Abstract
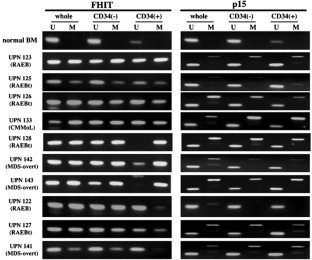
To clarify the role of fragile histidine triad (FHIT) in hematological malignancies, we examined the methylation status and the expression level of the FHIT gene in myelodysplastic syndrome (MDS) and acute myeloid leukemia (AML) cells in comparison with the methylation of the p15INK4B gene. The FHIT methylation was found in 13 of 94 (13.8%) AML and 22 of 40 (55.0%) MDS cases, but not in normal mononuclear cells (MNCs). Both the frequency and density of methylation increased in the advanced-stages MDS and the relapsed AML cases. Although FHIT and p15INK4B methylations were not correlated in MDS and AML, increased FHIT methylation at the relapse in AML was associated with p15INK4B methylation. The median expression level in AML was significantly higher than in normal MNCs, although the median expression level in those with methylation was significantly lower than in those without methylation. Furthermore, the methylation level at relapse was significantly higher than at diagnosis in AML. These results suggested that FHIT methylation was accumulated through the disease progression of MDS and AML, and the role of the FHIT gene as a tumor suppressor seemed different in AML and MDS.
This is a preview of subscription content, access via your institution
Access options
Subscribe to this journal
Receive 12 print issues and online access
$259.00 per year
only $21.58 per issue
Buy this article
- Purchase on SpringerLink
- Instant access to the full article PDF.
USD 39.95
Prices may be subject to local taxes which are calculated during checkout






Similar content being viewed by others
References
Ohta M, Inoue H, Cotticelli MG, Kastury K, Baffa R, Palazzo J et al. The FHIT gene, spanning the chromosome 3p14.2 fragile site and renal carcinoma-associated t(3;8) breakpoint, is abnormal in digestive tract cancers. Cell 1996; 84: 587–597.
Druck T, Hadaczek P, Fu TB, Ohta M, Siprashvili Z, Baffa R et al. Structure and expression of the human FHIT gene in normal and tumor cells. Cancer Res 1997; 57: 504–512.
Virgilio L, Shuster M, Gollin SM, Veronese ML, Ohta M, Huebner K et al. FHIT gene alterations in head and neck squamous cell carcinomas. Proc Natl Acad Sci USA 1996; 93: 9770–9775.
Baffa R, Veronese ML, Santoro R, Mandes B, Palazzo JP, Rugge M et al. Loss of FHIT expression in gastric carcinoma. Cancer Res 1998; 58: 4708–4714.
Sozzi G, Huebner K, Croce CM . FHIT in human cancer. Adv Cancer Res 1998; 74: 141–166.
Croce CM, Sozzi G, Huebner K . Role of FHIT in human cancer. J Clin Oncol 1999; 17: 1618–1624.
Carapeti M, Aguiar RC, Sill H, Goldman JM, Cross NC . Aberrant transcripts of the FHIT gene are expressed in normal and leukaemic haemopoietic cells. Br J Cancer 1998; 78: 601–605.
Lin PM, Liu TC, Chang JG, Chen TP, Lin SF . Aberrant FHIT transcripts in acute myeloid leukaemia. Br J Haematol 1997; 99: 612–617.
Sugimoto K, Yamada K, Miyagawa K, Hirai H, Oshimi K . Decreased or altered expression of the FHIT gene in human leukemias. Stem Cells 1997; 15: 223–228.
Peters UR, Hasse U, Oppliger E, Tschan M, Ong ST, Rassool FV et al. Aberrant FHIT mRNA transcripts are present in malignant and normal haematopoiesis, but absence of FHIT protein is restricted to leukaemia. Oncogene 1999; 18: 79–85.
Hallas C, Albitar M, Letofsky J, Keating MJ, Huebner K, Croce CM . Loss of FHIT expression in acute lymphoblastic leukemia. Clin Cancer Res 1999; 5: 2409–2414.
Kantarjian HM, Talpaz M, O’Brien S, Manshouri T, Cortes J, Giles F et al. Significance of FHIT expression in chronic myelogenous leukemia. Clin Cancer Res 1999; 5: 4059–4064.
Drexler HG . Review of alterations of the cyclin-dependent kinase inhibitor INK4 family genes p15, p16, p18 and p19 in human leukemia-lymphoma cells. Leukemia 1998; 12: 845–859.
Uchida T, Kinoshita T, Nagai H, Nakahara Y, Saito H, Hotta T et al. Hypermethylation of the p15INK4B gene in myelodysplastic syndromes. Blood 1997; 90: 1403–1409.
Quesnel B, Guillerm G, Vereecque R, Wattel E, Preudhomme C, Bauters F et al. Methylation of the p15(INK4b) gene in myelodysplastic syndromes is frequent and acquired during disease progression. Blood 1998; 91: 2985–2990.
Tien HF, Tang JH, Tsay W, Liu MC, Lee FY, Wang CH et al. Methylation of the p15(INK4B) gene in myelodysplastic syndrome: it can be detected early at diagnosis or during disease progression and is highly associated with leukaemic transformation. Br J Haematol 2001; 112: 148–154.
Tanaka H, Shimada Y, Harada H, Shinoda M, Hatooka S, Imamura M et al. Methylation of the 5′ CpG island of the FHIT gene is closely associated with transcriptional inactivation in esophageal squamous cell carcinomas. Cancer Res 1998; 58: 3429–3434.
