Abstract
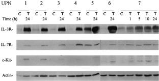
The proliferative response of B cell precursor acute lymphoblastic leukemia (BCP-ALL) cells to IL-3 is dependent on the expression of functional IL-3 receptors (IL-3R). Here we report that CD40 ligand (CD40L) in the presence of recombinant IL-3 increased proliferation of BCP-ALL cells by upregulating expression of IL-3R. Upregulation of IL-3R in BCP-ALL cells was observed as early as 1 h after treatment with CD40L, and a 50- to 500-fold increase of IL-3R expression after 24 h was detected in all 12 cases studied. Moreover, expression of receptors for IL-7 (IL-7R) and stem cell factor (SCF-R, c-Kit) was also induced by CD40L in the majority of BCP-ALL cases examined; however, levels of induction were low compared to those for IL-3R. To test the functional activity of upregulated receptors for IL-3, SCF and IL-7, we evaluated the proliferation and growth of BCP-ALL cells cultured in serum-free media with CD40L plus these factors. When CD40L was added with either a single cytokine (IL-3, SCF and IL-7) or their combinations, cell proliferation was significantly increased as detected by DNA synthesis assay. Combinations of CD40L plus IL-3 and either SCF or IL-7 were able to support long-term growth of BCP-ALL cells for at least 8 weeks in three of the seven cases studied. Immunophenotyping and gene rearrangement studies indicated that cells in long-term cultures were monoclonal and retained their original phenotypes. The leukemic cells remained primarily dependent on the presence of IL-3 and its receptor for long-term growth, as shown by selective withdrawal of growth factors or antibody blockade of receptors. These results suggest an important role for CD40L in upregulating expression of IL-3R on BCP-ALL cells and enabling these cells to proliferate in long-term cultures in the presence of IL-3 and either SCF or IL-7.
This is a preview of subscription content, access via your institution
Access options
Subscribe to this journal
Receive 12 print issues and online access
$259.00 per year
only $21.58 per issue
Buy this article
- Purchase on SpringerLink
- Instant access to the full article PDF.
USD 39.95
Prices may be subject to local taxes which are calculated during checkout









Similar content being viewed by others
References
Wormann B, Mehta S, Maizel A, LeBien T . Low molecular weight B cell growth factor induces proliferation of human B cell precursor acute lymphoblastic leukemias Blood 1987 70: 132–138
Uckun F, Fauci A, Heerema N, Song C, Mehta S, Gajl-Peczalska K, Chandan M, Ambrus J . B-cell growth factor receptor expression and B-cell growth factor response of leukemic B cell precursor and B lineage lymphoid progenitor cells Blood 1987 70: 1020–1034
Findley HW, Zhou M, Davis R, Abdul-Rahim Y, Hnath R, Ragab AH . Effects of low molecular weight B-cell growth factor on proliferation of leukemic cells from children with B-cell precursor-acute lymphoblastic leukemia Blood 1990 75: 951–957
Wormann B, Gesner TG, Mufson RA, LeBien TW . Proliferative effect of interleukin-3 on normal and leukemic human B cell precursors Leukemia 1989 3: 399–404
Uckun FM, Gesner TG, Song CW, Myers DE, Mufson A . Leukemic B-cell precursors express functional receptors for human interleukin-3 Blood 1989 73: 533–542
Eder M, Ottmann OG, Hansen-Hagge TE, Bartram CR, Gillis S, Hoelzer D, Ganser A . Effects of recombinant human IL-7 on blast cell proliferation in acute lymphoblastic leukemia Leukemia 1990 4: 533–540
