Abstract
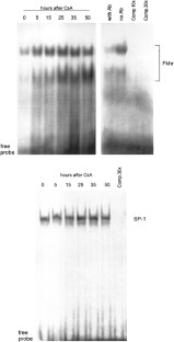
Activation of Akt signalling pathway is frequently found in glioma cells and may contribute to their resistance to undergo apoptosis in response to conventional therapies. We found that cyclosporin A (CsA) induces apoptosis of C6 glioma cells, which is associated with transcriptional activation of fasL. In the present paper, we investigated an involvement of Akt signalling in the regulation of FasL expression in CsA-induced apoptosis. We demonstrated that the level of active Akt decreases significantly after CsA treatment, which results in the decrease of Forkhead phosphorylation and its translocation to the nucleus. It correlated with an increase of binding to the Forkhead-responsive element FHRE from the FasL promoter, as demonstrated by gel-shift assays. Although treatment with LY294002, a specific inhibitor of PI3 K, decreased the phosphorylation of Akt and increased Fkhr translocation to the nucleus, these events were not sufficient to induce FasL expression and apoptosis of C6 glioma cells. Interference with Akt/Forkhead signalling by membrane-targeted Akt or removal of the FKHR-binding sites from the FasL promoter significantly abolished its activation. These results indicate that downregulation of Akt signalling and activation of Forkhead is a prerequisite for the induction of FasL promoter. It may be clinically important for pharmacological intervention in gliomas.
This is a preview of subscription content, access via your institution
Access options
Subscribe to this journal
Receive 50 print issues and online access
$259.00 per year
only $5.18 per issue
Buy this article
- Purchase on SpringerLink
- Instant access to the full article PDF.
USD 39.95
Prices may be subject to local taxes which are calculated during checkout








Similar content being viewed by others
References
Ahmed NN, Grimes HL, Bellacosa A, Chan TO and Tsichlis PN . (1997). Proc. Natl. Acad. Sci., 94, 3627–3632.
Alessi DR, Andjelkovic M, Caudwell B, Cron P, Morrice N, Cohen P and Hemmings BA . (1996). EMBO J., 5, 6541–6551.
Alvarez B, Martinez-A C, Burgering BM and Carrera AC . (2001). Nature, 413, 744–747.
Ambar BB, Frei K, Malipiero U, Morelli AE, Castro MG, Lowenstein PR and Fontana A . (1999). Hum. Gene Ther., 10, 1641–1648.
Biggs WH, Meisenhelder J, Hunter T, Cavenee WK and Arden KC . (1999). Proc. Natl. Acad. Sci., 96, 7421–7426.
Brownawell AM, Kops GJ, Macara IG and Burgering BM . (2001). Mol. Cell. Biol., 21, 3534–3546.
Brunet A, Bonni A, Zigmond MJ, Lin MZ, Juo P, Hu LS, Anderson MJ, Arden KC, Blenis J and Greenberg ME . (1999). Cell, 96, 857–868.
Brunet A, Datta SR and Greenberg ME . (2001). Curr. Opin. Neurobiol., 11, 297–305.
Burgering BM and Coffer PJ . (1995). Nature, 376, 599–602.
Cardone MH, Roy N, Stennicke HR, Salvesen GS, Franke TF, Stanbridge E, Frisch S and Reed JC . (1998). Science, 282, 1318–1321.
Chen RH, Su YH, Chuang RL and Chang TY . (1998). Oncogene, 17, 1959–1968.
Chung J, Grammer TC, Lemon KP, Kazlauskas A and Blenis J . (1994). Nature, 370, 71–75.
Datta SR, Dudek H, Tao X, Masters S, Fu H, Gotoh Y and Greenberg ME . (1997). Cell, 91, 231–241.
del Peso L, Gonzalez-Garcia M, Page C, Herrera R and Nunez G . (1997). Science, 278, 687–689.
Di Cristofano A, Kotsi P, Peng YF, Cordon-Cardo C, Elkon KB and Pandolfi PP . (1999). Science, 285, 2122–2125.
Downward J . (1998). Curr. Opin. Cell Biol., 10, 262–267.
Du K and Montminy M . (1998). J. Biol. Chem., 273, 32377–32379.
Dudek H, Datta SR, Franke TF, Birnbaum MJ, Yao R, Cooper GM, Segal RA, Kaplan DR and Greenberg ME . (1997). Science, 275, 661–665.
Duerr EM, Rollbrocker B, Hayashi Y, Peters N, Meyer-Puttlitz B, Louis DN, Schramm J, Wiestler OD, Parsons R, Eng C and von Deimling A . (1998). Oncogene, 16, 2259–2264.
Duronio V, Scheid MP and Ettinger S . (1998). Cell. Signal., 10, 233–239.
Faris M, Latinis KM, Kempiak SJ, Koretzky GA and Nel A . (1998). Mol. Cell. Biol., 18, 5414–5424.
