Abstract
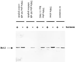
This work presents direct evidence that the bcl-2 gene is transcriptionally regulated by nuclear factor-κB (NF-κB) and directly links the TNF-α/NF-κB signaling pathway with Bcl-2 expression and its pro-survival response in human prostate carcinoma cells. DNase I footprinting, gel retardation and supershift analysis identified a NF-κB site in the bcl-2 p2 promoter. In the context of a minimal promoter, this bcl-2 p2 site 1 increased transcription 10-fold in the presence of the p50/p65 expression vectors, comparable to the increment observed with the consensus NF-κB site, while for the full p2 promoter region transcriptional activity was increased sixfold by over-expression of NF-κB, an effect eliminated by mutating the bcl-2 p2 site 1. The expression of Bcl-2 has been linked to the hormone-resistant phenotype of advanced prostate cancer. Here we show that an increase in the level of expression of Bcl-2 in the human prostate carcinoma cell line LNCaP observed in response to hormone withdrawal is further augmented by TNF-α treatment, and this effect is abated by inhibitors of NF-κB. Concomitantly, bcl-2 p2 promoter studies in LNCaP cells show a 40-fold increase in promoter activity after stimulation with TNF-α in the absence of hormone.
This is a preview of subscription content, access via your institution
Access options
Subscribe to this journal
Receive 50 print issues and online access
$259.00 per year
only $5.18 per issue
Buy this article
- Purchase on SpringerLink
- Instant access to the full article PDF.
USD 39.95
Prices may be subject to local taxes which are calculated during checkout







Similar content being viewed by others
References
Apakama I, Robinson MC, Walter NM, Charlton RG, Royds JA, Fuller CE, Neal DE, Hamdy FC . 1996 Br. J. Cancer 74: 1258–1262
Arsura M, Wu M, Sonenshein GE . 1996 Immunity 5: 31–40
Baeuerle PA . 1991 Biochim. Biophys. Acta 1072: 63–80
Baeuerle PA, Baltimore D . 1996 Cell 87: 13–20
Baeuerle PA, Henkel T . 1994 Annu. Rev. Immunol. 12: 141–179
Baldwin Jr AS . 1996 Annu. Rev. Immunol. 14: 649–683
Baltaci S, Orhan D, Ozer G, Tolunay O, Gogous O . 2000 BJU. Int. 85: 155–159
Beg AA, Baltimore D . 1996 Science 274: 782–784
Beg AA, Sha WC, Bronson RT, Ghosh S, Baltimore D . 1995 Nature 376: 167–170
Briggs MR, Kadonaga JT, Bell SP, Tjian R . 1986 Science 234: 47–52
Bruce AJ, Boling W, Kindy MS, Peschon J, Kraemer PJ, Carpenter MK, Holtsberg FW, Mattson MP . 1996 Nat. Med. 2: 788–794
Bubendorf L, Sauter G, Moch H, Jordan P, Blochlinger A, Gasser TC, Mihatsch MJ . 1996 Am. J. Pathol. 148: 1557–1565
Camandola S, Mattson MP . 2000 J. Neurosci. Res. 61: 134–139
Chaudhary KS, Abel PD, Lalani EN . 1999 Environ. Health Perspect. 107: Suppl 1 49–57
Chen HM, Boxer LM . 1995 Mol. Cell Biol. 15: 3840–3847
Cheng B, Christakos S, Mattson MP . 1994 Neuron 12: 139–153
Chu ZL, McKinsey TA, Liu L, Gentry JJ, Malim MH, Ballard DW . 1997 Proc. Natl. Acad. Sci. USA 94: 10057–10062
Colombel M, Symmans F, Gil S, O'Toole KM, Chopin D, Benson M, Olsson CA, Korsmeyer S, Buttyan R . 1993 Am. J. Pathol. 143: 390–400
