Abstract
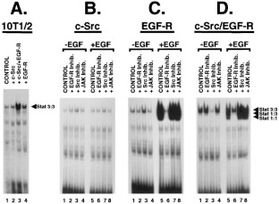
Constitutive activation of signal transducer and activator of transcription (STAT) proteins has been detected in a wide variety of human primary tumor specimens and tumor cell lines including blood malignancies, head and neck cancer, and breast cancer. We have previously demonstrated a high frequency of Stat3 DNA-binding activity that is constitutively-induced by an unknown mechanism in human breast cancer cell lines possessing elevated EGF receptor (EGF-R) and c-Src kinase activities. Using tyrosine kinase selective inhibitors, we show here that Src and JAK family tyrosine kinases cooperate to mediate constitutive Stat3 activation in the absence of EGF stimulation in model human breast cancer cell lines. Inhibition of Src or JAKs results in dose-dependent suppression of Stat3 DNA-binding activity, which is accompanied by growth inhibition and induction of programmed cell death. In addition, transfection of a dominant-negative form of Stat3 leads to growth inhibition involving apoptosis of breast cancer cells. These results indicate that the biological effects of the Src and JAK tyrosine kinase inhibitors are at least partially mediated by blocking Stat3 signaling. While EGF-R kinase activity is not required for constitutive Stat3 activation in breast cancer cells, EGF stimulation further increases STAT DNA-binding activity, consistent with an important role for EGF-R in STAT signaling and malignant progression. Analysis of primary breast tumor specimens from patients with advanced disease revealed that the majority exhibit elevated STAT DNA-binding activity compared to adjacent non-tumor tissues. Our findings, taken together, suggest that tyrosine kinases transduce signals through Stat3 protein that contribute to the growth and survival of human breast cancer cells in culture and potentially in vivo.
This is a preview of subscription content, access via your institution
Access options
Subscribe to this journal
Receive 50 print issues and online access
$259.00 per year
only $5.18 per issue
Buy this article
- Purchase on SpringerLink
- Instant access to the full article PDF.
USD 39.95
Prices may be subject to local taxes which are calculated during checkout











Similar content being viewed by others
References
Akira S . 1999 Stem Cells 17: 138–146
Akira S . 2000 Oncogene 19: 2607–2611
Ariyoshi K, Nosaka T, Yamada K, Onishi M, Oka Y, Miyajima A, Kitamura T . 2000 J. Biol. Chem. 275: 24407–24413
Besser D, Bromberg JF, Darnell Jr JE, Hanafusa H . 1999 Mol. Cell. Biol. 19: 1401–1409
Biscardi JS, Tice DA, Parsons SJ . 1999 Adv. Cancer Res. 76: 61–119
Bowman T, Garcia R, Turkson J, Jove R . 2000 Oncogene 19: 2474–2488
Bromberg JF, Darnell Jr JE . 2000 Oncogene 19: 2468–2473
Bromberg JF, Horvath CM, Besser D, Lathem WW, Darnell Jr JE . 1998 Mol. Cell. Biol. 18: 2553–2558
Bromberg JF, Wrzeszczynska MH, Devgan G, Zhao Y, Pestell RG, Albanese C, Darnell Jr JE . 1999 Cell 98: 295–303
Caldenhoven E, van Dijk TB, Solari R, Armstrong J, Raaijmakers JAM, Lammers JWJ, Koenderman L, de Groot RP . 1996 J. Biol. Chem. 271: 13221–13227
Cance WG, Liu ET . 1995 Breast Cancer Res. Treat 35: 105–114
Cao X, Tay A, Guy GR, Tan YH . 1996 Mol. Cell. Biol. 16: 1595–1603
Carlesso N, Frank DA, Griffin JD . 1996 J. Exp. Med. 183: 811–820
Catlett-Falcone R, Dalton WS, Jove R . 1999a Curr. Opin. Oncol. 11: 490–496
