Abstract
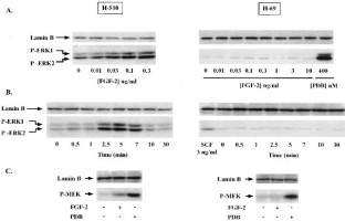
Here, we show that fibroblast growth factor-2 (FGF-2) induces proliferation of H-510 and H-69 small cell lung cancer (SCLC) cells. However, the optimal response to FGF-2 was obtained at 10-fold lower concentrations in H-510 cells. This correlated with the selective activation of the mitogen-activated protein kinase kinase (MEK) pathway in H-510, but not H-69 cells. Moreover, inhibition of MEK with PD098059 blocked FGF-2-induced proliferation in H-510 cells only. Similarly, ribosomal protein S6 kinase 2 (S6K2), a recently identified homologue of S6K1 was activated by FGF-2 in H-510, but not H-69 cells. This activation was independent of phosphatidylinositol-3 kinase, but was sensitive to inhibition of the MEK pathway. These data suggest that S6K2 is a novel downstream target of MEK. The potency of FGF-2 in H-510 cells might reflect this additional MEK/S6K2 signalling. In contrast to S6K2, S6K1 was activated in both SCLC cell lines. Inhibition of the mammalian target of rapamycin with 10 ng/ml rapamycin blocked S6K1 activation and proliferation of both lines. However, even at 100 ng/ml, rapamycin only partially inhibited S6K2. Strikingly, this correlated with inhibition of MEK signalling. Our data indicate that S6K1, and possibly S6K2, are involved in FGF-2-induced SCLC cell growth, a notion supported by the overexpression and higher baseline activity of both isoforms in SCLC lines, as compared to normal human type-II pneumocytes.
This is a preview of subscription content, access via your institution
Access options
Subscribe to this journal
Receive 50 print issues and online access
$259.00 per year
only $5.18 per issue
Buy this article
- Purchase on SpringerLink
- Instant access to the full article PDF.
USD 39.95
Prices may be subject to local taxes which are calculated during checkout








Similar content being viewed by others
References
Alessi DR, Kozlowski MT, Weng QP, Morrice N, Avruch J . 1998 Curr. Biol. 8: 69–81
Bailly K, Soulet F, Leroy D, Amalric F, Bouche G . 2000 FASEB J 14: 333–344
Belham C, Comb MJ, Avruch J . 2001 Current Biol. 11: 1155–1167
Belinsky SA, Devereaux TR, Foley JF, Maronpot RR, Anderson MW . 1992 Cancer Res. 52: 3164–3173
Bikfalvi A, Klein S, Pintucci G, Rifkin DB . 1997 Endocr Rev. 18: 26–45
Bunn PA, Dienhart DG, Chan D, Puck TT, Tagawa M, Jewett PB, Braunschweiger E . 1990 Proc. Natl. Acad. Sci. USA 87: 2162–2166
Carney DN, Gazdar AF, Minna JD . 1980 Cancer Res. 40: 1820–1823
Chellaiah AT, McEwan DG, Werner S, Xu J, Orntiz DM . 1994 J. Biol. Chem. 269: 11620–11627
Chou MM, Blenis J . 1995 Curr. Opin. Cell. Biol. 7: 806–814
Chung J, Kuo CJ, Crabtree GR, Blenis J . 1992 Cell 69: 1227–1236
Cordon-Cardo C, Vlodavsky I, Haimovitz-Friedman A, Hicklin D, Fuks Z . 1990 Lab. Investig. 63: 832–840