Franke TF, Kaplan DR and Cantley LC . (1997). Cell, 88, 435–437.
Franke TF, Yang SI, Chan TO, Datta K, Kazlauskas A, Morrison DK, Kaplan DR and Tsichlis PN . (1995). Cell, 81, 727–736.
Friesen C, Herr I, Krammer PH and Debatin KM . (1996). Nat. Med., 2, 574–577.
Galanis E and Buckner J . (2000). Br. J. Cancer, 82, 1371–1380.
Gibson S, Tu S, Oyer R, Anderson SM and Johnson GL . (1999). J. Biol. Chem., 274, 17612–17618.
Haas-Kogan D, Shalev N, Wong M, Mills G, Yount G and Stokoe D . (1998). Curr. Biol., 8, 1195–1198.
Hawkins PT, Eguinoa A, Qiu RG, Stokoe D, Cooke FT, Walters R, Wennstrom S, Claesson-Welsh L, Evans T, Symons M and Stephens L . (1995). Curr. Biol., 5, 393–403.
Hermanson M, Funa K, Hartman M, Cleasson-Welsh L, Heldin CH, Westermark B and Nister M . (1992). Cancer Res., 52, 3213–3219.
Herr I, Wilhelm D, Bohler T, Angel P and Debatin KM . (1997). EMBO J., 16, 6200–6208.
Holland EC, Celestino J, Dai C, Schaefer L, Sawaya RE and Fuller GN . (2000). Nat. Genet., 25, 55–57.
Holtz-Heppelmann CJ, Algeciras A, Badley AD and Paya CV . (1998). J. Biol. Chem., 273, 4416–4423.
Hosli P, Sappino AP, de Tribolet N and Dietrich PY . (1998). Ann. Oncol., 9, 589–600.
Kaminska B, Filipkowski RK, Zurkowska G, Lason W, Przewlocki R and Kaczmarek L . (1994). Eur. J. Neurosci., 6, 1558–1566.
Kaminska B, Kaczmarek L and Chaudhuri A . (1996). J. Neurosci., 16, 3968–3978.
Kandel ES and Hay N . (1999). Exp. Cell Res., 253, 210–229.
Kane LP, Shapiro VS, Stokoe D and Weiss A . (1999). Curr. Biol., 9, 601–604.
Kasibhatla S, Brunner T, Genestier L, Echeverri F, Mahboubi A and Green DR . (1998). Mol. Cell., 1, 543–551.
Kauffmann-Zeh A, Rodriguez-Viciana P, Ulrich E, Gilbert C, Coffer P, Downward J and Evan G . (1997). Nature, 385, 544–548.
Kawaguchi S, Mineta T, Ichinose M, Masuoka J, Shiraishi T and Tabuchi K . (2000). Neurosurgery, 46, 431–439.
Kennedy SG, Wagner AJ, Conzen SD, Jordan J, Bellacosa A, Tsichlis PN and Hay N . (1997). Genes Dev., 11, 701–713.
Klippel A, Kavanaugh WM, Pot D and Williams LT . (1997). Mol. Cell. Biol., 17, 338–344.
Klippel A, Reinhard C, Kavanaugh WM, Apell G, Escobedo MA and Williams LT . (1996). Mol. Cell Biol., 16, 4117–4127.
Kops GJ, de Ruiter ND, De Vries-Smits AM, Powell DR, Bos JL and Burgering BM . (1999). Nature, 398, 630–634.
Kulik G, Klippel A and Weber MJ . (1997). Mol. Cell. Biol., 17, 1595–1606.
Latinis KM, Norian LA, Eliason SL and Koretzky GA . (1997). J. Biol Chem., 272, 31427–31434.
Lin K, Dorman JB, Rodan A and Kenyon C . (1997). Science, 278, 1319–1322.
Li DM and Sun H . (1998). Proc. Natl. Acad. Sci., 95, 15406–15411.
Li J, Yen C, Liaw D, Podsypanina K, Bose S, Wang SI, Puc J, Miliaresis C, Rodgers L, McCombie R, Signer SH, Giovanella BC, Ittmann M, Tycko B, Hibshoosh H, Wigler MH and Parsons R . (1997). Science, 275, 1943–1947.
Maehama T and Dixon JE . (1998). J. Biol. Chem., 273, 13375–13378.
Mittelstadt PR and Ashwell JD . (1998). Mol. Cell. Biol., 18, 3744–3751.
Mosieniak G, Pyrzynska B and Kaminska B . (1998). J. Neurochem., 71, 134–141.
Medema RH, Kops GJ, Bos JL and Burgering BM . (2000). Nature, 404, 782–787.
Mendez R, Kollmorgen G, White MF and Rhoads RE . (1997). Mol. Cell. Biol., 17, 5184–5192.
