Abstract
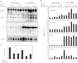
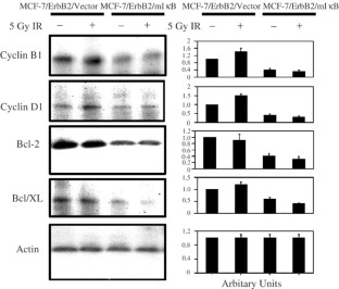
Her-2/neu (ErbB2) oncogene, the second member of the epidermal growth factor receptor (EGFR) family, encodes a transmembrane tyrosine kinase receptor in Her-2-positive tumors. Accumulating evidences demonstrate that signaling networks activated by EGFR and transcription factor NF-κB are associated with cell response to ionizing radiation (IR). The present study shows that overexpression of ErbB2 enhanced NF-κB activation induced by IR in human breast carcinoma MCF-7 cells transfected with ErbB2 genes (MCF-7/ErbB2). Stable transfection of dominant-negative mutant IκB (MCF-7/ErbB2/mIκB) or treatment with anti-ErbB2 antibody, Herceptin, inhibited NF-κB activation and radiosensitized MCF-7/ErbB2 cells. Consistent with NF-κB regulation, basal and IR-induced Akt, a kinase downstream of ErbB2, was activated in MCF-7/ErbB2 cells and inhibited by Herceptin. To identify specific genes affected by ErbB2-mediated NF-κB activation, a group of IR-responsive elements Cyclin B1, Cyclin D1, Bcl-2, Bcl/XL, BAD and BAX were evaluated. Basal levels of prosurvival elements Cyclin B1, Cyclin D1, Bcl-2 and Bcl/XL but not apoptotic BAD and BAX were upregulated in MCF-7/ErbB2 cells with striking enhancements in Bcl-2 and Bcl/XL. IR further induced Cyclin B1 and Cyclin D1 expression that was reduced by Herceptin. Bcl-2 kept a high steady level after Herceptin+IR treatment and, in contrast to control MCF-7/Vector cells, Bcl/XL was inhibited in MCF-7/ErbB2 cells by Herceptin+IR treatment. However, all four prosurvival proteins were downregulated by inhibition of NF-κB in MCF-7/ErbB2/mIκB cells. These results thus provide evidence suggesting that overexpression of ErbB2 is able to enhance NF-κB response to IR, and that a specific prosurvival network downstream of NF-κB is triggered by treatments using anti-ErbB2 antibody combined with radiation.
This is a preview of subscription content, access via your institution
Access options
Subscribe to this journal
Receive 50 print issues and online access
$259.00 per year
only $5.18 per issue
Buy this article
- Purchase on SpringerLink
- Instant access to the full article PDF.
USD 39.95
Prices may be subject to local taxes which are calculated during checkout







Similar content being viewed by others
Abbreviations
- IR:
-
ionizing radiation
- NF-κB:
-
nuclear factor kappaB
- ROS:
-
reactive oxygen species
- TNF:
-
tumor necrosis factor
References
Baeuerle PA and Baltimore D . (1996). Cell, 87, 13–20.
Baldwin Jr AS . (1996). Annu. Rev. Immunol., 14, 649–683.
Barkett M and Gilmore TD . (1999). Oncogene, 18, 6910–6924.
Barnes EA, Kong M, Ollendorff V and Donoghue DJ . (2001). EMBO J., 20, 2214–2223.
Beetz A, Peter RU, Oppel T, Kaffenberger W, Rupec RA, Meyer M, van Beuningen D, Kind P and Messer G . (2000). Int. J. Radiat. Biol., 76, 1443–1453.
Bernard D, Monte D, Vandenbunder B and Abbadie C . (2002). Oncogene, 21, 4392–4402.
Bowers G, Reardon D, Hewitt T, Dent P, Mikkelsen RB, Valerie K, Lammering G, Amir C and Schmidt-Ullrich RK . (2001). Oncogene, 20, 1388–1397.
Brach MA, Hass R, Sherman ML, Gunji H, Weichselbaum R and Kufe D . (1991). J. Clin. Invest., 88, 691–695.
Bradbury CM, Markovina S, Wei SJ, Rene LM, Zoberi I, Horikoshi N and Gius D . (2001). Cancer Res., 61, 7689–7696.
Chen X, Shen B, Xia L, Khaletzkiy A, Chu D, Wong JY and Li JJ . (2002). Cancer Res., 62, 1213–1221.
Cogswell PC, Guttridge DC, Funkhouser WK and Baldwin Jr AS . (2000). Oncogene, 19, 1123–1231.
Contessa JN, Hampton J, Lammering G, Mikkelsen RB, Dent P, Valerie K and Schmidt-Ullrich RK . (2002). Oncogene, 21, 4032–4041.
Daosukho C, Kiningham K, Kasarskis EJ, Ittarat W and St Clair DK . (2002). Oncogene, 21, 3603–3610.
Delhalle S, Deregowski V, Benoit V, Merville MP and Bours V . (2002). Oncogene, 21, 3917–3924.
