Abstract
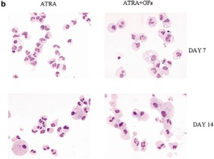
We have investigated the expression of the M-CSF receptor (c-fms) in 16 freshly isolated acute promyelocytic leukemias (APL) expressing the PML/RARα fusion protein. In parallel, we evaluated the capacity of these cells to differentiate along the granulocytic and monocytic pathways. c-fms was constitutively and constantly expressed in all cases sensitive in vivo to all-trans retinoic acid (ATRA) and its expression was further potentiated following in vitro induction with ATRA. Furthermore, gel-shift analysis of APL cells showed elevated levels of PU.1 binding activity to the M-CSF receptor promoter, particularly after ATRA stimulation. Interestingly, the rise of PU.1 binding activity as well as of PU.1 levels after ATRA treatment was significantly higher in APL patients exhibiting monocytic maturation, as compared to those that did not undergo monocytic differentiation. A variable proportion of ATRA-induced APL cells exhibited monocyte-like morphology and immunophenotype: the proportion of monocytic cells was consistently increased by combined treatment with ATRA and diverse hematopoietic growth factors cocktails, which always comprised M-CSF. Monocytic cells originating from in vitro ATRA-induced maturation of APL cells derive from the leukemic clone as suggested by two lines of evidence: (1) monocytic cells harbor the 15;17 translocation; (2) monocytic cells possess Auer bodies. The c-fmsbright leukemic blasts preferentially showed the capacity for monocytic differentiation as compared to the c-fmsdim/− subset: indeed, enforced expression of c-fms into NB4, a PML/RARα+ cell line, favored the onset of monocytic maturation. Finally, low c-fms expression was observed in an APL relapsing patient resistant to ATRA, as well as in an APL case with t(11;17), PLZF/RARα+. These observations indicate that PML/RARα+ APL blasts are bipotent for differentiation through both neutrophilic and monocytic lineages, whereby monocytic differentiation is linked to c-fms expression and stimulation.
This is a preview of subscription content, access via your institution
Access options
Subscribe to this journal
Receive 12 print issues and online access
$259.00 per year
only $21.58 per issue
Buy this article
- Purchase on SpringerLink
- Instant access to the full article PDF.
USD 39.95
Prices may be subject to local taxes which are calculated during checkout












Similar content being viewed by others
References
Look, AT. Oncogenic transcription factors in the human acute leukemias. Science, (1997). 278, 1059–1067.
Warrell, RP Jr, de The, H, Wang, ZY & Degos, L Acute promyelocytic leukemia. N Engl J Med, (1997). 329, 177–189.
Grignani, F, Fagioli, M, Alcalay, M, Longo, L, Pandolfi, PP, Donti, E, Biondi, A, Lo Coco, F, Grignani, F & Pelicci, PG Acute promyelocytic leukemia: from genetics to treatment. Blood, (1994). 83, 10–27.
Grignani, F, Ferrucci, PF, Testa, U, Talamo, G, Fagioli, M, Alcalay, M, Mencarelli, A, Grignani, F, Peschle, C, Nicoletti, I & Pelicci, PG The acute promyelocytic leukemia-specific PML-RAR alpha fusion protein inhibits differentiation and promotes survival of myeloid precursor cells. Cell, (1993). 74, 423–431.
Jansen, JH, Mahfoudi, A, Rambaud, S, Lavau, C, Wahli, W & Dejean, A Multimeric complexes of the PML-retinoic acid receptor alpha fusion protein in acute promyelocytic leukemia cells and interference with retinoid and peroxisome-proliferator signaling pathways. Proc Natl Acad Sci USA, (1995). 92, 7401–7406.
Early, E, Moore, MA, Kakizuka, A, Nason-Burchenal, K, Martin, P, Evans, RM & Dmitrovsky, E Transgenic expression of PML/RARalpha impairs myelopoiesis. Proc Natl Acad Sci USA, (1996). 93, 7900–7905.