Nakamura N, Ramaswamy S, Vazquez F, Signoretti S, Loda M and Sellers WR . (2000). Mol. Cell. Biol., 20, 8969–8982.
Ogg S, Paradis S, Gottlieb S, Patterson GI, Lee L, Tissenbaum HA and Ruvkun G . (1997). Nature, 389, 994–999.
Ozes ON, Mayo LD, Gustin JA, Pfeffer SR, Pfeffer LM and Donner DB . (1999). Nature, 401, 82–85.
Pap M and Cooper GM . (1998). J. Biol. Chem., 273, 19929–19932.
Pyrzynska B, Mosieniak G and Kaminska B . (2000). J. Neurochem., 74, 42–51.
Pyrzynska B, Serrano M, Martinez-A C and Kaminska B . (2002). J. Biol. Chem., 277, 14102–14108.
Rena G, Guo S, Cichy SC, Unterman TG and Cohen P . (1999). J. Biol. Chem., 274, 17179–17183.
Rena G, Prescott AR, Guo S, Cohen P and Unterman TG . (2001). Biochem. J., 354, 605–612.
Romashkova JA and Makarov SS . (1999). Nature, 401, 86–90.
Saxena A and Ali IU . (1992). Oncogene, 7, 243–247.
Sharma K, Wang RX, Zhang LY, Yin DL, Luo XY, Solomon JC, Jiang RF, Markos K, Davidson W, Scott DW and Shi YF . (2000). Pharmacol. Ther., 88, 333–347.
Shinoura N, Yoshida Y, Sadata A, Hanada KI, Yamamoto S, Kirino T, Asai A and Hamada H . (1998). Hum. Gene Ther., 9, 1983–1993.
Sonoda Y, Ozawa T, Aldape KD, Deen DF, Berger MS and Pieper RO . (2001). Cancer Res., 61, 6674–6678.
Stambolic V, Suzuki A, de la Pompa JL, Brothers GM, Mirtsos C, Sasaki T, Ruland J, Penninger JM, Siderovski DP and Mak TW . (1998). Cell, 95, 29–39.
Suhara T, Kim HS, Kirshenbaum LA and Walsh K . (2002). Mol. Cell. Biol., 22, 680–691.
Sun H, Lesche R, Li DM, Liliental J, Zhang H, Gao J, Gavrilova N, Mueller B, Liu X and Wu H . (1999). Proc. Natl. Acad. Sci., 96, 6199–6204.
Tachibana O, Nakazawa H, Lampe J, Watanabe K, Kleihues P and Ohgaki H . (1995). Cancer Res., 55, 5528–5530.
Tang ED, Nunez G, Barr FG and Guan KL . (1999). J. Biol. Chem., 274, 16741–16746.
Weller M, Frei K, Groscurth P, Krammer PH, Yonekawa Y and Fontana A . (1994). J. Clin. Invest., 94, 954–964.
Vlahos CJ, Matter WF, Hui KY and Brown RF . (1994). J. Biol. Chem., 269, 5241–5248.
Yamaguchi A, Tamatani M, Matsuzaki H, Namikawa K, Kiyama H, Vitek MP, Mitsuda N and Tohyama M . (2001). J. Biol. Chem., 276, 5256–5264.
Acknowledgements
We thank Drs DR Green, T Franke MJ Weber, TG Unterman for generous gifts of the plasmid constructs. This work was supported by Grants 6 P04A 017 20 (IC) and PBZ-MIN-001/P05/2002 (BK) from the State Committee for Scientific Research (Poland).
Author information
Authors and Affiliations
Corresponding author
Rights and permissions
About this article
Cite this article
Ciechomska, I., Pyrzynska, B., Kazmierczak, P. et al. Inhibition of Akt kinase signalling and activation of Forkhead are indispensable for upregulation of FasL expression in apoptosis of glioma cells. Oncogene 22, 7617–7627 (2003). https://doi.org/10.1038/sj.onc.1207137
Received:
Revised:
Accepted:
Published:
Issue date:
DOI: https://doi.org/10.1038/sj.onc.1207137
Keywords
This article is cited by
-
Growth inhibitory and chemo-sensitization effects of naringenin, a natural flavanone purified from Thymus vulgaris, on human breast and colorectal cancer
Cancer Cell International (2015)
-
Endoplasmic reticulum stress triggers autophagy in malignant glioma cells undergoing cyclosporine A-induced cell death
Oncogene (2013)
-
Regulation of p38, PKC/Foxo3a/p73 Signaling Network by GTP During Erythroid Differentiation in Chronic Myelogenous Leukemia
Cell Biochemistry and Biophysics (2013)
-
Constitutive phosphorylation of the FOXO1 transcription factor in gastric cancer cells correlates with microvessel area and the expressions of angiogenesis-related molecules
BMC Cancer (2011)
-
Cardioprotective MicroRNAs
Pediatric Cardiology (2011)


