Abstract
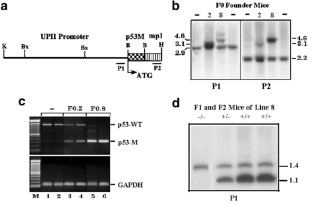
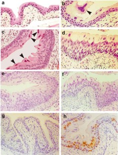
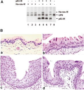
Mutation and deletion of the p53 tumor suppressor gene are arguably the most prevalent among the multiple genetic alterations found in human bladder cancer, but these p53 defects are primarily associated with the advanced diseases, and their roles in bladder tumor initiation and in synergizing with oncogenes in tumor progression have yet to be defined. Using the mouse uroplakin II gene promoter, we have targeted into urothelium of transgenic mice a dominant-negative mutant of p53 that lacks the DNA-binding domain but retains the tetramerization domain. Urothelium-expressed p53 mutant binds to and stabilizes the endogenous wild-type p53, induces nuclear abnormality, hyperplasia and occasionally dysplasia, without eliciting frank carcinomas. Concurrent expression of the p53 mutant with an activated Ha-ras, the latter of which alone induces urothelial hyperplasia, fails to accelerate tumor formation. In contrast, the expression of the activated Ha-ras in the absence of p53, as accomplished by crossing the activated Ha-ras transgenic mice with the p53 knockout mice, results in early-onset bladder tumors that are either low-grade superficial papillary or high grade in nature. These results provide the first in vivo experimental evidence that p53 deficiency predisposes the urothelium to hyperproliferation, but is insufficient for bladder tumorigenesis; that the mere reduction of p53 dosage, as produced in transgenic mice expressing the dominant-negative p53 or in heterozygous p53 knockouts, is incapable of synergizing with Ha-ras to induce bladder tumors; and that the complete loss of p53 is a prerequisite for collaborating with activated Ha-ras to promote bladder tumorigenesis.
This is a preview of subscription content, access via your institution
Access options
Subscribe to this journal
Receive 50 print issues and online access
$259.00 per year
only $5.18 per issue
Buy this article
- Purchase on SpringerLink
- Instant access to the full article PDF.
USD 39.95
Prices may be subject to local taxes which are calculated during checkout








Similar content being viewed by others
References
Bowman T, Symonds H, Gu L, Yin C, Oren M and Van Dyke T . (1996). Genes Dev., 10, 826–835.
Brinster RL, Chen HY, Trumbauer M, Senear AW, Warren R and Palmiter RD . (1981). Cell, 27, 223–231.
Bryan TM and Reddel RR . (1994). Crit. Rev. Oncogol., 5, 331–357.
Chen PL, Chen YM, Bookstein R and Lee WH . (1990). Science, 250, 1576–1580.
Chene P . (2001). Oncogene, 20, 2611–2617.
Cheng J, Huang H, Pak J, Shapiro E, Sun TT, Cordon-Cardo C, Waldman FM and Wu XR . (2003). Cancer Res., 63, 179–185.
Cheng J, Huang H, Zhang ZT, Shapiro E, Pellicer A, Sun TT and Wu XR . (2002). Cancer Res., 62, 4157–4163.
Cordon-Cardo C, Cote RJ and Sauter G . (2000). Scand. J. Urol. Nephrol. Suppl., 205, 82–93.
Cordon-Cardo C, Dalbagni G, Sarkis AS and Reuter VE . (1994). Important Advances in Oncology. DeVita VT, Hellman S and Rosenberg SA (eds). Lippincott JB Company: Philadelphia, pp. 71–83.
Cordon-Cardo C and Sheinfeld J . (1997). World J. Urol., 15, 112–119.
Cordon-Cardo C, Sheinfeld J and Dalbagni G . (1997). Semin. Surg. Oncol., 13, 319–327.
Cote RJ, Dunn MD, Chatterjee SJ, Stein JP, Shi SR, Tran QC, Hu SX, Xu HJ, Groshen S, Taylor CR, Skinner DG and Benedict WF . (1998). Cancer Res., 58, 1090–1094.
Czerniak B, Cohen GL, Etkind P, Deitch D, Simmons H, Herz F and Koss LG . (1992). Hum. Pathol., 23, 1199–1204.
Dahse R, Utting M, Werner W, Schubert J, Claussen U and Junker K . (2000). Oncol. Rep., 7, 931–936.
Donehower LA, Harvey M, Slagle BL, McArthur MJ, Montgomery Jr CA, Butel JS and Bradley A . (1992). Nature, 356, 215–221.
Ferbeyre G, de Stanchina E, Lin AW, Querido E, McCurrach ME, Hannon GJ and Lowe SW . (2002). Mol. Cell. Biol., 22, 3497–3508.
Fitzgerald JM, Ramchurren N, Rieger K, Levesque P, Silverman M, Libertino JA and Summerhayes IC . (1995). J. Natl. Cancer Inst., 87, 129–133.
Fradet Y and Lacombe L . (2000). Curr. Opin. Urol., 10, 441–445.
Frazier MW, He X, Wang J, Gu Z, Cleveland JL and Zambetti GP . (1998). Mol. Cell. Biol., 18, 3735–3743.
Gottifredi V, Shieh SY and Prives C . (2000). Cold Spring Harb. Symp. Quant. Biol., 65, 483–488.
Grossman HB, Liebert M, Antelo M, Dinney CP, Hu SX, Palmer JL and Benedict WF . (1998). Clin. Cancer Res., 4, 829–834.
