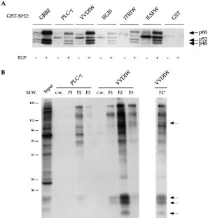
Abstract
Tyrosine phosphorylation is one of the major mechanisms involved in the intracellular propagation of external signals. Strategies aimed at interfering with this process might allow the control of several cellular phenotypes. SH2 domains mediate protein–protein interactions by recognizing phosphotyrosine (pY) residues in the context of specific phosphopeptides. We created an SH2-scaffolded repertoire library by randomly mutagenizing five critical amino acid positions in the specificity-determining region of the PLCγ C-terminal SH2 domain. Synthetic SH2 domains were selected from the library using biotinylated phosphopeptides derived from a natural PLCγ-SH2 ligand as well as unrelated SH2 ligands. The isolated SH2s displayed high binding affinity constants for the selecting peptides and were capable of interacting with the corresponding proteins.
This is a preview of subscription content, access via your institution
Access options
Subscribe to this journal
Receive 50 print issues and online access
$259.00 per year
only $5.18 per issue
Buy this article
- Purchase on SpringerLink
- Instant access to the full article PDF.
USD 39.95
Prices may be subject to local taxes which are calculated during checkout



Similar content being viewed by others
References
Arvidsson AK, Rupp E, Nanberg E, Downward J, Ronnstrand L, Wennstrom S, Schlessinger J, Heldin CH, Claesson-Welsh L . 1994 Mol. Cell Biol. 14: 6715–6726
Bradshaw JM, Mitaxov V, Waksman G . 2000 J. Mol. Biol. 299: 521–535
Breeze AL, Kara BV, Barratt DG, Anderson M, Smith JC, Luke RW, Best JR, Cartlidge SA . 1996 EMBO J. 15: 3579–3589
Carpenter G, Ji Q . 1999 Exp. Cell. Res. 253: 15–24
Eck MJ, Shoelson SE, Harrison SC . 1993 Nature 362: 87–91
Fazioli F, Minichiello L, Matoska V, Castagnino P, Miki T, Wong WT, Di Fiore PP . 1993 EMBO J 12: 3799–3808
Hatada MH, Lu X, Laird ER, Green J, Morgenstern JP, Lou M, Marr CS, Phillips TB, Ram MK, Theriault K, Zoller MJ, Karas JL . 1995 Nature 377: 32–38
Ikeda M, Arai K, Masai H . 1996 Gene 181: 167–171
Kraulis PJ . 1991 J. Appl. Crystallogr. 24: 946–950
Kuriyan J, Cowburn D . 1997 Annu. Rev. Biophys. Biomol. Struct. 26: 259–288
Larose L, Gish G, Shoelson S, Pawson T . 1993 Oncogene 8: 2493–2499
Lee CH, Kominos D, Jacques S, Margolis B, Schlessinger J, Shoelson SE, Kuriyan J . 1994 Structure 2: 423–438
Marengere LE, Songyang Z, Gish GD, Schaller MD, Parsons JT, Stern MJ, Cantley LC, Pawson T . 1994 Nature 369: 502–505
Merit EA, Murphy MEP . 1994 Acta Crystollogr. D 50: 869–873
Morton TA, Myszka DG . 1998 Methods Enzymol. 295: 268–294
Narula SS, Yuan RW, Adams SE, Green OM, Green J, Philips TB, Zydowsky LD, Botfield MC, Hatada M, Laird ER, Zoller Mj, Karas JL, Delgarno DC . 1995 Structure 3: 1061–1073
Ogura K, Tsuchiya S, Terasawa H, Yuzawa S, Hatanaka H, Mandiyan V, Schlessinger J, Inagaki F . 1999 J. Mol. Biol. 289: 439–445
Panayotou G, Gish G, End P, Truong O, Gout I, Dhand R, Fry MJ, Hiles I, Pawson T, Waterfield MD . 1993 Mol. Cell. Biol. 13: 3567–3576
Pascal SM, Singer AU, Gish G, Yamazaki T, Shoelson SE, Pawson T, Kay LE, Forman-Kay JD . 1994 Cell 77: 461–472
Rahuel J, Gay B, Erdmann D, Strauss A, Garcia-Echeverria C, Furet P, Caravatti G, Fretz H, Schoepfer J, Grutter MG . 1996 Nat. Struct. Biol. 3: 586–589
Salcini AE, McGlade J, Pelicci G, Nicoletti I, Pawson T, Pelicci PG . 1994 Oncogene 9: 2827–2836
Schneider S, Buchert M, Georgiev O, Catimel B, Halford M, Stacker SA, Baechi T, Moelling K, Hovens CM . 1999 Nat. Biotechnol. 17: 170–175
Shoelson SE . 1997 Curr. Opin. Chem. Biol. 1: 227–234
Songyang Z, Gish G, Mbamalu G, Pawson T, Cantley LC . 1995 J. Biol. Chem. 270: 26029–26032
Songyang Z, Shoelson SE, Chaudhuri M, Gish G, Pawson T, Haser WG, King F, Roberts T, Ratnofsky S, Lechleider RJ, Neel BG, Birge RB, Fajardo JE, Chou MM, Hanafusa H, Schaffhausen B, Cantley LC . 1993 Cell 72: 767–778
van der Geer P, Wiley S, Gish GD, Pawson T . 1996 Curr. Biol. 6: 1435–1444
Waksman G, Shoelson SE, Pant N, Cowburn D, Kuriyan J . 1993 Cell 72: 779–790
Acknowledgements
We thank Dr Pascale Romano for critically reviewing the manuscript. This work was supported by grants from Associazione Italiana Ricerca sul Cancro, from the Armenise-Harvard Foundation and from the CNR (Progetto Biotecnologie).
Author information
Authors and Affiliations
Corresponding author
Rights and permissions
About this article
Cite this article
Malabarba, M., Milia, E., Faretta, M. et al. A repertoire library that allows the selection of synthetic SH2s with altered binding specificities. Oncogene 20, 5186–5194 (2001). https://doi.org/10.1038/sj.onc.1204654
Received:
Revised:
Accepted:
Published:
Issue date:
DOI: https://doi.org/10.1038/sj.onc.1204654
Keywords
This article is cited by
-
Nature-inspired design of motif-specific antibody scaffolds
Nature Biotechnology (2013)
-
SRC Homology 2 Domain Binding Sites in Insulin, IGF-1 and FGF receptor mediated signaling networks reveal an extensive potential interactome
Cell Communication and Signaling (2012)
-
Kinomics: methods for deciphering the kinome
Nature Methods (2005)


