Abstract
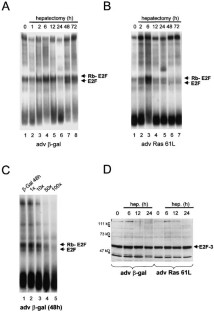
Ras-genes encode for proteins important for transmitting extracellular signals from the cytoplasm to the nucleus. In this study we investigated the impact of Ras on cell cycle progression after hepatectomy by using adenoviral vectors (adv) expressing β-galactosidase (β-gal), a dominant-negative (Ras N17) or a dominant-active (Ras 61L) form of H-Ras. Partial hepatectomy was performed in mice treated with the different adenoviruses and cell cycle progression was studied by analysing factors involved in cell cycle control during liver regeneration. After hepatectomy, adv Ras 61L increases DNA synthesis significantly in comparison to the other treatment groups. Higher Ras activity results in an early increase of transcriptional active E2F-3, which is associated with higher cyclin E, but almost unchanged cyclin D protein expression. However, Northern blot analysis and cyclin E promoter experiments indicate that, besides transcriptional mechanisms also post-transcriptional mechanisms are involved in regulating cyclin E protein expression after partial hepatectomy in mice treated with adv Ras 61L. Cyclin E phosphorylation studies demonstrate that adv Ras 61L results in hypophosphorylation of cyclin E compared to the control group at early time points after hepatectomy, when cyclin E protein expression strongly increases and there is only a minor effect on cyclin E mRNA levels. Our experiments indicate adv Ras 61L in vivo increases Cyclin E expression by higher transcription via E2F and a post-transcriptional mechanism. These mechanisms result in an earlier activation of an active CDK2/Cyclin E complex which, in turn, triggers DNA synthesis.
This is a preview of subscription content, access via your institution
Access options
Subscribe to this journal
Receive 50 print issues and online access
$259.00 per year
only $5.18 per issue
Buy this article
- Purchase on SpringerLink
- Instant access to the full article PDF.
USD 39.95
Prices may be subject to local taxes which are calculated during checkout











Similar content being viewed by others
References
Akerman P, Cote P, Yang SQ, McClain C, Nelson S, Bagby GJ, Diehl AM . 1992 Am. J. Physiol. 263: G579–G585
Bandara LR, La Thangue NB . 1991 Nature 351: 494–497
Becker TC, Noel RJ, Coats WS, Gomez-Foix AM, Alam T, Gerard RD, Newgard CB . 1994 Methods Cell. Biol. 43: 161–189
Boguski MS, McCormick F . 1993 Nature 366: 643–654
Botz J, Zerfass-Thome K, Spitkovsky D, Delius H, Vogt B, Eilers M, Hatzigeorgiou A, Jansen-Durr P . 1996 Mol. Cell. Biol. 16: 3401–3409
Bradham CA, Qian T, Streetz K, Trautwein C, Brenner DA, Lemaster JL . 1998 Mol. Cell. Biol. 18: 819–827
Brenner DA . 1998 Gastroenterol. Hepatol. 13: 93–95
Campbell SL, Khosravi-Far R, Rossman KL, Clark GJ, Der CJ . 1998 Oncogene 17: 1395–1413
Cressman DE, Greenbaum LE, DeAngelis RA, Ciliberto G, Furth EE, Poli V, Taub R . 1996 Science 274: 1379–1383
Damjanov I, Shan J, Wang RF, Damjanov A, DeLoia JA . 1994 Biochem. Biophys. Res. Commun. 201: 994–1000
Dealy MJ, Nguyen KV, Lo J, Gstaiger M, Krek W, Elson D, Arbeit J, Kipreos ET, Johnson RS . 1999 Nat. Genet. 23: 245–248
Downward J . 1998 Curr. Opin. Genet. Dev. 8: 49–54
Egan SE, Weinberg RA . 1993 Nature 365: 781–783
