Abstract
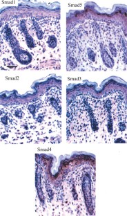
The Smads are the signaling mediators of the TGFβ superfamily. In the present study, we examined Smad expression in mouse epidermis and chemically-induced skin tumors. Mutations in Smad2 and -4 genes were also screened. Transcripts of Smad1 through -5 were constantly expressed in the epidermis regardless of changes in TGFβ signaling, state of differentiation and stages of carcinogenesis. Smad7 transcripts were barely detectable in keratinocytes, but were induced by TGFβ1 treatment and in chemically-induced skin tumors. At the protein level, Smad1 was detected throughout the epidermis, whereas Smad2 through -5 exhibited greater levels in suprabasal layers than basal keratinocytes. In cultured keratinocytes, Smad2, -3 and -4 underwent nuclear translocation upon TGFβ1 treatment. Furthermore, nuclear translocation of Smads correlated with decreased BrdU labeling in proliferative keratinocytes. Although no mutations were detected in the Smad2 and -4 genes in tumors, proteins of Smad1 through -5 were partially or completely lost in carcinomas. These data document that Smads are expressed at high levels in the epidermis and mediate signaling of the TGFβ superfamily. During skin carcinogenesis, loss of Smad1 through -5 and overexpression of Smad7 may contribute to the loss of growth inhibition mediated by TGFβ superfamily members, thus resulting in tumor progression.
This is a preview of subscription content, access via your institution
Access options
Subscribe to this journal
Receive 50 print issues and online access
$259.00 per year
only $5.18 per issue
Buy this article
- Purchase on SpringerLink
- Instant access to the full article PDF.
USD 39.95
Prices may be subject to local taxes which are calculated during checkout







Similar content being viewed by others
References
Abdollah S, Macias-Silva M, Tsukazaki T, Hayashi H, Attisano L and Wrana JL. . 1997 J. Biol. Chem. 272: 27678–27685.
Akhurst RJ, Fee F and Balmain A. . 1988 Nature 331: 363–365.
Aldaz CM, Conti CJ, Klein-Szanto AJ and Slaga TJ. . 1987 Proc. Natl. Acad. Sci. USA 84: 2029–2032.
Amendt C, Schirmacher P, Weber H and Blessing M. . 1998 Oncogene 17: 25–34.
Barrett MT, Schutte M, Kern SE and Reid BJ. . 1996 Cancer Res. 56: 4351–4353.
Bikle DD and Pillai S. . 1988 Ann. NY. Acad. Sci. 548: 27–44.
Blessing M, Nanney LB, King LE and Hogan BL. . 1995 Teratog. Carcinog. Mutagen. 15: 11–21.
Blessing M, Nanney LB, King LE, Jones CM and Hogan BL. . 1993 Genes Dev. 7: 204–215.
Blessing M, Schirmacher P and Kaiser S. . 1996 J. Cell Biol. 135: 227–239.
Chang H, Huylebroeck D, Verschueren K, Guo Q, Matzuk MM and Zwijsen A. . 1999 Development 126: 1631–1642.
Cui W, Fowlis DJ, Bryson S, Duffie E, Ireland H, Balmain A and Akhurst RJ. . 1996 Cell 86: 531–542.
Devereux TR, Anna CH, Patel AC, White CM, Festing MF and You M. . 1997 Carcinogenesis 18: 1751–1755.
DiGiovanni J. . 1992 Pharmacol. Ther. 54: 63–128.
Fowlis DJ, Flanders KC, Duffie E, Balmain A and Akhurst RJ. . 1992 Cell Growth. Differ. 3: 81–91.
Glick AB, Lee MM, Darwiche N, Kulkarni AB, Karlsson S and Yuspa SH. . 1994 Genes Dev. 8: 2429–2440.
Go C, Li P and Wang XJ. . 1999 Cancer Res. 59: 2861–2868.
Goto D, Yagi K, Inoue H, Iwamoto I, Kawabata M, Miyazono K and Kato M. . 1998 FEBS Lett. 430: 201–204.
Hahn SA, Schutte M, Hoque AT, Moskaluk CA, da Costa LT, Rozenblum E, Weinstein CL, Fischer A, Yeo CJ, Hruban RH and Kern SE. . 1996 Science 271: 350–353.
Hejlik DP, Kottickal LV, Liang H, Fairman J, Davis T, Janecki T, Sexton D, Perry W, Tavtigian SV, Teng DH and Nagarajan L. . 1997 Cancer Res. 57: 3779–3783.
