Abstract
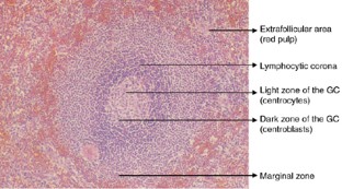
The repertoire of B cells secreting antibodies with unique antigen-binding specificities is produced at two stages: a primary B-cell repertoire is formed in the bone marrow through immunoglobulin gene rearrangements, whereas a secondary B-cell repertoire is generated in the peripheral lymphoid organs (spleen, lymph nodes and mucosa-associated lymphoid tissue) through somatic hypermutation and class-switch recombination upon antigen encounter. The latter events take place within highly specialized histological structures, designated B follicles, which are composed of distinct microanatomical compartments namely the follicle centre, lymphocytic corona and marginal zone. Each compartment comprises a particular subset of B cells, characterized by unique properties, thereby reflecting the complexity and variability in the spectrum of defence mechanisms against invading pathogens. The past years have spawned an avalanche of new data and information that encompasses both the structure and function of each compartment and its B cells. This review incorporates up-to-date information on peripheral B-cell differentiation into a challenging working model, thereby pointing to the structural and functional imprint of both the T-cell-dependent and T-cell-independent immune response on the B follicle. As such, this article aims to form an excellent base for a better understanding of the normal counterpart of B-cell-derived haematological malignancies (leukemias and lymphomas).
This is a preview of subscription content, access via your institution
Access options
Subscribe to this journal
Receive 12 print issues and online access
$259.00 per year
only $21.58 per issue
Buy this article
- Purchase on SpringerLink
- Instant access to the full article PDF.
USD 39.95
Prices may be subject to local taxes which are calculated during checkout



Similar content being viewed by others
References
Hu H, Wang B, Borde M, Nardone J, Maika S, Allred L et al. Foxp1 is an essential transcriptional regulator of B cell development. Nat Immunol 2006; 7: 819–826.
Matthias P, Rolink AG . Transcriptional networks in developing and mature B cells. Nat Rev Immunol 2005; 5: 497–508.
Gellert M . V(D)J recombination: RAG proteins, repair factors, and regulation. Ann Rev Biochem 2002; 71: 101–132.
Han SH, Zheng B, Schatz DG, Spanopoulou E, Kelsoe G . Neoteny in lymphocytes: Rag1 and Rag2 expression in germinal center B cells. Science 1996; 274: 2094–2097.
Gartner F, Alt FW, Monroe RJ, Seidl KJ . Antigen-independent appearance of recombination activating gene (RAG)-positive bone marrow B cells in the spleens of immunized mice. J Exp Med 2000; 192: 1745–1754.
Sagaert X, De Wolf-Peeters C . Classification of B-cells according to their differentiation status, their micro-anatomical localisation and their developmental lineage. Immunol Lett 2003; 90: 179–186.
Reif K, Ekland EH, Ohl L, Nakano H, Lipp M, Forster R et al. Balanced responsiveness to chemoattractants from adjacent zones determines B-cell position. Nature 2002; 416: 94–99.
Heyzer-Williams LJ, Driver DJ, Heyzer-Williams MG . Germinal center reaction. Curr Opin Hematol 2001; 8: 52–59.
MacLennan ICM, Toellner KM, Cunningham AF, Serre K, Sze DMY, Zuniga E et al. Extrafollicular antibody responses. Immunol Rev 2003; 194: 8–18.
MacLennan ICM . Germinal-Centers. Annu Rev Immunol 1994; 12: 117–139.
Mebius RE, Kraal G . Structure and function of the spleen. Nat Rev Immunol 2005; 5: 606–616.
Horie K, Chen D, Hoshi H . Development of immune complex trapping: experimental study of lymphoid follicles and germinal centers newly induced by exogenous stimulants in mouse popliteal lymph nodes. Histol Histopathol 1999; 14: 11–21.
Song HF, Cerny J . Functional heterogeneity of marginal zone B cells revealed by their ability to generate both early antibody-forming cells and germinal centers with hypermutation and memory in response to a T-dependent antigen. J Exp Med 2003; 198: 1923–1935.
