Abstract
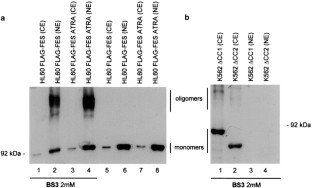
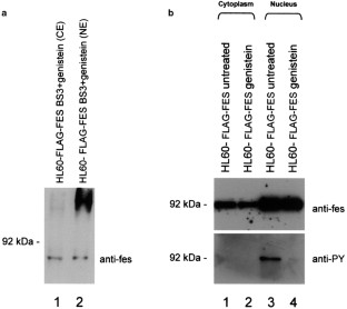
The nonreceptor tyrosine kinase Fes is implicated in myeloid cells differentiation. It has been observed that its localization can be cytoplasmic, perinuclear, or nuclear. To further characterize this point, we studied Fes subcellular localization in myeloid cell lines (HL60 and K562) and in COS1 cells. Fes was observed in both the nucleus and the cytoplasm of HL60, K562 cells overexpressing Fes and only in the cytoplasm of COS1 cells, suggesting that nuclear localization is cell context dependent. Moreover, in myeloid cells, the treatment with differentiation-inducing agents such as retinoic acid, phorbol esters and vitamin D, is followed by an increase of the oligomeric form of Fes in the nucleus. In fact, oligomerization seems to be necessary for translocation to occur, since Fes mutants missing the coiled-coil domains are not able to form oligomers and fail to localize in the nucleus. The active form of Fes is tyrosine phosphorylated; however, phosphorylation is not required for Fes to localize in the nucleus, since tyrosine kinase inhibitors do not block the translocation process.
This is a preview of subscription content, access via your institution
Access options
Subscribe to this journal
Receive 50 print issues and online access
$259.00 per year
only $5.18 per issue
Buy this article
- Purchase on SpringerLink
- Instant access to the full article PDF.
USD 39.95
Prices may be subject to local taxes which are calculated during checkout











Similar content being viewed by others
References
Areces LB, Dellosbarba P, Jucker M, Stanley ER and Feldman RA . (1994). Mol. Cell Biol., 14, 4606–4615.
Bennett JM, Catovsky D, Daniel MT, Flandrin G, Galton DA, Gralnick HR and Sultan C . (1976). Br. J. Haematol., 33, 451–458.
Burnette WN . (1981). Anal. Biochem., 112, 195–203.
Cance WG, Craven RJ, Bergman M, Xu L, Alitalo K and Liu ET . (1994). Cell Growth Differ., 5, 1347–1355.
Care A, Mattia G, Montesoro E, Parolini I, Russo G, Colombo MP and Peschle C . (1994). Oncogene, 9, 739–747.
Chalfie M, Tu Y, Euskirchen G, Ward WW and Prasher DC . (1994). Science, 263, 802–805.
Cheng H, Rogers JA, Dunham NA and Smithgall TE . (1999). Mol.Cell Biol., 19, 8335–8343.
Dignam JD, Lebovitz RM and Roeder RG . (1983). Nucleic. Acids Res., 11, 1475–1489.
Drexler HG . (1987). Leukemia, 1, 697–705.
Emilia G, Donelli A, Ferrari S, Torelli U, Selleri L, Zucchini P, Moretti L, Venturelli D, Ceccherelli G and Torelli G . (1986). Br. J. Haematol., 62, 287–292.
Feldman RA, Gabrilove JL, Tam JP, Moore MA and Hanafusa H . (1985). Proc. Natl. Acad. Sci. USA, 82, 2379–2383.
Ferrari S, Grande A, Manfredini R and Tagliafico E . (1995). Cell Death Differ., 2, 155–162.
Ferrari S, Manfredini R, Tagliafico E, Grande A, Barbieri D, Balestri R, Pizzanelli M, Zucchini P, Citro G, Zupi G and et al. (1994). Leukemia, 8(Suppl. 1), S91–S94.
Ferrari S, Torelli U, Selleri L, Donelli A, Venturelli D, Moretti L and Torelli G . (1985). Br. J. Haematol., 59, 21–25.
Grande A, Manfredini R, Pizzanelli M, Tagliafico E, Balestri R, Trevisan F, Barbieri D, Franceschi C, Battini R and Ferrari S . (1997). Cell Death Differ., 4, 497–505.
Grande A, Piovani B, Aiuti A, Ottolenghi S, Mavilio F and Ferrari G . (1999). Blood, 93, 3276–3285.
Greer P . (2002). Nat. Rev. Mol. Cell Biol., 3, 278–289.
Greer P, Haigh J, Mbamalu G, Khoo W, Bernstein A and Pawson T . (1994). Mol. Cell Biol., 14, 6755–6763.
Haas J, Park EC and Seed B . (1996). Curr.Biol., 6, 315–324.
Hackenmiller R, Kim J, Feldman RA and Simon MC . (2000). Immunity, 13, 397–407.
Hackenmiller R and Simon MC . (2002). Dev.Biol., 245, 255–269.
Haigh J, Mcveigh J and Greer P . (1996). Cell GrowthDiffer., 7, 931–944.
