Abstract
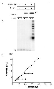
One critical step in the development of a cancerous cell is its acquisition of an unlimited replicative lifespan, the process termed immortalization. Experimental model systems designed to study cellular transformation ex vivo have relied to date on the in vitro selection of a subpopulation of cells that have become immortalized through treatment with chemical or physical mutagens and the selection of rare clonal variants. In this study, we describe the direct immortalization of primary human airway epithelial cells through the successive introduction of the Simian Virus 40 Early Region and the telomerase catalytic subunit hTERT. Cells immortalized in this way are now responsive to malignant transformation by an introduced H-ras or K-ras oncogene. These immortalized human airway epithelial cells, which have been created through the stepwise introduction of genetic alterations, provide a novel experimental model system with which to study further the biology of the airway epithelial cell and to dissect the molecular basis of lung cancer pathogenesis.
This is a preview of subscription content, access via your institution
Access options
Subscribe to this journal
Receive 50 print issues and online access
$259.00 per year
only $5.18 per issue
Buy this article
- Purchase on SpringerLink
- Instant access to the full article PDF.
USD 39.95
Prices may be subject to local taxes which are calculated during checkout




Similar content being viewed by others
References
Barcellos-Hoff MH, Ravani SA . 2000 Cancer Res. 60: 1254–1260
Bernacki SH, Nelson AL, Abdullah L, Sheehan JK, Harris A, William Davis C, Randell SH . 1999 Am. J. Respir. Cell. Mol. Biol. 20: 595–604
Bodnar AG, Ouellette M, Frolkis M, Holt SE, Chiu CP, Morin GB, Harley CB, Shay JW, Lichtsteiner S, Wright WE . 1998 Science 279: 349–352
Counter CM, Hahn WC, Wei W, Caddle SD, Beijersbergen RL, Lansdorp PM, Sedivy JM, Weinberg RA . 1998 Proc. Natl. Acad. Sci. USA 95: 14723–14728
Dickson MA, Hahn WC, Ino Y, Ronfard V, Wu JY, Weinberg RA, Louis DN, Li FP, Rheinwald JG . 2000 Mol. Cell. Biol. 20: 1436–1447
Elenbaas B, Spirio L, Koerner F, Fleming MD, Zimonjic DB, Donaher JL, Popescu NC, Hahn WC, Weinberg RA . 2001 Genes Dev. 15: 50–65
Elenbaas B, Weinberg RA . 2001 Exp. Cell Res. 264: 169–184
Finney RE, Bishop JM . 1993 Science 260: 1524–1527
Hahn WC, Counter CM, Lundberg AS, Beijersbergen RL, Brooks MW, Weinberg RA . 1999 Nature 400: 464–468
Hahn WC, Dessain SK, Brooks MW, King JE, Elenbaas B, Sabatini DM, DeCaprio JA, Weinberg RA . 2002 Mol. Cell. Biol. 22: 2111–2123
Halvorsen TL, Leibowitz G, Levine F . 1999 Mol. Cell. Biol. 19: 1864–1870
Harper JR, Roop DR, Yuspa SH . 1986 Mol. Cell. Biol. 6: 3144–3149
Hayflick L, Moorhead PS . 1961 Exp. Cell Res. 25: 585–621
Jat PS, Cepko CL, Mulligan RC, Sharp PA . 1986 Mol. Cell. Biol. 6: 1204–1217
Johnson L, Mercer K, Greenbaum D, Bronson RT, Crowley D, Tuveson DA, Jacks T . 2001 Nature 410: 1111–1116
Kiyono T, Foster SA, Koop JI, McDougall JK, Galloway DA, Klingelhutz AJ . 1998 Nature 396: 84–88
Kreda SM, Gynn MC, Fenstermacher DA, Boucher RC, Gabriel SE . 2001 Am. J. Respir. Cell. Mol. Biol. 24: 224–234
Lechner JF, Haugen A, Autrup H, McClendon IA, Trump BF, Harris CC . 1981 Cancer Res. 41: 2294–2304
Lechner JF, Haugen A, McClendon IA, Pettis EW . 1982 In Vitro 18: 633–642
Lustig AJ . 1999 Proc. Natl. Acad. Sci. USA 96: 3339–3341
McCoy MS, Bargmann CI, Weinberg RA . 1984 Mol. Cell. Biol. 4: 1577–1582
Mercer RR, Russell ML, Roggli VL, Crapo JD . 1994 Am. J. Respir. Cell. Mol. Biol. 10: 613–624