Dufner A, Thomas G . 1999 Exp. Cell. Res. 253: 100–109
Ferrari S, Thomas G . 1994 Crit. Rev. Biochem. Mol. Biol. 29: 385–413
Fujimoto K, Ichimori Y, Kakizoe T, Okajima E, Sakamoto H, Sugimura T, Terada M . 1991 Biochem. Biophys. Res. Commun. 180: 386–392
Gardner AM, Johnson GL . 1996 J. Biol. Chem. 271: 14560–14566
Gazdar AF, Carney DN, Guccion JG, Baylin SB . 1981 Small Cell Lung Cancer Greco FA Oldham FK and Bunn PA. (eds) Grune and Statton, Inc., New York pp. 145–175
Gout I, Minami T, Hara K, Tsujishita Y, Filonenko V, Waterfield MD, Yonezawa K . 1998 J. Biol. Chem. 273: 30061–30064
Hibi H, Takahashi T, Sekido Y, Ueda R, Hida T, Ariyoshi Y, Takagi H, Takahashi T . 1991 Oncogene 6: 2291–2296
Kanda S, Hodgkin MN, Woodfield RJ, Wakelam MJO, Thomas G, Claesson-Welsh L . 1997 J. Biol. Chem. 272: 23347–23353
Koh H, Jee K, Lee B, Kim J, Yun YH, Kim JW, Choi HS, Chung J . 1999 Oncogene 18: 5115–5119
Kouhara H, Hadari YR, Spivak-Kroizman T, Schilling J, Bar-Sagi D, Lax I, Schlessinger J . 1997 Cell 89: 693–702
Krystal GW, Hines SJ, Organ CP . 1996 Cancer Res. 56: 370–376
Lee-Frumen KK, Kuo CJ, Lippincott J, Terada N, Blenis J . 1999 Oncogene 18: 5108–5114
Linder C, Linder S, Munck-Wikland W, Strander H . 1998 Anticancer Res. 18: 2063–2068
Macaulay VM, Everard MJ, Teale JD, Trott PA, Van-Wyk JJ, Smith IE, Millar JL . 1990 Cancer Res. 50: 2511–2517
Mansukhani A, Dell'Era P, Moscatelli D, Kornbluth S, Hanafusa H, Basilico C . 1992 Proc. Natl. Acad. Sci. USA 89: 3305–3309
Martin KA, Schlam SS, Romanelli A, Keon KL, Blenis J . 2001 J. Biol. Chem. 276: 7892–7898
Miyake A, Konishi M, Martin FH, Hernday NA, Ozaki K, Yamamoto S, Mikami T, Arakawa T, Itoh N . 1998 Biochem. Biophys. Res. Commun. 243: 148–152
Mohammadi M, Dikic I, Sorokin A, Burgess WH, Jaye M, Schlessinger J . 1996 Mol. Cell. Biol. 16: 977–989
Mohammadi M, Dionne CA, Li W, Li N, Spivak T, Honnegaer AM, Jaye M, Schlessinger J . 1992 Nature 358: 681–684
Ornitz DM, Xu J, Colvin JS, McEwen DG, MacArthur CA, Coulier F, Gao G, Goldfarb M . 1996 J. Biol. Chem. 271: 15292–15297
Plotnikov AN, Schlessinger J, Hubbard SR, Mohammadi M . 1999 Cell 98: 641–650
Pullen N, Dennis PB, Andjelkovic M, Dufner A, Kozma SC, Hemmings BA, Thomas G . 1998 Science 279: 707–710
Risse-Hackl G, Adamkiewicz J, Wimmel A, Schuermann M . 1998 Oncogene 16: 3057–3068
Ron D, Reich R, Chedid M, Lengel C, Cohen OE, Chen AM, Neufeld G, Miki T, Tronick SR . 1993 J. Biol. Chem. 268: 5388–5394
Seckl MJ, Rozengurt E . 1998 Clinical and Biological Basis of Lung Cancer Prevention. Martinet Y, Hirsch FR, Martinet N, Vignaud J-M and Mulshine JL (eds). Birkhäuser Verlag: Basel pp. 129–142
Seckl MJ, Seufferlein T, Rozengurt E . 1994 Cancer Res. 54: 6143–6147
Sethi T, Rozengurt E . 1991 Cancer Res. 51: 3621–3623
Seufferlein T, Rozengurt E . 1996 Cancer Res. 56: 3895–3897