Catlett-Falcone R, Landowski TH, Oshiro MM, Turkson J, Levitzki A, Savino R, Ciliberto G, Moscinski L, Fernandez-Luna JL, Nunez G, Dalton WS, Jove R . 1999b Immunity 10: 105–115
Chaturvedi P, Sharma S, Reddy EP . 1997 Mol. Cell. Biol. 17: 3295–3304
Chaturvedi P, Reddy MV, Reddy EP . 1998 Oncogene 16: 1749–1758
Coffer PJ, Koenderman L, de Groot RP . 2000 Oncogene 19: 2511–2522
Cohen BD, Siegall CB, Bacus S, Foy L, Green JM, Hellstrom I, Hellstrom KE, Fell HP . 1998 Biochem. Soc. Symp. 63: 199–210
Danial NN, Rothman P . 2000 Oncogene 19: 2523–2531
Darnell Jr JE . 1997 Science 277: 1630–1635
Darnell Jr JE . 1998 J. Interferon. Cytokine Res. 18: 549–554
David M, Wong L, Flavell R, Thompson SA, Wells A, Larner AC, Johnson GR . 1996 J. Biol. Chem. 271: 9185–9188
de Groot RP, Raaijmakers JA, Lammers JW, Jove R, Koenderman L . 1999 Blood 94: 1108–1112
Dearolf CR . 1999 Cell. Mol. Life Sci. 55: 1578–1584
Decker T, Kovarik P . 1999 Cell. Mol. Life Sci. 55: 1535–1546
Demoulin JB, Uyttenhove C, Lejeune DAM, Groner B, Renald JC . 2000 Cancer Res. 60: 3971–3977
Egan C, Pang A, Durda D, Cheng HC, Wang JH, Fujita DJ . 1999 Oncogene 18: 1227–1237
Fernandes A, Hamburger AW, Gerwin BI . 1999 Int. J. Cancer 83: 564–570
Frank DA, Varticovski L . 1996 Leukemia 10: 1724–1730
Fry DW . 1999 Pharmacol. Ther. 82: 207–218
Garcia R, Jove R . 1998 J. Biomed. Sci. 5: 79–85
Garcia R, Yu CL, Hudnall A, Catlett R, Nelson KL, Smithgall T, Fujita DJ, Ethier SP, Jove R . 1997 Cell Growth Differ. 8: 1267–1276
Gullick WJ, Srinivasan R . 1998 Breast Cancer Res. Treat. 52: 43–53
Hirano T, Ishihara K, Hibi M . 2000 Oncogene 19: 2548–2556
Ihle JN, Stravapodis D, Parganas E, Thierfelder W, Feng J, Wang D, Teglund S . 1998 Cancer J. Sci. Am. 4: Suppl 1 S84–S91
Ilaria Jr RL, Van Etten RA . 1996 J. Biol. Chem. 271: 31704–31710
Kim H, Muller WJ . 1999 Exp. Cell. Res. 253: 78–87
Kloth MT, Biscardi JS, Tice DA, Parsons SJ, Silva CM . 2001 Manuscript submitted
Kraker AJ, Hartl BG, Amar AM, Barvian MR, Hollis Showalter HDH, Moore CW . 2000 Biochem. Pharmacol. 60: 885–898
Laudano AP, Buchanan JM . 1986 Proc. Natl. Acad. Sci. USA 83: 892–896
Leaman DW, Pisharody S, Flickinger TW, Commane MA, Schlessinger J, Kerr IM, Levy DE, Stark GR . 1996 Mol. Cell. Biol. 16: 369–375
Levitzki A . 1999 Pharmacol. Ther. 82: 231–239
Levy DE . 1999 Cell. Mol. Life Sci. 55: 1559–1567
Lin TS, Mahajan S, Frank DA . 2000 Oncogene 19: 2496–2504
Luttrell DK, Lee A, Lansing TJ, Crosby RM, Jung KD, Willard D, Luther M, Rodriguez M, Berman J, Gilmer TM . 1994 Proc. Natl. Acad. Sci. USA 91: 83–87
Luttrell DK, Luttrell LM, Parsons SJ . 1988 Mol. Cell. Biol. 8: 497–501
Ma L, Gauville C, Berthois Y, Degeorges A, Millot G, Martin PM, Calvo F . 1998 Int. J. Cancer 78: 112–119
Maa MC, Leu TH, McCarley DJ, Schatzman RC, Parsons SJ . 1995 Proc. Natl. Acad. Sci. USA 92: 6981–6985
Moasser MM, Srethapakdi M, Sachar KS, Kraker AJ, Rosen N . 1999 Cancer Res. 59: 6145–6152
Morrissey JJ, Raney S . 1998 Cell Biol. Int. 22: 413–419
Mui AL . 1999 Cell. Mol. Life Sci. 55: 1547–1558
Muthuswamy SK, Muller WJ . 1994 Adv. Cancer Res. 64: 111–123
Nelson KL, Rogers JA, Bowman TL, Jove R, Smithgall TE . 1998 J. Biol. Chem. 273: 7072–7077
Niu G, Heller R, Catlett-Falcone R, Coppola D, Jaroszeski M, Dalton W, Jove R, Yu H . 1999 Cancer Res. 59: 5059–5063
Olayioye MA, Beuvink I, Horsch K, Daly JM, Hynes NE . 1999 J. Biol. Chem. 274: 17209–17218
Ottenhoff-Kalff AE, Rijksen G, van Beurden EA, Hennipman A, Michels AA, Staal GE . 1992 Cancer Res. 52: 4773–4778
