Abstract
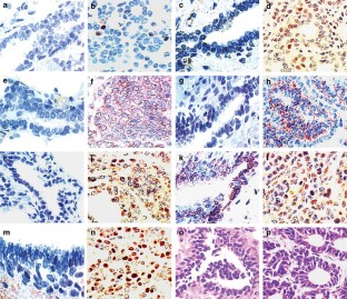
2-Amino-1-methyl-6-phenylimidazo[4,5-b]pyridine (PhIP), a compound found in cooked meat, is a mammary gland carcinogen in rats. Comparative genomic hybridization of PhIP-induced rat mammary gland carcinomas revealed loss in the centromeric region of 2q, a region known to carry the mammary carcinoma susceptibility 1 (Mcs1) gene and several other genes relevant to carcinogenesis. Allelic imbalance, specifically microsatellite instability and loss of heterozygosity, was examined in mammary gland carcinomas induced by PhIP in Sprague–Dawley (SD)×Wistar Furth F1 hybrid rats. In a polymerase chain reaction (PCR)-based assay with 34 microsatellite markers coinciding to 2q11–2q16, nine markers revealed allelic imbalance. The frequency of imbalance in the tumors varied from 10 to 100% depending on the specific marker. However, none of the markers coinciding with the Mcs1 gene locus showed allelic imbalance, suggesting that alterations at this locus were not associated with PhIP-induced rat mammary gland cancer. The expression of several genes physically mapped to 2q11–2q16 and potentially involved in carcinogenesis including Ccnb (cyclin B1), Ccnh (cyclin H), Rasa (Ras GAP), Rasgrf2, Pi3kr1 (p85α), and Il6st (gp130) was also examined by quantitative real-time PCR and immunohistochemistry (IHC) across a large bank of PhIP-induced SD rat mammary gland carcinomas. By quantitative real-time PCR, the mRNA expression of Rasa, Pi3kr1, Ccnh, and Il6st in carcinomas was, respectively, 22-, 20-, three- and threefold higher in carcinomas than in control mammary gland tissues (P<0.05, Student's t-test). A statistically sixfold lower expression of Rasgrf2 was detected in carcinomas whereas no significant change in Ccnb1 expression was observed. The findings from quantitative real-time PCR were confirmed by IHC for each gene. In addition, the proliferation index in mammary gland carcinomas as assessed by PCNA was found to correlate with the overexpression of Cyclin H by IHC analysis (P<0.05, Spearman Rank Order Correlation). The findings from the current study implicate molecular alterations in the proximal region of 2q in PhIP-induced rat mammary gland carcinomas.
This is a preview of subscription content, access via your institution
Access options
Subscribe to this journal
Receive 50 print issues and online access
$259.00 per year
only $5.18 per issue
Buy this article
- Purchase on SpringerLink
- Instant access to the full article PDF.
USD 39.95
Prices may be subject to local taxes which are calculated during checkout




Similar content being viewed by others
References
Barshack I, Goldberg I, Davidson B, Ravid A, Schiby G, Kopolovic J, Leviav A and Friedman E . (1998). Mod. Pathol., 11, 271–275.
Boguski MS and McCormick F . (1993). Nature, 366, 643–654.
Christian A, Snyderwine E and Tucker J . (2002). Mutat. Res., 506–507, 113–119.
Crichton MB, Nichols JE, Zhao Y, Bulun SE and Simpson ER . (1996). Mol. Cell Endocrinol., 118, 215–220.
Davidson B, Agulansky L, Goldberg I, Friedman E, Ramon J, Barshack I and Kopolovic J . (1998). Pathol. Res. Pract., 194, 399–404.
Fernandez-Medarde A, Esteban LM, Nunez A, Porteros A, Tessarollo L and Santos E . (2002). Mol. Cell Biol., 22, 2498–2504.
Gershtein ES, Shatskaya VA, Ermilova VD, Kushlinsky NE and Krasil'nikov MA . (1999). Clin. Chim. Acta, 287, 59–67.
Ghoshal A, Preisegger KH, Takayama S, Thorgeirsson SS and Snyderwine EG . (1994). Carcinogenesis, 15, 2429–2433.
Gire V, Marshall C and Wynford-Thomas D . (2000). Oncogene, 19, 2269–2276.
Grant SL, Douglas AM, Goss GA and Begley CG . (2001). Growth Factors, 19, 153–162.
Haag JD, Hsu LC, Newton MA and Gould MN . (1996). Mol. Carcinogenesis, 17, 134–143.
Hokaiwado N, Asamoto M, Cho YM, Imaida K and Shirai T . (2001). Cancer Lett., 163, 187–190.
Hsu LC, Kennan WS, Shepel LA, Jacob HJ, Szpirer C, Szpirer J, Lander ES and Gould MN . (1994). Cancer Res., 54, 2765–2770.
Karan D, Kelly DL, Rizzino A, Lin MF and Batra SK . (2002). Carcinogenesis, 23, 967–975.
Kerangueven F, Noguchi T, Coulier F, Allione F, Wargniez V, Simony-Lafontaine J, Longy M, Jacquemier J, Sobol H, Eisinger F and Birnbaum D . (1997). Cancer Res., 57, 5469–5474.
Ko LJ, Shieh SY, Chen X, Jayaraman L, Tamai K, Taya Y, Prives C and Pan ZQ . (1997). Mol. Cell Biol., 17, 7220–7229.
