Abstract
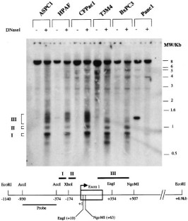
Fibroblast growth factor receptor 4 (FGFR4) is expressed in 50–70% of pancreatic carcinomas (PC) and a similar proportion of derived cell lines. Here we determine the sites of FGFR4 transcriptional initiation which show a pattern characteristic of genes with GC-rich, TATA-less promoters. We have examined the chromatin structure around the FGFR4 gene in a panel of expressing and non-expressing PC lines using the DNase I hypersensitive site assay. One region of hypersensitivity, located largely within intron 1, was found to be greatly extended in expressing cells. Subsequent functional analyses using reporter assays demonstrated that this region was able to act as a cell-specific enhancer, only showing significant activity in PC lines expressing endogenous FGFR4. Transcription factors able to bind to the enhancer were investigated using footprinting and mobility shift assays and two binding sites for Sp1 proteins and two sites able to bind hepatic nuclear factor 1 (HNF1) proteins were identified. Further reporter assays using constructs mutated in each binding site demonstrated that HNF1 binding was essential for enhancer activity in expressing cells, an observation that correlated with the increased abundance of HNF1α in these same cells as measured by Western blotting. Finally we show that exogenous expression of HNF1 factors in an FGFR4 non-expressing line led to an induction of enhancer activity in reporter assays and also activated expression of the endogenous gene. We conclude that HNF1α is a major determinant of FGFR4 expression in PC.
This is a preview of subscription content, access via your institution
Access options
Subscribe to this journal
Receive 50 print issues and online access
$259.00 per year
only $5.18 per issue
Buy this article
- Purchase on SpringerLink
- Instant access to the full article PDF.
USD 39.95
Prices may be subject to local taxes which are calculated during checkout











Similar content being viewed by others
References
Armstrong E, Partanen J, Cannizzaro L, Huebner K, Alitalo K . 1992 Genes Chromosomes Cancer 4: 94–98
Ausubel FM, Brent R, Kingston R, Moore D, Seidman J, Smith J, Struhl K . 1994 Current Protocols in Molecular Biology New York: John Wiley & Sons, Inc
Bange J, Prechtl D, Cheburkin Y, Specht K, Harbeck N, Schmitt M, Knyazeva T, Muller S, Gartner S, Sures I, Wang HY, Imyanitov E, Haring HU, Knayzev P, Iacobelli S, Hofler H, Ullrich A . 2002 Cancer Res. 62: 840–847
Becker M, Brauninger A, Wolf G, Kaufmann M, Strebhardt K . 2000 Biochem. Biophys. Res. Commun. 276: 493–501
Bosher JM, Williams T, Hurst HC . 1995 Proc. Natl. Acad. Sci. USA 92: 744–747
Cappellen D, DeOliveira C, Ricol D, de Medina SGD, Bourdin J, Sastre-Garau X, Chopin D, Thiery JP, Radvanyi F . 1999 Nature Gen. 23: 18–20
Cereghini S . 1996 FASEB J. 10: 267–282
Coffinier C, Barra J, Babinet C, Yaniv M . 1999 Mech. Dev. 89: 211–213
De Simeone V, De Magistris L, Lazzaro D, Gerstner J, Monaci P, Nicosia A, Cortese R . 1991 EMBO J. 10: 1435–1443
Dignam J, Lebovitz R, Roeder R . 1983 Nucleic Acids Res. 11: 1475–1489
Frain M, Swart G, Monaci P, Nicosia A, Stampfli S, Frank R, Cortese R . 1989 Cell 59: 145–157
