Abstract
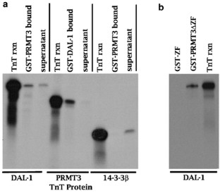
DAL-1 (differentially expressed in adenocarcinoma of the lung)/4.1B is a tumor suppressor gene on human chromosome 18p11.3 whose expression is lost in >50% of primary non-small-cell lung carcinomas. Based on sequence similarity, DAL-1/4.1B has been assigned to the Protein 4.1 superfamily whose members interact with plasma membrane proteins through their N-terminal FERM (4.1/Ezrin/Radixin/Moesin) domain, and cytoskeletal components via their C-terminal SAB (spectrin–actin binding) region. Using the DAL-1/4.1B FERM domain as bait for yeast two-hybrid interaction cloning, we identified protein arginine N-methyltransferase 3 (PRMT3) as a specific DAL-1/4.1B-interacting protein. PRMT3 catalyses the post-translational transfer of methyl groups from S-adenosyl-L-methionine to arginine residues of proteins. Coimmunoprecipitation experiments using lung and breast cancer cell lines confirmed this interaction in mammalian cells in vivo. In vitro binding assays demonstrated that this was an interaction occurring via the C-terminal catalytic core domain of PRMT3. DAL-1/4.1B was determined not to be a substrate for PRMT3-mediated methylation but its presence inhibits the in vitro methylation of a glycine-rich and arginine-rich methyl-accepting protein, GST (glutathione-S-transferase-GAR (glycine- and arginine-rich), which contains 14 ‘RGG’ consensus methylation sites. In addition, induced expression of DAL-1/4.1B in MCF-7 breast cancer cells showed that the DAL-1/4.1B protein significantly inhibits PRMT3 methylation of cellular substrates. These findings suggest that modulation of post-translational methylation may be an important mechanism through which DAL-1/4.1B affects tumor cell growth.
This is a preview of subscription content, access via your institution
Access options








Similar content being viewed by others
References
Aletta JM, Cimato TR and Ettinger MJ . (1998). Trends Biochem. Sci., 23, 89–91.
Altschul SF, Gish W, Miller W, Myers EW and Lipman DJ . (1990). J. Mol. Biol., 215, 403–410.
Bachand F and Silver PA . (2004). EMBO J., 23, 2641–2650.
Bedford MT, Frankel A, Yaffe MB, Clarke S, Leder P and Richard S . (2000). J. Biol. Chem., 275, 16030–16036.
Berthet C, Guehenneux F, Revol V, Samarut C, Lukaszewicz A, Dehay C, Dumontet C, Magaud JP and Rouault JP . (2002). Genes Cells, 7, 29–39.
Brahms H, Raymackers J, Union A, de Keyser F, Meheus L and Luhrmann R . (2000). J. Biol. Chem., 275, 17122–17129.
Charboneau AL, Singh V, Yu T and Newsham IF . (2002). Int. J. Cancer, 100, 181–188.
Chen D, Ma H, Hong H, Koh SS, Huang SM, Schurter BT, Aswad DW and Stallcup MR . (1999). Science, 284, 2174–2177.
Chishti AH, Kim AC, Marfatia SM, Lutchman M, Hanspal M, Jindal H, Liu SC, Low PS, Rouleau GA, Mohandas N, Chasis JA, Conboy JG, Gascard P, Takakuwa Y, Huang SC, Benz Jr EJ, Bretscher A, Fehon RG, Gusella JF, Ramesh V, Solomon F, Marchesi VT, Tsukita S, Tsukita S, Arpin M, Louvard D, Tonks NK, Anderson JM, Fanning AS, Bryant PJ, Woods DF and Hoover KB . (1998). Trends Biochem. Sci., 23, 281–282.
Frankel A and Clarke S . (1999). Biochem. Biophys. Res. Commun., 259, 391–400.
Frankel A and Clarke S . (2000). J. Biol. Chem., 275, 32974–32982.
Frankel A, Yadav N, Lee J, Branscombe TL, Clarke S and Bedford MT . (2002). J. Biol. Chem., 277, 3537–3543.
Fu H, Subramanian RR and Masters SC . (2000). Annu. Rev. Pharmacol. Toxicol., 40, 617–647.
Gary JD and Clarke S . (1998). Prog. Nucleic Acid Res. Mol. Biol., 61, 65–131.
Goutebroze L, Brault E, Muchardt C, Camonis J and Thomas G . (2000). Mol. Cell. Biol., 20, 1699–1712.
Gutmann DH, Donahoe J, Perry A, Lemke N, Gorse K, Kittiniyom K, Rempel SA, Gutierrez JA and Newsham IF . (2000). Hum. Mol. Genet., 9, 1495–1500.
Gutmann DH, Hirbe AC, Huang ZY and Haipek CA . (2001). Neurobiol. Dis., 8, 266–278.
Kim S, Merrill BM, Rajpurohit R, Kumar A, Stone KL, Papov VV, Schneiders JM, Szer W, Wilson SH, Paik WK and Williams KR . (1997). Biochemistry, 36, 5185–5192.
Kittiniyom K, Gorse KM, Dalbegue F, Lichy JH, Taubenberger JK and Newsham IF . (2001). Breast Cancer Res., 3, 192–198.
Kittiniyom K, Mastronardi M, Roemer M, Wells WA, Greenberg ER, Titus-Ernstoff L and Newsham IF . (2004). Genes, Chrom. & Cancer, 40, 190–203.
Kumar A, Williams KR and Szer W . (1986). J. Biol. Chem., 261, 11266–11273.
