Abstract
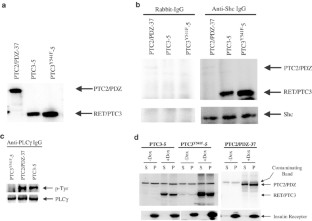
Constitutive activation of the RET proto-oncogene in papillary thyroid carcinomas results from rearrangements linking the promoter(s) and N-terminal domains of unrelated genes to the C-terminus of RET tyrosine kinase (RET/PTC). RET/PTC expression has been demonstrated to inhibit transcription of thyroid-specific genes. To study the signal transduction pathways responsible for this, we generated PCCL3 thyroid cells with doxycycline-inducible expression of RET/PTC3, RET/PTC3Y541F, or PTC2/PDZ. Acute expression of RET/PTCY541F appropriately interacted with Shc, an intermediate in the activation of the Ras pathway, but failed to activate PLCγ. By contrast, PTC2/PDZ failed to bind Shc, but interacted normally with PLCγ. Acute expression of RET/PTC3 or RET/PTC3Y541F, but not PTC2/PDZ, inhibited TSH-induced Tg and NIS expression, suggesting that activation of Shc-Ras, but not PLCγ, is required for RET/PTC-induced dedifferentiation. Accordingly, acute expression of H-RasV12 or of a constitutively active MEK1 also blocked TSH-induced expression of Tg and NIS. Moreover, MEK inhibitors restored Tg and NIS levels. In conclusion, activation of the Ras/Raf/MEK/MAPK pathway through Shc mediates RET/PTC-induced thyroid cell dedifferentiation. This suggests that inhibition of this pathway may promote redifferentiation in poorly differentiated thyroid carcinomas with constitutive activation of either Ras or RET/PTC.
This is a preview of subscription content, access via your institution
Access options
Subscribe to this journal
Receive 50 print issues and online access
$259.00 per year
only $5.18 per issue
Buy this article
- Purchase on SpringerLink
- Instant access to the full article PDF.
USD 39.95
Prices may be subject to local taxes which are calculated during checkout





Similar content being viewed by others
References
Alberti L, Borrello MG, Ghizzoni S, Torriti F, Rizzetti MG and Pierotti MA . (1998). Oncogene, 17, 1079–1087.
Arighi E, Alberti L, Torriti F, Ghizzoni S, Rizzetti MG, Pelicci G, Pasini B, Bongarzone I, Piutti C, Pierotti MA and Borrello MG . (1997). Oncogene, 14, 773–782.
Besset V, Scott RP and Ibanez CF . (2000). J. Biol. Chem., 275, 39159–39166.
Borrello MG, Alberti L, Arighi E, Bongarzone I, Battistini C, Bardelli A, Pasini B, Piutti C, Rizzetti MG, Mondellini P, Radice MT and Pierotti MA . (1996). Mol. Cell. Biol., 16, 2151–2163.
Bounacer A, Wicker R, Schlumberger M, Sarasin A and Suarez HG . (1997). Biochimie, 79, 619–623.
Chun JT and Di Lauro R . (2001). Exp. Clin. Endocrinol. Diabetes, 109, 23–26.
Civitareale D, Lonigro R, Sinclair AJ and Di Lauro R . (1989). EMBO J, 8, 2537–2542.
Cobellis G, Missero C and Di Lauro R . (1998). Oncogene, 17, 2047–2057.
De Vita G, Zannini M, Cirafici AM, Melillo RM, Di Lauro R, Fusco A and Santoro M . (1998). Cell Growth Differ., 9, 97–103.
Durick K, Gill GN and Taylor SS . (1998). Mol. Cell. Biol., 18, 2298–2308.
Durick K, Wu RY, Gill GN and Taylor SS . (1996). J. Biol. Chem., 271, 12691–12694.
Fabbro D, Di Loreto C, Beltrami CA, Belfiore A, Di Lauro R and Damante G . (1994). Cancer Res., 54, 4744–4749.
Francis-Lang H, Price M, Polycarpou-Schwarz M and Di Lauro R . (1992a). Mol. Cell. Biol., 12, 576–588.
Francis-Lang H, Zannini M, De Felice M, Berlingieri MT, Fusco A and Di Lauro R . (1992b). Mol. Cell. Biol., 12, 5793–5800.