Baumgarth N . A two-phase model of B-cell activation. Immunol Rev 2000; 176: 171–180.
Bachmann MF, Zinkernagel RM . Neutralizing antiviral B cell responses. Annu Rev Immunol 1997; 15: 235–270.
Ansel KM, Ngo VN, Hyman PL, Luther SA, Forster R, Sedgwick JD et al. A chemokine-driven positive feedback loop organizes lymphoid follicles. Nature 2000; 406: 309–314.
Cyster JG, Ansel KM, Reif K, Ekland EH, Hyman PL, Tang HL et al. Follicular stromal cells and lymphocyte homing to follicles. Immunol Rev 2000; 176: 181–193.
Vinuesa CG, Tangye SG, Moser B, Mackay CR . Follicular B helper T cells in antibody responses and autoimmunity. Nat Rev Immunol 2005; 5: 853–865.
Park CS, Choi YS . How do follicular dendritic cells interact intimately with B cells in the germinal centre? Immunol 2005; 114: 2–10.
Wilson PC, de Bouteiller O, Liu YJ, Potter K, Banchereau J, Capra JD et al. Somatic hypermutation introduces insertions and deletions into immunoglobulin genes. J Exp Med 1998; 187: 59–70.
Chaudhuri J, Alt FW . Class-switch recombination: Interplay of transcription, DNA deamination and DNA repair. Nat Rev Immunol 2004; 4: 541–552.
Arakawa H, Hauschild J, Buerstedde JM . Requirement of the activation-induced deaminase (AID) gene for immunoglobulin gene conversion. Science 2002; 295: 1301–1306.
Pasqualucci L, Neumeister P, Goossens T, Nanjangud G, Chaganti RSK, Kuppers R et al. Hypermutation of multiple proto-oncogenes in B-cell diffuse large-cell lymphomas. Nature 2001; 412: 341–346.
Choe JS, Kim HS, Armitage RJ, Choi YS . The functional role of B cell antigen receptor stimulation and IL-4 in the generation of human memory B cells from germinal center B cells. J Immunol 1997; 159: 3757–3766.
Liu Y, Banchereau J . Regulation of B-cell commitment to plasma cells or to memory B-cells. Semin Immunol 1997; 9: 235–240.
Stuber E, Strober W . The T cell B cell interaction via OX40-OX40L is necessary for the T cell-dependent humoral immune response. J Exp Med 1996; 183: 979–989.
Shapiro-Shelef M, Calame K . Regulation of plasma-cell development. Nat Rev Immunol 2005; 5: 230–242.
Sze DMY, Toellner KM, de Vinuesa CG, Taylor DR, MacLennan ICM . Intrinsic constraint on plasmablast growth and extrinsic limits of plasma cell survival. J Exp Med 2000; 192: 813–821.
Hargreaves DC, Hyman PL, Lu TT, Ngo VN, Bidgol A, Suzuki G et al. A coordinated change in chemokine responsiveness guides plasma cell movements. J Exp Med 2001; 194: 45–56.
Reimold AM, Iwakoshi NN, Manis J, Vallabhajosyula P, Szomolanyi-Tsuda E, Gravallese EM et al. Plasma cell differentiation requires the transcription factor XBP-1. Nature 2001; 412: 300–307.
Smith KGC, Hewitson TD, Nossal GJV, Tarlinton DM . The phenotype and fate of the antibody-forming cells of the splenic foci. Eur J Immunol 1996; 26: 444–448.
de Vinuesa CG, Gulbranson-Judge A, Khan M, O'Leary P, Cascalho M, Wabl M et al. Dendritic cells associated with plasmablast survival. Eur J Immunol 1999; 29: 3712–3721.
Hahne M, Kataoka T, Schroter M, Hofmann K, Irmler M, Bodmer JL et al. APRIL, a new ligand of the tumor necrosis factor family, stimulates tumor cell growth. J Exp Med 1998; 188: 1185–1190.
Gross JA, Johnston J, Mudri S, Enselman R, Dillon SR, Madden K et al. TACI and BCMA are receptors for a TNF homologue implicated in B-cell autoimmune disease. Nature 2000; 404: 995–999.
