Abstract
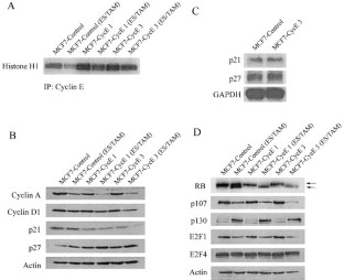
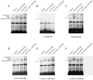
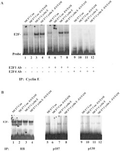
Estrogens stimulate proliferation of estrogen receptor positive MCF7 breast cancer cells while antiestrogens signal a G0/G1 growth arrest. In MCF7 cells, arrest is mediated through the CDK inhibitors p21 and p27 and through a decrease in cyclin E/CDK2 kinase activity. We found that in MCF7 cells, overexpression of cyclin E partially abrogates a tamoxifen mediated growth arrest. Overexpression of cyclin E is accompanied by a decrease in the levels of RB and CDK inhibitor p21 but an increase in CDK inhibitor p27. Cyclin E overexpression also alters the composition of E2F transcription factor complexes. The E2F4/p107/cyclin E/CDK2 complex, a minor component in proliferating control cells that is absent in growth-arrested cells, is more abundant in both proliferating and tamoxifen treated cyclin E overexpressing cells. Conversely, levels of the quiescence associated E2F/p130 complex is not detected in these cells. Expression from the E2F dependant promoter is elevated in proliferating and tamoxifen treated cyclin E overexpressing cells. This study suggests that a modest overexpression of cyclin E abrogates the tamoxifen mediated growth arrest through modification of the RB/E2F pathway. Moreover, these results provide one explanation of why some cells that express the estrogen receptor may be unresponsive to antiestrogens.
This is a preview of subscription content, access via your institution
Access options
Subscribe to this journal
Receive 50 print issues and online access
$259.00 per year
only $5.18 per issue
Buy this article
- Purchase on SpringerLink
- Instant access to the full article PDF.
USD 39.95
Prices may be subject to local taxes which are calculated during checkout





Similar content being viewed by others
References
Arata Y, Fujita M, Ohtani K, Kijima S, Kato JY . 2000 J. Biol. Chem. 275: 6337–6345
Beato M, Chavez S, Truss M . 1996 Steroids 61: 240–251
Bortner DM, Rosenberg MP . 1997 Mol. Cell. Biol. 17: 453–459
Buckley MF, Sweeney KJ, Hamilton JA, Sini RL, Manning DL, Nicholson RI, deFazio A, Watts CK, Musgrove EA, Sutherland RL . 1993 Oncogene 8: 2127–2133
Cariou S, Donovan CH, Flanagan WM, Milic A, Bhattacharya N, Slingerland JM . 2000 Proc. Natl. Acad. Sci. USA 97: 9042–9046
Carrol JS, Prall OWJ, Musgrove EA, Sutherland RL . 2000 J. Biol. Chem. 275: 38220–38221
Chiarle R, Pagano M, Inghirami G . 2001 Breast Canc. Res. 3: 91–94
Darzynkiewicz Z, Bedner E, Li X, Gorczyca W, Melamed MR . 1999 Cell. Res. 249: 1–12
Duronio RJ, Brook A, Dyson N, O'Farrell PH . 1996 Genes Dev. 10: 2505–2513
Dyson N . 1998 Genes Dev. 12: 2245–2262
Encarnacion CA, Ciocca DR, McGuire WL, Clark GM, Fuqua SA, Osborne CK . 1993 Breast Cancer Res. Tr. 26: 237–246
Harbour JW, Luo RX, Dei Santi A, Postigo AA, Dean DC . 1999 Cell 98: 859–869
Hartwell LH, Kastan MB . 1994 Science 266: 1821–1828
Hatakeyama M, Brill JA, Fink GR, Weinberg RA . 1994 Genes Dev. 8: 1759–1771
Hengst L, Dulic V, Slingher J, Lees E, Reed SI . 1994 Proc. Natl. Acad. Sci. USA 91: 5291–5294
Howell A, DeFriend D, Robertson JFR, Blamey RW, Anderson L, Anderson E, Sutcliffe FA, Walton P . 1996 Brit. J. Cancer 74: 300–308
Hunter T, Pines J . 1994 Cell 79: 573–582
Kamentsky LA . 2001 Methods Cell Biol. 63: 51–87
Katzenellenbogen JA, O'Malley BW, Katzenellenbogen BS . 1996 Mol. Endocrinol. 10: 119–131
Keyomarsi K, O'Leary N, Molnar C, Lees E, Fingert HJ, Pardee AB . 1994 Cancer Res. 54: 380–385
Keyomarsi K, Conte Jr D, Toyofuku W, Fox MP . 1995 Oncogene 11: 941–950
