Abstract
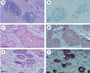
We show here that nerve growth factor (NGF), the canonical neurotrophic factor, is synthesized and released by breast cancer cells. High levels of NGF transcript and protein were detected in breast cancer cells by reverse transcription-PCR, Western blotting, ELISA assay and immunohistochemistry. Conversely, NGF production could not be detected in normal breast epithelial cells at either the transcriptional or protein level. Confocal analysis indicated the presence of NGF within classical secretion vesicles. Breast cancer cell-produced NGF was biologically active, as demonstrated by its ability to induce the neuronal differentiation of embryonic neural precursor cells. Importantly, the constitutive growth of breast cancer cells was strongly inhibited by either NGF-neutralizing antibodies or K-252a, a pharmacological inhibitor of NGF receptor TrkA, indicating the existence of an NGF autocrine loop. Together, our data demonstrate the physiological relevance of NGF in breast cancer and its potential interest as a marker and therapeutic target.
This is a preview of subscription content, access via your institution
Access options
Subscribe to this journal
Receive 50 print issues and online access
$259.00 per year
only $5.18 per issue
Buy this article
- Purchase on SpringerLink
- Instant access to the full article PDF.
USD 39.95
Prices may be subject to local taxes which are calculated during checkout





Similar content being viewed by others
Abbreviations
- NGF:
-
nerve growth factor
- NBEC:
-
normal breast epithelial cell
- RT–PCR:
-
reverse transcription–polymerase chain reaction
- SDS–PAGE:
-
sodium dodecyl sulfate–polyacrylamide gel electrophoresis
- ELISA:
-
enzyme-linked immunosorbent assay
- PBS:
-
phosphate-buffered saline
- TBS:
-
tris-buffered saline
- FCS:
-
fetal calf serum
References
Adriaenssens E, Dumont L, Lottin S, Bolle D, Lepretre A, Delobelle A, Bouali F, Dugimont T, Coll J and Curgy JJ . (1998). Am. J. Pathol., 153, 1597–1607.
Anton ES, Weskamp G, Reichart LF and Matthew W . (1994). Proc. Natl. Acad. Sci. USA, 91, 2795–2799.
Bange J, Zwick E and Ullrich A . (2001). Nat. Med., 7, 548–552.
Barbacid M . (1995). Curr. Opin. Cell. Biol., 7, 148–155.
Bonini S, Lambiase A, Angelucci F, Magrini L, Manni L and Aloe L . (1996). Proc. Natl. Acad. Sci. USA, 93, 10955–10960.
Brickman YG, Ford MD, Gallagher JT, Nurcombe V, Barlett PF and Turnbull JE . (1998). J. Biol. Chem., 273, 4350–4359.
Chiarenza A, Lazarovici P, Lempereur L, Cantarella G, Bianchi A and Bernardini R . (2001). Cancer Res., 61, 3002–3008.
Clemow DB, Steers WD, McCarty R and Tuttle JB . (1998). Am. J. Physiol., 275, 1279–1286.
Colomer R, Shamon LA, Tsai MS and Lupu R . (2001). Cancer Invest., 19, 49–56.
Dalal R and Djakiew D . (1997). Mol. Cell. Endocrinol., 134, 15–22.
Descamps S, Le Bourhis X, Delehedde M, Boilly B and Hondermarck H . (1998). J. Biol. Chem., 273, 16659–16662.
Descamps S, Pawlowski V, Revillion F, Hornez L, Hebbar M, Boilly B, Hondermarck H and Peyrat JP . (2001b). Cancer Res., 61, 4337–4340.
Descamps S, Toillon RA, Adriaenssens E, Pawlowski V, Cool SM, Nurcombe V, Le Bourhis X, Boilly B, Peyrat JP and Hondermarck H . (2001a). J. Biol. Chem., 276, 17864–17870.
Di Marco E, Mathor M, Bondanza S, Cutuli N, Marchisio PC, Cancedda R and De Luca M . (1993). J. Biol. Chem., 268, 22838–22846.
Dickson C, Spencer-Dene B, Dillon C and Fantl V . (2000). Breast Cancer Res., 2, 191–196.
Dong-Lebourhis X, Berthois Y, Millot G, Degeorges A, Sylvi M, Martin PM and Calvo F . (1997). Int. J. Cancer, 71, 42–48.
