Abstract
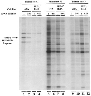
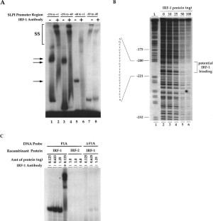
Interferon Regulatory Factor (IRF)-1 is a multifunctional transcription factor, involved in cell growth regulation, pathogen response and immune activation. To identify novel gene targets that may contribute to IRF-1 mediated activities, RNA fingerprinting was performed using NIH3T3 cells that inducibly express a hybrid form of IRF-1 under tetracycline regulated control. Secretory leukocyte protease inhibitor (SLPI) – a regulator of inflammation and an inhibitor of the LPS response – was identified as a gene repressed after doxycycline induced IRF-1 expression. Preliminary analysis of the human SLPI promoter identified an ISRE-like site located within the −221 to −200 region to which IRF-1 binds and a second, putative IRF-1 binding site upstream of the TATA box. Furthermore, co-transfection studies demonstrated that SLPI expression was inhibited by IRF-1 co-expression. The identification of SLPI as a target of IRF-1 regulation reveals a unique involvement of IRF-1 in repression of gene transcription and assigns a novel role for IRF-1 in inflammation.
This is a preview of subscription content, access via your institution
Access options
Subscribe to this journal
Receive 50 print issues and online access
$259.00 per year
only $5.18 per issue
Buy this article
- Purchase on SpringerLink
- Instant access to the full article PDF.
USD 39.95
Prices may be subject to local taxes which are calculated during checkout








Similar content being viewed by others
References
Cha Y and Deisseroth AB. . 1994 J. Biol. Chem. 269: 5279–5287.
Chomczynski P and Sacchi N. . 1987 Anal. Biochem. 162: 150–159.
Clemens MJ and Elia A. . 1997 J. Interferon Cytokine Res. 17: 503–524.
Cohen L, Lacoste J, Parniak M, Daigneault L, Skup D and Hiscott J. . 1991 Cell Growth Differ. 2: 323–333.
Croen KD. . 1993 J. Clin. Invest. 91: 2446–2452.
Duncan GS, Mittrucker HW, Kagi D, Matsuyama T and Mak TW. . 1996 J. Exp. Med. 184: 2043–2048.
Fujita T, Sakakibara J, Sudo Y, Miyamoto M, Kimura Y and Taniguchi T. . 1988 EMBO J. 7: 3397–3405.
Harada H, Fujita T, Miyamoto M, Kimura Y, Maruyama M, Furia A, Miyata T and Taniguchi T. . 1989 Cell 58: 729–739.
Harada H, Kitagawa M, Tanaka N, Yamamoto H, Harada K, Ishihara M and Taniguchi T. . 1993 Science 259: 971–974.
Harada H, Takahashi E-I, Itoh S, Harada K, Hori T-A and Taniguchi T. . 1994 Mol. Cell Biol. 14: 1500–1509.
Jin F-Y, Nathan C, Radzioch D and Ding A. . 1997 Cell 88: 417–426.
Kamijo R, Harada H, Matsuyama T, Bosland M, Gerecitano J, Shapiro D, Le J, Koh SI, Kimura T, Green SJ, Mak TW, Taniguchi T and Vilcek J. . 1994 Science 263: 1612–1615.
Karupiah G, Xie QW, Buller RM, Nathan C, Duarte C and MacMicking JD. . 1993 Science 261: 445–448.
Kimura T, Nakayama K, Penninger J, Kitagawa M, Harada H, Matsuyama T, Tanaka N, Kamijo R, Vilcek J, Mak TW and Taniguchi T. . 1994 Science 264: 1921–1924.
Lee CH, Igarashi Y, Hohman RJ, Kaulbach H, White MV and Kaliner MA. . 1993 Am. Rev. Resp. Dis. 147: 710–716.
Lin R, Ernsting B, Hirshfield IN, Matthews RG, Neidhardt FC, Clark RL and Newman EB. . 1992 J. Bacteriol. 174: 2779–2784.
Lin R, Mustafa A, Nguyen H and Hiscott J. . 1994 J. Biol. Chem. 269: 17542–17549.