Heldin CH and ten Dijke P. . 1999 Nat. Cell Biolog. 1: E195–E197.
Hoque AT, Hahn SA, Schutte M and Kern SE. . 1997 Gut 40: 120–122.
Hu Y, Baud V, Delhase M, Zhang P, Deerinck T, Ellisman M, Johnson R and Karin M. . 1999 Science 284: 316–320.
Imamura T, Takase M, Nishihara A, Oeda E, Hanai J, Kawabata M and Miyazono K. . 1997 Nature 389: 622–626.
Jonk LJ, Itoh S, Heldin CH, ten Dijke P and Kruijer W. . 1998 J. Biol. Chem. 273: 21145–21152.
Jonson T, Gorunova L, Dawiskiba S, Andren-Sandberg A, Stenman G, ten Dijke P, Johansson B and Hoglund M. . 1999 Genes Chromosomes Cancer 24: 62–71.
Kawabata M and Miyazono K. . 1999 J. Biochem. (Tokyo) 125: 9–16.
Kon A, Vindevoghel L, Kouba DJ, Fujimura Y, Uitto J and Mauviel A. . 1999 Oncogene 18: 1837–1844.
Kong XT, Choi SH, Inoue A, Xu F, Chen T, Takita J, Yokota J, Bessho F, Yanagisawa M, Hanada R, Yamamoto K and Hayashi Y. . 1997 Cancer Res. 57: 3772–3778.
Kretzschmar M, Doody J and Massague J. . 1997 Nature 389: 618–622.
Kretzschmar M, Doody J, Timokhina I and Massague J. . 1999 Genes Dev. 13: 804–816.
Krieg P, Schnapke R, Furstenberger G, Vogt I and Marks F. . 1991 Mol. Carcinog. 4: 129–137.
Li JM, Datto MB, Shen X, Hu PC, Yu Y and Wang XF. . 1998 Nucleic Acids Res. 26: 2449–2456.
Li Q, Lu Q, Hwang JY, Buscher D, Lee KF, Izpisua-Belmonte JC and Verma IM. . 1999 Genes Dev. 13: 1322–1328.
Liu X, Sun Y, Constantinescu SN, Karam E, Weinberg RA and Lodish HF. . 1997 Proc. Natl. Acad. Sci. USA 94: 10669–10674.
Lo RS and Massague J. . 1999 Nat. Cell Biolog. 1: 472–478.
Ma S, Rao L, Freedberg IM and Blumenberg M. . 1997 Gene Expr. 6: 361–370.
Miyaki M, Iijima T, Konishi M, Sakai K, Ishii A, Yasuno M, Hishima T, Koike M, Shitara N, Iwama T, Utsunomiya J, Kuroki T and Mori T. . 1999 Oncogene 18: 3098–3103.
Moskaluk CA, Hruban RH, Schutte M, Lietman AS, Smyrk T, Fusaro L, Fusaro R, Lynch J, Yeo CJ, Jackson CE, Lynch HT and Kern SE. . 1997 Diagn. Mol. Pathol. 6: 85–90.
Nadeau A, Grondin G and Blouin R. . 1997 J. Histochem. Cytochem. 45: 107–118.
Nakao A, Afrakhte M, Moren A, Nakayama T, Christian JL, Heuchel R, Itoh S, Kawabata M, Heldin NE, Heldin CH and ten Dijke P. . 1997 Nature 389: 631–635.
Patamalai B, Burow DL, Gimenez-Conti I, Zenklusen JC, Conti CJ, Klein-Szanto AJ and Fischer SM. . 1994 Mol. Carcinog. 9: 220–229.
Roberts AB and Sporn MB. . 1987 Int. J. Rad. Appl. Instrum. [B] 14: 435–439.
Roberts AB and Sporn MB. . 1993 Growth Factors 8: 1–9.
Roop DR, Huitfeldt H, Kilkenny A and Yuspa SH. . 1987 Differentiation 35: 143–150.
Rougui Z, Pavlovitch J and Rizk-Rabin M. . 1996 J. Cell Physiol. 168: 385–394.
Rozenblum E, Schutte M, Goggins M, Hahn SA, Panzer S, Zahurak M, Goodman SN, Sohn TA, Hruban RH, Yeo CJ and Kern SE. . 1997 Cancer Res. 57: 1731–1734.
Rundhaug JE, Park J and Fischer SM. . 1997 Mol. Carcinog. 18: 115–126.
