Abstract
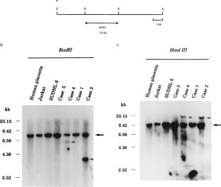
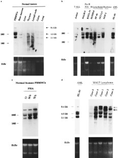
The t(11;18) (q21;q21) translocation is a characteristic chromosomal aberration in low-grade B-cell lymphoma of mucosa-associated lymphoid tissue (MALT) type. We previously identified a YAC clone y789F3, which includes the breakpoint at 18q21 in a MALT lymphoma patient. BAC and PAC contigs were constructed on the YAC, and BAC 193f9 was found to encompass the breakpoint region. In the present study, we further narrowed down the breakpoint region at 18q21 in five MALT lymphoma patients by means of FISH and Southern blot analyses using the plasmid contig constructed from BAC 193f9. The breakpoints at 18q21 in three of the five MALT lymphoma patients were found to be clustered approximately within the 20 kb region. By using exon amplification and cDNA library screening, we identified a novel cDNA spanning the breakpoint region that exhibited aberrant mRNA signals in four of the five MALT lymphoma patients. The nucleotide sequence predicted an 813 amino acid protein that shows significant sequence similarity to the CD22β and laminin 5 α3b subunit. We refer to the gene encoding this transcript as MALT1 (Mucosa-Associated Lymphoid Tissue lymphoma translocation gene 1). The alteration of MALT1 by translocation strongly suggests that this gene plays an important role in the pathogenesis of MALT lymphoma.
This is a preview of subscription content, access via your institution
Access options
Subscribe to this journal
Receive 50 print issues and online access
$259.00 per year
only $5.18 per issue
Buy this article
- Purchase on SpringerLink
- Instant access to the full article PDF.
USD 39.95
Prices may be subject to local taxes which are calculated during checkout





Similar content being viewed by others
References
Akagi T, Tamura A, Motegi M, Suzuki R, Hosokawa Y, Nakamura S, Morisima Y, Seto M and Taniwaki M. . 1999 Genes Chromosom. Cancer 24: 315–321.
Altschul SF, Gish W, Miller W, Myers EW and Lipman DJ. . 1990 J. Mol. Biol. 215: 403–410.
Elledge SJ, Mulligan JT, Ramer SW, Spottswood M and Davis RW. . 1991 Proc. Natl. Acad. Sci. USA 88: 1731–1735.
Griffin CA, Zehnbauer BA, Beschorner WE, Ambinder R and Mann R. . 1992 Genes Chromosom. Cancer 4: 153–157.
Harris NL, Jaffe ES, Stein H, Banks PM, Chan JKC, Cleary ML, Delsol G, De Wolf-Peeters C, Falini B, Gatter KC, Grogan TM, Isaacson PG, Knowles DM, Mason DY, Müller-Hermeling HK, Pileri SA, Piris MA, Ralfkiaer E and Warnke RA. . 1994 Blood 84: 1361–1392.
Horsman D, Gascoyne R, Klasa R and Coupland R. . 1992 Genes Chromosom. Cancer 4: 183–187.
Isaacson PG and Wright DH. . 1983 Cancer 52: 1410–1416.
Law CL, Sidorenko SP and Clark EA. . 1994 Immunol. Today 15: 442–449.
Leroux D, Seité P, Hillion J, Le Marc'hadour F, Pégourié-Bandelier B, Jacob MC, Larsen CJ and Sotto JJ. . 1993 Genes Chromosom. Cancer 7: 54–56.
Levine EG, Artur DC, Machinicki J, Frizzera G, Hurd D, Peterson B, Gajl-Peczalska KJ and Bloomfield CD. . 1989 Blood 74: 1796–1800.
Miller SA, Dykes DD and Polesky HF. . 1988 Nucleric acids Res. 16: 1215–1218.
Nehls M, Pfeifer D and Boehm T. . 1994 Oncogene 9: 2169–2175.
Ott G, Kalzenberger T, Greiner A, Kalla J, Rosenwald A, Heinrich U, Ott MM and Müller-Hermelink HK. . 1997 Cancer Res. 57: 3944–3948.
Powell LD and Varki A. . 1995 J. Biol. Chem. 270: 14243–14246.
Ryan MC, Tizard R, VanDevanter DR and Carter WG. . 1994 J. Biol. Chem. 269: 22779–22787.
Sambrook J, Fritsch EJ and Maniatis T. . 1989 Molecular Cloning. 2nd edition. Cold Spring Harbor Laboratory Press: NY.
Sarkar FH, Ball DE, Li YW and Crissman JD. . 1993 DNA Cell Biol. 12: 611–615.
