Abstract
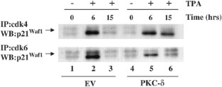
PKC-δ is a serine/threonine kinase that mediates diverse signal transduction pathways. We previously demonstrated that overexpression of PKC-δ slowed the G1 progression of Caco-2 colon cancer cells, accelerated apoptosis, and induced cellular differentiation. In this study, we further characterized the PKC-δ dependent signaling pathways involved in these tumor suppressor actions in Caco-2 cells overexpressing PKC-δ using a Zn2+ inducible expression vector. Consistent with a G1 arrest, increased expression of PKC-δ caused rapid and significant downregulation of cyclin D1 and cyclin E proteins (50% decreases, P<0.05), while mRNA levels remained unchanged. The PKC agonist, phorbol 12-myristate 13-acetate (TPA, 100 nM, 4 h), induced two-fold higher protein and mRNA levels of p21Waf1, a cyclin-dependent kinase (cdk) inhibitor in PKC-δ transfectants compared with empty vector (EV) transfected cells, whereas the PKC-δ specific inhibitor rottlerin (3 μ M) or knockdown of this isoenzyme with specific siRNA oligonucleotides blocked p21Waf1 expression. Concomitantly, compared to EV control cells, PKC-δ upregulation decreased cyclin D1 and cyclin E proteins co-immunoprecipitating with cdk6 and cdk2, respectively. In addition, overexpression of PKC-δ increased binding of cdk inhibitor p27Kip1 to cdk4. These alterations in cyclin-cdks and their inhibitors are predicted to decrease G1 cyclin kinase activity. As an independent confirmation of the direct role PKC-δ plays in cell growth and cell cycle regulation, we knocked down PKC-δ using specific siRNA oligonucleotides. PKC-δ specific siRNA oligonucleotides, but not irrelevant control oligonucleotides, inhibited PKC-δ protein by more than 80% in Caco-2 cells. Moreover, PKC-δ knockdown enhanced cell proliferation (∼1.4-2-fold, P<0.05) and concomitantly increased cyclin D1 and cyclin E expression (∼1.7-fold, P<0.05). This was a specific effect, as nontargeted PKC-ζ was not changed by PKC-δ siRNA oligonucleotides. Consistent with accelerated apoptosis in PKC-δ transfectants, compared to EV cells, PKC-δ upregulation increased proapoptotic regulator Bax two-fold at mRNA and protein levels, while antiapoptotic Bcl-2 protein was decreased by 50% at a post-transcriptional level. PKC-δ specific siRNA oligonucleotides inhibited Bax protein expression by more than 50%, indicating that PKC-δ regulates apoptosis through Bax. Taken together, these results elucidate two critical mechanisms regulated by PKC-δ that inhibit cell cycle progression and enhance apoptosis in colon cancer cells. We postulate these antiproliferative pathways mediate an important tumor suppressor function for PKC-δ in colonic carcinogenesis.
This is a preview of subscription content, access via your institution
Access options
Subscribe to this journal
Receive 50 print issues and online access
$259.00 per year
only $5.18 per issue
Buy this article
- Purchase on SpringerLink
- Instant access to the full article PDF.
USD 39.95
Prices may be subject to local taxes which are calculated during checkout














Similar content being viewed by others
Abbreviations
- PKC:
-
protein kinase C
- PKC-δ:
-
PKC-delta
- EV:
-
empty vector
- SDS–PAGE:
-
sodium dodecyl sulfate–polyacrylamide gel electrophoresis
- FACS:
-
fluorescence-activated cell sorter
- BisA:
-
Bistratene A
- TPA:
-
12-O-tetradecanoylphorbol 13-acetate
- IP:
-
immunoprecipitation
- cdk:
-
cyclin dependent kinase
- SS:
-
scrambled sequence
- DAG:
-
diacylglycerol
- PC:
-
phosphatidylcholine
- PI:
-
phophatidylinositol
- PLC:
-
phospholipase C
- RTK:
-
receptor tyrosine kinase
- GPCR:
-
G protein coupled receptors
References
Abraham C, Scaglione-Sewell B, Skarosi SF, Qin W, Bissonnette M, Brasitus TA . (1998). Gastroenterology 114: 503–509.