Legg JW and Isacke CM . (1998). Curr. Biol., 8, 705–708.
Lin WJ, Gary JD, Yang MC, Clarke S and Herschman HR . (1996). J. Biol. Chem., 271, 15034–15044.
Lischwe MA, Cook RG, Ahn YS, Yeoman LC and Busch H . (1985). Biochemistry, 24, 6025–6028.
McBride AE and Silver PA . (2001). Cell, 106, 5–8.
Miranda TB, Miranda M, Frankel A and Clarke S . (2004). J. Biol. Chem., 279, 22902–22907.
Morrison H, Sherman LS, Legg J, Banine F, Isacke C, Haipek CA, Gutmann DH, Ponta H and Herrlich P . (2001). Genes Dev., 15, 968–980.
Mowen KA, Tang J, Zhu W, Schurter BT, Shuai K, Herschman HR and David M . (2001). Cell, 104, 731–741.
Murthy A, Gonzalez-Agosti C, Cordero E, Pinney D, Candia C, Solomon F, Gusella J and Ramesh V . (1998). J. Biol. Chem., 273, 1273–1276.
Muslin AJ and Xing . (2000). Cell Signal., 12, 703–709.
Perry A, Cai DX, Scheithauer BW, Swanson PE, Lohse CM, Newsham IF, Weaver A and Gutmann DH . (2000). J. Neuropathol. Exp. Neurol., 59, 872–879.
Robb VA, Li W and Gutmann DH . (2004). Oncogene, 23, 3589–3596.
Rouleau GA, Merel P, Lutchman M, Sanson M, Zucman J, Marineau C, Hoang-Xuan K, Demczuk S, Desmaze C and Plougastel B . (1993). Nature, 363, 515–521.
Shuai K, Schindler C, Prezioso VR and Darnell Jr JE . (1992). Science, 258, 1808–1812.
Smith JJ, Rucknagel KP, Schierhorn A, Tang J, Nemeth A, Linder M, Herschman HR and Wahle E . (1999). J. Biol. Chem., 274, 13229–13234.
Tang J, Frankel A, Cook RJ, Kim S, Paik WK, Williams KR, Clarke S and Herschman HR . (2000a). J. Biol. Chem., 275, 7723–7730.
Tang J, Gary JD, Clarke S and Herschman HR . (1998). J. Biol. Chem., 273, 16935–16945.
Tang J, Kao PN and Herschman HR . (2000b). J. Biol. Chem., 275, 19866–19876.
Tran Y, Benbatoul K, Gorse K, Rempel S, Futreal A, Green M and Newsham I . (1998). Oncogene, 17, 3499–3505.
Tran YK, Bogler O, Gorse KM, Wieland I, Green MR and Newsham IF . (1999). Cancer Res., 59, 35–43.
Trofatter JA, MacCollin MM, Rutter JL, Murrell JR, Duyao MP, Parry DM, Eldridge R, Kley N, Menon AG, Pulaski K, Haase VH, Ambrose CM, Numroe D, Bove C, Haines JL, Martuza RL, MacDonald ME, Seizinger BR, Short MP, Buckler AJ and Gusella JF . (1993). Cell, 75, 826.
Tsukita S, Oishi K, Sato N, Sagara J, Kawai A and Tsukita S . (1994). J. Cell Biol., 126, 391–401.
Wang H, Huang ZQ, Xia L, Feng Q, Erdjument-Bromage H, Strahl BD, Briggs SD, Allis CD, Wong J, Tempst P and Zhang Y . (2001). Science, 293, 853–857.
Yonemura S, Hirao M, Doi Y, Takahashi N, Kondo T, Tsukita S and Tsukita S . (1998). J. Cell Biol., 140, 885–895.
Yu T, Robb VA, Singh V, Gutmann DH and Newsham IF . (2002). Biochem. J., 365, 783–789.
Acknowledgements
We thank Dr Oliver Bögler for his help with the yeast two-hybrid experiments and critiquing of the manuscript. We also thank Susan Finnis for sequencing of constructs. This work was supported in part by NIH Grants CA77730 (IN), NS41520 (DHG), F32-CA-097816-01 (VAR) and GM26020 (SC), and funds from the Hermelin Brain Tumor Center. TBM is supported by United States Public Service Institutional Award T32 GM07185.
Author information
Authors and Affiliations
Corresponding author
Rights and permissions
About this article
Cite this article
Singh, V., Miranda, T., Jiang, W. et al. DAL-1/4.1B tumor suppressor interacts with protein arginine N-methyltransferase 3 (PRMT3) and inhibits its ability to methylate substrates in vitro and in vivo. Oncogene 23, 7761–7771 (2004). https://doi.org/10.1038/sj.onc.1208057
Received:
Revised:
Accepted:
Published:
Issue date:
DOI: https://doi.org/10.1038/sj.onc.1208057
Keywords
This article is cited by
-
PRMT3 interacts with ALDH1A1 and regulates gene-expression by inhibiting retinoic acid signaling
Communications Biology (2021)
-
Integrated multi-omics profiling of nonfunctioning pituitary adenomas
Pituitary (2021)
-
Evaluation of post-translational modifications in histone proteins: A review on histone modification defects in developmental and neurological disorders
Journal of Biosciences (2020)
-
Asymmetrical methyltransferase PRMT3 regulates human mesenchymal stem cell osteogenesis via miR-3648
Cell Death & Disease (2019)
-
Root morphogenic pathways in Eucalyptus grandis are modified by the activity of protein arginine methyltransferases
BMC Plant Biology (2017)


