Abstract
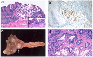
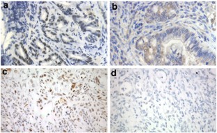
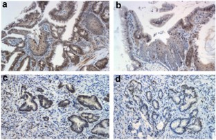
The cyclin-dependent kinase (cdk) inhibitor p27 preferentially inactivates cdk complexes required for progression through the G1/S transition. Loss of p27 is associated with aggressive behavior in a variety of tumors, including Barrett's associated adenocarcinoma (BAA). We have previously shown that gastroduodenal–esophageal reflux (GDER) together with N-methyl-N-benzylnitrosamine (MBN) induces Barrett's esophagus (BE) and malignant transformation of the esophageal mucosa in mice. This process is enhanced in a p27 null background. Here, we show that chronic flavopiridol administration sharply reduced the prevalence of BE in GDER/MBN-treated p27 knockout mice when compared to animals treated with diluent only (7 vs 26%, P=0.0079). Similarly, flavopiridol reduced the prevalence of BAA (11 vs 32%, P=0.0098) and overall cancer prevalence (15 vs 60%, P<0.0001). In addition, appropriate molecular targeting by flavopiridol in tumor cells was confirmed by downregulation of cyclin D1, a known target of this pan-cdk inhibitor. The results of this study represent the experimental basis for chemoprevention with cdk inhibitors in human BE and BAA.
This is a preview of subscription content, access via your institution
Access options
Subscribe to this journal
Receive 50 print issues and online access
$259.00 per year
only $5.18 per issue
Buy this article
- Purchase on SpringerLink
- Instant access to the full article PDF.
USD 39.95
Prices may be subject to local taxes which are calculated during checkout




Similar content being viewed by others
References
Anderson M, Beattie JF, Breault GA, Breed J, Byth KF, Culshaw JD, Ellston RP, Green S, Minshull CA, Norman RA, Pauptit RA, Stanway J, Thomas AP and Jewsbury PJ . (2003). Bioorg. Med. Chem. Lett., 13, 3021–3026.
Arguello F, Alexander M, Sterry JA, Tudor G, Smith EM, Kalavar NT, Greene Jr JF, Koss W, Morgan CD, Stinson SF, Siford TJ, Alvord WG, Klabansky RL and Sausville EA . (1998). Blood, 91, 2482–2490.
Bani-Hani K, Martin IG, Hardie LJ, Mapstone N, Briggs JA, Forman D and Wild CP . (2000). J. Natl. Cancer Inst., 92, 1316–1321.
Buttar NS, Wang KK, Leontovich O, Westcott JY, Pacifico RJ, Anderson MA, Krishnadath KK, Lutzke LS and Burgart LJ . (2002). Gastroenterology, 122, 1101–1112.
Bytzer P, Christensen PB, Damkier P, Vinding K and Seersholm N . (1999). Am. J. Gastroenterol., 94, 86–91.
Carlson B, Lahusen T, Singh S, Loaiza-Perez A, Worland PJ, Pestell R, Albanese C, Sausville EA and Senderowicz AM . (1999). Cancer Res., 59, 4634–4641.
Chao SH and Price DH . (2001). J. Biol. Chem., 276, 31793–31799.
Ellis Jr FH and Loda M . (1997). Dis. Esophagus, 10, 165–171.
Ellis Jr FH, Xu X, Kulke MH, LoCicero III J and Loda M . (2001). J. Thorac. Cardiovasc. Surg., 122, 809–814.
Guo RJ, Suh ER and Lynch JP . (2004). Cancer Biol. Ther., 3, 593–601.
Heath EI, Canto MI, Wu TT, Piantadosi S, Hawk E, Unalp A, Gordon G and Forastiere AA . (2003). Dis. Esophagus, 16, 177–186.
Jenkins GJ, Doak SH, Parry JM, D’Souza FR, Griffiths AP and Baxter JN . (2002). Br. J. Surg., 89, 824–837.