Fusco A, Berlingieri MT, Di Fiore PP, Portella G, Grieco M and Vecchio G . (1987). Mol. Cell. Biol., 7, 3365–3370.
Gire V and Wynford-Thomas D . (2000). Oncogene, 19, 737–744.
Gossen M and Bujard H . (1992). Proc. Natl. Acad. Sci. USA, 89, 5547–5551.
Gossen M and Bujard H . (1993). Nucleic Acids Res., 21, 4411–4412.
Gossen M, Freundlieb S, Bender G, Muller G, Hillen W and Bujard H . (1995). Science, 268, 1766–1769.
Hayashi H, Ichihara M, Iwashita T, Murakami H, Shimono Y, Kawai K, Kurokawa K, Murakumo Y, Imai T, Funahashi H, Nakao A and Takahashi M . (2000). Oncogene, 19, 4469–4475.
Ito T, Seyama T, Iwamoto KS, Hayashi T, Mizuno T, Tsuyama N, Dohi K, Nakamura N and Akiyama M . (1993). Cancer Res., 53, 2940–2943.
Jhiang SM, Cho JY, Furminger TL, Sagartz JE, Tong Q, Capen CC and Mazzaferri EL . (1998). Recent Results Cancer Res., 154, 265–270.
Jhiang SM, Sagartz JE, Tong Q, Parker-Thornburg J, Capen CC, Cho JY, Xing S and Ledent C . (1996). Endocrinology, 137, 375–378.
Liu X, Vega QC, Decker RA, Pandey A, Worby CA and Dixon JE . (1996). J. Biol. Chem., 271, 5309–5312.
Mascia A, Nitsch L, Di Lauro R and Zannini M . (2002). J. Endocrinol., 172, 163–176.
Medina DL, Suzuki K, Pietrarelli M, Okajima F, Kohn LD and Santisteban P . (2000). Thyroid, 10, 295–303.
Melillo RM, Santoro M, Ong SH, Billaud M, Fusco A, Hadari YR, Schlessinger J and Lax I . (2001). Mol. Cell. Biol., 21, 4177–4187.
Mercalli E, Ghizzoni S, Arighi E, Alberti L, Sangregorio R, Radice MT, Gishizky ML, Pierotti MA and Borrello MG . (2001). Oncogene, 2001, 20, 3475–20, 3485.
Mikaelian I and Sergeant A . (1992). Nucleic Acids Res., 20, 376.
Missero C, Cobellis G, De Felice M and Di Lauro R . (1998). Mol. Cell. Endocrinol., 140, 37–43.
Missero C, Pirro MT and Di Lauro R . (2000). Mol. Cell. Biol., 20, 2783–2793.
Mizuno T, Iwamoto KS, Kyoizumi S, Nagamura H, Shinohara T, Koyama K, Seyama T and Hamatani K . (2000). Oncogene, 19, 438–443.
Mizuno T, Kyoizumi S, Suzuki T, Iwamoto KS and Seyama T . (1997). Oncogene, 15, 1455–1460.
Nikiforov YE, Rowland JM, Bove KE, Monforte-Munoz H and Fagin JA . (1997). Cancer Res., 57, 1690–1694.
Ohno M, Zannini M, Levy O, Carrasco N and Di Lauro R . (1999). Mol. Cell. Biol., 19, 2051–2060.
Pandey A, Duan H, Di Fiore PP and Dixit VM . (1995). J. Biol. Chem., 270, 21461–21463.
Pandey A, Liu X, Dixon JE, Di Fiore PP and Dixit VM . (1996). J. Biol. Chem., 271, 10607–10610.
Powell Jr DJ, Russell J, Nibu K, Li G, Rhee E, Liao M, Goldstein M, Keane WM, Santoro M, Fusco A and Rothstein JL . (1998). Cancer Res., 58, 5523–5528.
Puxeddu E and Fagin JA . (2001). Endocrinol. Metab. Clin., 30, 493–513.
Saavedra HI, Knauf JA, Shirokawa JM, Wang J, Ouyang B, Elisei R, Stambrook PJ and Fagin JA . (2000). Oncogene, 19, 3948–3954.
Salvatore D, Barone MV, Salvatore G, Melillo RM, Chiappetta G, Mineo A, Fenzi G, Vecchio G, Fusco A and Santoro M . (2000). J. Clin. Endocrinol. Metab., 85, 3898–3907.
