Abstract
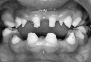
A 3-week-old boy was diagnosed with congenital osteopetrosis. He underwent a bone marrow transplant at 6 weeks of age. At 3 years of age the primary teeth had all erupted, but the canines and the first molars totally lacked root development. The teeth were smaller in size and had evidence of both enamel hypomineralization and hypoplasia. In the permanent dentition, multiple missing teeth were found. The incisors were conical and the mandibular laterals were extremely small. All permanent teeth had normal eruption. This case shows that dental development and eruption of teeth can be reconstituted in a child with congenital osteopetrosis. Bone marrow transplantation induces normalization of osteoclast function, which is a prerequisite for normal dental development and eruption of teeth.
Bone Marrow Transplantation (2002) 29, 537–540. doi:10.1038/sj.bmt.1703416
This is a preview of subscription content, access via your institution
Access options
Subscribe to this journal
Receive 12 print issues and online access
$259.00 per year
only $21.58 per issue
Buy this article
- Purchase on SpringerLink
- Instant access to the full article PDF.
USD 39.95
Prices may be subject to local taxes which are calculated during checkout




Similar content being viewed by others
References
Loría Cortes R, Quesada Calvo E, Cordero Chaveri C . Osteopetrosis in children. A report of 26 cases J Pediatr 1977 91: 43 47
Felix R, Hofstetter W, Cecchini MG . Recent developments in the understanding of the pathophysiology of osteopetrosis Eur J Endocrinol 1996 134: 143 156
Marks SC Jr, McGuire JL . Primary bone cell dysfunction. II. In: Tam C, Heersche J, Murray T (eds) Osteopetrosis CRC Press: Boca Raton 1989 49 61
Dick HM, Simpson WJ . Dental changes in osteopetrosis Oral Surg Oral Med Oral Pathol 1972 34: 408 416
Younai F, Eisenbud L, Sciubba JJ . Osteopetrosis: a case report including gross and microscopic findings in the mandible at autopsy Oral Surg Oral Med Oral Pathol 1988 65: 214 221
Bjorvatn K, Gilhuus-Moe O, Aarskog D . Oral aspects of osteopetrosis Scand J Res 1979 87: 245 252
Coccia PF, Krivit W, Cervenka J et al. Successful bone marrow transplantation for infantile malignant osteopetrosis New Engl J Med 1980 302: 701 708
Seiff CA, Levinsky RJ, Rogers DW et al. Allogeneic bone marrow transplantation in infantile malignant osteopetrosis Lancet 1983 26: 437 441
Fasth A, Porras O . Human malignant osteopetrosis: pathophysiology, management and the role of bone marrow transplantation Pediatr Transplant 1999 3: (Suppl. 1) 102 107
Gerritsen EJA, Vossen JM, Fasth A et al. Bone marrow transplantation for autosomal recessive osteopetrosis. A report from the Working Party on inborn errors of the European Bone Marrow Transplantation Group J Pediatr 1994 125: 896 902
Droz-Desprez D, Azou C, Bordigioni P, Bonnaure-Mallet M . Infantile osteopetrosis: a case report on dental findings J Oral Pathol Med 1992 21: 422 425
Koch G, Thersleff I . Development disturbances in number and shape of teeth and their treatment. In: Koch G, Poulsen S (eds) Pediatric Dentistry – a Clinical Approach Munksgaard: Copenhagen 2001 253 271
Friede H, Manaligod JR, Rosenthal IM . Craniofacial abnormalities in osteopetrosis with precocious manifestations: report of a case with serial cephalometric roentgenograms J Craniofac Genet Dev Biol 1985 5: 247 257
Symons AL, Powell RN, Seymour GJ, Harbrow DJ . Disturbances of tooth form and eruption in the microphthalmic (mi) mouse: a light and electronic microscopic study Arch Oral Biol 1989 34: 71 76
Symons AL, Powell RN, Seymour GJ . In vitro development of lower first molars from the osteopetrotic (mi) mouse Austr Dent J 1994 39: 115 120
Popoff SN, Marks SC Jr . Relationship of abnormalities in dental and skeletal development in the osteopetrotic (os) rabbit J Oral Pathol Med 1990 19: 5 19
Phillippart C, Arys A, Dourov N . Effect of bone marrow transplantation on impacted dental germs in osteopetrotic op/op rats J Oral Pathol Med 1989 18: 163 166
Sobacchi C, Frattini A, Orchard P et al. The mutational spectrum of human malignant autosomal recessive osteopetrosis Hum Mol Genet 2001 10: 1767 1773
Lai PY, Seow WK, Tudehope DI, Rogers Y . Enamel hypoplasia and dental caries in very-low birthweight children: a case-controlled, longitudinal study Pediatr Dent 1997 19: 42 49
Acknowledgements
This study was supported by a grant from the Swedish Children's Cancer Society.
Author information
Authors and Affiliations
Rights and permissions
About this article
Cite this article
Jälevik, B., Fasth, A. & Dahllöf, G. Dental development after successful treatment of infantile osteopetrosis with bone marrow transplantation. Bone Marrow Transplant 29, 537–540 (2002). https://doi.org/10.1038/sj.bmt.1703416
Received:
Accepted:
Published:
Issue date:
DOI: https://doi.org/10.1038/sj.bmt.1703416
Keywords
This article is cited by
-
Successful complete oral rehabilitation of a patient with osteopetrosis with extensive pre-treatments, bone grafts, dental implants and fixed bridges: a multidisciplinary case report
BMC Oral Health (2023)
-
Dental care approach in patients with osteopetrosis
European Archives of Paediatric Dentistry (2016)
-
Osteopetrosis: genetics, treatment and new insights into osteoclast function
Nature Reviews Endocrinology (2013)
-
Infantile Osteomyelitis Secondary to Malignant Osteopetrosis
Journal of Maxillofacial and Oral Surgery (2012)
-
Okulodentodigitale Dysplasie
Medizinische Genetik (2007)