Acevedo-Duncan M, Patel R, Whelan S, Bicaku E . (2002). Cell Prolif 35: 23–36.
Akiyama T, Ohuchi T, Sumida S, Matsumoto K, Toyoshima K . (1992). Proc Natl Acad Sci USA 89: 7900–7904.
Andre F, Rigot V, Remacle-Bonnet M, Luis J, Pommier G, Marvaldi J . (1999). Gastroenterology 116: 64–77.
Arber N, Doki Y, Han EK, Sgambato A, Zhou P, Kim NH et al. (1997). Cancer Res 57: 1569–1574.
Arber N, Hibshoosh H, Moss SF, Sutter T, Zhang Y, Begg M et al. (1996). Gastroenterology 110: 669–674.
Arita Y, Buffolino P, Coppock DL . (1998). Exp Cell Res 242: 381–390.
Ashton AW, Watanabe G, Albanese C, Harrington EO, Ware JA, Pestell RG . (1999). J Biol Chem 274: 20805–20811.
Assert R, Kotter R, Bisping G, Scheppach W, Stahlnecker E, Muller KM et al. (1999). Int J Cancer 80: 47–53.
Atten MJ, Godoy-Romero E, Attar BM, Milson T, Zopel M, Holian O . (2005). Invest New Drugs 23: 111–119.
Avazeri N, Courtot AM, Lefevre B . (2004). J Cell Sci 117: 4969–4978.
Baker SJ, Fearon ER, Nigro JM, Hamilton SR, Preisinger AC, Jessup JM et al. (1989). Science 244: 217–221.
Banan A, Fields JZ, Farhadi A, Talmage DA, Zhang L, Keshavarzian A . (2002). J Pharmacol Exp Ther 303: 17–28.
Barrett CM, Lewis FL, Roaten JB, Sweatman TW, Israel M, Cleveland JL et al. (2002). Mol Cancer Ther 1: 469–481.
Bartek J, Lukas J . (2001). FEBS Lett 490: 117–122.
Bartkova J, Lukas J, Strauss M, Bartek J . (1994). Int J Cancer 58: 568–573.
Besson A, Yong VW . (2000). Mol Cell Biol 20: 4580–4590.
Black JD . (2000). Front Biosci 5: D406–D423.
Black JD . (2001). Gastroenterology 120: 1868–1872.
Boise LH, Gottschalk AR, Quintans J, Thompson CB . (1995). Curr Top Microbiol Immunol 200: 107–121.
Bosari S, Moneghini L, Graziani D, Lee AK, Murray JJ, Coggi G et al. (1995). Hum Pathol 26: 534–540.
Brasitus TA, Bissonnette M . (1998). Gastroenterology 115: 225–227.
Brodie C, Blumberg PM . (2003). Apoptosis 8: 19–27.
Bronner MP, Culin C, Reed JC, Furth EE . (1995). Am J Pathol 146: 20–26.
Castagna M, Takai Y, Kaibuchi K, Sano K, Kikkawa U, Nishizuka Y . (1982). J Biol Chem 257: 7847–7851.
Cayrol C, Knibiehler M, Ducommun B . (1998). Oncogene 16: 311–320.
Cerda SR, Bissonnette M, Scaglione-Sewell B, Lyons MR, Khare S, Mustafi R et al. (2001). Gastroenterology 120: 1700–1712.
Chen A, Davis BH, Bissonnette M, Scaglione-Sewell B, Brasitus TA . (1999). J Biol Chem 274: 35505–35513.
Clark JA, Black AR, Leontieva OV, Frey MR, Pysz MA, Kunneva L et al. (2004). J Biol Chem 279: 9233–9247.
Craven PA, DeRubertis FR . (1992). Cancer Res 52: 2216–2221.
Craven PA, DeRubertis FR . (1994). Dig Dis Sci 39: 481–489.
Darzynkiewicz Z . (1994). Cell Biology: A Laboratory Handout. Academic Press: New York, pp 261–271.
Davidson LA, Jiang YH, Derr JN, Aukema HM, Lupton JR, Chapkin RS . (1994). Arch Biochem Biophys 312: 547–553.