Laes JF, Quan X, Ravoet M, Stieber D, Van Vooren P, Van Reeth T, Szpirer J and Szpirer C . (2001). Mamm. Genome, 12, 199–206.
Layton DW, Bogen KT, Knize MG, Hatch FT, Johnson VM and Felton JS . (1995). Carcinogenesis, 16, 39–52.
Leblanc V, Delumeau I and Tocque B . (1999). Oncogene, 18, 4884–4889.
Liu J, Hadjokas N, Mosley B, Estrov Z, Spence MJ and Vestal RE . (1998). Cytokine, 10, 295–302.
Lowy DR and Willumsen BM . (1993). Annu. Rev. Biochem., 62, 851–891.
Mills GB, Lu Y, Fang X, Wang H, Eder A, Mao M, Swaby R, Cheng KW, Stokoe D, Siminovitch K, Jaffe R and Gray J . (2001). Semin. Oncol., 28, 125–141.
Quan X, Laes JF, Ravoet M, Van Vooren P, Szpirer J and Szpirer C . (2000). Cytogenet. Cell Genet., 88, 119–123.
Roberts-Thomson SJ and Snyderwine EG . (1997). Mol. Carcinog., 20, 348–354.
Rodriguez-Viciana P and Downward J . (2001). Methods Enzymol., 333, 37–44.
Rodriguez-Viciana P, Warne PH, Khwaja A, Marte BM, Pappin D, Das P, Waterfield MD, Ridley A and Downward J . (1997). Cell, 89, 457–467.
Rodriguez-Viciana P, Warne PH, Vanhaesebroeck B, Waterfield MD and Downward J . (1996). EMBO J., 15, 2442–2451.
Russo J, Gusterson BA, Rogers AE, Russo IH, Wellings SR and van Zwieten MJ . (1990). Lab. Invest., 62, 244–278.
Schultz P, Fribourg S, Poterszman A, Mallouh V, Moras D and Egly JM . (2000). Cell, 102, 599–607.
Shan L, He M, Yu M, Qiu C, Lee NH, Liu ET and Snyderwine EG . (2002). Carcinogenesis, 23, 1561–1568.
Shepel LA, Lan H, Haag JD, Brasic GM, Gheen ME, Simon JS, Hoff P, Newton MA and Gould MN . (1998). Genetics, 149, 289–299.
Sinha R, Gustafson DR, Kulldorff M, Wen WQ, Cerhan JR and Zheng W . (2000). J. Natl. Cancer Inst., 92, 1352–1354.
Snyderwine EG . (2000) Food Borne Carcinogenesis (Heterocyclic Amines). Nagao M, Sugimura T. (eds.) John Wiley & Sons Ltd. Press: Chichester, pp 241–255.
Snyderwine EG, Thorgeirsson UP, Venugopal M and Roberts-Thomson SJ . (1998). Nutr. Cancer, 31, 160–167.
Szpirer C, Tissir F, Riviere M, Van Vooren P, Kela J, Lallemand F, Gabant P, Hoebee B, Klinga-Levan K, Levan G and Szpirer J . (1999). Mamm. Genome, 10, 30–34.
Tomlinson IP, Lambros MB and Roylance RR . (2002). Genes Chromosomes Cancer, 34, 349–353.
Toyota M, Ushijima T, Weisburger JH, Hosoya Y, Canzian F, Rivenson A, Imai K, Sugimura T and Nagao M . (1996). Mol. Carcinog., 15, 176–182.
Watanabe N, Okochi E, Hirayama Y, Shimada Y, Yanagihara K, Yoshida MC, Takahashi S, Mochizuki M, Sugimura T, Nagao M and Ushijima T . (2001). Cancer Res., 61, 2632–2640.
Yang JY and Widmann C . (2002). J. Biol. Chem., 277, 14641–14646.
Yu M, Ryu DY and Snyderwine EG . (2000). Mol. Carcinogenesis, 27, 76–83.
Yu M and Snyderwine EG . (2002). Carcinogenesis, 23, 2123–2128.
Acknowledgements
The authors thank Dr Nicholas C Popescu, National Cancer Institute, Bethesda, Maryland, for helpful suggestions with the preparation of the manuscript.
Author information
Authors and Affiliations
Corresponding author
Rights and permissions
About this article
Cite this article
Qiu, C., Yu, M., Shan, L. et al. Allelic imbalance and altered expression of genes in chromosome 2q11–2q16 from rat mammary gland carcinomas induced by 2-amino-1-methyl-6-phenylimidazo[4,5-b]pyridine. Oncogene 22, 1253–1260 (2003). https://doi.org/10.1038/sj.onc.1206233
Received:
Revised:
Accepted:
Published:
Issue date:
DOI: https://doi.org/10.1038/sj.onc.1206233
Keywords
This article is cited by
-
Transcriptome analysis to identify the Ras and Rap1 signal pathway genes involved in the response of TM3 Leydig cells exposed to zearalenone
Environmental Science and Pollution Research (2018)
-
A novel survival multifactor dimensionality reduction method for detecting gene–gene interactions with application to bladder cancer prognosis
Human Genetics (2011)
-
Rasgrf2
AfCS-Nature Molecule Pages (2008)
-
Identification of 27 5′ CpG islands aberrantly methylated and 13 genes silenced in human pancreatic cancers
Oncogene (2004)


