Abstract
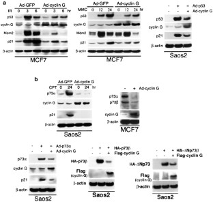
Cyclin G is a transcriptional target gene of tumor suppressor p53. Recent studies present evidence that cyclin G may play a central role in the p53-Mdm2 autoregulated module, but the precise function of cyclin G remains elusive. Here, we show a negative effect of cyclin G on the stability of p53 and p73. Cyclin G expression resulted in a dramatic decrease of p53 protein levels in response to DNA damage and abrogated irradiation-mediated G1 arrest along with an increase of S phase in MCF7 cells containing wild-type p53. In p53-null Saos2 cells, cyclin G inhibited p73 induction in response to genotoxic stress and delayed the camptothecin-mediated cell cycle arrest. Cyclin G interacts with p53 as well as p73, and its binding to p53 or p73 presumably mediates downregulation of p53 and p73. We also found that cyclin G-mediated reduction of p53 but not of p73 is Mdm2-dependent. Moreover, inhibition of cyclin G by small interfering RNA (siRNA) caused the accumulation of p53 and p73 protein levels in response to DNA damage. Therefore, our results imply that cyclin G is transcriptionally activated by p53 or p73, and, in turn, cyclin G negatively regulates the stabilization of p53 family proteins through an unknown mechanism different from ubiquitination or transcriptional control.
This is a preview of subscription content, access via your institution
Access options
Subscribe to this journal
Receive 50 print issues and online access
$259.00 per year
only $5.18 per issue
Buy this article
- Purchase on SpringerLink
- Instant access to the full article PDF.
USD 39.95
Prices may be subject to local taxes which are calculated during checkout







Similar content being viewed by others
References
Attardi LD, Reczek EE, Cosmas C, Demicco EG, McCurrach ME, Lowe SW and Jacks T . (2000). Genes Dev., 14, 704–718.
Bean LJ and Stark GR . (2002). J. Biol. Chem., 277, 1864–1871.
Buckbinder L, Talbott R, Velasco-Miguel S, Takenaka I, Faha B, Seizinger BR and Kley N . (1995). Nature, 377, 646–649.
Bunz F, Dutriaux A, Lengauer T, Waldman T, Zhou S, Brown JP, Sedivy JM, Kinzler KW and Vogelstein B . (1998). Science, 282, 1497–1501.
Burns TF and El-Deiry WS . (1999). J. Cell Physiol., 181, 371–374.
Chen X . (2002). Dev. Cell, 2, 518–519.
Chen X, Zheng Y, Zhu J, Jiang J and Wang J . (2001). Oncogene, 20, 769–774.
Di Como CJ, Gaiddon C and Prives C . (1999). Mol. Cell. Biol., 19, 1438–1449.
El-Deiry WS, Tokino T, Velculescu VE, Levy DB, Parsons R, Trent JM, Lin D, Mercer WE, Kinzler KW and Vogelstein B . (1993). Cell, 75, 817–825.
Gong J, Costanzo A, Yang H, Melino G, Kaelin Jr WG, Levrero M and Wang JY . (1999). Nature, 399, 806–809.
Haupt Y, Maya R, Kazaz A and Oren M . (1997). Nature, 387, 296–299.
He TC, Zhou S, Da Costa LT, Yu J, Kinzler KW and Vogelstein B . (1996). Proc. Natl. Acad. Sci. USA, 93, 8390–8394.
Inoue T, Geyer RK, Yu ZK and Maki CG . (2001). FEBS Lett., 490, 196–201.
Kimura SH, Ikawa M, Ito A, Okabe M and Nojima H . (2001). Oncogene, 20, 3290–3300.
Kimura SH and Nojima H . (2002). Genes Cells, 7, 869–880.
Ko L and Prives C . (1996). Genes Dev., 10, 1054–1072.
Levine AJ . (1997). Cell, 88, 323–331.
Lin Y, Ma W and Benchimol S . (2000). Nat. Genet., 26, 122–127.
Maki CG and Howley PM . (1997). Mol. Cell. Biol., 17, 355–363.
Miyashita T and Reed JC . (1995). Cell, 80, 293–299.
