Abstract
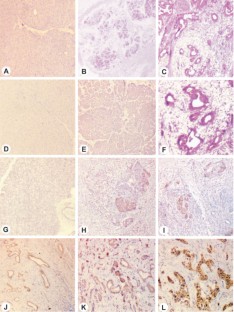
The arylhydrocarbon receptor (AhR) was initially identified as a member of the adaptive metabolic and toxic response pathway to polycyclic aromatic hydrocarbons and to halogenated dibenzo-p-dioxins and dibenzofurans. In the present study, we sought to determine the functional significance of the AhR pathway in pancreatic carcinogenesis. AhR expression was analysed by Northern blotting. The exact site of AhR expression was analysed by in situ hybridization and immunohistochemistry. The effects of TCDD and four selective AhR agonists on pancreatic cancer cell lines were investigated by growth assays, apoptosis assays, and induction of the cyclin-dependent kinase inhibitor p21. There was strong AhR mRNA expression in 14 out of 15 pancreatic cancer samples, weak expression in chronic pancreatitis tissues, and faint expression in all normal pancreata. In pancreatic cancer tissues, AhR mRNA and protein expression were localized in the cytoplasm of pancreatic cancer cells. TCDD and the four AhR agonists inhibited pancreatic cancer cell growth in a dose-dependent manner, and decreased anchorage-independent cell growth. DAPI staining did not reveal nuclear fragmentation and CYP1A1 and was not induced by TCDD and AhR agonists. In contrast, TCDD and AhR agonists induced the expression of the cyclin-dependent kinase inhibitor p21. In conclusion, the relatively non-toxic AhR agonists caused growth inhibition in pancreatic cancer cells with high AhR expression levels via cell cycle arrest. In addition, almost all human pancreatic cancer tissues expressed this receptor at high levels, suggesting that these or related compounds may play a role in the therapy of pancreatic cancer in the future.
This is a preview of subscription content, access via your institution
Access options
Subscribe to this journal
Receive 50 print issues and online access
$259.00 per year
only $5.18 per issue
Buy this article
- Purchase on SpringerLink
- Instant access to the full article PDF.
USD 39.95
Prices may be subject to local taxes which are calculated during checkout










Similar content being viewed by others
Abbreviations
- AHH:
-
arylhydrocarbon hydroxylases
- AhR:
-
arylhydrocarbon receptor
- Alkyl-PCDFs:
-
alkyl substituted chlorinated dibenzofurans
- ARNT:
-
AhR nuclear translocator protein
- CYP1A1:
-
cytochrome-P450 1A1
- DIM:
-
diindolymethane
- TCDD:
-
2,3,7,8-tetrachlorodibenzo-p-dioxin
- 6-MCDF:
-
6-methyl-1,3,8-trichlorodibenzofuran
- 8-MCDF:
-
8-methyl-1,3,8-trichlorodibenzofuran
- 6-CHDF:
-
6-cyclo-hexyl-1,3,8-trichlorodibenzofuran
References
Abe M, Yamashita J, Ogawa M . 2000 Cancer 88: 2000–2009
Andren-Sandberg A, Hoem D, Backman PL . 1999 Ann. Oncol. 10: 131–135
Angus WG, Larsen MC, Jefcoate CR . 1999 Carcinogenesis 20: 947–955
Astroff B, Safe S . 1989 Toxicology 59: 285–296
Becher H, Flesch-Janys D, Kauppinen T, Kogevinas M, Steindorf K, Manz A, Wahrendorf J . 1996 Cancer Causes Control 7: 312–321
Bertazzi PA, Consonni D, Bachetti S, Rubagotti M, Baccarelli A, Zocchetti C, Pesatori AC . 2001 Am. J. Epidemiol. 153: 1031–1044