Altabef, M, Garcia, M, Lavau, C, Bae, SC, Dejean, A & Samarut, J A retrovirus carrying the promyelocyte-retinoic acid receptor PML-RARalpha fusion gene transforms haematopoietic progenitors in vitro and induces acute leukaemias. EMBO J, (1996). 15, 2707–2719.
Grignani, F, Testa, U, Rogaia, D, Ferrucci, PF, Samoggia, P, Pinto, A, Aldinucci, D, Gelmetti, V, Fagioli, M, Alcalay, M, Seeler, J, Grignani, F, Nicoletti, I, Peschle, C & Pelicci, PG Effects on differentiation by the promyelocytic leukemia PML/RARalpha protein depend on the fusion of the PML protein dimerization and RARalpha DNA binding domains. EMBO J, (1996). 15, 4949–4958.
He, LZ, Guidez, F, Tribioli, C, Peruzzi, D, Ruthardt, M, Zelent, A & Pandolfi, PP Distinct interactions of PML-RARalpha and PLZF-RARalpha with co-repressors determine differential responses to RA in APL. Nat Genet, (1998). 18, 126–132.
Lin, RJ, Nagy, L, Inoue, S, Shao, W, Miller, WH Jr & Evans, RM Role of the histone deacetylase complex in acute promyelocytic leukaemia. Nature, (1998). 391, 811–814.
Grignani, F, De Matteis, S, Nervi, C, Tomassoni, L, Gelmetti, V, Cioce, M, Fanelli, M, Ruthardt, M, Ferrara, FF, Zamir, I, Seiser, C, Grignani, F, Lazar, MA, Minucci, S & Pelicci, PG Fusion proteins of the retinoic acid receptor-alpha recruit histone deacetylase in promyelocytic leukaemia. Nature, (1998). 391, 815–818.
Takatsuki, H, Sadamura, S, Umemura, T, Abe, Y, Goto, T, Yufu, Y, Katsuno, M, Hirata, J, Nishimura, J & Nawata, H PML/RAR alpha fusion gene is expressed in both granuloid/macrophage and erythroid colonies in acute promyelocytic leukaemia. Br J Haematol, (1993). 85, 477–485.
Turhan, AG, Lemoine, FM, Debert, C, Bonnet, ML, Baillou, C, Picard, F, Macintyre, EA & Varet, B Highly purified primitive hematopoietic stem cells are PML-RARα negative and generate nonclonal progenitors in acute promyelocytic leukemia. Blood, (1995). 85, 2154–2161.
Bonnet, D & Dick, JE Human acute myeloid leukemia is organized as a hierarchy that originates from a primitive hematopoietic cell. Nat Med, (1997). 3, 730–738.
Grisolano, JL, Wesselschmidt, RL, Pelicci, PG & Ley, TJ Altered myeloid development and acute leukemia in transgenic mice expressing PML-RAR alpha under control of cathepsin G regulatory sequences. Blood, (1997). 89, 376–387.
Brown, D, Kogan, S, Lagasse, E, Weissman, I, Alcalay, M, Pelicci, PG, Atwater, S & Bishop, JM A PMLRARalpha transgene initiates murine acute promyelocytic leukemia. Proc Natl Acad Sci USA, (1997). 94, 2551–2556.
Westervelt, P & Ley, TJ Seed versus soil: the importance of the target cell for transgenic models of human leukemias. Blood, (1999). 93, 2143–2148.
Fenaux, P & Chomienne, C Biology and treatment of acute promyelocytic leukemia. Curr Opin Oncol, (1996). 8, 3–12.
Chomienne, C, Fenaux, P & Degos, L Retinoid differentiation therapy in promyelocytic leukemia. FASEB J, (1996). 10, 1025–1030.
Noto, R, Schiavone, EM, Ferrara, F, Manzo, C, LoPardo, C & Del Vecchio, L Expression and ATRA-driven modulation of adhesion molecules in acute promyelocytic leukemia. Leukemia, (1994). 26 (Suppl. 1), S71–76.
Khanna-Gupta, A, Kolibaba, K, Zibello, TA & Berliner, N NB4 cells show bilineage potential and an aberrant pattern of neutrophil secondary granule protein gene expression. Blood, (1994). 84, 294–302.