Nakano K and Vousden KH . (2001). Mol. Cell, 7, 683–694.
Oda E, Ohki R, Murasawa H, Nemoto J, Shibue T, Yamashita T, Tokino T, Taniguchi T and Tanaka N . (2000). Science, 288, 1053–1058.
Okamoto K and Beach D . (1994). EMBO J., 13, 4816–4822.
Okamoto K, Li H, Jensen MR, Zhang T, Taya Y, Thorgeirsson SS and Prives C . (2002). Mol. Cell, 9, 761–771.
Okamoto K and Prives C . (1999). Oncogene, 18, 4606–4615.
Polyak K, Waldman T, He TC, Kinzler KW and Vogelstein B . (1996). Genes Dev., 10, 1945–1952.
Reimer CL, Boras AM, Kurdistanni SK, Garreau JR, Chung M, Aaronson SA and Lee SW . (1999). J. Biol. Chem., 274, 11022–11029.
Shimizu A, Nishida J, Ueoka Y, Kato K, Hachiya T, Kuriaki Y and Wake N . (1998). Biochem. Biophys. Res. Commun., 242, 529–533.
Skotzko M, Wu L, Anderson WF, Gordon EM and Hall FL . (1995). Cancer Res., 55, 5493–5498.
Smith ML, Kontny HU, Bortnick R and Fornace Jr AJ . (1997). Exp. Cell Res., 230, 61–68.
Tamura K, Kanaoka Y, Jinno S, Nagata A, Ogiso Y, Shimizu K, Hayakawa TT, Nojima H and Okayama H . (1993). Oncogene, 8, 2113–2118.
Vogelstein B, Lane D and Levine AJ . (2000). Nature, 408, 307–310.
Vousden KH . (2000). Cell, 103, 691–694.
Wu GS, Burns TF, McDonald ER, Jiang W, Meng R, Krantz ID, Kao G, Gan DD, Zhou JY, Muschel R, Hamilton SR, Spinner NB, Markowitz S, Wu G and El-Deiry WS . (1997). Nat. Genet., 17, 141–143.
Yu J, Zhang L, Hwang PM, Rago C, Kinzler KW and Vogelstein B . (1999). Proc. Natl. Acad. Sci. USA, 96, 14517–14522.
Zauberman A, Lupo A and Oren M . (1995). Oncogene, 10, 2361–2366.
Zeng X, Chen L, Jost CA, maya R, Keller D, Wang X, Kaelin WG Jr, Oren M, Chen J, Lu M . 1999 Mol. Cell. Biol., 19, 3257–3266
Acknowledgements
We thank J Kwak for proofreading the manuscript, H Nojima for cyclin G constructs, G Lozano for Mdm2−/− MEF and T Ouchi for helpful discussion. This work was supported by the Charlotte Geyer Foundation and NIH Grants CA85681, CA78356 and CA80058.
Author information
Authors and Affiliations
Corresponding author
Rights and permissions
About this article
Cite this article
Ohtsuka, T., Ryu, H., Minamishima, Y. et al. Modulation of p53 and p73 levels by cyclin G: implication of a negative feedback regulation. Oncogene 22, 1678–1687 (2003). https://doi.org/10.1038/sj.onc.1206306
Received:
Revised:
Accepted:
Published:
Issue date:
DOI: https://doi.org/10.1038/sj.onc.1206306
Keywords
This article is cited by
-
The p53 family member p73 in the regulation of cell stress response
Biology Direct (2021)
-
Upregulation of microRNA-122 by farnesoid X receptor suppresses the growth of hepatocellular carcinoma cells
Molecular Cancer (2015)
-
MicroRNAs: short non-coding players in cancer chemoresistance
Molecular and Cellular Therapies (2014)
-
Suppression of acetylpolyamine oxidase by selected AP-1 members regulates DNp73 abundance: mechanistic insights for overcoming DNp73-mediated resistance to chemotherapeutic drugs
Cell Death & Differentiation (2014)
-
Restoration of wild-type p53 in drug-resistant mouse breast cancer cells leads to differential gene expression, but is not sufficient to overcome the malignant phenotype
Molecular and Cellular Biochemistry (2013)