Bertazzi PA, Zocchetti C, Guercilena S, Consonni D, Trioni A, Landi MT, Pesatori AC . 1997 Epidemiology 8: 646–652
Büchler M, Friess H, Schultheiss KH, Gebhardt C, Kubel R, Muhrer KH, Winkelmann M, Wagener T, Klapdor R, Kaul M, Muller G, Schulz G, Beger HG . 1991 Cancer 68: 1507–1512
Buckingham J, Macdonald F . 1997 Dictionary of Organic Compounds Sixth edn New York: Chapman and Hall Electronic Publishing Division
Carver LA, Hogenesch JB, Bradfield CA . 1994 Nucleic Acids Res. 22: 3038–3044
Chen I, McDougal A, Wang F, Safe S . 1998 Carcinogenesis 19: 1631–1639
Cheung YL, Kerr AC, McFadyen MC, Melvin WT, Murray GI . 1999 Cancer Lett. 139: 199–205
Cover CM, Hsieh SJ, Tran SH, Hallden G, Kim GS, Bjeldanes LF, Firestone GL . 1998 J. Biol. Chem. 273: 3838–3847
Denison MS, Fisher JM, Whitlock Jr JP . 1988 J. Biol. Chem. 263: 17221–17224
Dolwick KM, Schmidt JV, Carver LA, Swanson HI, Bradfield CA . 1993 Mol. Pharmacol. 44: 911–917
Dreisbach RH, Robertson WO . 1987 Handbook of Poisoning: prevention, diagnosis and treatment 12th edn Norwalk, Conn, USA: Appleton & Lange
Elferink CJ, Gasiewicz TA, Whitlock Jr JP . 1990 J. Biol. Chem. 265: 20708–20712
Fernandez-Salguero PM, Hilbert DM, Rudikoff S, Ward JM, Gonzalez FJ . 1996 Toxicol. Appl. Pharmacol. 140: 173–179
Fingerhut MA, Halperin WE, Marlow DA, Piacitelli LA, Honchar PA, Sweeney MH, Greif AL, Dill PA, Steenland K, Suruda AJ . 1991 N. Engl. J. Med. 324: 212–218
Friess H, Buchler M, Kruger M, Beger HG . 1992 Pancreas 7: 516–521
Friess H, Yamanaka Y, Buchler M, Berger HG, Kobrin MS, Baldwin RL, Korc M . 1993 Cancer Res. 53: 2704–2707
Geiger LE, Neal RA . 1981 Toxicol. Appl. Pharmacol. 59: 125–129
Goodman LS, Gilman A, Gilman AG . 1990 Goodman and Gilman's: The Pharmacological Basis of Therapeutics 8th edn New York: Pergamon Press
Hankinson O . 1995 Annu. Rev. Pharmacol. Toxicol. 35: 307–340
Harris M, Zacharewski T, Astroff B, Safe S . 1989 Mol. Pharmacol. 35: 729–735
Hayashi S, Watanabe J, Nakachi K, Eguchi H, Gotoh O, Kawajiri K . 1994 Carcinogenesis 15: 801–806
Hayes WJ . 1982 Pesticides Studied in Man Baltimore: Williams and Wilkins
Hoffman EC, Reyes H, Chu FF, Sander F, Conley LH, Brooks BA, Hankinson O . 1991 Science 252: 954–958
Huff J, Lucier G, Tritscher A . 1994 Annu. Rev. Pharmacol. Toxicol. 34: 343–372
IARC Working Group on the Evaluation of Carcinogenic Risks to Humans. 1987 Overall evaluations of carcinogenicity: an updating of IARC monographs volumes 1 to 42. This publication represents the views and expert opinions of an IARC ad-hoc Working Group on the Evaluation of Carcinogenic Risks to Humans, which met in Lyon, 10–18 March 1987 Lyon, France and Geneva, Switzerland: World Health Organization International Agency for Research on Cancer Distributed by the World Health Organization Distribution and Sales Service
International Agency for Research on Cancer and World Health Organization. 1987 Overall evaluations of carcinogenecity: an updating of IARC monographs 1–42: Lyon, France: International Agency for Research on Cancer