Parsons JT, Parsons SJ . 1997 Curr. Opin. Cell. Biol. 9: 187–192
Rajkumar T, Gullick WJ . 1994 Breast Cancer Res. Treat. 29: 3–9
Reddy EP, Korapati A, Chaturvedi P, Rani S . 2000 Oncogene 19: 2532–2547
Ruff-Jamison S, Chen K, Cohen S . 1993 Science 261: 1733–1736
Sartor CI, Dziubinski ML, Yu CL, Jove R, Ethier SP . 1997 Cancer Res. 57: 978–987
Schindler C, Brutsaert S . 1999 Cell. Mol. Life Sci. 55: 1509–1522
Sheffield LG . 1998 Biochem. Biophys. Res. Commun. 250: 27–31
Shuai K, Halpern J, ten Hoeve J, Rao X, Sawyers CL . 1996 Oncogene 13: 247–254
Smithgall TE, Briggs SD, Schreiner S, Lerner EC, Cheng H, Wilson MB . 2000 Oncogene 19: 2612–2618
Song JI, Grandis JR . 2000 Oncogene 19: 2489–2495
Tice DA, Biscardi JS, Nickles AL, Parsons SJ . 1999 Proc. Natl. Acad. Sci. USA 96: 1415–1420
Turkson J, Bowman T, Garcia R, Caldenhoven E, De Groot RP, Jove R . 1998 Mol. Cell. Biol. 18: 2545–2552
Vignais ML, Sadowski HB, Watling D, Rogers NC, Gilman M . 1996 Mol. Cell. Biol. 16: 1759–1769
Wagner BJ, Hayes TE, Hoban CJ, Cochran BH . 1990 EMBO J. 9: 4477–4484
Wang YZ, Wharton W, Garcia R, Kraker A, Jove R, Pledger WJ . 2000 Oncogene 19: 2075–2085
Watson CJ, Miller WR . 1995 Br. J. Cancer 71: 840–844
Wilson LK, Luttrell DK, Parsons JT, Parsons SJ . 1989 Mol. Cell. Biol. 9: 1536–1544
Wilson LK, Parsons SJ . 1990 Oncogene 5: 1471–1480
Yeh TC, Pellegrini S . 1999 Cell. Mol. Life Sci. 55: 1523–1534
Yu CL, Meyer DJ, Campbell GS, Larner AC, Carter-Su C, Schwartz J, Jove R . 1995 Science 269: 81–83
Zhang Y, Turkson J, Carter-Su C, Smithgall T, Levitzki A, Kraker A, Krolewski JJ, Medveczky P, Jove R . 2000 J. Biol. Chem. 275: 24935–24944
Zhong Z, Wen Z, Darnell Jr JE . 1994 Science 264: 95–98
Zong CS, Zeng L, Jiang Y, Sadowski HB, Wang LH . 1998 J. Biol. Chem. 273: 28065–28072
Zuyao N, Wei L, Leman ES, Gao AC . 2000 Cancer Res. 60: 1225–1228
Acknowledgements
This work was supported by the Angela Musatte Russo Foundation and NIH grants CA55652 and CA82533 (to R Jove). The authors wish to thank Drs Neal Rosen, Mark Moasser, Donald Fujita and Alex Aller for providing human breast cancer cell lines, Dr Lori Hazelhurst for assistance with cell cycle analysis, members of the laboratory for stimulating discussions, and the Moffitt Cancer Center Tumor Bank, Flow Cytometry and Molecular Imaging Core Facilities.
Author information
Authors and Affiliations
Rights and permissions
About this article
Cite this article
Garcia, R., Bowman, T., Niu, G. et al. Constitutive activation of Stat3 by the Src and JAK tyrosine kinases participates in growth regulation of human breast carcinoma cells. Oncogene 20, 2499–2513 (2001). https://doi.org/10.1038/sj.onc.1204349
Received:
Revised:
Accepted:
Issue date:
DOI: https://doi.org/10.1038/sj.onc.1204349
Keywords
This article is cited by
-
The tobacco-specific carcinogen NNK induces pulmonary tumorigenesis via nAChR/Src/STAT3-mediated activation of the renin-angiotensin system and IGF-1R signaling
Experimental & Molecular Medicine (2023)
-
Identification of novel inhibitors from Urtica spp against TNBC targeting JAK2 receptor for breast cancer therapy
Medical Oncology (2023)
-
SRC kinase-mediated signaling pathways and targeted therapies in breast cancer
Breast Cancer Research (2022)
-
STAT3-mediated osteogenesis and osteoclastogenesis in osteoporosis
Cell Communication and Signaling (2022)
-
The role of diosgenin in crohn’s disease
Clinical Phytoscience (2022)