Koff A, Ohtsuki M, Polyak K, Roberts JM, Massague J . 1993 Science 260: 536–539
Lees E, Faha E, Duclic V, Reed SI, Harlow E . 1992 Genes Dev. 6: 1874–1885
Loeken MR, Brady J . 1989 J. Biol. Chem. 264: 6572–6579
Lundberg AS, Weinberg RA . 1998 Mol. Cell Biol. 18: 753–761
Maki CG, Howley PM . 1997 Mol. Cell. Biol. 17: 355–363
Mayol X, Grana X . 1997 Prog, Cell Cycle Res. 3: 157–169
Mudryj M, Devoto SH, Hiebert SW, Hunter T, Pines J, Nevins JR . 1991 Cell 65: 1243–1253
Nasmyth K . 1993 Curr. Opin. Cell Biol. 5: 166–179
Nevins JR . 1998 Cell Growth Differ 9: 585–593
Nielsen NH, Arnerlov C, Emdin SO, Landberg G . 1996 Brit. J. Cancer 74: 874–880
Ohtsubo M, Theodoras AM, Schumacher J, Roberts JM, Pagano M . 1995 Mol. Cell. Biol. 15: 2612–2624
Perlmann T, Evans RM . 1997 Cell 90: 391–397
Porter DC, Keyomarsi K . 2000 Nucleic Acids Res. 28: E101
Robertson JFR . 1996 Brit. J. Cancer 73: 5–12
Ruffner H, Jiang W, Craig AG, Hunter T, Verma IM . 1999 Mol. Cell Biol. 19: 4843–4854
Sambrook J, Fritsch EF, Maniatis T . 1989 Molecular Cloning: A Laboratory Manual 2nd ed Cold Spring Harbor Laboratory Press: New York pp 737–752
Schulze A, Zerfass K, Spitkovsky D, Middendorp S, Berges J, Helin K, Jansen-Durr P, Henglein B . 1995 Proc. Natl. Acad. Sci. USA 92: 11264–11268
Sheaff RJ, Groudine M, Gordon M, Roberts JM, Clurman BE . 1997 Genes Dev. 11: 1464–1478
Sheaff RJ, Singer JD, Swanger J, Smitherman M, Roberts JM, Clurman BE . 2000 Mol. Cell. 5: 403–410
Sherr CJ . 1994 Cell 79: 551–555
Sherr CJ . 1996 Science 274: 1672–1677
Sherr CJ, Roberts JM . 1999 Genes Dev. 13: 1501–1512
Sgambato A, Han EK, Zhou P, Schieren I, Weinstein IB . 1996 Cancer Res. 56: 1389–1399
Su TT, O'Farrell PH . 1997 J. Cell Biol. 139: 13–21
Swanson C, Ross J, Jackson PK . 2000 Proc. Natl. Acad. Sci. USA 97: 7796–7801
Taylor IW, Hodson PJ, Green MD, Sutherland RL . 1983 Cancer Res. 43: 4007–4010
Vlach J, Hennecke S, Amati B . 1997 EMBO J. 16: 5334–5344
Watts CK, Brady A, Sarceciv B, de Fazio A, Musgrove EA, Sutherland RL . 1995 Mol. Endocrinol. 9: 1804–1813
Zerfass-Thome K, Schulze A, Zwerschke W, Vogt B, Helin K, Bartek J, Henglein B, Jansen-Durr P . 1997 Mol. Cell Biol. 17: 407–415
Zhao J, Dynlacht B, Imai T, Hori T, Harlow E . 1998 Genes Dev. 12: 456–461
Acknowledgements
We thank Daniel P Vang and Brian Robinson for technical support, and Drs Michael F Seldin, Gigi Lozano and Clifford Tepper for critical reading of the manuscript. This study was supported in part by a VA Merit Award (M Mudryj) and the University of California, Davis Health System Research Award (M Mudryj).
Author information
Authors and Affiliations
Corresponding author
Rights and permissions
About this article
Cite this article
Dhillon, N., Mudryj, M. Ectopic expression of cyclin E in estrogen responsive cells abrogates antiestrogen mediated growth arrest. Oncogene 21, 4626–4634 (2002). https://doi.org/10.1038/sj.onc.1205576
Received:
Revised:
Accepted:
Published:
Issue date:
DOI: https://doi.org/10.1038/sj.onc.1205576
Keywords
This article is cited by
-
E2F4 regulatory program predicts patient survival prognosis in breast cancer
Breast Cancer Research (2014)
-
Roscovitine confers tumor suppressive effect on therapy-resistant breast tumor cells
Breast Cancer Research (2011)
-
Biological determinants of endocrine resistance in breast cancer
Nature Reviews Cancer (2009)
-
Low-molecular-weight cyclin E: the missing link between biology and clinical outcome
Breast Cancer Research (2004)
-
Cyclin-E is a strong predictor of endocrine therapy failure in human breast cancer
Oncogene (2003)