Davies SP, Reddy H, Caivano M, Cohen P . (2000). Biochem J 351: 95–105.
Denning MF, Wang Y, Nickoloff BJ, Wrone-Smith T . (1998). J Biol Chem 273: 29995–30002.
Di Mari JF, Mifflin RC, Powell DW . (2005). Gastroenterology 128: 2131–2146.
Ding QM, Ko TC, Evers BM . (1998). Am J Physiol 275: C1193–C1200.
Djelloul S, Forgue-Lafitte ME, Hermelin B, Mareel M, Bruyneel E, Baldi A et al. (1997). FEBS Lett 406: 234–242.
Donnellan R, Chetty R . (1999). FASEB J 13: 773–780.
Dulic V, Kaufmann WK, Wilson SJ, Tlsty TD, Lees E, Harper JW et al. (1994). Cell 76: 1013–1023.
Elbashir SM, Harborth J, Lendeckel W, Yalcin A, Weber K, Tuschl T . (2001). Nature 411: 494–498.
el-Deiry WS, Tokino T, Velculescu VE, Levy DB, Parsons R, Trent JM et al. (1993). Cell 75: 817–825.
Evers BM, Ko TC, Li J, Thompson EA . (1996). Am J Physiol 271: G722–G727.
Fearon ER, Vogelstein B . (1990). Cell 61: 759–767.
Fima E, Shtutman M, Libros P, Missel A, Shahaf G, Kahana G et al. (2001). Oncogene 20: 6794–6804.
Fishman DD, Segal S, Livneh E . (1998). Int J Oncol 12: 181–186.
Frey MR, Clark JA, Leontieva O, Uronis JM, Black AR, Black JD . (2000). J Cell Biol 151: 763–778.
Frey MR, Saxon ML, Zhao X, Rollins A, Evans SS, Black JD . (1997). J Biol Chem 272: 9424–9435.
Fukumoto S, Nishizawa Y, Hosoi M, Koyama H, Yamakawa K, Ohno S et al. (1997). J Biol Chem 272: 13816–13822.
Gartel AL, Goufman E, Najmabadi F, Tyner AL . (2000a). Oncogene 19: 5182–5188.
Gartel AL, Najmabadi F, Goufman E, Tyner AL . (2000b). Oncogene 19: 961–964.
Gartel AL, Serfas MS, Gartel M, Goufman E, Wu GS, el-Deiry WS et al. (1996). Exp Cell Res 227: 171–181.
Gavrielides MV, Frijhoff AF, Conti CJ, Kazanietz MG . (2004). Curr Drug Targets 5: 431–443.
Geiges D, Marks F, Gschwendt M . (1995). Exp Cell Res 219: 299–303.
Goerke A, Sakai N, Gutjahr E, Schlapkohl WA, Mushinski JF, Haller H et al. (2002). J Biol Chem 277: 32054–32062.
Goldstein DR, Cacace AM, Weinstein IB . (1995). Carcinogenesis 16: 1121–1126.
Graham MA, Rawe I, Dartt DA, Joyce NC . (2000). Invest Ophthalmol Vis Sci 41: 4124–4132.
Greenlee RT, Murray T, Bolden S, Wingo PA . (2000). CA Cancer J Clin 50: 7–33.
Gschwendt M . (1999). Eur J Biochem 259: 555–564.
Gschwendt M, Muller HJ, Kielbassa K, Zang R, Kittstein W, Rincke G et al. (1994). Biochem Biophys Res Commun 199: 93–98.
Hosokawa Y, Arnold A . (1998). Genes Chromosomes Cancer 22: 66–71.
Irie N, Sakai N, Ueyama T, Kajimoto T, Shirai Y, Saito N . (2002). Biochem Biophys Res Commun 298: 738–743.
Jackson DN, Foster DA . (2004). FASEB J 18: 627–636.
Jang SJ, Park YW, Park MH, Lee JD, Lee YY, Jung TJ et al. (1999). Eur J Surg Oncol 25: 157–163.
Jones SM, Kazlauskas A . (2001). FEBS Lett 490: 110–116.
Kahl-Rainer P, Karner-Hanusch J, Weiss W, Marian B . (1994). Carcinogenesis 15: 779–782.