de Moissac D, Mustapha S, Greenberg AH, Kirshenbaum LA . 1998 J. Biol. Chem. 273: 23946–23951
de Moissac D, Zheng H, Kirshenbaum LA . 1999 J. Biol. Chem. 274: 29505–29509
Dignam JD, Lebovitz RM, Roeder RG . 1983 Nucleic. Acids. Res. 11: 1475–1489
Frampton J, Ramqvist T, Graf T . 1996 Genes Dev. 10: 2720–2731
Graham FL, van der Eb AJ . 1973 Virology 52: 456–467
Grilli M, Chiu JJ, Lenardo MJ . 1993 Int. Rev. Cytol. 143: 1–62
Gross A, McDonnell JM, Korsmeyer SJ . 1999 Genes Dev. 13: 1899–1911
Heckman C, Mochon E, Arcinas M, Boxer LM . 1997 J. Biol. Chem. 272: 19609–19614
Herrmann JL, Beham AW, Sarkiss M, Chaio PJ, Rands MT, Bruckheimer EM, Brisbay S, McDonnell TJ . 1997 Exp. Cell Res. 237: 101–109
Hewitt SM, Hamada S, McDonnell TJ, Rauscher FJ, Saunders GF . 1995 Cancer Res. 55: 5386–5389
Huang A, Gandour-Edwards R, Rosenthal SA, Siders DB, Deitch AD, White RW . 1998 Urology 51: 346–351
Jacobs MD, Harrison SC . 1998 Cell 95: 749–758
Johnson JL, McLachlan A . 1994 Nucleic. Acids. Res. 22: 5085–5092
Johnson JL, Raney AK, McLachlan A . 1995 Virology 208: 147–158
Karin M . 1999 J. Biol. Chem. 274: 27339–27342
Lenardo MJ, Baltimore D . 1989 Cell 58: 227–229
Liou HC, Baltimore D . 1993 Curr. Opin. Cell Biol. 5: 477–487
Liu ZG, Hsu H, Goeddel DV, Karin M . 1996 Cell 87: 565–576
Lu S, Tsai SY, Tsai MJ . 1999 Endocrinology 140: 5054–5059
Mackey TJ, Borkowski A, Amin P, Jacobs SC, Kyprianou N . 1998 Urology 52: 1085–1090
Mattson MP, Goodman Y, Luo H, Fu W, Furukawa K . 1997 J. Neurosci. Res. 49: 681–697
McCormack JE, Pepe VH, Kent RB, Dean M, Marshak-Rothstein A, Sonenshein GE . 1984 Proc. Natl. Acad. Sci. USA 81: 5546–5550
McDonnell TJ, Troncoso P, Brisbay SM, Logothetis C, Chung LW, Hsieh, JT, Tu SM,, Campbell ML . 1992 Cancer Res. 52: 6940–6944
Miyake H, Hanada N, Nakamura H, Kagawa S, Fujiwara T, Hara I, Eto H, Gohji K, Arakawa S, Kamidono S, Saya H . 1998 Oncogene 16: 933–943
Miyashita T, Harigai M, Hanada M, Reed JC . 1994 Cancer Res. 54: 3131–3135
Miyashita T, Reed JC . 1995 Cell 80: 293–299
Nabel G, Baltimore D . 1987 Nature 326: 711–713
Nabel GJ, Verma IM . 1993 Genes Dev. 7: 2063
Nakashima J, Tachibana M, Ueno M, Miyajima A, Baba S, Murai M . 1998 Clin. Cancer Res. 4: 1743–1748
Oltvai ZN, Korsmeyer SJ . 1994 Cell 79: 189–192
Oltvai ZN, Milliman CL, Korsmeyer SJ . 1993 Cell 74: 609–619
Perlman H, Zhang X, Chen MW, Walsh K, Buttyan R . 1999 Cell Death. Differ. 6: 48–54
Prösch S, Staak K, Stein J, Liebenthal C, Stamminger T, Hans-Dieter V, Krüger DH . 2000 Virology 208: 197–206
Raffo AJ, Perlman H, Chen MW, Day ML, Streitman JS, Buttyan R . 1995 Cancer Res. 55: 4438–4445
Saeed B, Zhang H, Ng SC . 1997 Prostate 31: 145–152
Sambrook J, Maniatis T, Fritsch EF . 1989 Molecular cloning: a laboratory manual, 2nd edition Cold Spring Harbor Laboratory Press, Cold Spring Harbor, New York
Sanger F, Nicklen S, Coulson AR . 1977 Proc. Natl. Acad. Sci. USA 74: 5463–5467
Scherr DS, Vaughan Jr ED, Wei J, Chung M, Felsen D, Allbright R, Knudsen BS . 1999 J. Urol. 162: 12–16
Sen R, Baltimore D . 1986 Cell 46: 705–716
Seto M, Jaeger U, Hockett RD, Graninger W, Bennett S, Goldman P, Korsmeyer SJ . 1988 EMBO J. 7: 123–131