Fornace Jr AJ, Amundson SA, Bittner M, Myers TG, Meltzer P, Weinsten JN and Trent J . (1999). Gene Expression, 7, 387–400.
Galang CK, Garcia-Ramirez J, Solski PA, Westwick JK, Der CJ, Neznanov NN, Oshima RG and Hauser CA . (1996). J. Biol. Chem., 271, 7992–7998.
Gius D, Botero A, Shah S and Curry HA . (1999). Toxicol. Lett., 106, 93–106.
Granville DJ, Carthy CM, Jiang H, Levy JG, McManus BM, Matroule JY, Piette J and Hunt DW . (2000). Blood, 95, 256–262.
Grdina DJ, Murley JS, Kataoka Y and Calvin DP . (2002). Semin. Radiat. Oncol., 12, 103–111.
Guo G, Yan-Sanders Y, Lyn-Cook BD, Wang T, Tamae D, Ogi J, Khaletskiy A, Li Z, Weydert C, Longmate JA, Huang TT, Spitz DR, Oberley LW and Li JJ . (2003). Mol. Cell. Biol., 23, 2362–2378.
Gupta AK, Bakanauskas VJ, Cerniglia GJ, Cheng Y, Bernhard EJ, Muschel RJ and McKenna WG . (2001). Cancer Res., 61, 4278–4482.
Hallahan DE, Virudachalam S and Kuchibhotla J . (1998). Cancer Res., 58, 5484–5488.
Hassan KA, Ang KK, El-Naggar AK, Story MD, Lee JI, Liu D, Hong WK and Mao L . (2002). Cancer Res., 62, 6414–6417.
Hassan KA, El-Naggar AK, Soria JC, Liu D, Hong WK and Mao L . (2001). Clin. Cancer Res., 7, 2458–2462.
Hayman MJ and Enrietto PJ . (1991). Cancer Cells, 3, 302–307.
Hermanto U, Zong CS and Wang LH . (2001). Oncogene, 20, 7551–7562.
Herscher LL, Cook JA, Pacelli R, Pass HI, Russo A and Mitchell JB . (1999). Oncology, 13, 11–22.
Kato T, Duffey DC, Ondrey FG, Dong G, Chen Z, Cook JA, Mitchell JB and Van Waes C . (2000). Head Neck, 22, 748–759.
Kurland JF and Meyn RE . (2001). Int. J. Cancer, 96, 327–333.
Kurokawa H and Arteaga CL . (2001). Clin. Cancer Res., 7, 4436s–4442s, discussion 4411s–4412s.
Labudda K, Meyer S and Hayman MJ . (1995). Virology, 206, 269–275.
Lammering G, Lin PS, Contessa JN, Hampton JL, Valerie K and Schmidt-Ullrich RK . (2001a). Int. J. Radiat. Oncol. Biol. Phys., 51, 775–784.
Lammering G, Valerie K, Lin PS, Mikkelsen RB, Contessa JN, Feden JP, Farnsworth J, Dent P and Schmidt-Ullrich RK . (2001b). Clin. Cancer Res., 7, 682–690.
Lee S, Yang W, Lan KH, Sellappan S, Klos K, Hortobagyi G, Hung MC and Yu D . (2002). Cancer Res., 62, 5703–5710.
Lee SJ, Dimtchev A, Lavin MF, Dritschilo A and Jung M . (1998). Oncogene, 17, 1821–1826.
Li JJ, Rhim JS, Schlegel R, Vousden KH and Colburn NH . (1998). Oncogene, 16, 2711–2721.
Li N and Karin M . (1998). Proc. Natl. Acad. Sci. USA, 95, 13012–13017.
Li Z, Xia L, Lee ML, Khaletskiy A, Wang J, Wong JYC and Li JJ . (2001). Radiat. Res., 155, 543–553.
Liang K, Jin W, Knuefermann C, Schmidt M, Mills GB, Ang KK, Milas L and Fan Z . (2003). Mol. Cancer Ther., 2, 353–360.
Locke JE, Bradbury CM, Wei SJ, Shah S, Rene LM, Clemens RA, Roti Roti J, Horikoshi N and Gius D . (2002). Int. J. Radiat. Biol., 78, 493–502.
Madrid LV, Wang CY, Guttridge DC, Schottelius AJ, Baldwin Jr AS and Mayo MW . (2000). Mol. Cell. Biol., 20, 1626–1638.
McBride WH, Pajonk F, Chiang CS and Sun JR . (2002). Mil. Med., 167, 66–67.
Miyake H, Hanada N, Nakamura H, Kagawa S, Fujiwara T, Hara I, Eto H, Gohji K, Arakawa S, Kamidono S and Saya H . (1998). Oncogene, 16, 933–943.
Miyakoshi J and Yagi K . (2000). Br. J. Cancer, 82, 28–33.
Pegram M and Slamon D . (2000). Semin. Oncol., 27, 13–19.
Pegram MD, Lipton A, Hayes DF, Weber BL, Baselga JM, Tripathy D, Baly D, Baughman SA, Twaddell T, Glaspy JA and Slamon DJ . (1998). J. Clin. Oncol., 16, 2659–2671.
