Abstract
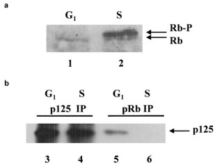
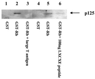
The retinoblastoma gene product (pRb) interacts with many cellular proteins to function in the control of cell division, differentiation, and apoptosis. Several pRb binding proteins complex with pRb through an amino acid sequence called the LXCXE motif. The catalytic subunit of DNA polymerase δ (p125) contains a LXCXE motif. To further study the biochemical function of this polymerase, we sought to determine if p125 interacts with pRb. Experiments using GST-pRb fusion proteins showed that p125 from breast epithelial (MCF10A) cell extracts associates with pRb. In addition, GST-p125 fusion proteins bound pRb from the same cell extracts. The pRb that associated with GST-p125 was largely unphosphorylated. Coimmunoprecipitation experiments using cell cycle synchronized cells revealed that p125 and pRb form a complex predominantly during G1 phase, the phase during which pRb is mostly unphosphorylated. In vitro phosphorylation of GST-pRb by the cyclin dependent kinases reduced the ability of p125 to associate with GST-pRb. Addition of the LXCXE containing protein SV40 large T antigen to GST-pRb blocks the ability of p125 to associate with pRb, suggesting that it may be through a LXCXE sequence by which p125 interacts with pRb. Finally, in vitro polymerase assays demonstrate that GST-pRb fusion protein stimulates DNA polymerase δ activity.
This is a preview of subscription content, access via your institution
Access options
Subscribe to this journal
Receive 50 print issues and online access
$259.00 per year
only $5.18 per issue
Buy this article
- Purchase on SpringerLink
- Instant access to the full article PDF.
USD 39.95
Prices may be subject to local taxes which are calculated during checkout







Similar content being viewed by others
References
Bagchi S, Weinmann R and Raychaudhuri P. . 1991 Cell 65: 1063–1072.
Bradford, MM. . 1976 Anal. Biochem. 72: 248–254.
Brehm A, Miska EA, McCance DJ, Reid JL, Bannister AJ and Kouzarides T. . 1998 Nature 391: 597–601.
Chellappan S, Hiebert S, Mudryj M, Horowitz JM and Nevins JR. . 1991 Cell 65: 1053–1061.
Cherington V, Brown M, Paucha E, St Johnston L, Spiegelman BM and Roberts TM. . 1988 Mol. Cell Biol. 8: 1380–1384.
Chittenden T, Livingston DM and Kaelin WJ. . 1991 Cell 65: 1073–1082.
DeCaprario JA, Ludlow JW, Figge J, Shew J-Y, Huang C-M, Lee W-H, Marsillo E, Paucha E and Livingston DM. . 1988 Cell 54: 275–283.
Dowdy SF, Hinds PW, Louie K, Rees SI, Arnold A and Weinberg RA. . 1993 Cell 73: 499–511.
Dunaief JL, Strober BE, Guha S, Khavari PA, Alin K, Luban J, Begemann M, Crabtree GR and Goff SP. . 1994 Cell 79: 119–130.
Durfee T, Becherer K, Chen PL, Yeh SH, Yang Y, Kilburn AE, Lee WH and Elledge SJ. . 1993 Genes Dev. 7: 555–569.
Dyson N, Howley PM, Munger K and Harlow E. . 1989 Science 243: 934–937.
Ewen ME, Sluss HK, Sherr CJ, Matsushime H, Kato J-Y and Livingston DM. . 1993 Cell 73: 487–497.
Grana X, Garriga J and Mayol X. . 1998 Oncogene 17: 3365–3383.
Gu W, Schneider JW, Condorelli G, Kaushai S, Mahdavi V and Nadal-Ginard B. . 1993 Cell 72: 309–324.
Jiang Y, Zhang S-J, Wu S-M and Lee MYWT. . 1995 Arch. Biochem. Biophys. 320: 297–304.