Fan J, Bertino JR . 1997 Oncogene 14: 2595–2607
Fattaey AR, Harlow E, Helin K . 1993 Mol. Cell. Biol. 13: 7267–7277
Gille H, Downward J . 1999 J. Biol. Chem. 274: 22033–22040
Greenbaum LE, Li W, Cressman DE, Peng Y, Ciliberto G, Poli V, Taub R . 1998 J. Clin. Invest. 102: 996–1007
Hayder H, Blanden RV, Korner H, Riminton DS, Sedgwick JD, Mullbacher A . 1999 Immunology 163: 1516–1520
Higgins GM, Anderson RM . 1931 Arch. Pathol. 12: 186–202
Hitomi M, Stacey DW . 1999 Mol. Cell. Biol. 19: 4623–4632
Kim TH, Mars WM, Stolz DB, Petersen BE, Michalopoulos GK . 1997 Hepatology 26: 896–904
Kühnel F, Zender L, Paul J, Trautwein C, Manns MP, Kubicka S . 2000 J. Biol. Chem. 275: 6421–6427
Leone G, DeGregori J, Sears R, Jakoi L, Nevins JR . 1997 Nature 387: 422–426
Lozier JN, Metzger ME, Donahue RE, Morgan RA . 1999 Blood 94: 3968–3975
Michalopoulos GK, DeFrances MC . 1997 Science 276: 60–66
Moodie SA, Wolfman A . 1994 Trends Genet. 10: 44–48
Morrison DK, Cutler RE . 1997 Curr. Opin. Cell. Biol. 9: 174–179
Niehof M, Manns MP, Trautwein C . 1997 Mol. Cell. Biol. 17: 3600–3613
Roeb E, Graeve L, Hoffmann R, Decker K, Edwards DR, Heinrich PC . 1993 Hepatology 18: 1437–1442
Rudolph KL, Trautwein C, Kubicka S, Rakemann T, Bahr MJ, Sedlaczek N, Schuppan D, Manns MP . 1999 Hepatology 30: 1159–1166
Schlessinger J . 1993 Trends Biochem. Sci. 18: 273–275
Sears R, Leone G, DeGregori J, Nevins JR . 1999 Mol. Cell 3: 169–179
Spector MS, Auer KL, Jarvis WD, Ishac EJN, Gao B, Kunos G, Dent P . 1997 Mol. Cell. Biol. 17: 3556–3565
Singer JD, Gurian-West M, Clurman B, Roberts JM . 1999 Genes Dev. 13: 2375–2387
Takuwa N, Takuwa Y . 1997 Mol. Cell. Biol. 17: 5348–5358
Talarmin H, Rescan C, Cariou S, Glaise D, Zanninelli G, Bilodeau M, Loyer P, Guguen-Guillouzo, Baffet G . 1999 Mol. Cell. Biol. 19: 6003–6011
Trautwein C, Rakemann T, Pietrangelo A, Plümpe J, Montosi G, Manns MP . 1996 J. Biol. Chem. 271: 22262–22270
Trautwein C, Rakemann T, Niehof M, Rose-John S, Manns MP . 1996 Gastroenterology 110: 1854–1862
Trautwein C, Rakemann T, Malek NP, Plümpe J, Tiegs G, Manns MP . 1998 J. Clin. Invest. 101: 1960–1969
Trautwein C, Will M, Kubicka S, Rakemann T, Manns MP . 1999 Oncogene 18: 6443–6453
Treisman R . 1996 Curr. Opin. Cell. Biol. 8: 205–215
Tulasne D, Paumelle R, Weidner KM, Vandenbunder B, Fafeur V . 1999 Mol. Biol. Cell 10: 551–565
Vaux DI, Korsmeyer SJ . 1999 Cell 96: 245–254
Wang Y, Penfold S, Tang X, Hattori N, Riley P, Harper JW, Cross JC, Tyers M . 1999 Curr. Biol. 9: 1191–1194
Winston JT, Coats SR, Wang YZ, Pledger WJ . 1996 Oncogene 12: 127–134
Won KA, Reed SI . 1996 EMBO J. 15: 4182–4193
Yamada Y, Kirillova I, Peschon JJ, Fausto N . 1997 Proc. Natl. Acad. Sci. USA 94: 1441–1446
Yang JJ, Kang JS, Krauss RS . 1998 Mol. Cell. Biol. 18: 2586–2595
Zamanian M, La Thangue N . 1992 EMBO J. 11: 2603–2610
Acknowledgements
This work was supported by the SFB 566.
Author information
Authors and Affiliations
Corresponding author
Rights and permissions
About this article
Cite this article
Lüdde, T., Kubicka, S., Plümpe, J. et al. Ras adenoviruses modulate cyclin E protein expression and DNA synthesis after partial hepatectomy. Oncogene 20, 5264–5278 (2001). https://doi.org/10.1038/sj.onc.1204690
Received:
Revised:
Accepted:
Published:
Issue date:
DOI: https://doi.org/10.1038/sj.onc.1204690