Morgenstern JP, Land H . 1990 Nucleic Acids Res. 18: 1068–
Newbold RF, Overell RW . 1983 Nature 304: 648–651
Olumi AF, Grossfeld GD, Hayward SW, Carroll PR, Tlsty TD, Cunha GR . 1999 Cancer Res. 59: 5002–5011
Ramirez RD, Morales CP, Herbert BS, Rohde JM, Passons C, Shay JW, Wright WE . 2001 Genes Dev. 15: 398–403
Reddel RR, Ke Y, Gerwin BI, McMenamin MG, Lechner JF, Su RT, Brash DE, Park JB, Rhim JS, Harris CC . 1988a Cancer Res. 48: 1904–1909
Reddel RR, Ke Y, Kaighn ME, Malan-Shibley L, Lechner JF, Rhim JS, Harris CC . 1988b Oncogene Res. 3: 401–408
Rhim JS, Jay G, Arnstein P, Price FM, Sanford KK, Aaronson SA . 1985 Science 227: 1250–1252
Rich JN, Guo C, McLendon RE, Bigner DD, Wang XF, Counter CM . 2001 Cancer Res. 61: 3556–3560
Rodenhuis S, Slebos RJ, Boot AJ, Evers SG, Mooi WJ, Wagenaar SS, van Bodegom PC, Bos JL . 1988 Cancer Res. 48: 5738–5741
Rodriguez-Puebla ML, LaCava M, Bolontrade MF, Russell J, Conti CJ . 1999 Mol. Carcinog. 26: 150–156
Sager R . 1991 Environ. Health Perspect. 93: 59–62
Sedivy JM . 1998 Proc. Natl. Acad. Sci. USA 95: 9078–9081
Sherr CJ, DePinho RA . 2000 Cell 102: 407–410
Stewart N, Bacchetti S . 1991 Virology 180: 49–57
Stoner GD, Katoh Y, Foidart JM, Myers GA, Harris CC . 1980 Methods Cell Biol. 21A: 15–35
Thomas M, Yang L, Hornsby PJ . 2000 Nat. Biotechnol. 18: 39–42
Vaziri H, Benchimol S . 1998 Curr. Biol. 8: 279–282
Wei W, Sedivy JM . 1999 Exp. Cell Res. 253: 519–522
Wright WE, Shay JW . 1992 Exp. Gerontol. 27: 383–389
Yoakum GH, Lechner JF, Gabrielson EW, Korba BE, Malan-Shibley L, Willey JC, Valerio MG, Shamsuddin AM, Trump BF, Harris CC . 1985 Science 227: 1174–1179
Yu J, Boyapati A, Rundell K . 2001 Virology 290: 192–198
Zhu J, Wang H, Bishop JM, Blackburn EH . 1999 Proc. Natl. Acad. Sci. USA 96: 3723–3728
Acknowledgements
We thank the members of the Weinberg, Randell, and Hahn laboratories for helpful comments. This work was supported in part by grants from the US National Cancer Institute (AS Lundberg, WC Hahn, and RA Weinberg), NHLBI (SH Randell), the Doris Duke Charitable Foundation (WC Hahn), the American Cancer Institute (SA Stewart) and the G Harold and Leila Y Mathers Charitable Foundation (RA Weinberg). AS Lundberg, WC Hahn, and SA Stewart were Margaret and Herman Sokol Fellows. RA Weinberg is an American Cancer Society Research Professor and the Daniel K Ludwig Cancer Research Professor.
Author information
Authors and Affiliations
Corresponding authors
Rights and permissions
About this article
Cite this article
Lundberg, A., Randell, S., Stewart, S. et al. Immortalization and transformation of primary human airway epithelial cells by gene transfer. Oncogene 21, 4577–4586 (2002). https://doi.org/10.1038/sj.onc.1205550
Received:
Revised:
Accepted:
Published:
Issue date:
DOI: https://doi.org/10.1038/sj.onc.1205550
Keywords
This article is cited by
-
Establishment of primary prostate epithelial and tumorigenic cell lines using a non-viral immortalization approach
Biological Research (2024)
-
Independent role of caspases and Bik in augmenting influenza A virus replication in airway epithelial cells and mice
Virology Journal (2023)
-
An intrinsic purine metabolite AICAR blocks lung tumour growth by targeting oncoprotein mucin 1
British Journal of Cancer (2023)
-
MicroRNA-21 guide and passenger strand regulation of adenylosuccinate lyase-mediated purine metabolism promotes transition to an EGFR-TKI-tolerant persister state
Cancer Gene Therapy (2022)
-
ERK5 modulates IL-6 secretion and contributes to tumor-induced immune suppression
Cell Death & Disease (2021)