Lam LT, Pickeral OK, Peng AC, Rosenwald A, Hurt EM, Giltnane JM, Averett LM, Zhao H, Davis RE, Sathyamoorthy M, Wahl LM, Harris ED, Mikovits JA, Monks AP, Hollingshead MG, Sausville EA and Staudt LM . (2001). Genome. Biol., 2, 1–11.
McCormick J, Gadgeel SM, Helmke W, Chaplen R, Van Leeuwen B, Mauro D, Youssoufian H, Decillis A, Bai S and Lorusso PM . (2003). Proc. Am. Soc. Clin. Oncol., 22, A835.
Patel V, Senderowicz AM, Pinto Jr D, Igishi T, Raffeld M, Quintanilla-Martinez L, Ensley JF, Sausville EA and Gutkind JS . (1998). J. Clin. Invest., 102, 1674–1681.
Phillips RW, Frierson Jr HF and Moskaluk CA . (2003). Am. J. Surg. Pathol., 27, 1442–1447.
Pierga JY, Faivre S, Vera K, Laurence V, Delbaldo C, Bekradda M, Armand JP, Gianella-Borradori A, Dieras V and Raymond E . (2003). Proc. Am. Soc. Clin. Oncol., 22, A840.
Schrump DS, Matthews W, Chen GA, Mixon A and Altorki NK . (1998). Clin. Cancer Res., 4, 2885–2890.
Sedlacek HH . (2001). Crit. Rev. Oncol. Hematol., 38, 139–170.
Senderowicz AM, Headlee D, Stinson SF, Lush RM, Kalil N, Villalba L, Hill K, Steinberg SM, Figg WD, Tompkins A, Arbuck SG and Sausville EA . (1998). J. Clin. Oncol., 16, 2986–2999.
Shapiro GI, Supko JG, Patterson A, Lynch C, Lucca J, Zacarola PF, Muzikansky A, Wright JJ, Lynch Jr TJ and Rollins BJ . (2001). Clin. Cancer Res., 7, 1590–1599.
Sherr CJ . (1996). Science, 274, 1672–1677.
Singh SP, Lipman J, Goldman H, Ellis Jr FH, Aizenman L, Cangi MG, Signoretti S, Chiaur DS, Pagano M and Loda M . (1998). Cancer Res., 58, 1730–1735.
Tan AR, Headlee D, Messmann R, Sausville EA, Arbuck SG, Murgo AJ, Melillo G, Zhai S, Figg WD, Swain SM and Senderowicz AM . (2002). J. Clin. Oncol., 20, 4074–4082.
Xu X, LoCicero III J, Macri E, Loda M and Ellis Jr FH . (2000). J. Surg. Res., 88, 120–124.
Zarkowska T and Mittnacht S . (1997). J. Biol. Chem., 272, 12738–12746.
Acknowledgements
This work was supported by the Thelma and Jerry Stergios Thoracic Surgery Education and Research Fund (to FHE), an award from the Dana-Farber Cancer Institute Tisch Family Fund for Research in Solid Tumors (to ML and GIS), and by NIH/NCI Grants RO1 CA90687 (GIS), PO1 CA89021 (ML), and SPORE Grants P50 CA90381 (ML) and P20 CA90578 (GIS and ML). We thank GJ Heatley and J Manola for statistical analysis of the data.
Author information
Authors and Affiliations
Corresponding author
Rights and permissions
About this article
Cite this article
Lechpammer, M., Xu, X., Ellis, F. et al. Flavopiridol reduces malignant transformation of the esophageal mucosa in p27 knockout mice. Oncogene 24, 1683–1688 (2005). https://doi.org/10.1038/sj.onc.1208375
Received:
Revised:
Accepted:
Published:
Issue date:
DOI: https://doi.org/10.1038/sj.onc.1208375
Keywords
This article is cited by
-
Dietary Risk Reduction Factors for the Barrett’s Esophagus-Esophageal Adenocarcinoma Continuum: A Review of the Recent Literature
Current Nutrition Reports (2015)
-
Gastroesophageal reflux leads to esophageal cancer in a surgical model with mice
BMC Gastroenterology (2009)