El Yazidi-Belkoura I, Adriaenssens E, Dollé L, Descamps S and Hondermarck H . (2003). J. Biol. Chem., 278, 16952–16956.
Ethier SP . (1995). J. Natl. Cancer Inst., 87, 964–973.
Fawcett JP, Aloyz R, McLean JH, Pareek S, Miller FD, McPherson PS and Murphy RA . (1997). J. Biol. Chem., 272, 8837–8840.
Grueters A, Lakshmanan RT, Tarris R, Alm J and Fisher DA . (1985). Pediatr. Res., 19, 934–937.
Hattori A, Tanaka E, Murase K, Ishida N, Chatani Y, Tsujimoto M, Hayashi K and Kohno M . (1993). J. Biol. Chem., 268, 2577–2582.
Kauffman RF, Taylor RW and Pfeiffer DR . (1980). J. Biol. Chem., 255, 2735–2739.
Kelly RB . (1991). Curr. Opin. Cell. Biol., 3, 654–660.
Le Bourhis X, Toillon RA, Boilly B and Hondermarck H . (2000). Breast Cancer Res. Treat., 1722, 1–8.
Leon A, Buriani A, Dal Toso R, Fabris M, Romanello S, Aloe L and Levi-Montalcini R . (1994). Proc. Natl. Acad. Sci. USA, 91, 3739–3743.
Levi-Montalcini R . (1987). Science, 237, 1154–1162.
Lillien LE and Claude P . (1985). Nature, 317, 632–634.
Lossing C and Hansson HA . (1993). Plast. Reconstr. Surg., 91, 1277–1286.
McAllister AK, Katz LC and Lo DC . (1999). Annu. Rev. Neurosci., 22, 295–318.
Moller JC, Kruttgen A, Heymach Jr JV, Ghori N and Shooter EM . (1998). J. Neurosci. Res., 51, 463–472.
Nurcombe V, Smart CE, Chipperfield H, Cool SM, Boilly B and Hondermarck H . (2000). J. Biol. Chem., 275, 30009–30018.
Small DH, Reed G, Whitefield B and Nurcombe V . (1995). J. Neurosci., 15, 144–151.
Sofroniew MV, Howe CL and Mobley WC . (2001). Annu. Rev. Neurosci., 24, 1217–1281.
Tagliabue E, Castigliani F, Ghirelli C, Modugno M, Asnaghi L, Somenszi G, Melani C and Menard S . (2000). J. Biol. Chem., 275, 5388–5394.
Torcia M, Bracci-Laudiero L, Lucibello M, Nencioni L, Labardi D, Rubartelli A, Cozzolino F, Aloe L and Garaci E . (1996). Cell, 85, 345–356.
Wang XH and Poo MM . (1997). Neuron, 19, 825–835.
Yaar M, Grossman K, Eller M and Gilchrest BA . (1991). J. Cell. Biol., 115, 821–828.
Acknowledgements
This work was supported by the French Ministry of Research and Education, the ‘Ligue Nationale Contre le Cancer, comité départemental Nord Pas-de-Calais’, the ‘Génopole de Lille’ and the ‘Région Nord-pas-de-Calais’. LD was a recipient of a fellowship from the ‘Ligue Nationale Contre le Cancer’.
Author information
Authors and Affiliations
Corresponding author
Rights and permissions
About this article
Cite this article
Dollé, L., El Yazidi-Belkoura, I., Adriaenssens, E. et al. Nerve growth factor overexpression and autocrine loop in breast cancer cells. Oncogene 22, 5592–5601 (2003). https://doi.org/10.1038/sj.onc.1206805
Received:
Revised:
Accepted:
Published:
Issue date:
DOI: https://doi.org/10.1038/sj.onc.1206805
Keywords
This article is cited by
-
ProNGF promotes brain metastasis through TrkA/EphA2 induced Src activation in triple negative breast cancer cells
Experimental Hematology & Oncology (2023)
-
Tumour innervation and neurosignalling in prostate cancer
Nature Reviews Urology (2020)
-
Tumour-induced neoneurogenesis and perineural tumour growth: a mathematical approach
Scientific Reports (2016)
-
Distinctive effect on nerve growth factor-induced PC12 cell neurite outgrowth by two unique neolignan enantiomers from Illicium merrillianum
Scientific Reports (2015)
-
TrkB inhibition by GNF-4256 slows growth and enhances chemotherapeutic efficacy in neuroblastoma xenografts
Cancer Chemotherapy and Pharmacology (2015)