Shi E, Kan M, Xu J, Wang F, Hou J, McKeehan WL . 1993 Mol. Cell. Biol. 13: 3907–3918
Shima H, Pende M, Chen Y, Fumagalli S, Thomas G, Kozma SC . 1998 EMBO J. 17: 6649–6659
Smyth JF, Fowlie SM, Gregor A, Crompton GK, Busutill A, Leonard RCF, Grant IWB . 1986 Quart. J. Med. 61: 969–976
Szebenyi G, Fallon JF . 1999 Int. Rev. Cytol. 185: 45–106
Ten Have-Opbroek AAW, Benfield JR, Krieken JHJH, Dijkman JH . 1997 Histol. Histopathol. 12: 319–336
Vainikka S, Partanen J, Bellosta P, Coulier F, BNirnbaum D, Basilico C, Jaye M, Alitalo K . 1992 EMBO J. 11: 4273–4280
Valovka T, Filonenko V, Velykyi M, Drobot L, Matsuka G, Gout I . 1999 Biopolymers and Cell 15: 1–7
Waskiewicz AJ, Johnson JC, Penn B, Mahalingam M, Kimball SR, Cooper JA . 1999 Mol. Cell. Biol. 19: 1871–1880
Wennström S, Downward J . 1999 Mol. Cell. Biol. 19: 4279–4288
Wennström S, Siegbahn A, Yokote K, Arvidsson A-K, Heldin C-H, Mori S, Claesson-Welsh L . 1994 Oncogene 9: 651–660
Werner S, Duan DR, Devries C, Peters KG, Johnson DE, William LT . 1992 Mol. Cell. Biol. 12: 82–88
Witherden IR, Tetley TD . 2001 Human Airway Inflammation: Sampling Techniques and Analytical Protocols. Rogers DF and Donnelly LE. (eds) Humana Press Inc: Totowa, N.J
Yiangou C, Cox H, Bansal GS, Coope R, Gomm JJ, Barnard R, Walters J, Groome N, Shousha S, Coombes RC, Johnston CL . 1997 Br. J. Cancer 76: 1419–1427
Zubilewicz A, Hecquet C, Jeanny JC, Soubrane G, Courtois Y, Mascarelli F . 2001 Oncogene 20: 1403–1413
Acknowledgements
We would like to thank Drs J Downward and T Seufferlein for critical reading of the manuscript and the Cancer Research Campaign for supporting the work.
Author information
Authors and Affiliations
Corresponding author
Rights and permissions
About this article
Cite this article
Pardo, O., Arcaro, A., Salerno, G. et al. Novel cross talk between MEK and S6K2 in FGF-2 induced proliferation of SCLC cells. Oncogene 20, 7658–7667 (2001). https://doi.org/10.1038/sj.onc.1204994
Received:
Revised:
Accepted:
Published:
Issue date:
DOI: https://doi.org/10.1038/sj.onc.1204994
Keywords
This article is cited by
-
Antitumor activity and mechanism of resistance of the novel HDAC and PI3K dual inhibitor CUDC-907 in pancreatic cancer
Cancer Chemotherapy and Pharmacology (2021)
-
Locus Mapping, Molecular Cloning, and Expression Analysis of rps6kb2, a Novel Metamorphosis-Related Gene in Chinese Tongue Sole (Cynoglossus semilaevis)
Marine Biotechnology (2017)
-
Nemo-like kinase regulates the expression of vascular endothelial growth factor (VEGF) in alveolar epithelial cells
Scientific Reports (2016)
-
PD173074, a selective FGFR inhibitor, reverses ABCB1-mediated drug resistance in cancer cells
Cancer Chemotherapy and Pharmacology (2013)
-
An siRNA screen identifies RSK1 as a key modulator of lung cancer metastasis
Oncogene (2011)