Jana NR, Sarkar S, Ishizuka M, Yonemoto J, Tohyama C, Sone H . 1999 Biochem. Biophys. Res. Comm. 256: 462–468
Johnson ES . 1991 Crit. Rev. Toxicol. 21: 451–463
Jones PB, Durrin LK, Fisher JM, Whitlock Jr JP . 1986 J. Biol. Chem. 261: 6647–6650
Kashani M, Steiner G, Haitel A, Schaufler K, Thalhammer T, Amann G, Kramer G, Marberger M, Scholler A . 1998 Prostate 37: 98–108
Kobayashi A, Sogawa K, Fujii-Kuriyama Y . 1996 J. Biol. Chem. 271: 12310–12316
Kojima T, Tanaka T, Mori H . 1994 Cancer Res. 54: 1446–1449
Kolluri SK, Weiss C, Koff A, Gottlicher M . 1999 Genes Dev. 13: 1742–1753
Krishnan V, Porter W, Santostefano M, Wang X, Safe S . 1995 Mol. Cell. Biol. 15: 6710–6719
Krishnan V, Wang X, Safe S . 1994 J. Biol. Chem. 269: 15912–15917
Kuil CW, Brouwer A, van der Saag PT, van der Burg B . 1998 J. Biol. Chem. 273: 8829–8834
Landers JP, Bunce NJ . 1991 Biochem. J. 276: 273–287
Ledirac N, Delescluse C, Lesca P, Piechocki MP, Hines RN, de Sousa G, Pralavorio M, Rahmani R . 2000 Toxicol. Appl. Pharmacol. 164: 273–279
Li W, Harper PA, Tang BK, Okey AB . 1998 Biochem. Pharmacol. 56: 599–612
Ma Q, Whitlock Jr JP . 1996 Mol. Cell. Biol. 16: 2144–2150
Matsushita N, Sogawa K, Ema M, Yoshida A, Fujii-Kuriyama Y . 1993 J. Biol. Chem. 268: 21002–21006
McDougal A, Gupta MS, Morrow D, Ramamoorthy K, Lee JE, Safe SH . 2001 Breast Cancer Res. Treat. 66: 147–157
McDougal A, Wilson C, Safe S . 1997 Cancer Lett. 120: 53–63
Morse MA, LaGreca SD, Amin SG, Chung FL . 1990 Cancer Res. 50: 2613–2617
Norman J, Franz M, Schiro R, Nicosia S, Docs J, Fabri PJ, Gower Jr WR . 1994 J. Surg. Res. 57: 33–38
Oikawa K, Ohbayashi T, Mimura J, Iwata R, Kameta A, Evine K, Iwaya K, Fujii-Kuriyama Y, Kuroda M, Mukai K . 2001 Cancer Res. 61: 5707–5709
Parker SL, Tong T, Bolden S, Wingo PA . 1997 CA Cancer J. Clin. 47: 5–27
Patikoglou G, Burley SK . 1997 Annu. Rev. Biophys. Biomol. Struct. 26: 289–325
Poland A, Glover E . 1979 Cancer Res. 39: 3341–3344
Poland A, Knutson JC . 1982 Annu. Rev. Pharmacol. Toxicol. 22: 517–554
Poland AP, Glover E, Robinson JR, Nebert DW . 1974 J. Biol. Chem. 249: 5599–5606
Quattrochi LC, Vu T, Tukey RH . 1994 J. Biol. Chem. 269: 6949–6954
Ramamoorthy K, Gupta MS, Sun G, McDougal A, Safe SH . 1999 Carcinogenesis 20: 115–123
Reyes H, Reisz-Porszasz S, Hankinson O . 1992 Science 256: 1193–1195
Rininger JA, Stroffregen DA, Babish JG . 1997 Chemosphere 34: 1557–1568
Rowlands C, Krishnan V, Wang X, Santostefano M, Safe S, Miller WR, Langdon S . 1993 Cancer Res. 53: 1802–1807
Roy NK, Wirgin I . 1997 Arch. Biochem. Biophys. 344: 373–386
Safe S . 2001 Toxicol. Lett. 120: 1–7
Safe S, Wang F, Porter W, Duan R, McDougal A . 1998 Toxicol. Lett. 102, 103: 343–347
Sakai DD, Helms S, Carlstedt-Duke J, Gustafsson JA, Rottman FM, Yamamoto KR . 1988 Genes Dev. 2: 1144–1154
Sax NI, Lewis RJ . 1989 Dangerous Properties of Industrial Materials 7th edn New York: Van Nostrand Reinhold
Sittig M . 1985 Handbook of Toxic and Hazardous Chemicals and Carcinogens 2nd edn Park Ridge, NJ, USA: Noyes Publications