Kahl-Rainer P, Sedivy R, Marian B . (1996). Gastroenterology 110: 1753–1759.
Khare S, Bissonenette M, Scaglione-Sewell B, Wali RK, Sitrin MD, Brasitus TA . (1999). Am J Physiol 276: G993–G1004.
Kikkawa U, Matsuzaki H, Yamamoto T . (2002). J Biochem (Tokyo) 132: 831–839.
King RW, Deshaies RJ, Peters JM, Kirschner MW . (1996). Science 274: 1652–1659.
Kitamura K, Mizuno K, Etoh A, Akita Y, Miyamoto A, Nakayama K et al. (2003). Genes Cells 8: 311–324.
Klein IK, Ritland SR, Burgart LJ, Ziesmer SC, Roche PC, Gendler SJ et al. (2000). Cancer Res 60: 2077–2080.
Krajewski S, Krajewska M, Shabaik A, Miyashita T, Wang HG, Reed JC . (1994). Am J Pathol 145: 1323–1336.
La Porta CA, Porro D, Comolli R . (2002). Melanoma Res 12: 297–307.
Laemmli UK . (1970). Nature 227: 680–685.
Lee YJ, Soh JW, Dean NM, Cho CK, Kim TH, Lee SJ et al. (2002). Cell Growth Differ 13: 237–246.
Leontieva OV, Black JD . (2004). J Biol Chem 279: 5788–5801.
Lewis AE, Susarla R, Wong BC, Langman MJ, Eggo MC . (2005). Cell Signal 17: 253–262.
Li W, Jiang YX, Zhang J, Soon L, Flechner L, Kapoor V et al. (1998). Mol Cell Biol 18: 5888–5898.
Li W, Michieli P, Alimandi M, Lorenzi MV, Wu Y, Wang LH et al. (1996). Oncogene 13: 731–737.
Li W, Zhang J, Bottaro DP, Pierce JH . (1997). J Biol Chem 272: 24550–24555.
Lin SY, Liang YC, Ho YS, Tsai SH, Pan S, Lee WS . (2002). Mol Carcinog 35: 21–28.
Lipkin M . (1971). Cancer 28: 38–40.
Liu JJ, Chao JR, Jiang MC, Ng SY, Yen JJ, Yang-Yen HF . (1995). Mol Cell Biol 15: 3654–3663.
Liu WS, Heckman CA . (1998). Cell Signal 10: 529–542.
Livneh E, Fishman DD . (1997). Eur J Biochem 248: 1–9.
Lu Z, Hornia A, Jiang YW, Zang Q, Ohno S, Foster DA . (1997). Mol Cell Biol 17: 3418–3428.
MacLachlan TK, Sang N, Giordano A . (1995). Crit Rev Eukaryot Gene Exp 5: 127–156.
Mandal M, Olson DJ, Sharma T, Vadlamudi RK, Kumar R . (2001). Gastroenterology 120: 71–78.
McCracken MA, Miraglia LJ, McKay RA, Strobl JS . (2003). Mol Cancer Ther 2: 273–281.
McGarrity TJ, Peiffer LP . (1994). Dig Dis Sci 39: 458–463.
McMillan L, Butcher SK, Pongracz J, Lord JM . (2003). Br J Cancer 88: 748–753.
Meyer E, Vollmer JY, Bovey R, Stamenkovic I . (2005). Cancer Res 65: 4261–4272.
Milde-Langosch K, Bamberger AM, Methner C, Rieck G, Loning T . (2000). Int J Cancer 87: 468–472.
Moss SF, Liu TC, Petrotos A, Hsu TM, Gold LI, Holt PR . (1996). Gastroenterology 111: 1425–1432.
Nabha SM, Glaros S, Hong M, Lykkesfeldt AE, Schiff R, Osborne K et al. (2005). Oncogene 24: 3166–3176.
Nakagawa M, Oliva JL, Kothapalli D, Fourier A, Assoian RK, Kazanietz MG . (2005). J Biol Chem 280: 33926–33934.
Newton AC . (1997). Curr Opin Cell Biol 9: 161–167.
Nishizuka Y . (1995). FASEB J 9: 484–496.