Touw I, Pouwels K, Agthoven TV, Gurp RV, Budel L, Hoogerbrugge H, Delwel R, Goodwin R, Namen A, Lowenberg B . Interleukin-7 is a growth factor of precursor B and T acute lymphoblastic leukemia Blood 1990 75: 2097–2101
Makrynikola V, Kabral A, Bradstock KF . Effects of recombinant human cytokines on precursor-B acute lymphoblastic leukemia cells Exp Hematol 1991 19: 674–679
Manabe A, Coustan-Smith E, Behm FG, Raimondi SC, Campana D . Bone marrow derived stromal cells prevent apoptotic cell death in B-lineage acute lymphoblastic leukemia Blood 1992 79: 2370–2377
Manabe A, Murti KG, Coustan-Smith E, Kumagai M, Behm FG, Raimondi SC, Campana D . Adhesion-dependent survival of normal and leukemic human B-lymphocytes on bone marrow stromal cells Blood 1994 83: 758–766
Nishigaki H, Ito C, Manabe A, Kumagai M, Coustan-Smith E, Yanishevski Y, Behm FG, Raimondi SC, Pui CH, Campana D . Prevalence and growth characteristics of malignant stem cells in B-lineage acute lymphoblastic leukemia Blood 1997 89: 3735–3744
Wolf ML, Buckley JA, Goldfarb A, Law CL, LeBien TW . Development of a bone marrow culture for maintenance and growth of normal human B-cell precursors J Immunol 1991 147: 3324–3330
Saeland S, Duvert V, Pandrau D, Banchereau J . In vitro growth and maturation of human B-cell precursors Curr Topics Microbiol Immunol 1992 182: 85–94
Larson AW, LeBien TW . Cross-linking CD40 on human B-cell precursors inhibits or enhances growth depending on the stage of development and the IL costimulus J Immunol 1994 153: 584–594
Saeland S, Duvert V, Moreau I, Banchereau J . Human B cell precursors proliferate and express CD23 after CD40 ligation J Exp Med 1993 178: 113–120
Clark EA, Yip TC, Ledbetter JA, Yukawa H, Kikutani H, Kishimoto T, Ng MH . CDw40 and BLCa-specific monoclonal antibodies detect two distinct molecules which transmit progression signals to human B lymphocytes Eur J Immunol 1988 18: 451–457
Paulie S, Rosen A, Ehlin-Henriksson B, Braesch-Andersen S, Jakobson E, Koho H, Perlmann P . The human B lymphocyte and carcinoma antigen, CDw40, is a phosphoprotein involved in growth signal transduction J Immunol 1989 142: 590–595
Uckun FM, Gajil-Peczalska K, Myers DE, Jaszcz W, Haissig S, Ledbetter JA . Temporal asociation of CD40 antigen expression with discrete stages of human B-cell ontogeny and the efficacy of anti-CD40 immunotoxins against clonogenic B-lineage acute lymphoblastic leukemia as well as B-lineage non-Hodgkin's lymphoma cells Blood 1990 76: 2449–2456
Law CL, Wormann B, LeBien TW . Analysis of expression and function of CD40 on normal and leukemic human B cell precursors Leukemia 1990 4: 732–738
Planken EV, Dijkstra NH, Bakkus M, Willemze R, Kluin-Nelemans JC . Proliferation of precursor B-lineage acute lymphoblastic leukemia by activating the CD40 antigen Br J Haematol 1996 95: 319–326
Lederman S, Yellin MJ, Krichevsky A, Belko J, Lee JJ, Chess L . Identification of a novel surface protein on activated CD4+ T cells that induces contact-dependent B cell differentiation (help) J Exp Med 1992 175: 1091–1101
Banchereau J, Bazan F, Blanchard D, Briere F, Galizzi JP, Van Kooten C, Liu YJ, Rousset F, Saeland S . The CD40 antigen and its ligand Annu Rev Immunol 1994 12: 881–922
Berberich I, Shu GL, Clark EA . Cross-linking CD40 on B cells rapidly activates nuclear factor-kB J Immunol 1994 153: 4357–4366