Santoro M, Chiappetta G, Cerrato A, Salvatore D, Zhang L, Manzo G, Picone A, Portella G, Santelli G, Vecchio G and Fusco A . (1996). Oncogene, 12, 1821–1826.
Santoro M, Melillo RM, Carlomagno F, Fusco A and Vecchio G . (2002). Ann. NY Acad. Sci., 963, 116–121.
Santoro M, Melillo RM, Grieco M, Berlingieri MT, Vecchio G and Fusco A . (1993). Cell Growth Differ., 4, 77–84.
Santoro M, Thomas GA, Vecchio G, Williams GH, Fusco A, Chiappetta G, Pozcharskaya V, Bogdanova TI, Demidchik EP, Cherstvoy ED, Voscoboinik L, Tronko ND, Carss A, Bunnell H, Tonnachera M, Parma J, Dumont JE, Keller G, Hofler H and Williams ED . (2000). Br. J. Cancer, 82, 315–322.
Schmitt TL, Espinoza CR and Loos U . (2002). Thyroid, 12, 273–279.
Shirokawa JM, Elisei R, Knauf JA, Hara T, Wang J, Saavedra HI and Fagin JA . (2000). Mol. Endocrinol., 14, 1725–1738.
Sinclair AJ, Lonigro R, Civitareale D, Ghibelli L and Di Lauro R . (1990). Eur. J. Biochem., 193, 311–318.
Sugg SL, Ezzat S, Rosen IB, Freeman JL and Asa SL . (1998). J. Clin. Endocrinol. Metab., 83, 4116–4122.
Trapasso F, Iuliano R, Chiefari E, Arturi F, Stella A, Filetti S, Fusco A and Russo D . (1999). Eur. J. Endocrinol., 140, 447–451.
van Weering DH, Medema JP, van Puijenbroek A, Burgering BM, Baas PD and Bos JL . (1995). Oncogene, 11, 2207–2214.
Vecchio G and Santoro M . (2000). Clin. Chem. Lab. Med., 38, 113–116.
Velasco JA, Acebron A, Zannini M, Martin-Perez J, Di Lauro R and Santisteban P . (1998). Endocrinology, 139, 2796–2802.
Viglietto G, Chiappetta G, Martinez-Tello FJ, Fukunaga FH, Tallini G, Rigopoulou D, Visconti R, Mastro A, Santoro M and Fusco A . (1995). Oncogene, 11, 1207–1210.
Zannini M, Francis-Lang H, Plachov D and Di Lauro R . (1992). Mol. Cell. Biol., 12, 4230–4241.
Acknowledgements
This work was supported in part by NIH Grants CA50706 and CA72597 (JAF) and K01DK02781 (JAK).
Author information
Authors and Affiliations
Corresponding author
Rights and permissions
About this article
Cite this article
Knauf, J., Kuroda, H., Basu, S. et al. RET/PTC-induced dedifferentiation of thyroid cells is mediated through Y1062 signaling through SHC-RAS-MAP kinase. Oncogene 22, 4406–4412 (2003). https://doi.org/10.1038/sj.onc.1206602
Received:
Revised:
Accepted:
Published:
Issue date:
DOI: https://doi.org/10.1038/sj.onc.1206602
Keywords
This article is cited by
-
Tyrosinkinaseinhibitoren bei Patienten mit radiojodrefraktärem differenziertem Schilddrüsenkarzinom
Journal für Klinische Endokrinologie und Stoffwechsel (2023)
-
MicroRNA 452 regulates SHC1 expression in human colorectal cancer and colitis
Genes & Genomics (2023)
-
The use of single-timepoint images to link administered radioiodine activity (MBq) to a prescribed lesion radiation-absorbed dose (cGy): a regression-based prediction interval tool for the management of well-differentiated thyroid cancer patients
European Journal of Nuclear Medicine and Molecular Imaging (2023)
-
Podoplanin (PDPN) affects the invasiveness of thyroid carcinoma cells by inducing ezrin, radixin and moesin (E/R/M) phosphorylation in association with matrix metalloproteinases
BMC Cancer (2019)
-
miRNA-106a directly targeting RARB associates with the expression of Na+/I− symporter in thyroid cancer by regulating MAPK signaling pathway
Journal of Experimental & Clinical Cancer Research (2016)