Ogura E, Senzaki H, Yamamoto D, Yoshida R, Takada H, Hioki K et al. (1999). Oncol Rep 6: 365–369.
Page K, Li J, Corbit KC, Rumilla KM, Soh JW, Weinstein IB et al. (2002). Am J Respir Cell Mol Biol 27: 204–213.
Palmiter RD . (1994). Proc Natl Acad Sci USA 91: 1219–1223.
Parekh D, Ziegler W, Yonezawa K, Hara K, Parker PJ . (1999). J Biol Chem 274: 34758–34764.
Perletti G, Marras E, Dondi D, Osti D, Congiu T, Ferrarese R et al. (2005). Int J Cancer 113: 42–53.
Perletti G, Marras E, Osti D, Felici L, Zaro S, de Eguileor M . (2004). J Cell Mol Med 8: 563–569.
Perletti GP, Concari P, Brusaferri S, Marras E, Piccinini F, Tashjian Jr AH . (1998). Oncogene 16: 3345–3348.
Perletti GP, Marras E, Concari P, Piccinini F, Tashjian Jr AH . (1999). Oncogene 18: 1251–1256.
Pinto M, Robine-Leon S, Appay M-D, Kedinger M, Triadou N, Dussaulx E et al. (1983). Biol Cell 47: 323–330.
Pongracz J, Webb P, Wang K, Deacon E, Lunn OJ, Lord JM . (1999). J Biol Chem 274: 37329–37334.
Polyak K, Hamilton SR, Vogelstein B, Kinzler KW . (1996). Am J Pathol 149: 381–387.
Potten CS, Wilson JW, Booth C . (1997). Stem Cells 15: 82–93.
Qiao L, Koutsos M, Tsai LL, Kozoni V, Guzman J, Shiff SJ et al. (1996). Cancer Lett 107: 83–89.
Ruemmele FM, Dionne S, Qureshi I, Sarma DS, Levy E, Seidman EG . (1999). Cell Death Differ 6: 729–735.
Rybin VO, Sabri A, Short J, Braz JC, Molkentin JD, Steinberg SF . (2003). J Biol Chem 278: 14555–14564.
Ryves WJ, Evans AT, Olivier AR, Parker PJ, Evans FJ . (1991). FEBS Lett 288: 5–9.
Santiago-Walker AE, Fikaris AJ, Kao GD, Brown EJ, Kazanietz MG, Meinkoth JL . (2005). J Biol Chem 280: 32107–32114.
Sauma S, Yan Z, Ohno S, Friedman E . (1996). Cell Growth Differ 7: 587–594.
Savickiene J, Gineitis A, Stigbrand T . (1999). Cell Death Differ 6: 698–709.
Saxon ML, Zhao X, Black JD . (1994). J Cell Biol 126: 747–763.
Scaglione-Sewell B, Abraham C, Bissonnette M, Skarosi SF, Davidson NO, Wali RK et al. (1998). Cancer Res 58: 1074–1081.
Scaglione-Sewell BA, Bissonnette M, Skarosi S, Abraham C, Brasitus TA . (2000). Endocrinology 141: 3931–3939.
Schmittgen TD, Zakrajsek BA, Mills AG, Gorn V, Singer MJ, Reed MW . (2000). Anal Biochem 285: 194–204.
Seki T, Matsubayashi H, Amano T, Shirai Y, Saito N, Sakai N . (2005). Genes Cells 10: 225–239.
Shanmugam M, Krett NL, Maizels ET, Murad FM, Rosen ST, Hunzicker-Dunn M . (2001). Cancer Lett 172: 43–53.
Shanmugathasan M, Jothy S . (2000). Pathol Int 50: 273–279.
Sherr CJ . (1996). Science 274: 1672–1677.
Sherr CJ, Roberts JM . (1999). Genes Dev 13: 1501–1512.
Sitailo LA, Tibudan SS, Denning MF . (2004). J Invest Dermatol 123: 434–443.
Soh JW, Weinstein IB . (2003). J Biol Chem 278: 34709–34716.
Srivastava J, Procyk KJ, Iturrioz X, Parker PJ . (2002). Biochem J 368: 349–355.
Steinberg SF . (2004). Biochem J 384: 449–459.
Thompson CB . (1995). Science 267: 1456–1462.
