Summary:
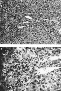
A 7-year-old boy with acute lymphoblastic leukemia (ALL) in second remission received an allogeneic PBSCT from his HLA-matched sister. Acute grade II graft-versus-host disease (GVHD) resolved with corticosteroids. Chronic GVHD in the skin and oral mucosa at around day 60 responded to corticosteroids and cyclosporin A. At 6 months after the transplant, he developed hepatic dysfunction with elevated serum transaminases and gamma-globulin. Liver biopsy revealed chronic inflammation with lymphocytes and plasma cells in portal areas without destruction of bile ducts, suggesting autoimmune hepatitis. While rare, autoimmune hepatitis should be considered a potential long-term complication in patients with hepatic dysfunction in the late post-transplant phase.
This is a preview of subscription content, access via your institution
Access options
Subscribe to this journal
Receive 12 print issues and online access
$259.00 per year
only $21.58 per issue
Buy this article
- Purchase on SpringerLink
- Instant access to the full article PDF.
USD 39.95
Prices may be subject to local taxes which are calculated during checkout


Similar content being viewed by others
References
Thomas JF, Pinilla I, Garcia-Buey ML et al. Long-term liver dysfunction after allogeneic bone marrow transplantation: clinical features and course in 61 patients. Bone Marrow Transplant 2000; 26: 649–655.
Burt RK, Traynor AE, Pope R et al. Treatment of autoimmune disease by intense immunosuppressive conditioning and autologous hematopoietic stem cell transplantation. Blood 1998; 92: 3505–3514.
Sherer Y, Shoenfeld Y . Autoimmune disease and auto-immunity post-bone marrow transplantation. Bone Marrow Transplant 1998; 22: 873–881.
Amel-Kashipaz HR, Huggins ML, Lanyan P et al. Quantitative and qualitative analysis of the balance between type 1 and type 2 cytokine-producing CD8(−) and CD8(+) T cells in systemic lupus erythematosus. J Autoimmun 2001; 17: 155–163.
Quaranta S, Shulman H, Ahmed A et al. Autoantibodies in human chronic graft-versus-host disease after hematopoietic cell transplantation. Clin Immunol 1999; 91: 106–116.
Marmont AM . Stem cell transplantation for severe autoimmune disease: progress and problems. Haematologica 1998; 83: 733–743.
Watanabe T, Takaue Y, Kawano Y et al. HLA-identical sibling peripheral blood stem cell transplantation in children and adolescents. Biol Blood Marrow Transplant 2002; 8: 26–31.
Liu J, Anderson BE, Robert ME et al. Selective T-cell subset ablation demonstrates a role for T1 and T2 cells in ongoing acute graft-versus-host disease. A model system for the reversal of disease. Blood 2001; 98: 3367–3375.
Hernandez HM, Kovarik P, Whitington PF, Alonso EM . Autoimmune hepatitis as a late complication of liver transplantation. J Pediatr Gastroenterol Nutr 2001; 32: 131–136.
Heneghan MA, McFarlane IG . Current and novel immunosuppressive therapy for autoimmune hepatitis. Hepatology 2002; 35: 7–13.
Author information
Authors and Affiliations
Rights and permissions
About this article
Cite this article
Ogose, T., Watanabe, T., Suzuya, H. et al. Autoimmune hepatitis following allogeneic PBSCT from an HLA-matched sibling. Bone Marrow Transplant 31, 829–832 (2003). https://doi.org/10.1038/sj.bmt.1703923
Received:
Accepted:
Published:
Issue date:
DOI: https://doi.org/10.1038/sj.bmt.1703923
Keywords
This article is cited by
-
Autoimmune-like hepatitis after allogeneic hematopoietic stem cell transplantation: humoral hepatic GvHD
Bone Marrow Transplantation (2017)
-
Consensus on the histopathological evaluation of liver biopsies from patients following allogeneic hematopoietic cell transplantation
Virchows Archiv (2014)
-
Autoimmune-like hepatitis following unrelated BMT successfully treated with rituximab
Bone Marrow Transplantation (2012)
-
Mikulicz’s disease with severe thrombocytopenia following autologous stem cell transplantation in a multiple myeloma patient
International Journal of Hematology (2009)
-
Alloimmune hepatitis following peripheral stem cell transplantation
Bone Marrow Transplantation (2007)


