Abstract
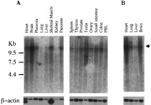
In order to clone candidate tumor suppressor genes whose loss contributes to the pathogenesis of neuroblastoma (NB), we performed polymerase chain reaction (PCR) screening using a high-density sequence tagged site-content map within a commonly deleted region (chromosome band 1p36) in 24 NB cell lines. We found a ∼480 kb homozygously deleted region at chromosome band 1p36.2 in one of the 24 NB cell lines, NB-1, and cloned the human homologue (KIF1B-β) of the mouseKif1B-β gene in this region. The KIF1B-β gene had at least 47 exons, all of which had a classic exon–intron boundary structure. Mouse Kif1B is a microtubule-based putative anterograde motor protein for the transport of mitochondria in neural cells. We performed mutational analysis of the KIF1B-β gene in 23 cell lines using 46 sets of primers and also an allelic imbalance (AI) analysis of KIF1B-β in 50 fresh NB samples. A missense mutation at codon 1554, GTG (Gly) to ATG (Met), silent mutations at codon 409 (ACG to ACA) and codon 1721 (ACC to ACT), and polymorphisms at codon 170, GAT (Asp) to GAA (Glu), and at codon 1087, TAT (Tyr), to TGT (Cys), were all identified, although their functional significances remain to be determined. The AI for KIF1B-β was slightly higher (38%) than those for the other two markers (D1S244, D1S1350) (35 and 32%) within the commonly deleted region (1p36). Reverse transcriptase-PCR analysis of the KIF1B-β gene revealed obvious expression in all NB cell lines except NB-1, although decreased expression of the KIF1B-β gene was found in a subset of early- and advanced-stage NBs. These results suggest that the KIF1B-β gene may not be a candidate for tumor suppressor gene of NB.
This is a preview of subscription content, access via your institution
Access options
Subscribe to this journal
Receive 50 print issues and online access
$259.00 per year
only $5.18 per issue
Buy this article
- Purchase on SpringerLink
- Instant access to the full article PDF.
USD 39.95
Prices may be subject to local taxes which are calculated during checkout





Similar content being viewed by others
References
Beltinger CP, White PS, Maris JM, Sulman EP, Jensen SJ, Le Paslier D, Stallard BJ, Goeddel DV, De Sauvage FJ, Brodeur GM . 1996 Genomics 35: 94–100
Brodeur GM, Green AA, Hayes AF, Williams KJ, Williams DL, Tsiatis AA . 1981 Cancer Res. 41: 4678–4686
Brodeur GM, Fong CT . 1989 Cancer Genet. Cytogenet. 41: 153–174
Bunn RC, Jensen MA, Reed BC . 1999 Mol. Biol. Cell 10: 819–832
Caron H, van Sluis P, de Kraker J, Bokkerink J, Egeler M, Laureys G, Slater R, Westerveld A, Voute PA, Versteeg R . 1996 N. Engl. J. Med. 334: 225–230
Chen YZ, Hayashi Y, Wu JG, Takaoka E, Maekawa K, Watanabe N, Inazawa J, Hosoda F, Arai Y, Mizushima H, Morohashi A, Ohira M, Nakagawara A, Liu SY, Hosi M, Horii A, Ohki M, Soeda E . 2001a Genomics 74: 55–70