Seto M, Yamamoto K, Iida S, Akao Y, Utsumi KR, Kubonishi I, Miyoshi I, Ohtsuki T, Yawata Y, Namba M, Motokura T, Arnold A, Takahashi T and Ueda R. . 1992 Oncogene 7: 1401–1406.
Silverman GA. . 1995 Methods in Molecular Biology: YAC protocols. Markie D. (ed). Humana Press: New Jersy pp. 65–68.
Stoffel A, Rao PH, Louie DC, Krauter K, Liebowitz DN, Koeppen H, Le Beau MM and Chaganti RSK. . 1999 Genes Chromosom. Cancer 24: 156–159.
Taniwaki M, Silverman GA, Nishida K, Horiike S, Misawa S, Shimazaki C, Miura I, Nagai M, Abe M, Fukuhara S and Kashima K. . 1995 Blood 86: 1481–1486.
Tedder TF, Tuscano J, Sato S and Kehrl JH. . 1997 Ann. Rev. Immunol. 15: 481–504.
Willis TG, Jadayel DM, Du MQ, Peng H, Perry AR, Abdul-Rauf M, Price H, Karran L, Majekodunmi O, Wlodaraska I, Pan L, Crook T, Hamoudi R, Isaacson PG and Dyer MJS. . 1999 Cell 96: 35–45.
Wilson GL, Fox CH, Fauci AS and Kehrl JH. . 1991 J. Exp. Med. 173: 137–146.
Wilson R, Ainscough R, Anderson K, Baynes C, Berks M, Bonfield J, Burton J, Connell M, Copsey T, Cooper J, Coulson A, Craxton M, Dear S, Du Z, Durbin R, Favello A, Fraser A, Fulton J, Gardner A, Green P, Hawkins T, Hillier M, Jier M, Johnston L, Jones M, Kershaw J, Kirsten J, Laisster N, Latreille p, Lightning J, Lloyd C, Mortimore B, O'Callaghan M, Parsons J, Percy C, Rifken L, Roopra A, Saunders D, Shownkeen R, Sims M, Smaldon N, Smith A, Smith M, Sonnhammer E, Staden R, Sulston J, Thierry-Mieg J, Thomas K, Vaudin M, Vaughan K, Waterston R, Watson A, Weinstock L, Wilkinson-Sproat J and Wohldman P. . 1994 Nature 368: 32–38.
Yamamoto K, Seto M, Komatsu H, Iida S, Akao Y, Kojima S, Kodera Y, Nakazawa S, Ariyosi Y, Takahashi T and Ueda R. . 1993 Oncogene 8: 2617–2625.
Acknowledgements
We would like to thank Dr T Joh for his valuable discussions, and express our appreciation for the technical assistance of Mss T Kobayashi and Y Maeda. We also wish to thank Dr T Rabbitts for his valuable suggestions. Drs A Munakata and H Takami are appreciated for their encouragement and support throughout the study. This work was supported in part by a Grant-in-aid for the 2nd-Term Comprehensive 10-year Strategy for Cancer Control from the Ministry of Health and Welfare, a Grant-in-aid for Science on Primary Areas (Cancer Research), a Grant-in-aid for the Encouragement of Young Scientists from the Ministry of Education, Science and Culture, Japan, a Grant-in-aid from the Uehara Memorial Foundation, and the Bristol-Myers Squibb Unrestricted Biomedical Research Grants Program.
Author information
Authors and Affiliations
Rights and permissions
About this article
Cite this article
Akagi, T., Motegi, M., Tamura, A. et al. A novel gene, MALT1 at 18q21, is involved in t(11;18) (q21;q21) found in low-grade B-cell lymphoma of mucosa-associated lymphoid tissue. Oncogene 18, 5785–5794 (1999). https://doi.org/10.1038/sj.onc.1203018
Received:
Revised:
Accepted:
Published:
Issue date:
DOI: https://doi.org/10.1038/sj.onc.1203018
Keywords
This article is cited by
-
Combined detection of lymphocyte clonality and MALT1 translocations in bronchoalveolar lavage fluid for diagnosing pulmonary lymphomas
Scientific Reports (2021)
-
Involvement of non-Helicobacter pylori helicobacter infections in Helicobacter pylori-negative gastric MALT lymphoma pathogenesis and efficacy of eradication therapy
Gastric Cancer (2021)
-
CARD–BCL-10–MALT1 signalling in protective and pathological immunity
Nature Reviews Immunology (2019)
-
Mucosa-associated lymphoid tissue lymphoma with t(11;18)(q21;q21) translocation: long-term follow-up results
Annals of Hematology (2019)
-
Ocular adnexal marginal zone lymphoma of mucosa-associated lymphoid tissue
Clinical and Experimental Medicine (2018)