Yellin MJ, Sinning J, Covey LR, Sherman W, Lee JJ, Glickman-Nir E, Sippel KC, Rogers J, Cleary AM, Parler M et al. T lymphocyte T cell-B cell-activating molecule/CD40-L molecules induce normal B cell or chronic lymphocytic leukemia B cells to express CD80 (B7/BB-1) and enhance their costimulatory activity J Immunol 1994 153: 666–674
Earis M, Gaskin F, Parsons JT, Fu SM . CD40 signaling pathway: anti-CD40 monoclonal antibody induces rapid dephosphorylation and phosphorylation of tyrosine-phosphorylated proteins including protein tyrosine kinases lyn, fyn, and syk and the appearance of a 28-kD tyrosine-phosphorylated protein J Exp Med 1994 179: 1923–1931
Lederman S, Yellin MJ, Cleary AM, Pernis A, Inghirami G, Cohn LE, Covey LR, Lee JJ, Rothman P, Chess L . T-BAM/CD40-L on helper T-lymphocytes augments lymphokine-induced B-cell Ig isotype switch recombination and rescues B-cells from programmed cell death J Immunol 1994 152: 2163–2171
Splawski JB, Fu SM, Lipsky PE . Immunoregulatory role of CD40 in human B-cell differentiation J Immunol 1993 150: 1276–1285
Grabstein KH, Maliszewski CR, Shanebeck K, Sato TA, Spriggs MK, Fanslow WC, Armitage RJ . The regulation of T cell-dependent antibody formation in vitro by CD40 ligand and IL-2 J Immunol 1993 150: 3141–3147
Duriek FH, Foy TM, Masters SR, Laman JD, Noele RJ . The role of CD40 in the regulation of humoral and cellımediated immunity Immunol Today 1994 15: 406–411
Renard N, Lafage-Pochitaloff M, Durand I, Duvert V, Coignet L, Banchereau J, Saeland S . Demonstration of functional CD40 in B-lineage acute lymphoblastic leukemia cells in response to T-cell CD40 ligand Blood 1996 87: 5162–5170
Zhou M, Gu L, Yeager AM, Findley HW . Sensitivity to Fas-mediated apoptosis in pediatric acute lymphoblastic leukemia is associated with a mutant p53 phenotype and absence of Bcl-2 expression Leukemia 1998 12: 1756–1763
Sioutos N, Bagg A, Michaud GY, Irving SG, Hartmann DP, Siragy H, Oliveri DR, Locker J, Cossman J . Polymerase chain reaction versus southern blot hybridization Diagn Mol Pathol 1995 4: 8–13
Ryan DH, Nuccie BL, Ritterman I, Liesveld JL, Abboud CN, Insel RA . Expression of interleukin-7 receptor by lineage-negative human bone marrow progenitors with enhanced lymphoid proliferative potential and B-lineage differentiation capacity Blood 1997 89: 929–940
Acknowledgements
This work was supported by grants from the National Cancer Institute, National Institutes of Health, Bethesda MD (R29 CA72020-03 to HWF) and from CURE Childhood Cancer, Inc., the Emory/Egleston Children's Research Committee, and the University Research Committee of Emory University. We would like to thank Dr Elaine Thomas, Immunex Corporation, for generously supplying the CD40L, rhIL-7 and rh-SCF used in this study.
Author information
Authors and Affiliations
Rights and permissions
About this article
Cite this article
Zhou, M., Gu, L., Holden, J. et al. CD40 ligand upregulates expression of the IL-3 receptor and stimulates proliferation of B-lineage acute lymphoblastic leukemia cells in the presence of IL-3. Leukemia 14, 403–411 (2000). https://doi.org/10.1038/sj.leu.2401682
Received:
Accepted:
Published:
Issue date:
DOI: https://doi.org/10.1038/sj.leu.2401682
Keywords
This article is cited by
-
Pediatric precursor B acute lymphoblastic leukemia: are T helper cells the missing link in the infectious etiology theory?
Molecular and Cellular Pediatrics (2017)