Chen YZ, Soeda E, Yang HW, Takita J, Chai L, Horii A, Inazawa J, Ohki M, Hayashi Y . 2001b Genes Chromosomes Cancer 31: in press
Conforti L, Buckmaster EA, Tarlton A, Brown MC, Lyon MF, Perry VH, Coleman MP . 1999 Mamm. Genome 10: 617–622
Deed RW, Hirose T, Mitchell EL, Santibanez-Koref MF, Norton JD . 1994 Gene. 151: 309–314
Dorner C, Ullrich A, Haring HU, Lammers R . 1998 J. Biol. Chem. 273: 20267–20275
Dorner C, Ullrich A, Haring HU, Lammers R . 1999 J. Biol. Chem. 274: 33654–33660
Evans AE, D'Angio GJ, Randolph J . 1971 Cancer 27: 374–378
Fong CT, Dracopoli NC, White PS, Merrill PT, Griffith RC, Housman DE, Brodeur GM . 1989 Proc. Natl. Acad. Sci. USA 86: 3753–3757
Fong CT, White PS, Peterson K, Sapienza C, Cavenee WK, Kern SE, Vogelstein B, Cantor AB, Look AT, Brodeur GM . 1992 Cancer Res. 52: 1780–1785
Furlong RA, Zhou CY, Ferguson-Smith MA andAffara NA . 1996 Genomics 33: 421–429
Gong TW, Winnicki RS, Kohrman DC, Lomas MI . 1999 Gene. 239: 117–127
Greene MH . 1999 Cancer 86: 11 Suppl 2464–2477
Hayashi K . 1991 PCR Methods Appl. 1: 34–38
Hayashi Y, Kanda N, Inaba T, Hanada R, Nagahara N, Muchi H, Yamamoto K . 1989 Cancer 63: 126–132
Hirokawa N. (1996) . Cell Struct. Funct. 21: 357–367
Hirokawa N . 1998 Science 279: 519–526
Imashuku S, Inui A, Nakamura T, Tanaka J, Miyake S . 1973 J. Clin. Endocrinol. Metab. 36: 931–936
Kaghad M, Bonnet H, Yang A, Creancier L, Biscan JC, Valent A, Minty A, Chalon P, Lelias JM, Dumont X, Ferrara P, McKeon F, Caput D . 1997 Cell 90: 809–819
Komuro H, Hayashi Y, Kawamura M, Hayashi K, Kaneko Y, Kamoshita S, Hanada R, Yamamoto K, Hongo T, Yamada M, Tsuchida Y . 1993 Cancer Res. 53: 5284–5288
Kong XT, Choi SH, Inoue A, Xu F, Chen T, Takita J, Bessho F, Yanagisawa M, Hanada R, Yamamoto K, Hayashi Y . 1997 Cancer Res. 57: 3772–3778
Kukita Y, Tahira T, Sommer SS, Hayashi K . 1997 Hum. Mutat. 10: 400–407
Lahti JM, Valentine M, Xiang J, Jones B, Amann J, Grenet J, Richmond G, Look AT, Kidd VJ . 1994 Nat. Genet. 7: 370–375
Leek JP, Carr IM, Bell SM, Markham AF, Lench NJ . 1997 Cytogenet. Cell. Genet. 79: 212–213
Maris JM, Matthay KK . 1999 J. Clin. Oncol. 17: 2264–2279
Nakagawa T, Tanaka Y, Matsuoka E, Kondo S, Okada Y, Noda Y, Kanai Y, Hirokawa N . 1997 Proc. Natl. Acad. Sci. USA 94: 9654–9659
Nakagawa T, Okada Y, Noda Y, Hirokawa N . 1998 Mol. Biol. Cell 9: 3939
Nakagawa T, Hirokawa N . 1999 GenBank accession No. AB023656
Nangaku M, Sato-Yoshitake R, Okada Y, Noda Y, Takemura R, Yamazaki H, Hirokawa N . 1994 Cell 79: 1209–1220
Ohira M, Kageyama H, Mihara M, Furuta S, Machida T, Shishikura T, Takayasu H, Islam A, Nakamura Y, Takahashi M, Tomioka N, Sakiyama S, Kaneko Y, Toyoda A, Hattori M, Sakaki Y, Ohki M, Horii A, Soeda E, Inazawa J, Seki N, Kuma H, Nozawa I, Nakagawara A . 2000 Oncogene 19: 4302–4307
Okada Y, Yamazaki H, Sekine-Aizawa Y, Hirokawa N . 1995 Cell 81: 769–780
Saito M, Helin K, Valentine MB, Griffinth BB, Willman CL, Harlow E, Look AT . 1995 Genomics 25: 130–188
