, Fujita MQ, Hanahan D, Risau W and Plate KH. . 1997 Cancer Res. 57: 3860–3864.
Desbaillets I. . 1997 PhD. dissertation, University of Lausanne, Switzerland. p.189.
Desbaillets I, Diserens A-C, de Tribolet N, Hamou M-F and Van Meir EG. . 1997 J. Exp. Med. 186: 1201–1212.
Desbaillets I, Tada M, de Tribolet N, Diserens AC, Hamou MF and Van Meir EG. . 1994 Int. J. Cancer 58: 240–247.
Folkman J. . 1993 Cancer Medicine. Holland EFJ Bast R Kufe D Morton RL and Weichselbaum RR (eds).. Lea & Febiger: Philadelphia pp. 153–170.
Gassmann M, Fandrey J, Bichet S, Wartenberg M, Marti HH, Bauer C, Wenger RH and Acker H. . 1996 Proc. Natl. Acad. Sci. USA 93: 2867–2872.
Goldberg MA, Dunning SP and Bunn HF. . 1988 Science 242: 1412–1415.
Goldwasser E, Jakobson LO, Fried W and Plzak L. . 1957 Science 125: 1085–1087.
Graeber TG, Osmanian C, Jacks T, Housman DE, Koch CJ, Lowe SW and Giaccia AJ. . 1996 Nature 379: 88–91.
Hochachka PW, Buck LT, Doll CJ and Land SC. . 1996 Proc. Natl. Acad. Sci. USA 93: 9493–9498.
Hu DE, Hori Y and Fan TP. . 1993 Inflammation 17: 135–143.
Ikeda E, Achen MG, Breier G and Risau W. . 1995 J. Biol. Chem. 270: 19761–19766.
Karakurum M, Shreeniwas R, Chen J, Pinsky D, Yan SD, Anderson M, Sunouchi K, Major J, Hamilton T, Kuwabara K, Rot A, Nowygrod R and Stern D. . 1994 J. Clin. Invest. 93: 1564–1570.
Kleihues P and Cavenee WK (eds). . 1997 Pathology and Genetics of Tumors of the Nervous System. International Agency for Research on Cancer: Lyon p. 255.
Koch AE, Polverini PJ, Kunkel SL, Harlow LA, Di Pietro LA, Elner VM, Elner SG and Strieter RM. . 1992 Science 258: 1798–1801.
Kunsch C, Lang RK, Rosen CA and Shannon MF. . 1994 J. Immunol. 153: 153–164.
Kvietikova I, Wenger RH, Marti HH and Gassmann M. . 1995 Nucleic Acids Res 23: 4542–4550.
Marie S, Diaz GM, Miquerol L, Kahn A and Iynedjian PB. . 1993 J. Biol. Chem. 268: 23881-23890.
Metinko AP, Kunkel SL, Standiford TJ and Strieter RM. . 1992 J. Clin. Invest. 90: 791–798.
Mukaida N, Mahe Y and Matsushima K. . 1990 J. Biol. Chem. 265: 21128–21133.
Mukaida N, Morita M, Ishikawa Y, Rice N, Okamoto S, Kasahara T and Matsushima K. . 1994 J. Biol. Chem. 269: 13289–13295.
Muller JM, Krauss B, Kaltschmidt C, Baeuerle PA and Rupec RA. . 1997 J. Biol. Chem. 272: 23435–23439.
Plate KH, Breier G, Weich HA and Risau W. . 1992 Nature 359: 845–848.
Rupec RA and Baeuerle PA. . 1995 Eur. J. Biochem. 234: 632–640.
Russell DS and Rubinstein LJ. . 1998 Russell and Rubinstein's Pathology of Tumors of the Nervous Sytem. Edward Arnold: London.
Ryuto M, Ono M, Izumi H, Yoshida S, Weich HA, Kohno K and Kuwano M. . 1996 J. Biol. Chem. 271: 28220–28228.
Sambrook J, Fritsch EF and Maniatis T. . 1989 Molecular cloning, a laboratory manual. Cold Spring Harbor Laboratory Press: Cold Spring Harbor (NY).