Skehan P, Storeng R, Scudiero D, Monks A, McMahon J, Vistica D, Warren JT, Bokesch H, Kenney S, Boyd MR . 1990 J. Natl. Cancer Inst. 82: 1107–1112
Skene SA, Dewhurst IC, Greenberg M . 1989 Hum. Toxicol. 8: 173–203
Spink BC, Fasco MJ, Gierthy JF, Spink DC . 1998 J. Cell Biochem. 70: 289–296
Steenland K, Piacitelli L, Deddens J, Fingerhut M, Chang LI . 1999 J. Natl. Cancer Inst. 91: 779–786
Stoewsand GS, Anderson JL, Munson L . 1988 Cancer Lett. 39: 199–207
Strahle U, Schmid W, Schutz G . 1988 EMBO J. 7: 3389–3395
Sun G, Safe S . 1997 Cancer Chemother. Pharmacol. 40: 239–244
Sutter TR, Guzman K, Dold KM, Greenlee WF . 1991 Science 254: 415–418
Swanson HI, Bradfield CA . 1993 Pharmacogenetics 3: 213–230
Takahashi Y, Nakayama K, Shimojima T, Itoh S, Kamataki T . 1996 Eur. J. Biochem. 242: 512–518
Takeuchi Y, Nakao A, Harada A, Nonami T, Fukatsu T, Takagi H . 1993 Am. J. Gastroenterol. 88: 1928–1933
Vang O, Jensen MB, Autrup H . 1990 Carcinogenesis 11: 1259–1263
Vickers PJ, Dufresne MJ, Cowan KH . 1989 Mol. Endocrinol. 3: 157–164
Wang F, Wang W, Safe S . 1999 Biochemistry 38: 11490–11500
Wang X, Rosengren R, Morrison V, Santostefano M, Safe S . 1992 Biochem. Pharmacol. 43: 1635–1642
Wang X, Thomsen JS, Santostefano M, Rosengren R, Safe S, Perdew GH . 1995 Eur. J. Pharmacol. 293: 191–205
Wattenberg LW, Loub WD . 1978 Cancer Res. 38: 1410–1413
Weiss C, Kolluris K, Kiefer F, Gottlicher M . 1996 Exp. Cell Res. 226: 154–163
Windholz M, Budavari S, Blumetti RF, Otterbein ES . 1983 The Merck Index: an encyclopedia of Chemicals, Drugs and Biologicals 10th edn Rahway, NJ, USA: Merck
Wormke M, Castro-Rivera E, Chen I, Safe S . 2000 J. Steroid Biochem. Mol. Biol. 72: 197–207
Wu L, Whitlock Jr JP . 1992 Proc. Natl. Acad. Sci. USA 89: 4811–4815
Zacharewski TR, Bondy KL, McDonell P, Wu ZF . 1994 Cancer Res. 54: 2707–2713
Author information
Authors and Affiliations
Corresponding author
Rights and permissions
About this article
Cite this article
Koliopanos, A., Kleeff, J., Xiao, Y. et al. Increased arylhydrocarbon receptor expression offers a potential therapeutic target for pancreatic cancer. Oncogene 21, 6059–6070 (2002). https://doi.org/10.1038/sj.onc.1205633
Received:
Revised:
Accepted:
Issue date:
DOI: https://doi.org/10.1038/sj.onc.1205633
Keywords
This article is cited by
-
Carbidopa suppresses prostate cancer via aryl hydrocarbon receptor-mediated ubiquitination and degradation of androgen receptor
Oncogenesis (2020)
-
Transcriptome analysis reveals significant differences between primary plasma cell leukemia and multiple myeloma even when sharing a similar genetic background
Blood Cancer Journal (2019)
-
Overexpression of aryl hydrocarbon receptor (AHR) signalling pathway in human meningioma
Journal of Neuro-Oncology (2018)
-
The Complex Biology of the Aryl Hydrocarbon Receptor and Its Role in the Pituitary Gland
Hormones and Cancer (2017)
-
Cytoplasmic aryl hydrocarbon receptor regulates glycogen synthase kinase 3 beta, accelerates vimentin degradation, and suppresses epithelial–mesenchymal transition in non-small cell lung cancer cells
Archives of Toxicology (2017)