Litinskiy MB, Nardelli B, Hilbert DM, He B, Schaffer A, Casali P et al. DCs induce CD40-independent immunoglobulin class switching through BLyS and APRIL. Nature Immunol 2002; 3: 822–829.
Schiemann B, Gommerman JL, Vora K, Cachero TG, Shulga-Morskaya S, Dobles M et al. An essential role for BAFF in the normal development of B cells through a BCMA-independent pathway. Science 2001; 293: 2111–2114.
Tierens A, Delabie J, Michiels L, Vandenberghe P, De Wolf-Peeters C . Marginal-zone B cells in the human lymph node and spleen show somatic hypermutations and display clonal expansion. Blood 1999; 93: 226–234.
Disanto JP, Bonnefoy JY, Gauchat JF, Fischer A, Desaintbasile G . Cd40 Ligand Mutations in X-Linked Immunodeficiency with Hyper-Igm. Nature 1993; 361: 541–543.
Weller S, Faili A, Garcia C, Braun MC, Le Deist F, de Saint Basile G et al. CD40-CD40L independent Ig gene hypermutation suggests a second B cell diversification pathway in humans. Proc Natl Acad Sci USA 2001; 98: 1166–1170.
Kantor AB, Herzenberg LA . Origin of Murine B-Cell Lineages. Annu Rev Immunol 1993; 11: 501–538.
Murakami M, Tsubata T, Shinkura R, Nisitani S, Okamoto M, Yoshioka H et al. Oral-Administration of Lipopolysaccharides Activates B-1 Cells in the Peritoneal-Cavity and Lamina Propria of the Gut and Induces Autoimmune Symptoms in An Autoantibody Transgenic Mouse. J Exp Med 1994; 180: 111–121.
Baumgarth N, Tung JW, Herzenberg LA . Inherent specificities in natural antibodies: a key to immune defense against pathogen invasion. Springer Sem Immunopathol 2005; 26: 347–362.
Berland R, Wortis HH . Origins and functions of B-1 cells with notes on the role of CD5. Annu Rev Immunol 2002; 20: 253–300.
Karras JG, Wang ZH, Huo L, Howard RG, Frank DA, Rothstein TL . Signal transducer and activator of transcription-3 (STAT3) is constitutively activated in normal, self-renewing B-1 cells but only inducibly expressed in conventional B lymphocytes. J Exp Med 1997; 185: 1035–1042.
Montecino-Rodriguez E, Leathers H, Dorshkind K . Identification of a B-1B cell-specified progenitor. Nat Immunol 2006; 7: 293–301.
Tung JW, Mrazek MD, Yang Y, Herzenberg LA, Herzenberg LA . Phenotypically distinct B cell development pathways map to the three B cell lineages in the mouse. Proc Natl Acad Sci USA 2006; 103: 6293–6298.
Hannet I, Erkelleryuksel F, Lydyard P, Deneys V, Debruyere M . Developmental and Maturational Changes in Human Blood Lymphocyte Subpopulations. Immunol Today 1992; 13: 215–218.
Kasaian MT, Ikematsu H, Casali P . Identification and Analysis of A Novel Human Surface Cd5-Lymphocyte-B Subset Producing Natural Antibodies. J Immunol 1992; 148: 2690–2702.
Nisitani S, Murakami M, Akamizu T, Okino T, Ohmori K, Mori T et al. Preferential localization of human CD5(+) B cells in the peritoneal cavity. Scand J Immunol 1997; 46: 541–545.
Youinou P, Jamin C, Lydyard PM . CD5 expression in human B-cell populations. Immunol Today 1999; 20: 312–316.
Huang CA, Henry C, Iacomini J, ImanishiKari T, Wortis HH . Adult bone marrow contains precursors for CD5(+) B cells. Eur J Immunol 1996; 26: 2537–2540.
Antin JH, Ault KA, Rappeport JM, Smith BR . Lymphocyte-B Reconstitution After Human-Bone Marrow Transplantation – Leu-1 Antigen Defines A Distinct Population of Lymphocytes-B. J Clin Invest 1987; 80: 325–332.