Schreiber E, Matthias P, Müller MM and Schaffner W. . 1989 Nucleic Acids Res. 17: 6419.
Shweiki D, Itin A, Soffer D and Keshet E. . 1992 Nature 359: 843–845.
Singh RK, Gutman M, Radinsky R, Bucana CD and Fidler IJ. . 1994 Cancer Res. 54: 3242–3247.
Smith DR, Polverini PJ, Kunkel SL, Orringer MB, Whyte RI, Burdick MD, Wilke CA and Strieter RM. . 1994 J. Exp. Med. 179: 1409–1415.
Stevens T and Rodman DM. . 1995 Endothelium 3: 1–11.
Strieter RM, Kunkel SL, Burdick MD, Lincoln PM and Walz A. . 1992 Immunol. Invest. 21: 589–596.
Szekanecz Z, Shah MR, Harlow LA, Pearce WH and Koch AE. . 1994 Pathobiology 62: 134–139.
Tanaka C, Kamata H, Takeshita H, Yagisawa H and Hirata H. . 1997 Biochem. Biophys. Res. Commun. 232: 568–573.
Van Meir EG, Ceska M, Effenberger F, Walz A, Grouzmann E, Desbaillets I, Frei K, Fontana A and de Tribolet N. . 1992 Cancer Res. 52: 4297–4305.
Van Meir EG, Kikuchi T, Tada M, Li H, Diserens AC, Wojcik BE, Huang H-JS, Friedmann T, de Tribolet N and Cavenee WK. . 1994 Cancer Res. 54: 649–652.
Wakabayashi Y, Shono T, Isono M, Hori S, Matsushima K, Ono M and Kuwano M. . 1995 Jpn. J. Cancer Res. 86: 1189–1197.
Wang GL and Semenza GL. . 1996 Redox Report 2: 89–96.
Yamanaka R, Tanaka R, Yoshida S, Saitoh T and Fujita K. . 1995 J. Neurooncol. 25: 59–65.
Yao KS, Xanthoudakis S, Curran T and O'Dwyer PJ. . 1994 Mol. Cell Biol. 14: 5997–6003.
Ziesche R, Petkov V, Williams J, Zakeri SM, Mosgoller W, Knofler M and Block LH. . 1996 Proc. Natl. Acad. Sci. USA 93: 12478–12483.
Acknowledgements
We would like to thank Drs D Bigner, WE Holmes, C Kunsch, H Marti, N Mukaida, G Semenza, and H Weich for plasmids and cell lines, Drs M Gassmann and H Marti for helpful advice, Drs G Barber, C Bonny, B Corthésy and R Kessler for reading the manuscript and L Paul for expert editorial assistance. This work was supported by grants from the Swiss National Science Foundation and the Swiss and Vaud Anti-Cancer Leagues.
Author information
Authors and Affiliations
Rights and permissions
About this article
Cite this article
Desbaillets, I., Diserens, AC., de Tribolet, N. et al. Regulation of interleukin-8 expression by reduced oxygen pressure in human glioblastoma. Oncogene 18, 1447–1456 (1999). https://doi.org/10.1038/sj.onc.1202424
Received:
Revised:
Accepted:
Published:
Issue date:
DOI: https://doi.org/10.1038/sj.onc.1202424
Keywords
This article is cited by
-
NFATc3 controls tumour growth by regulating proliferation and migration of human astroglioma cells
Scientific Reports (2019)
-
Necrotic cells influence migration and invasion of glioblastoma via NF-κB/AP-1-mediated IL-8 regulation
Scientific Reports (2016)
-
Resistance to cytotoxicity and sustained release of interleukin-6 and interleukin-8 in the presence of decreased interferon-γ after differentiation of glioblastoma by human natural killer cells
Cancer Immunology, Immunotherapy (2016)
-
Cytokines: shifting the balance between glioma cells and tumor microenvironment after irradiation
Journal of Cancer Research and Clinical Oncology (2015)
-
Expression of tumor suppressor gene ING4 in ovarian carcinoma is correlated with microvessel density
Journal of Cancer Research and Clinical Oncology (2012)