Johnson EM, Chen P-L, Krachmarov CP, Barr SM, Kanovsky M, Ma Z-W and Lee W-H. . 1995 J. Biol. Chem. 270: 24352–24360.
Jones RE, Wegrzyn RJ, Patrick DR, Balishin NL, Viocolo GA, Riemen MW, Defeo-Jones D, Garsky VM, Heimbrook DC and Oliff A. . 1990 J. Biol. Chem. 265: 12782–12785.
Lee MYWT, Tan C-K, Downey KM and SO AG. . 1984 Biochemistry 23: 1906–1913.
Lee MYWT, Jiang Y, Zhang S-J & Toomey NL. . 1991 J. Biol. Chem. 266: 2423–2429.
Lillie JW, Loewenstein PM, Green MR and Green M. . 1987 Cell 50: 1091–1100.
Liu L, Mo J, Rodriguez-Belmonte EM & Lee MYWT. . 2000 J. Biol. Chem. 275: 18739–18744.
Luo RX, Postigo AA, Dean DC. . 1998 Cell 92: 463–473.
Mo J, Liu L, Leon A, Mazloum N and Lee MYWT. . 2000 Biochemistry 39: 2745–2754.
Moran E. . 1988 Nature 334: 168–170.
Moran E, Zerler B, Harrison TM and Mathews MB. . 1986 Mol. Cell. Biol. 6: 3470–3480.
Sherr CJ. . 1996 Science 274: 1672–1677.
Smith DH and Ziff EB. . 1988 Mol. Cell. Biol. 8: 3883–3890.
Sterner JM, Dew-Knight S, Musahl C, Kornbluth S and Horowitz JM. . 1998 Mol. Cell. Biol. 18: 2748–2757.
Takamura M, Kitagawa T, Izuta S, Wasa J, Takai A, Akiyama T and Yoshida S. . 1997 Oncogene 15: 2483–2492.
Taya Y. . 1997 TIBS 22: 14–17.
Waga S and Stillman B. . 1994 Nature 369: 207–212.
Wang C-Y, Petryniak B, Thompson CB, Kaelin WG and Leiden JM. . 1993 Science 260: 1330–1335.
Wang TSF. . 1991 Annu. Rev. Biochem. 60: 513–552.
Whyte P, Buchovich KJ, Horowitz JM, Friend SH, Raybuck M, Weinberg RA and Harlow E. . 1988 Nature 334: 124–129.
Whyte P, Williamson NM and Harlow E. . 1989 Cell 56: 67–75.
Woitach JT, Zhang M, Niu C-H and Thorgeirsson SS. . 1998 Nature Genetics 19: 371–374.
Wu S-M, Zhang P, Zeng XR, Zhang S-J, Mo J, Li BQ and Lee MYWT. . 1998 J. Biol. Chem. 273: 9561–9569.
Yang C-L, Change L-S, Zhang P, Hao H, Zhu L, Toomey NL and Lee MYWT. . 1992 Nucleic Acids Research 20: 735–745.
Zarkowska T and Mittnacht S. . 1997 J. Biol. Chem. 272: 12738–12746.
Zeng X-R, Jiang Y, Zhang S-J, Hao H and Lee MYWT. . 1994a J. Biol. Chem. 269: 13748–13751.
Zeng X-R, Hao H, Jiang Y and Lee MYWT. . 1994b J. Biol. Chem. 269: 24027–24033.
Acknowledgements
This work was supported by NIHGM31973 to MYWT Lee and by the Department of Biological Sciences, Pace University, Pleasantville, NY, USA.
Author information
Authors and Affiliations
Rights and permissions
About this article
Cite this article
Krucher, N., Zygmunt, A., Mazloum, N. et al. Interaction of the retinoblastoma protein (pRb) with the catalytic subunit of DNA polymerase δ (p125). Oncogene 19, 5464–5470 (2000). https://doi.org/10.1038/sj.onc.1203930
Received:
Revised:
Accepted:
Published:
Issue date:
DOI: https://doi.org/10.1038/sj.onc.1203930