Zochbauer-Muller S, Fong KM, Maitra A, Lam S, Geradts J, Ashfaq R et al. 5′ CpG island methylation of the FHIT gene is correlated with loss of gene expression in lung and breast cancer. Cancer Res 2001; 61: 3581–3585.
Yang Q, Nakamura M, Nakamura Y, Yoshimura G, Suzuma T, Umemura T et al. Two-hit inactivation of FHIT by loss of heterozygosity and hypermethylation in breast cancer. Clin Cancer Res 2002; 8: 2890–2893.
Campiglio M, Pekarsky Y, Menard S, Tagliabue E, Pilotti S, Croce CM . FHIT loss of function in human primary breast cancer correlates with advanced stage of the disease. Cancer Res 1999; 59: 3866–3869.
Mady HH, Melhem MF . FHIT protein expression and its relation to apoptosis, tumor histologic grade and prognosis in colorectal adenocarcinoma: an immunohistochemical and image analysis study. Clin Exp Metastasis 2002; 19: 351–358.
Takebayashi Y, Nakayama K, Kanzaki A, Miyashita H, Ogura O, Mori S et al. Loss of heterozygosity of nucleotide excision repair factors in sporadic ovarian, colon and lung carcinomas: implication for their roles of carcinogenesis in human solid tumors. Cancer Lett 2001; 174: 115–125.
Pekarsky Y, Zanesi N, Palamarchuk A, Huebner K, Croce CM . FHIT: from gene discovery to cancer treatment and prevention. Lancet Oncol 2002; 3: 748–754.
Hirose Y, Kiyoi H, Itoh K, Kato K, Saito H, Naoe T . B-cell precursors differentiated from cord blood CD34+ cells are more immature than those derived from granulocyte colony-stimulating factor-mobilized peripheral blood CD34+ cells. Immunology 2001; 104: 410–417.
Herman JG, Graff JR, Myohanen S, Nelkin BD, Baylin SB . Methylation-specific PCR: a novel PCR assay for methylation status of CpG islands. Proc Natl Acad Sci USA 1996; 93: 9821–9826.
Sakashita K, Koike K, Kinoshita T, Shiohara M, Kamijo T, Taniguchi S et al. Dynamic DNA methylation change in the CpG island region of p15 during human myeloid development. J Clin Invest 2001; 108: 1195–1204.
Ozeki K, Kiyoi H, Hirose Y, Iwai M, Ninomiya M, Kodera Y et al. Biologic and clinical significance of the FLT3 transcript level in acute myeloid leukemia. Blood 2004; 103: 1901–1908.
Verma M, Srivastava S . Epigenetics in cancer: implications for early detection and prevention. Lancet Oncol 2002; 3: 755–763.
Jones PA . DNA methylation and cancer. Oncogene 2002; 21: 5358–5360.
Ishii H, Vecchione A, Furukawa Y, Sutheesophon K, Han SY, Druck T et al. Expression of FRA16D/WWOX and FRA3B/FHIT genes in hematopoietic malignancies. Mol Cancer Res 2003; 1: 940–947.
Yang HW, Piao HY, Taki T, Chen T, Hashizume K, Ohnishi H et al. Pattern of FHIT gene expression in normal and leukaemic cells. Int J Cancer 1999; 81: 897–901.
Siprashvili Z, Sozzi G, Barnes LD, McCue P, Robinson AK, Eryomin V et al. Replacement of Fhit in cancer cells suppresses tumorigenicity. Proc Natl Acad Sci USA 1997; 94: 13771–13776.
Ji L, Fang B, Yen N, Fong K, Minna JD, Roth JA . Induction of apoptosis and inhibition of tumorigenicity and tumor growth by adenovirus vector-mediated fragile histidine triad (FHIT) gene overexpression. Cancer Res 1999; 59: 3333–3339.
Otterson GA, Xiao GH, Geradts J, Jin F, Chen WD, Niklinska W et al. Protein expression and functional analysis of the FHIT gene in human tumor cells. J Natl Cancer Inst 1998; 90: 426–432.
Werner NS, Siprashvili Z, Fong LY, Marquitan G, Schroder JK, Bardenheuer W et al. Differential susceptibility of renal carcinoma cell lines to tumor suppression by exogenous Fhit expression. Cancer Res 2000; 60: 2780–2785.
Acknowledgements
This work was supported by Grants-in-Aid from the Japanese Ministry of Health, Labor and Welfare, Clinical Research for Evidenced Based Medicine and the Ministry of Education, Culture, Sports, Science and Technology, Scientific Research. We thank Dr Manabu Ninomiya, Ms Kyoko Aoyama, Ms Rie Ueda, Ms Satomi Yamaji and Ms Manami Kira for technical and secretarial assistance.
Author information
Authors and Affiliations
Corresponding author
Rights and permissions
About this article
Cite this article
Iwai, M., Kiyoi, H., Ozeki, K. et al. Expression and methylation status of the FHIT gene in acute myeloid leukemia and myelodysplastic syndrome. Leukemia 19, 1367–1375 (2005). https://doi.org/10.1038/sj.leu.2403805
Received:
Accepted:
Published:
Issue date:
DOI: https://doi.org/10.1038/sj.leu.2403805
Keywords
This article is cited by
-
Germinal epimutation of Fragile Histidine Triad (FHIT) gene is associated with progression to acute and chronic adult T-cell leukemia diseases
Molecular Cancer (2021)
-
Prognostic impact of the number of methylated genes in myelodysplastic syndromes and acute myeloid leukemias treated with azacytidine
Annals of Hematology (2013)
-
Tumor suppressor gene BLU is frequently downregulated by promoter hypermethylation in myelodysplastic syndrome
Journal of Cancer Research and Clinical Oncology (2012)