Saito M, Hayashi Y, Suzuki T, Tanaka H, Hozumi I, Tsuji S . 1997 Neurology 49: 1630–1635
Schwab M, Praml C, Amlmer LC . 1996 Gene Chromosome Cancer 16: 211–299
Seeger RC, Brodeur GM, Sather H, Dalton A, Siegel SE, Wong KY, Hammond D . 1985 N. Engl. J. Med. 313: 1111–1116
Shapiro DN, Subleet JE, Li B, Valentine MB, Morris SW, Noll M . 1993 Genomics 17: 767–769
Srivatsan ES, Ying KL, Seeger RC . 1993 Genes Chromosomes Cancer 7: 32–37
Suzuki T, Yokota J, Mugishima H, Okabe I, Ookuni M, Sugimura T, Terada M . 1989 Cancer Res. 49: 1095–1098
Takita J. Hayashi Y, Kohno T, Shiseki M, Yamaguchi N, Hanada R, Yamamoto K, Yokota J . 1995 Oncogene 11: 1829–1834
Takita J, Hayashi Y, Nakajima T, Adachi J, Tanaka T, Yamaguchi N, Ogawa Y, Hanada R, Yamamoto K, Yokota J . 1998 Oncogene 17: 3137–3143
Takita J, Hayashi Y, Takei K, Yamaguchi N, Hanada R, Yamamoto K, Yokota J . 2000 Eur. J. Cancer 36: 508–513
Yang HW, Piao HY, Chen YZ, Takita J, Kobayashi M, Taniwaki M, Hashizume K, Hanada R, Yamamoto K, Taki M, Bessho F, Yanagisawa M, Hayashi Y . 2000 Int. J. Mol. Med. 5: 379–384
Yang HW, Chen YZ, Takita J, Piao HY, Soeda E, Hayashi Y . 2001 Neoplasia 3: 165–169
Yonekawa Y, Harada A, Okada Y, Funakosh T, Kanai Y, Takei Y, Terada S, Noda T, Hirokawa N . 1998 J. Cell. Biol. 141: 431–441
Acknowledgements
We thank Mrs Soma and Mrs Soga for their excellent technical assistance. We express our appreciation to Professor Thomas A Look, Harvard Medical School, Dana-Farber Cancer Institute, for his generous gift of the NB cell lines. This work was supported by a Grant-in-Aid for Cancer Research from the Ministry of Health and Welfare of Japan and a Grant-in-Aid for Scientific Research on Priority Areas and Grant-in-Aid for Scientific Research (B) and (C) from the Ministry of Education, Science, Sports and Culture of Japan.
Author information
Authors and Affiliations
Rights and permissions
About this article
Cite this article
Yang, H., Chen, Y., Takita, J. et al. Genomic structure and mutational analysis of the human KIF1B gene which is homozygously deleted in neuroblastoma at chromosome 1p36.2. Oncogene 20, 5075–5083 (2001). https://doi.org/10.1038/sj.onc.1204456
Received:
Revised:
Accepted:
Published:
Issue date:
DOI: https://doi.org/10.1038/sj.onc.1204456
Keywords
This article is cited by
-
Allele-specific expression reveals genes with recurrent cis-regulatory alterations in high-risk neuroblastoma
Genome Biology (2022)
-
Mutations of 1p genes do not consistently abrogate tumor suppressor functions in 1p-intact neuroblastoma
BMC Cancer (2022)
-
Polymorphisms in the kinesin-like factor 1 B gene and risk of epithelial ovarian cancer in Eastern Chinese women
Tumor Biology (2015)
-
Genome-wide association study identifies 1p36.22 as a new susceptibility locus for hepatocellular carcinoma in chronic hepatitis B virus carriers
Nature Genetics (2010)
-
Introduction of in vitro transcribed ENO1 mRNA into neuroblastoma cells induces cell death
BMC Cancer (2005)