Kishi, K, Toba, K, Azegami, T, Tsukada, N, Uesugi, Y, Masuko, M, Niwano, H, Hashimoto, S, Sakaue, M, Furukawa, T, Koike, T, Takahashi, H, Maekawa, T, Abe, T & Aizawa, Y Hematopoietic cytokine-dependent differentiation to eosinophils and neutrophils in a newly established acute promyelocytic leukemia cell line with t(15;17). Exp Hematol, (1998). 26, 135–142.
Miyauchi, J, Ohyashiki, K, Inatomi, Y & Toyama, K Neutrophil secondary-granule deficiency as a hallmark of all-trans retinoic acid-induced differentiation of acute promyelocytic leukemia cells. Blood, (1997). 90, 803–813.
Bhatia, M, Kirkland, JB & Meckling-Gill, KA 1,25-dihydroxyvitamin D3 primes acute promyelocytic cells for TPA-induced monocytic differentiation through both PKC and tyrosine phosphorylation cascades. Exp Cell Res, (1996). 222, 61–69.
Bhatia, M, Kirkland, JB & Meckling-Gill, KA M-CSF and 1,25 dihyroxyvitamin D3 synergize with 12-O-tetradecanoyphorbol-13-acetate to induce macrophage differentiation in acute promyelocytic leukemia NB4 cells. Leukemia, (1994). 8, 1744–1749.
Testa, U, Fossati, C, Samoggia, P, Masciulli, R, Mariani, G, Hassan, HJ, Sposi, NM, Guerriero, R, Rosato, V, Gabbianelli, M, Pelosi, E, Valtieri, M & Peschle, C Expression of growth factor receptors in unilineage differentiation culture of purified hematopoietic progenitors. Blood, (1996). 88, 3391–3406.
Diverio, D, Riccioni, R, Pistilli, A, Buffolino, S, Avvisati, G, Mandelli, F & Lo Coco, F Improved rapid detection of the PML/RARalpha fusion gene in acute promyelocytic leukemia. Leukemia, (1996). 10, 1214–1217.
Lanotte, M, Martin-Thouvenin, V, Najman, S, Balerini, P, Valensi, F & Berger, R NB4, a maturation inducible cell line with t(15;17) marker isolated from a human acute promyelocytic leukemia (M3). Blood, (1991). 77, 1080–1086.
Testa, U, Masciulli, R, Tritarelli, E, Pustorino, R, Mariani, G, Martucci, R, Barberi, T, Camagna, A, Valtieri, M & Peschle, C Transforming growth factor-beta potentiates vitamin D3-induced terminal monocytic differentiation of human leukemic cell lines. J Immunol, (1993). 150, 2418–2430.
Sun, Q, Woodcock, JM, Rapoport, A, Stomski, FC, Korpelainen, EI, Bagley, CJ, Goodall, GJ, Smith, WB, Gamble, JR, Vadas, MA & Lopez, AF Monoclonal antibody 7G3 recognizes the N-terminal domain of the human interleukin-3 (IL-3) receptor alpha-chain and functions as a specific IL-3 receptor antagonist. Blood, (1996). 87, 83–92.
Chirgwin, JM, Przybyla, AE, MacDonald, RJ & Rutter, WJ Isolation of biologically active ribonucleic acid from sources enriched in ribonuclease. Biochemistry, (1979). 18, 5294–5301.
Sposi, NM, Zon, LI, Care, A, Valtieri, M, Testa, U, Gabbianelli, M, Mariani, G, Bottero, L, Mather, C, Orkin, SH & Peschle, C Cell cycle-dependent initiation and lineage-dependent abrogation of GATA-1 expression in pure differentiating hematopoietic progenitors. Proc Natl Acad Sci USA, (1992). 89, 6353–6357.
Arnoldus, EPJ, Wiegant, J, Noordmeer, IA, Wessels, JW, Beverstock, GC, Van der Ploeg, M & Raap, AK Detection of Philadelphia chromosome in interphase nuclei. Cytogenet and Cell Genet, (1990). 54, 108–111.