Koopman G, Keehnen RMJ, Lindhout E, Newman W, Shimizu Y, Vanseventer GA et al. Adhesion Through the Lfa-1 (Cd11A/Cd18)-Icam-1 (Cd54) and the Vla-4 (Cd49D)-Vcam-1 (Cd106) Pathways Prevents Apoptosis of Germinal Center B-Cells. J Immunol 1994; 152: 3760–3767.
Hase H, Kanno Y, Kojima M, Hasegawa K, Sakurai D, Kojima H et al. BAFF/BLyS can potentiate B-cell selection with the B-cell coreceptor complex. Blood 2004; 103: 2257–2265.
Park CS, Yoon SO, Armitage RJ, Choi YS . Follicular dendritic cells produce IL-15 that enhances germinal center B cell proliferation in membrane-bound form. J Immunol 2004; 173: 6676–6683.
Li L, Zhang X, Kovacic S, Long AJ, Bourque K, Wood CR et al. Identification of a human follicular dendritic cell molecule that stimulates germinal center B cell growth. J Exp Med 2000; 191: 1077–1083.
Ye BH, Cattoretti G, Shen QO, Zhang JD, Hawe N, deWaard R et al. The BCL-6 proto-oncogene controls germinal-centre formation and Th2-type inflammation. Nat Genet 1997; 16: 161–170.
Shaffer AL, Yu X, He YS, Boldrick J, Chan EP, Staudt LM . BCL-6 represses genes that function in lymphocyte differentiation, inflammation, and cell cycle control. Immunity 2000; 13: 199–212.
Phan RT, la-Favera R . The BCL6 proto-oncogene suppresses p53 expression in germinal-centre B cells. Nature 2004; 432: 635–639.
LeBien T, McCormack R . The common acute lymphoblastic leukemia antigen (CD10): emancipation from functional enigma. Blood 1989; 73: 625–635.
Debiec H, Guigonis V, Mougenot B, Decobert F, Haymann J, Bensman A et al. Brief report – Antenatal membranous glomerulonephritis due to anti-neutral endopeptidase antibodies. New Engl J Med 2002; 346: 2053–2060.
Morse HC, Kearney JF, Isaacson PG, Carroll M, Fredrickson TN, Jaffe ES . Cells of the marginal zone – origins, function and neoplasia. Leuk Res 2001; 25: 169–178.
Martin F, Kearney JF . Marginal-zone B cells. Nat Rev Immunol 2002; 2: 323–335.
Pillai S, Cariappa A, Moran ST . Marginal zone B cells. Annu Rev Immunol 2005; 23: 161–196.
Stein K, Hummel M, Korbjuhn P, Foss HD, Anagnostopoulos I, Marafioti T et al. Monocytoid B cells are distinct from splenic marginal zone cells and commonly derive from unmutated naive B cells and less frequently from postgerminal center B cells by polyclonal transformation. Blood 1999; 94: 2800–2808.
Zandvoort A, Timens W . The dual function of the splenic marginal zone: essential for initiation of anti-TI-2 responses but also vital in the general first-line defense against blood-borne antigens. Clin Exp Immunol 2002; 130: 4–11.
Kruschinski C, Zidan M, Debertin AS, Von Horsten S, Pabst R . Age-dependent development of the splenic marginal zone in human infants is associated with different causes of death. Hum Pathol 2004; 35: 113–121.
Brigden ML, Pattullo AL . Prevention and management of overwhelming postsplenectomy infection - An update. Crit Care Med 1999; 27: 836–842.
Author information
Authors and Affiliations
Corresponding author
Rights and permissions
About this article
Cite this article
Sagaert, X., Sprangers, B. & De Wolf-Peeters, C. The dynamics of the B follicle: understanding the normal counterpart of B-cell-derived malignancies. Leukemia 21, 1378–1386 (2007). https://doi.org/10.1038/sj.leu.2404737
Received:
Accepted:
Published:
Issue date:
DOI: https://doi.org/10.1038/sj.leu.2404737