Martin E, Nathan C and Xie Q-W. . 1994 J. Exp. Med. 180: 977–984.
Maruyama M, Hay JG, Yoshimura K, Chu C-S and Crystal RG. . 1994 J. Clin. Invest. 94: 368–375.
Matsuyama T, Kimura T, Kitagawa M, Watanabe N, Kundig T, Amakawa R, Kishihara K, Wakeham A, Potter J, Furlonger C, Narendran A, Suzuki H, Ohashi P, Paige C, Taniguchi T and Mak T. . 1993 Cell 75: 83–97.
Miyamoto M, Fujita T, Kimura Y, Maruyama M, Harada H, Sudo Y, Miyata T and Taniguchi T. . 1988 Cell 54: 903–913.
Nathan CF and Hibbs Jr JB. . 1991 Curr. Opin. Immunol. 3: 65–70.
Nguyen H, Hiscott J and Pitha PM. . 1997a Cyt. Growth Fact. Rev. 8: 293–312.
Nguyen H, Lin R and Hiscott J. . 1997b Oncogene 15: 1425–1435.
Nonkwello C, Ruf IK and Sample J. . 1997 J. Virol. 71: 6887–6897.
Penninger JM and Mak TW. . 1994 Immunol. Rev. 142: 231–272.
Pepin N, Roulston A, Lacoste J, Lin R and Hiscott J. . 1994 Virol. 204: 706–716.
Reis LFL, Harada H, Wolchok JD, Taniguchi T and Vilcek J. . 1992 EMBO J. 11: 185–193.
Reis LFL, Ruffner H, Stark G, Aguet M and Weissmann C. . 1994 EMBO J. 13: 4798–4806.
Sallenave JM, Shulmann J, Crossley J, Jordana M and Gauldie J. . 1994 Am. J. Resp. Cell Mol. Biol. 11: 733–741.
Taki S, Sato T, Ogasawara K, Fukuda T, Sato M, Hida S, Suzuki G, Mitsuyama M, Furuta T, Kojima S, Taniguchi T and Asano Y. . 1997 Immunity 6: 1–20.
Tanaka N, Kawakami T and Taniguchi T. . 1993 Mol. Cell Biol. 13: 4531–4538.
Taniguchi T, Lamphier MS and Tanaka N. . 1997 Biochim. Biophys. Acta Rev. Cancer 1333: M9–M17.
Thompson RC and Ohlsson K. . 1986 Proc. Natl. Acad. Sci. USA 83: 6692–6696.
Vaughan PS, Aziz F, van Wijnen AJ, Wu S, Harada H, Taniguchi T, Soprano KJ, Stein JL and Stein GS. . 1995 Nature 377: 362–365.
Vogelmeier C, Gillisen A and Buhl R. . 1996 Chest 110: 261S–266S.
Wang I-M, Blanco JCG, Tsai SY, Tsai M-J and Ozato K. . 1996 Mol. Cell Biol. 16: 6313–6324.
Acknowledgements
This work was supported by grants from the Medical Research Council of Canada and the Canadian Foundation for AIDS Research (CANFAR). H Nguyen is the recipient of an FCAR studentship, R Lin is the recipient of a Fraser, Monat, MacPherson Fellowship from McGill University and J Hiscott is the recipient of a Senior Scientist Award from the Medical Research Council of Canada.
Author information
Authors and Affiliations
Rights and permissions
About this article
Cite this article
Nguyen, H., Teskey, L., Lin, R. et al. Identification of the secretory leukocyte protease inhibitor (SLPI) as a target of IRF-1 regulation. Oncogene 18, 5455–5463 (1999). https://doi.org/10.1038/sj.onc.1202924
Received:
Revised:
Accepted:
Published:
Issue date:
DOI: https://doi.org/10.1038/sj.onc.1202924
Keywords
This article is cited by
-
HPV infection alters vaginal microbiome through down-regulating host mucosal innate peptides used by Lactobacilli as amino acid sources
Nature Communications (2022)
-
The Role of Secretory Leukocyte Proteinase Inhibitor During Transplantation
Current Transplantation Reports (2019)
-
Luteolin triggers global changes in the microglial transcriptome leading to a unique anti-inflammatory and neuroprotective phenotype
Journal of Neuroinflammation (2010)


