Abstract
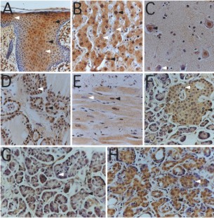
The transcript encoding endonuclein, the human homolog of yeast PWP1, was previously found up-regulated in pancreatic cancer tissue. By immunohistochemistry we detected a ubiquitous presence in several tissues examined: skin, liver, thyroid gland, heart muscle, neurons, kidney, bladder, pancreas, adrenal gland, ovary, uterus, testis and prostate gland. We especially noticed that normal pancreatic exocrine cells exhibited low protein levels while pancreatic adenocarcinoma cells revealed high levels. We found a heterogeneous subcellular distribution, especially with varying nuclear levels. In proliferating cells endonuclein protein expression and localization was cell cycle dependent, with increasing levels and nuclear focusing during the interphase toward mitosis. Ultrastructural analysis revealed ER and nuclear localization. Endonuclein contains five WD-repeats, indicating a putative role in crucial regulatory activities in the nucleus as well as in the ER.
This is a preview of subscription content, access via your institution
Access options
Subscribe to this journal
Receive 50 print issues and online access
$259.00 per year
only $5.18 per issue
Buy this article
- Purchase on SpringerLink
- Instant access to the full article PDF.
USD 39.95
Prices may be subject to local taxes which are calculated during checkout




Similar content being viewed by others
Abbreviations
- ER:
-
endoplasmic reticulum
- GST:
-
glutathion S-transferase.
References
Bos JL . 1989 Cancer Res. 49: 4682–4689
Bradford MM . 1976 Anal. Biochem. 72: 248–254
Celis JE, Madsen P . 1994 Cell Biology A Laboratory Handbook Vol. 1: Celis JE (ed) San Diego: Academic Press pp 288–293
Christmas P, Callaway J, Fallon J, Jones J, Haigler HT . 1991 J. Biol. Chem. 266: 2499–2507
Coppola D . 2000 Cancer Control 7: 421–427
Duronio RJ, Gordon JI, Boguski MS . 1992 Proteins 13: 41–56
Fong HK, Hurley JB, Hopkins RS, Miake-Lye R, Johnson MS, Doolittle RF, Simon MI . 1986 Proc. Natl. Acad. Sci. USA 83: 2162–2166
Gress TM, Muller-Pillasch F, Geng M, Zimmerhackl F, Zehetner G, Friess H, Buchler M, Adler G, Lehrach H . 1996 Oncogene 13: 1819–1830
Hahn SA, Schutte M, Hoque AT, Moskaluk CA, da Costa LT, Rozenblum E, Weinstein CL, Fischer A, Yeo CJ, Hruban RH, Kern SE . 1996 Science 271: 350–353
Hamon Y, Luciani MF, Becq F, Verrier B, Rubartelli A, Chimini G . 1997 Blood 90: 2911–2915
Honoré B, Leffers H, Madsen P, Celis JE . 1994 Gene 151: 291–296
Honoré B, Rasmussen HH, Vorum H, Dejgaard K, Liu X, Gromov P, Madsen P, Gesser B, Tommerup N, Celis JE . 1995 J. Biol. Chem. 270: 28780–28789
Honoré B, Vorum H, Baandrup U . 1999 FEBS Lett. 456: 274–280
Kang SA, Cho YJ, Moon HB, Na DS . 1996 Br. J. Pharmacol. 117: 1780–1784
Korc M, Chandrasekar B, Yamanaka Y, Friess H, Buchier M, Beger HG . 1992 J. Clin. Invest. 90: 1352–1360
Kornmann M, Ishiwata T, Itakura J, Tangvoranuntakul P, Beger HG, Korc M . 1998 Oncology 55: 363–369
Liu Q, Yan YX, McClure M, Nakagawa H, Fujimura F, Rustgi AK . 1995 Oncogene 10: 619–622
Murr MM, Sarr MG, Oishi AJ, van Heerden JA . 1994 CA Cancer J. Clin. 44: 304–318
Myers MH, Ries LA . 1989 CA Cancer J. Clin. 39: 21–32
Naka T, Kobayashi M, Ashida K, Toyota N, Kaneko T, Kaibara N . 1998 Int. J. Oncol. 12: 1111–1116
Neer EJ, Schmidt CJ, Smith T . 1993 Nat. Genet. 5: 3–4
Neer EJ, Schmidt CJ, Nambudripad R, Smith TF . 1994 Nature 371: 297–300
Simon B, Weinel R, Hohne M, Watz J, Schmidt J, Kortner G, Arnold R . 1994 Gastroenterology 106: 1645–1651
Smith TF, Gaitatzes C, Saxena K, Neer EJ . 1999 Trends Biochem. Sci. 24: 181–185
van der Voorn L, Ploegh HL . 1992 FEBS Lett. 307: 131–134
Vorum H, Hager H, Christensen BM, Nielsen S, Honoré B . 1999 Exp. Cell Res. 248: 473–481
Vorum H, Liu X, Madsen P, Rasmussen HH, Honoré B . 1998 Biochim. Biophys. Acta. 1386: 121–131
Acknowledgements
We thank Inge Kjærgaard, Kirsten Peterslund, and Zhila Nikrozi for expert technical assistance. This work was supported by grants from the Danish Medical Research Council, the Novo Nordisk Foundation, Grosserer Valdemar Foersom og hustru Thyra Foersom, født Otto's Fond, Fru Astrid Thaysens Legat for Lægevidenskabelig Grundforskning and the Karen Elise Jensen Foundation.
Author information
Authors and Affiliations
Corresponding author
Rights and permissions
About this article
Cite this article
Honoré, B., Baandrup, U., Nielsen, S. et al. Endonuclein is a cell cycle regulated WD-repeat protein that is up-regulated in adenocarcinoma of the pancreas. Oncogene 21, 1123–1129 (2002). https://doi.org/10.1038/sj.onc.1205186
Received:
Revised:
Accepted:
Published:
Issue date:
DOI: https://doi.org/10.1038/sj.onc.1205186
Keywords
This article is cited by
-
HNRNPH1 is required for rhabdomyosarcoma cell growth and survival
Oncogenesis (2018)
-
WD40 Repeat Proteins: Signalling Scaffold with Diverse Functions
The Protein Journal (2018)
-
Identification and characterization of endonuclein binding proteins: evidence of modulatory effects on signal transduction and chaperone activity
BMC Biochemistry (2009)
-
Human RNA polymerase II-associated factor complex: dysregulation in cancer
Oncogene (2007)
-
WIPI-1α (WIPI49), a member of the novel 7-bladed WIPI protein family, is aberrantly expressed in human cancer and is linked to starvation-induced autophagy
Oncogene (2004)