Sinha AA, Blackard CE, Seal US . 1977 Cancer 40: 2836–2850
Smith MD, Ensor EA, Coffin RS, Boxer LM, Latchman DS . 1998 J. Biol. Chem. 273: 16715–16722
Sorge J, Wright D, Erdman VD, Cutting AE . 1984 Mol. Cell Biol. 4: 1730–1737
Stehlik C, de Martin R, Kumabashiri I, Schmid JA, Binder BR, Lipp J . 1998 J. Exp. Med. 188: 211–216
Tamatani M, Che YH, Matsuzaki H, Ogawa S, Okado H, Miyaka S, Mizuno T, Tohyama M . 1999 J. Biol. Chem. 274: 8531–8538
Taylor D, Badiani P, Weston K . 1996 Genes Dev. 10: 2732–2744
Thanos D, Maniatis T . 1995 Mol. Cell Biol. 15: 152–164
Van Antwerp DJ, Martin SJ, Kafri T, Green DR, Verma IM . 1996 Science 274: 787–789
Verma IM, Stevenson JK, Schwarz EM, Van Antwerp D, Miyamoto S . 1995 Genes Dev. 9: 2723–2735
Virbasius CA, Virbasius JV, Scarpulla RC . 1993 Genes Dev. 7: 2431–2445
Wang CY, Guttridge DC, Mayo MW, Baldwin Jr AS . 1999a Mol. Cell Biol. 19: 5923–5929
Wang CY, Mayo MW, Baldwin ASJ . 1996 Science 274: 784–787
Wang CY, Mayo MW, Korneluk RG, Goeddel DV, Baldwin Jr AS . 1998 Science 281: 1680–1683
Wang Z, Morris GF, Reed JC, Kelly GD, Morris CB . 1999b Virology 257: 502–510
Westin P, Bergh A . 1998 Cancer Detect. Prev. 22: 476–484
Wilson BE, Mochon E, Boxer LM . 1996 Mol. Cell Biol. 16: 5546–5556
Wu M, Lee H, Bellas RE, Schauer SL, Arsura M, Katz D, FitzGerald MJ, Rothstein TL, Sher DH, Sonenshein GE . 1996 EMBO J. 15: 4682–4690
Wu MX, Ao Z, Prasad KV, Wu R, Schlossman SF . 1998 Science 281: 998–1001
You M, Ku PT, Hrdlickova R, Bose Jr HR . 1997 Mol. Cell Biol. 17: 7328–7341
Young RL, Korsmeyer SJ . 1993 Mol. Cell Biol. 13: 3686–3697
Zong WX, Edelstein LC, Chen C, Bash J, Gelinas C . 1999 Genes Dev. 13: 382–387
Zou H, Henzel WJ, Liu X, Lutschg A, Wang X . 1997 Cell 90: 405–413
Acknowledgements
This work was supported in part by USPHS grant AI-44434, the Stein Endowment Fund, and the Skaggs training grant. We wish to thank Julie M Ruedi for technical assistance and Carol Fedoryszyn for help with the preparation of this manuscript. PC Atterton supplied technical writing services.
Author information
Authors and Affiliations
Corresponding author
Rights and permissions
About this article
Cite this article
Catz, S., Johnson, J. Transcriptional regulation of bcl-2 by nuclear factor κB and its significance in prostate cancer. Oncogene 20, 7342–7351 (2001). https://doi.org/10.1038/sj.onc.1204926
Received:
Revised:
Accepted:
Published:
Issue date:
DOI: https://doi.org/10.1038/sj.onc.1204926
Keywords
This article is cited by
-
Neutralizing tumor-related inflammation and reprogramming of cancer-associated fibroblasts by Curcumin in breast cancer therapy
Scientific Reports (2023)
-
BCL-2 protein family: attractive targets for cancer therapy
Apoptosis (2023)
-
Estrogen-dependent activation of NCOA3 couples with p300 and NF-κB to mediate antiapoptotic genes in ER-positive breast cancer cells
Discover Oncology (2023)
-
Revealing β-TrCP activity dynamics in live cells with a genetically encoded biosensor
Nature Communications (2022)
-
Targeting Cpt1a-Bcl-2 interaction modulates apoptosis resistance and fibrotic remodeling
Cell Death & Differentiation (2022)