Schutte M, Hruban RH, Hedrick L, Cho KR, Nadasdy GM, Weinstein CL, Bova GS, Isaacs WB, Cairns P, Nawroz H, Sidransky D, Casero RAJ, Meltzer PS, Hahn SA and Kern SE. . 1996 Cancer Res. 56: 2527–2530.
Sellheyer K, Bickenbach JR, Rothnagel JA, Bundman D, Longley MA, Krieg, Roche NS, Roberts AB and Roop DR. . 1993 Proc. Natl. Acad. Sci. USA 90: 5237–5241.
Sherman JH, Miller ML, Albert RE and Baxter CS. . 1993 Mol. Carcinog. 8: 264–271.
Souchelnytskyi S, Tamaki K, Engstrom U, Wernstedt C, ten Dijke P and Heldin CH. . 1997 J. Biol. Chem. 272: 28107–28115.
Takagi Y, Kohmura H, Futamura M, Kida H, Tanemura H, Shimokawa K and Saji S. . 1996 Gastroenterology 111: 1369–1372.
Takeda K, Takeuchi O, Tsujimura T, Itami S, Adachi O, Kawai T, Sanjo H, Yoshikawa K, Terada N and Akira S. . 1999 Science 284: 313–316.
Uchida K, Nagatake M, Osada H, Yatabe Y, Kondo M, Mitsudomi T, Masuda A and Takahashi T. . 1996 Cancer Res. 56: 5583–5585.
Ueda T, Komiya A, Emi M, Suzuki H, Shiraishi T, Yatani R, Masai M, Yasuda K and Ito H. . 1997 Genes Chrom. Cancer 20: 140–147.
Wang XJ, Greenhalgh DA, Bickenbach JR, Jiang A, Bundman DS, Krieg T, Derynck R and Roop DR. . 1997 Proc. Natl. Acad. Sci. USA 94: 2386–2391.
Wang XJ, Liefer KM, Tsai SY, O'Malley BW and Roop DR. . 1999 Proc. Natl. Acad. Sci. USA 96: 8483–8488.
Wong C, Rougier-Chapman EM, Frederick JP, Datto MB, Liberati NT, Li JM and Wang XF. . 1999 Mol. Cell Biol. 19: 1821–1830.
Yanagi Y, Suzawa M, Kawabata M, Miyazono K, Yanagisawa J and Kato S. . 1999 J. Biol. Chem. 274: 12971–12974.
Yanagisawa J, Yanagi Y, Masuhiro Y, Suzawa M, Watanabe M, Kashiwagi K, Toriyabe T, Kawabata M, Miyazono K and Kato S. . 1999 Science 283: 1317–1321.
Zavadil J, Brezinova J, Svoboda P, Zemanova Z and Michalova K. . 1997 Leukemia 11: 1187–1192.
Zhang Y, Feng XH and Derynck R. . 1998 Nature 394: 909–913.
Zhu Y, Richardson JA, Parada LF and Graff JM. . 1998 Cell 94: 703–714.
Zimmerman CM, Kariapper MS and Mathews LS. . 1998 J. Biol. Chem. 273: 677–680.
Acknowledgements
The authors would like to thank Dr Dennis R Roop, Dr Kristin M Liefer and Dr Rebekah L Waikel for their critical comments on the manuscript. Ms Ping Li, Miss Dongyan Wang and Mrs Mattie Brooks provided excellent technical assistance. This work was supported by NIH grants CA79998 and CA 87849 to X-J Wang.
Author information
Authors and Affiliations
Rights and permissions
About this article
Cite this article
He, W., Cao, T., Smith, D. et al. Smads mediate signaling of the TGFβ superfamily in normal keratinocytes but are lost during skin chemical carcinogenesis. Oncogene 20, 471–483 (2001). https://doi.org/10.1038/sj.onc.1204117
Received:
Revised:
Accepted:
Published:
Issue date:
DOI: https://doi.org/10.1038/sj.onc.1204117
Keywords
This article is cited by
-
Immuno-detection by sequencing enables large-scale high-dimensional phenotyping in cells
Nature Communications (2018)
-
The role of Smad7 in oral mucositis
Protein & Cell (2015)
-
Aberrant expression of p-Smad3 in oral carcinogenesis
Clinical Oral Investigations (2015)
-
Overexpression of Smad proteins, especially Smad7, in oral epithelial dysplasias
Clinical Oral Investigations (2013)
-
Unraveling the biological functions of Smad7 with mouse models
Cell & Bioscience (2011)