Hughes SE . 1997 J. Histochem. Cytochem. 45: 1005–1019
Ishiwata T, Friess H, Buchler MW, Lopez ME, Korc M . 1998 Am. J. Pathol. 153: 213–222
Jang JH, Shin KH, Park JG . 2001 Cancer Res. 61: 3541–3543
Johnson DE, Williams LT . 1993 Adv. Cancer Res. 60: 1–41
Kern SE . 2000 Med. Clin. North Am. 84: 691–695
Kobrin MS, Yamanaka Y, Friess H, Lopez ME, Korc M . 1993 Cancer Res. 53: 937–943
Kostrzewa M, Muller U . 1998 Mamm. Genome 9: 131–135
Kudo S, Fukuda M . 1995 J. Biol. Chem. 270: 13298–13302
Le Bras S, Miralles F, Basmaciogullari A, Czernichow P, Ozaki K, Itoh N, Scharfmann R . 1998 Diabetes 47: 1236–1242
Leung HY, Gullick WJ, Lemoine NR . 1994 Int. J. Cancer 59: 667–675
Li J, Ning G, Duncan SA . 2000 Genes Dev. 14: 464–474
Mason IJ . 1994 Cell 78: 547–552
McEwen DG, Ornitz DM . 1998 J. Biol. Chem. 273: 5349–5357
McKeehan WL, Wang F, Kan M . 1998 Prog. Nucl. Acids Res. Mol. Biol. 59: 135–176
Miralles F, Czernichow P, Ozaki K, Itoh N, Scharfmann R . 1999 Proc. Natl. Acad. Sci. USA 96: 6267–6272
Ohata T, Yamamoto M, Numata M, Iseki S, Tsukioka Y, Miyashita T, Kayahara M, Nagakawa T, Miyazaki I, Nishikawa K, Yoshitake Y . 1995 Br. J. Cancer 72: 824–831
Ornitz DM, Itoh N . 2001 Genome Biol. 2: 1–12
Parakati R, DiMario JX . 2002 J. Biol. Chem. 277: 9278–9285
Pare JF, Roy S, Galarneau L, Belanger L . 2001 J. Biol. Chem. 276: 13136–13144
Rey-Campos J, Chouard T, Yaniv M, Cereghini S . 1991 EMBO J. 10: 1445–1457
Ryffel GU . 2001 J Mol. Endocrinol. 27: 11–29
Soutoglou E, Papafotiou G, Katrakili N, Talianidis I . 2000 J. Biol. Chem. 275: 12515–12520
Soutoglou E, Viollet B, Vaxillaire M, Yaniv M, Pontoglio M, Talianidis I . 2001 EMBO J. 20: 1984–1992
Suske G . 1999 Gene 238: 291–300
Wagner M, Lopez ME, Cahn M, Korc M . 1998 Gastroenterology 114: 798–807
Xu X, Weinstein M, Li C, Deng C . 1999 Cell Tissue Res. 296: 33–43
Acknowledgements
We thank Moshe Yaniv and S Isshiki for useful discussions and the gift of reagents, and our colleagues Nick Lemoine and Jyrki Eloranta for critically reading the manuscript.
Author information
Authors and Affiliations
Corresponding author
Rights and permissions
About this article
Cite this article
Shah, R., Ibbitt, J., Alitalo, K. et al. FGFR4 overexpression in pancreatic cancer is mediated by an intronic enhancer activated by HNF1α. Oncogene 21, 8251–8261 (2002). https://doi.org/10.1038/sj.onc.1206020
Received:
Revised:
Accepted:
Published:
Issue date:
DOI: https://doi.org/10.1038/sj.onc.1206020
Keywords
This article is cited by
-
Decreased GLUT2 and glucose uptake contribute to insulin secretion defects in MODY3/HNF1A hiPSC-derived mutant β cells
Nature Communications (2021)
-
Hepatocyte nuclear factor 1 alpha influences pancreatic cancer growth and metastasis
Scientific Reports (2020)
-
A common genetic variation of melanoma inhibitory activity-2 labels a subtype of pancreatic adenocarcinoma with high endoplasmic reticulum stress levels
Scientific Reports (2015)
-
Fibroblast growth factor receptor 4 (FGFR4): a targetable regulator of drug resistance in colorectal cancer
Cell Death & Disease (2014)
-
Molecular analysis of the first intron in the bovine myostatin gene
Molecular Biology Reports (2011)