Pianetti S, Arsura M, Romieu-Mourez R, Coffey RJ and Sonenshein GE . (2001). Oncogene, 20, 1287–1299.
Pietras RJ, Fendly BM, Chazin VR, Pegram MD, Howell SB and Slamon DJ . (1994). Oncogene, 9, 1829–1838.
Pietras RJ, Poen JC, Gallardo D, Wongvipat PN, Lee HJ and Slamon DJ . (1999). Cancer Res., 59, 1347–1355.
Ravi R and Bedi A . (2002). Cancer Res., 62, 1583–1587.
Ravi R, Bedi GC, Engstrom LW, Zeng Q, Mookerjee B, Gelinas C, Fuchs EJ and Bedi A . (2001). Nat. Cell Biol., 3, 409–416.
Raziuddin A, Court D, Sarkar FH, Liu YL, Kung H and Raziuddin R . (1997). J. Biol. Chem., 272, 15715–15720.
Rice NR and Ernst MK . (1993). EMBO J., 12, 4685–4695.
Schmidt M, McWatters A, White RA, Groner B, Wels W, Fan Z and Bast Jr RC . (2001). Gynecol. Oncol., 80, 145–155.
Schmidt-Ullrich RK, Mikkelsen RB, Dent P, Todd DG, Valerie K, Kavanagh BD, Contessa JN, Rorrer WK and Chen PB . (1997). Oncogene, 15, 1191–1197.
Schmidt-Ullrich RK, Valerie K, Fogleman PB and Walters J . (1996). Radiat. Res., 145, 81–85.
Sen R and Baltimore D . (1986). Cell, 47, 921–928.
Shao R, Karunagaran D, Zhou BP, Li K, Lo SS, Deng J, Chiao P and Hung MC . (1997). J. Biol. Chem., 272, 32739–32742.
Sherman L, Sleeman JP, Hennigan RF, Herrlich P and Ratner N . (1999). Oncogene, 18, 6692–6699.
Slamon DJ . (1990). Cancer Invest., 8, 253.
Slamon DJ, Clark GM, Wong SG, Levin WJ, Ullrich A and McGuire WL . (1987). Science, 235, 177–182.
Soria JC, Jang SJ, Khuri FR, Hassan K, Liu D, Hong WK and Mao L . (2000). Cancer Res., 60, 4000–4004.
Stoica GE, Franke TF, Wellstein A, Morgan E, Czubayko F, List HJ, Reiter R, Martin MB and Stoica A . (2003). Oncogene, 22, 2073–2087.
Tan M, Jing T, Lan KH, Neal CL, Li P, Lee S, Fang D, Nagata Y, Liu J, Arlinghaus R, Hung MC and Yu D . (2002). Mol. Cell, 9, 993–1004.
Taylor WR and Stark GR . (2001). Oncogene, 20, 1803–1815.
Yang HY, Zhou BP, Hung MC and Lee MH . (2000). J. Biol. Chem., 275, 24735–24739.
Yang JP, Hori M, Takahashi N, Kawabe T, Kato H and Okamoto T . (1999). Oncogene, 18, 5177–5186.
Zhang Z, Huang C, Li J, Leonard SS, Lanciotti R, Butterworth L and Shi X . (2001). Arch. Biochem. Biophys., 392, 311–320.
Zhou D, Yu T, Chen G, Brown SA, Yu Z, Mattson MP and Thompson JS . (2001). Int. J. Radiat. Biol., 77, 763–772.
Acknowledgements
We thank Dr Dennis J Slamon at the University of California Los Angeles for kindly providing MCF-7/ErbB2 and vector control cells; Dr Nancy Colburn at the National Cancer Institute for providing mutant IκB plasmids; Dr David Colcher at City of Hope National Medical Center for insightful discussion and reviewing the manuscript. This work was partially supported by an International Union Against Cancer Fellowship (GG), The Beckman Fellowship (TW) and the City of Hope Summer Research Program (TC and WCC).
Author information
Authors and Affiliations
Corresponding author
Rights and permissions
About this article
Cite this article
Guo, G., Wang, T., Gao, Q. et al. Expression of ErbB2 enhances radiation-induced NF-κB activation. Oncogene 23, 535–545 (2004). https://doi.org/10.1038/sj.onc.1207149
Received:
Revised:
Accepted:
Published:
Issue date:
DOI: https://doi.org/10.1038/sj.onc.1207149
Keywords
This article is cited by
-
Alpha Particle–Emitting Radiopharmaceuticals as Cancer Therapy: Biological Basis, Current Status, and Future Outlook for Therapeutics Discovery
Molecular Imaging and Biology (2023)
-
Androgen and oestrogen receptor co-expression determines the efficacy of hormone receptor-mediated radiosensitisation in breast cancer
British Journal of Cancer (2022)
-
4-Methylumbelliferone administration enhances radiosensitivity of human fibrosarcoma by intercellular communication
Scientific Reports (2021)
-
Trastuzumab deruxtecan for the treatment of HER2-positive advanced gastric cancer: a clinical perspective
Gastric Cancer (2021)
-
Nanoparticles for live cell microscopy: A surface-enhanced Raman scattering perspective
Scientific Reports (2017)