Tillman DM, Izeradjene K, Szucs KS, Douglas L, Houghton JA . (2003). Cancer Res 63: 5118–5125.
Toyoda M, Gotoh N, Handa H, Shibuya M . (1998). Biochem Biophys Res Commun 250: 430–435.
Umar S, Sellin JH, Morris AP . (2000). Am J Physiol Gastrointest Liver Physiol 278: G765–G774.
Verstovsek G, Byrd A, Frey MR, Petrelli NJ, Black JD . (1998). Gastroenterology 115: 75–85.
Villalba M . (1998). Neuroreport 9: 2381–2385.
Wakino S, Kintscher U, Liu Z, Kim S, Yin F, Ohba M et al. (2001). J Biol Chem 276: 47650–47657.
Wali RK, Frawley Jr BP, Hartmann S, Roy HK, Khare S, Scaglione-Sewell BA et al. (1995). Cancer Res 55: 5257–5264.
Wang Q, Wang X, Evers BM . (2003). J Biol Chem 278: 51091–51099.
Wang Q, Wang X, Zhou Y, Evers BM . (2006). Int J Cancer 118: 326–334.
Wang X, Wang Q, Hu W, Evers BM . (2004). Oncogene 23: 1885–1895.
Watters D, Garrone B, Coomer J, Johnson WE, Brown G, Parsons P . (1998). Biochem Pharmacol 55: 1691–1699.
Weinstein IB . (1991). Princess Takamatsu Symp 22: 277–283.
Weller SG, Klein IK, Penington RC, Karnes Jr WE . (1999). Gastroenterology 117: 848–857.
Wetsel WC, Khan WA, Merchenthaler I, Rivera H, Halpern AE, Phung HM et al. (1992). J Cell Biol 117: 121–133.
Yin L, Bennani-Baiti N, Powell CT . (2005). J Biol Chem 280: 5533–5541.
Yokoyama G, Fujii T, Tayama K, Yamana H, Kuwano M, Shirouzu K . (2005). Biochem Biophys Res Commun 327: 720–726.
Zang Q, Lu Z, Curto M, Barile N, Shalloway D, Foster DA . (1997). J Biol Chem 272: 13275–13280.
Zeng YX, el-Deiry WS . (1996). Oncogene 12: 1557–1564.
Zezula J, Sexl V, Hutter C, Karel A, Schutz W, Freissmuth M . (1997). J Biol Chem 272: 29967–29974.
Zhu GH, Wong BC, Slosberg ED, Eggo MC, Ching CK, Yuen ST et al. (2000). Gastroenterology 118: 507–514.
Acknowledgements
This research was supported in part by National Institutes of Health Grant 2R01CA36745 (MB), the American Cancer Society Illinois Division Grant 04-14 (SRC), and the Digestive Disease Research Core Center Grant P30DK42086 at the University of Chicago.
Author information
Authors and Affiliations
Corresponding author
Rights and permissions
About this article
Cite this article
Cerda, S., Mustafi, R., Little, H. et al. Protein kinase C delta inhibits Caco-2 cell proliferation by selective changes in cell cycle and cell death regulators. Oncogene 25, 3123–3138 (2006). https://doi.org/10.1038/sj.onc.1209360
Received:
Revised:
Accepted:
Published:
Issue date:
DOI: https://doi.org/10.1038/sj.onc.1209360
Keywords
This article is cited by
-
Discovery of a small-molecule protein kinase Cδ-selective activator with promising application in colon cancer therapy
Cell Death & Disease (2018)
-
Tumour suppressor TRIM33 targets nuclear β-catenin degradation
Nature Communications (2015)
-
IL-12-dependent innate immunity arrests endothelial cells in G0–G1 phase by a p21Cip1/Waf1-mediated mechanism
Angiogenesis (2012)
-
Apoptosis Signal-Regulating Kinase1 is Inducible by Protein Kinase Cδ and Contributes to Phorbol Ester-Mediated G1 Phase Arrest Through Persistent JNK Activation
Cell Biochemistry and Biophysics (2011)
-
Silver nanoparticles induce apoptosis and G2/M arrest via PKCζ-dependent signaling in A549 lung cells
Archives of Toxicology (2011)