Zhu, Q, Zhang, JW, Zhu, HQ, Shen, YL, Flexor, M, Jia, PM, Yu, Y, Cai, X, Waxman, S, Lanotte, M, Chen, SJ, Chen, Z & Tong, JH Synergic effects of arsenic trioxide and camp during acute promyelocytic leukemia cell maturation subtends a novel signaling cross-talk. Blood, (2002). 99, 1014–1022.
Idres, N, Benoit, G, Flexor, MA, Lanotte, M & Chabot, GG Granulocytic differentiation of human NB4 promyelocytic leukemia cells induced by all-trans retinoic acid metabolites. Cancer Res, (2001). 61, 700–705.
Zhang, DE, Hetherington, CJ, Chen, HM & Tenen, DG The macrophage transcription factor PU.1 directs tissue-specific expression of the macrophage colony-stimulating factor receptor. Mol Cell Biol, (1994). 14, 373–387.
McKercher, SR, Torbett, BE, Anderson, KL, Henkel, GW, Vestal, DJ, Baribault, H, Klemsz, M, Feeney, AJ, Wu, GE, Paige, CJ & Maki, RA Targeted disruption of the PU.1 gene results in multiple hematopoietic abnormalities. EMBO J, (1996). 15, 5647–5654.
Dubois, C, Schlageter, MH, de Gentile, A, Guidez, F, Balitrand, N, Toubert, ME, Krawice, I, Fenaux, P, Castaigne, S, Najean, Y, Degos, L & Chomienne, C Hematopoietic growth factor expression and ATRA sensitivity in acute promyelocytic blast cells. Blood, (1994). 83, 3264–3270.
Dubois, C, Schlageter, MH, de Gentile, A, Balitrand, N, Toubert, ME, Krawice, I, Fenaux, P, Castaigne, S, Najean, Y, Degos, L & Chomienne, C Modulation of IL-8, IL-1 beta, and G-CSF secretion by all-trans retinoic acid in acute promyelocytic leukemia. Leukemia, (1994). 8, 1750–1757.
De Gentile, A, Toubert, ME, Dubois, C, Krawice, I, Schlageter, MH, Balitrand, N, Castaigne, S, Degos, L, Rain, JD, Najean, Y & Chomienne, C Induction of high-affinity GM-CSF receptors during all-trans retinoic acid treatment of acute promyelocytic leukemia. Leukemia, (1994). 8, 1758–1762.
Ashmun, RA, Look, AT, Roberts, WM, Roussel, MF, Seremetis, S, Ohtsuka, M & Sherr, CJ Monoclonal antibodies to the human CSF-1 receptor (c-fms proto-oncogene product) detect epitopes on normal mononuclear phagocytes and on human myeloid leukemic blast cells. Blood, (1989). 73, 827–835.
Dubreuil, P, Torres, H, Courcoul, MA, Birg, F & Mannoni, P c-fms expression is a molecular marker of human acute myeloid leukemias. Blood, (1988). 72, 1081–1085.
Rambaldi, A, Wakamiya, N, Vellenga, E, Horiguchi, J, Warren, MK, Kufe, D & Griffin, JD Expression of the macrophage colony-stimulating factor and c-fms genes in human acute myeloblastic leukemia cells. J Clin Invest, (1988). 81, 1030–1038.
Oeheler, L, Berer, A, Kollars, M, Keil, F, Konig, M, Waclavicek, M, Haas, O, Knapp, W & Geissler, K Culture requirements for induction of dendritic cell differentiation in acute myeloid leukemia. Ann Hematol, (2000). 79, 355–362.
Rigolin, GM, Della Porta, M, Bigoni, R, Tieghi, A, Cuneo, A & Castoldi, G Dendritic cells in acute promyelocytic leukemia. Br J Haematol, (2001). 114, 830–833.
Narita, M, Takahashi, M, Liu, A, Ayres, F, Satoh, N, Abe, T, Nikkuni, K, Furukawa, T, Toba, K & Aizawa, Y Generation of dendritic cells from leukemia cells of a patient with acute promyelocytic leukemia by culture with GM-CSF, IL-4 and TNF alpha. Acta Haematol, (2001). 106, 89–94.