Hazan B, Bern O, Carmel M, Lejbkowicz F, Goldstein RS and Nir U . (1993). Cell Growth Differ., 4, 443–449.
Hjermstad SJ, Peters KL, Briggs SD, Glazer RI and Smithgall TE . (1993). Oncogene, 8, 2283–2292.
Hovland AR, Nahreini P, Andreatta CP, Edwards-Prasad J and Prasad KN . (2001). J. Neurosci. Res., 64, 302–310.
Hunter T . (2000). Cell, 100, 113–127.
Inouye S and Tsuji F . (1994). FEBS Lett., 341, 277–280.
Izuhara K, Feldman RA, Greer P and Harada N . (1994). J. Biol. Chem., 269, 18623–18629.
Jucker M, Roebroek AJ, Mautner J, Koch K, Eick D, Diehl V, Van de Ven WJ and Tesch H . (1992). Oncogene, 7, 943–952.
Khokhlatchev AV, Canagarajah B, Wilsbacher J, Robinson M, Atkinson M, Goldsmith E and Cobb MH . (1998). Cell, 93, 605–615.
Li J and Smithgall TE . (1996). J. Biol. Chem., 271, 32930–32936.
MacDonald I, Levy J and Pawson T . (1985). Mol. Cell Biol., 5, 2543–2551.
Manfredini R, Balestri R, Tagliafico E, Trevisan F, Pizzanelli M, Grande A, Barbieri D, Zucchini P, Citro G, Franceschi C and Ferrari S . (1997). Blood, 89, 135–145.
Manfredini R, Grande A, Tagliafico E, Barbieri D, Zucchini P, Citro G, Zupi G, Franceschi C, Torelli U and Ferrari S . (1993). J. Exp. Med., 178, 381–389.
Manfredini R, Trevisan F, Grande A, Tagliafico E, Montanari M, Lemoli R, Visani G, Tura S and Ferrari S . (1999). Cancer Res., 59, 3803–3811.
Mantovani R, Pessara U, Tronche F, Li XY, Knapp AM, Pasquali JL, Benoist C and Mathis D . (1992). EMBO J., 11, 3315–3322.
Matsuda T, Fukada T, Takahashi-Tezuka M, Okuyama Y, Fujitani Y, Hanazono Y, Hirai H and Hirano T . (1995). J. Biol. Chem., 270, 11037–11039.
Miller AD and Rosman GJ . (1989). Biotechniques, 7, 980–986, 989.
Nair SC, Toran EJ, Rimerman RA, Hjermatad S, Smithgall TE and Smith DF . (1996). Cell Stress. Chapersons, 1, 237–250.
Nelson KL, Rogers JA, Bowman TL, Jove R and Smithgall TE . (1998). J. Biol. Chem.
Pawson T . (1995). Nature, 373, 573–580.
Pendergast AM . (1996). Curr. Opin. Cell Biol., 8, 174–181.
Phillips RL, Ernst RE, Brunk B, Ivanova N, Mahan MA, Deanehan JK, Moore KA, Overton GC and Lemischka IR . (2000). Science, 288, 1635–1640.
Pinna LA, Ruzzene M . (1996). Biochim. Biophys. Acta., 1314, 191–225.
Read RD, Lionberger JM and Smithgall TE . (1997). J. Biol. Chem., 272, 18498–18503.
Rogers JA, Read RD, Li JZ, Peters KL and Smithgall TE . (1996). J. Biol. Chem., 271, 17519–17525.
Sawyers CL, McLaughlin J, Goga A, Havlik M and Witte O . (1994). Cell, 77, 121–131.
Smithgall TE, Rogers JA, Peters KL, Li J, Briggs SD, Lionberger JM, Cheng H, Shibata A, Scholtz B, Schreiner S, Dunham N . (1998). Crit. Rev. Oncog., 9, 43–62.
Songyang Z, Shoelson SE, Mcglade J, Olivier P, Pawson T, Bustelo XR, Barbacid M, Sabe H, Hanafusa H, Yi T, Ren R, Baltimore D, Ratnofsky S, Feldman RA and Cantley LC . (1994). Mol. Cell. Biol., 14, 2777–2785.
Yates KE, Lynch MR, Wong SG, Slamon DJ and Gasson JC . (1995). Oncogene, 10, 1239–1242.
Yu G, Smithgall TE and Glazer RI . (1989). J. Biol. Chem., 264, 10276–10281.
Zirngibl R, Schulze D, Mirski SE, Cole SP and Greer PA . (2001). Exp. Cell. Res., 266, 87–94.
Zirngibl RA, Senis Y and Greer PA . (2002). Mol. Cell Biol., 22, 2472–2486.
Author information
Authors and Affiliations
Corresponding author
Rights and permissions
About this article
Cite this article
Tagliafico, E., Siena, M., Zanocco-Marani, T. et al. Requirement of the coiled-coil domains of p92c-Fes for nuclear localization in myeloid cells upon induction of differentiation. Oncogene 22, 1712–1723 (2003). https://doi.org/10.1038/sj.onc.1206279
Received:
Revised:
Accepted:
Published:
Issue date:
DOI: https://doi.org/10.1038/sj.onc.1206279