Kikuchi-Yanoshita R, Tanaka K, Muraoka M, Konishi M, Kawashima I, Takamoto S, Hirai H and Miyaki M . (1995). Oncogene, 11, 1339–1345.
Knowles MA . (1995). Br. J. Urol., 1, 57–66.
Knowles MA . (2001). Mol. Pathol., 54, 215–221.
Koss LG . (1992). J. Cell. Biochem. Suppl., 16I, 23–29.
Lacombe L, Dalbagni G, Zhang ZF, Cordon-Cardo C, Fair WR, Herr HW and Reuter VE . (1996). J. Clin. Oncol., 14, 2646–2652.
Lanyi A, Deb D, Seymour RC, Ludes-Meyers JH, Subler MA and Deb S . (1998). Oncogene, 16, 3169–3176.
Levine AJ . (1997). Cell, 88, 323–331.
Liebert M and Seigne J . (1996). Semin. Urol. Oncol., 14, 62–72.
Lin JH, Zhao H and Sun TT . (1995). Proc. Natl. Acad. Sci. USA, 92, 679–683.
Llopis J, Alcaraz A, Ribal MJ, Sole M, Ventura PJ, Barranco MA, Rodriguez A, Corral JM and Carretero P . (2000). Eur. Urol., 37, 644–653.
Messing EM . (1992). Semin. Surg. Oncol., 8, 285–292.
Orntoft TF and Wolf H . (1998). Urol. Res., 26, 223–233.
Pohar KS and Cordon-Cardo C . (2002). Cancer Precursors, Franco EL and Rohan TE (eds). Springer-Verlag: New York, pp. 344–361.
Prenzel N, Fischer OM, Streit S, Hart S and Ullrich A . (2001). Endocr. Relat. Cancer, 8, 11–31.
Raghavan D . (2003). Cancer, 97, 2083–2089.
Reed M, Woelker B, Wang P, Wang Y, Anderson ME and Tegtmeyer P . (1995). Proc. Natl. Acad. Sci. USA, 92, 9455–9459.
Reiher F, Ozer O, Pins M, Jovanovic BD, Eggener S and Campbell SC . (2002). J. Urol., 167, 1469–1474.
Reznikoff CA, Belair CD, Yeager TR, Savelieva E, Blelloch RH, Puthenveettil JA and Cuthill S . (1996). Semin. Oncol., 23, 571–584.
Sandberg AA and Berger CS . (1994). J. Urol., 151, 545–560.
Sarkis AS, Dalbagni G, Cordon-Cardo C, Melamed J, Zhang ZF, Sheinfeld J, Fair WR, Herr HW and Reuter VE . (1994). J. Urol., 152, 388–392.
Sarkis AS, Dalbagni G, Cordon-Cardo C, Zhang ZF, Sheinfeld J, Fair WR, Herr HW and Reuter VE . (1993). J. Natl. Cancer Inst., 85, 53–59.
Serrano M, Lin AW, McCurrach ME, Beach D and Lowe SW . (1997). Cell, 88, 593–602.
Shaulian E, Zauberman A, Ginsberg D and Oren M . (1992). Mol. Cell. Biol., 12, 5581–5592.
Shaulsky G, Goldfinger N and Rotter V . (1991). Cancer Res., 51, 5232–5237.
Soussi T . (2000). Ann. NY Acad. Sci., 910, 121–137.
Spruck CHr, Ohneseit PF, Gonzalez-Zulueta M, Esrig D, Miyao N, Tsai YC, Lerner SP, Schmutte C, Yang AS, Cote, R, Dubeau L, Nichols PW, Hermann GG, Steven K, Horn T, Skinner DG and Jones PA . (1994). Cancer Res., 54, 784–788.
Theodorescu D . (2003). Histol. Histopathol., 18, 259–274.
Vageli D, Kiaris H, Delakas D, Anezinis P, Cranidis A and Spandidos DA . (1996). Cancer Lett., 107, 241–247.
Zambetti GP, Olson D, Labow M and Levine AJ . (1992). Proc. Natl. Acad. Sci. USA, 89, 3952–3956.
Zhang ZT, Pak J, Huang HY, Shapiro E, Sun TT, Pellicer A and Wu XR . (2001). Oncogene, 20, 1973–1980.
Zhang ZT, Pak J, Shapiro E, Sun TT and Wu XR . (1999). Cancer Res., 59, 3512–3517.
Acknowledgements
This work is supported in part by a Merit Review Award from Veterans Administration Research Service and grants from National Institutes of Health (DK56903 and DK52206). We thank Gert Kreibich for critically reading the manuscript.
Author information
Authors and Affiliations
Corresponding author
Rights and permissions
About this article
Cite this article
Gao, J., Huang, HY., Pak, J. et al. p53 deficiency provokes urothelial proliferation and synergizes with activated Ha-ras in promoting urothelial tumorigenesis. Oncogene 23, 687–696 (2004). https://doi.org/10.1038/sj.onc.1207169
Received:
Revised:
Accepted:
Published:
Issue date:
DOI: https://doi.org/10.1038/sj.onc.1207169
Keywords
This article is cited by
-
Intensity of Nuclear Staining for Ki-67, p53 and Survivin as a New Prognostic Factor in Non-muscle Invasive Bladder Cancer
Pathology & Oncology Research (2020)
-
Bladder cancer
Nature Reviews Disease Primers (2017)
-
Modelling bladder cancer in mice: opportunities and challenges
Nature Reviews Cancer (2015)
-
Bladder cancers arise from distinct urothelial sub-populations
Nature Cell Biology (2014)
-
Biology of urothelial tumorigenesis: insights from genetically engineered mice
Cancer and Metastasis Reviews (2009)