Shortman, K & Liu, YJ Mouse and human dendritic cell subtypes. Nat Rev Immunol, (2002). 2, 151–161.
Matsushita, K, Matsumoto, T, Arima, N, Hidaka, S, Ohtsubo, H & Tanaka, H Successful adjuvant therapy of M-CSF with chemotherapy of two cases of chemotherapy resistant acute promyelocytic leukemia. Rinsho Ketsueki, (1995). 36, 621–625.
Yen, A, Sturgill, R & Varvayanis, S Increasing c-FMS (CSF-1 receptor) expression decreases retinoic acid concentration needed to cause cell differentiation and retinoblastoma protein hypophosphorylation. Cancer Res, (1997). 57, 2020–2028.
Nakajima, H, Kizaki, M, Sonoda, A, Mori, S, Harigaya, K & Ikeda, Y Retinoids (all-trans and 9-cis retinoic acid) stimulate production of macrophage colony-stimulating factor and granulocyte–macrophage colony-stimulating factor by human bone marrow stromal cells. Blood, (1994). 84, 4107–4113.
Anderson, KL, Smith, KA, Conners, K, McKercher, SR, Maki, RA & Torbett, BE Myeloid development is selectively disrupted in PU.1 null mice. Blood, (1998). 91, 3702–3710.
Chelucci, C, Casella, I, Federico, M, Testa, U, Macioce, G, Pelosi, E, Guerriero, R, Mariani, G, Giampaolo, A, Hassan, HJ & Peschle, C Lineage-specific expression of HIV receptor/coreceptors in differentiating hematopoietic precursors: correlation with susceptibility to T- and M-tropic HIV and chemokine-mediated HIV resistance. Blood, (1999). 94, 1590–1600.
Abe, Y, Takatsuki, H, Okada, Y, Yufu, Y, Kimura, T, Nishimura, J, Nawata, H, Oshima, K & Kikuchi, M Successful treatment with combination of all-trans retinoic acid (ATRA) and rhG-CSF a relapsed acute promyelocytic leukemia with umbilical tumor. Rinsho Ketsueki, (1996). 37, 1395–1398.
Usuki, K, Nishizawa, Y, Endo, M, Osawa, M, Kitazume, K, Iki, S, Watanabe, M & Urabe, A Administration of granulocyte colony-stimulating factor during remission induction therapy with all-trans retinoic acid for acute promyelocytic leukemia. Int J Hematol, (1996). 64, 213–220.
Jansen, JH, de Ridder, MC, Geertsma, WM, Erpelinck, CA, van Lom, K, Smit, EM, Slater, R, Reijden, BA, de Greef, GE, Sonneveld, P & Löwenberg, B Complete remission of t(11;17) positive acute promyelocytic leukemia induced by all-trans retinoic acid and granulocyte colony-stimulating factor. Blood, (1999). 94, 39–45.
Author information
Authors and Affiliations
Rights and permissions
About this article
Cite this article
Riccioni, R., Saulle, E., Militi, S. et al. C-fms expression correlates with monocytic differentiation in PML-RARα+ acute promyelocytic leukemia. Leukemia 17, 98–113 (2003). https://doi.org/10.1038/sj.leu.2402812
Received:
Accepted:
Published:
Issue date:
DOI: https://doi.org/10.1038/sj.leu.2402812
Keywords
This article is cited by
-
Mechanism and therapeutic implications of pomalidomide-induced immune surface marker upregulation in EBV-positive lymphomas
Scientific Reports (2023)
-
All-trans retinoic acid and arsenic trioxide fail to derepress the monocytic differentiation driver Irf8 in acute promyelocytic leukemia cells
Cell Death & Disease (2017)
-
Direct interaction of PU.1 with oncogenic transcription factors reduces its serine phosphorylation and promoter binding
Leukemia (2012)
-
Flow cytometry analysis of acute promyelocytic leukemia: the power of ‘surface hematology’
Leukemia (2007)
-
Association of the T allele of an intronic single nucleotide polymorphism in the colony stimulating factor 1 receptor with Crohn's disease: a case-control study
Journal of Immune Based Therapies and Vaccines (2004)


