Abstract
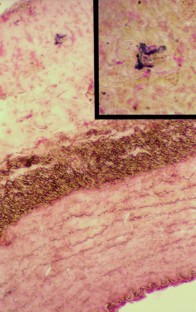
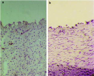
Percutaneous transluminal coronary angioplasty is a routinely used non-surgical revascularization technique for patients with coronary artery disease. Up to 30% of patients undergoing coronary angioplasty develop a renarrowing of treated vessels, called restenosis. Smooth muscle cell proliferation is thought to be an important factor in restenosis; this leads to neointima formation and arterial lumen narrowing. Neointima may be reduced by the transfer of genes encoding proteins with antiproliferative effects. Cecropins are antimicrobial peptides with antiproliferative properties in mammalian cells. Cecropin A is one member of this family of peptides. In this article, a plasmid carrying the gene for the immature form, pre-pro-cecropin A, complexed with liposomes was locally delivered to perivascular tissue in a porcine arterial injury model using a needle injection catheter. Retention of the plasmid in the treated arteries was demonstrated at both 8 and 21 days following application. Transferred plasmid DNA was not detected in any other tissues analyzed. Pre-pro-cecropin A-specific transcripts could also be found in treated arteries. Balloon-injured vessels demonstrated significantly reduced neointima at 21 days in vessels treated with the pre-pro-cecropin A gene compared with neointimal area in those given a control gene (P < 0.05). the needle injection catheter appears to be useful for local intravascular gene delivery. in vivo gene transfer of cecropins may be of therapeutic relevance in restenosis prevention by limiting cell proliferation.
This is a preview of subscription content, access via your institution
Access options
Subscribe to this journal
Receive 6 print issues and online access
$259.00 per year
only $43.17 per issue
Buy this article
- Purchase on SpringerLink
- Instant access to the full article PDF.
USD 39.95
Prices may be subject to local taxes which are calculated during checkout











Similar content being viewed by others
References
Kuntz RE, Baim DS . Defining coronary restenosis. Newer clinical and angiographic paradigms Circulation 1993 88: 1310–1323
Schwartz RS, Holmes DJ, Topol EJ . The restenosis paradigm revisited: an alternative proposal for cellular mechanisms J Am Coll Cardiol 1992 20: 1284–1293
Bauters C, Isner JM . The biology of restenosis Prog Cardiovasc Dis 1997 40: 107–116
Ohno T et al. Gene therapy for vascular smooth muscle cell proliferation after arterial injury Science 1994 265: 781–784
Nikol S, Huehns TY, Hoefling B . Molecular biology and post-angioplasty restenosis Atherosclerosis 1996 123: 17–31
Nikol S . Possible uses of gene therapy in reducing coronary restenosis Heart 1997 78: 426–428
Simons M et al. Antisense c-myb oligonucleotides inhibit intimal arterial smooth muscle cell accumulation in vivo Nature 1992 359: 67–70
Yang ZY et al. Role of the p21 cyclin-dependent kinase inhibitor in limiting intimal cell proliferation in response to arterial injury Proc Natl Acad USA 1996 93: 7905–7910
Chang MW et al. Cytostatic gene therapy for vascular proliferative disorders with a constitutively active form of the retinoblastoma gene product Science 1995 267: 518–522
Chang MW et al. Adenovirus-mediated over-expression of the cyclin/cyclin-dependent kinase inhibitor, p21 inhibits vascular smooth muscle cell proliferation and neointima formation in the rat carotid artery model of balloon angioplasty J Clin Invest 1995 96: 2260–2268
Morishita R et al. A gene therapy strategy using a transcription factor decoy of the E2F binding site inhibits smooth muscle proliferation in vivo Proc Natl Acad Sci USA 1995 92: 5855–5859
Boman HG . Peptide antibiotics and their role in innate immunity Ann Rev Immunol 1995 13: 16–19
Hernandez VP, Gerenday A, Fallon AM . Secretion of an inducible cecropin-like activity by cultured mosquito cells Am J Trop Med Hyg 1994 50: 440–447
Javadpour MM et al. De novo antimicrobial peptides with low mammalian cell toxicity J Med Chem 1996 39: 3107–3113
Jaynes JM et al. In vitro cytocidal effect of lytic peptides on several transformed mammalian cell lines Pept Res 1989 2: 157–160
Moore AJ, Devine DA, Bibby MC . Preliminary experimental anticancer activity of cecropins Pept Res 1994 7: 265–269
Winder D, Guenzburg WH, Erfle V, Salmons B . Expression of antimicrobial peptides has an antitumour effect in human cells Biochem Biophys Res Commun 1998 242: 608–612
Nakata Y, Shionoya S . Vascular lesions due to obstruction of the vasa vasorum Nature 1966 212: 1258–1259
Barker SGE et al. The adventitia and atherogenesis: removal initiates intimal proliferation in the rabbit which regresses on generation of a neoadventitia Atherosclerosis 1994: 105: 131–144
Huehns TY, Gonschior P, Hoefling B . Adventitia as a target for intravascular local drug delivery Heart 1996 75: 537–538
Shi Y et al. Adventitial myofibroblasts contribute to neointimal formation in injured porcine coronary arteries Circulation 1996 94: 1655–1664
Gonschior P, Goetz AE, Huehns TY, Hoefling B . A new catheter for prolonged local drug application Coron Art Dis 1995 6: 329–334
Gonschior P et al. Comparison of local intravacular drug-delivery catheter systems Am Heart J 1995 130: 1174–1181
Huehns T et al. Neointimal growth can be influenced by local adventitial gene manipulation via a needle injection catheter Atherosclerosis (in press)
Innis MA, Gelfand DH . Optimization of PCRs. In: Innis MA, Gelfand DH, Sninsky JJ, White TJ (eds) . PCR Protocols: A Guide to Methods and Applications Academic Press: San Diego 1990 84–91
Hoefling B, Huehns TY . Intravascular local drug delivery in restenosis Eur Heart J 1995 16: 437–440
Wolinsky H, Thung SN . Use of the perforated balloon catheter to deliver concentrated heparin into the wall of normal canine artery J Am Coll Cardiol 1990 15: 475–481
Zhu N, Liggit N, Liu Y, Debs R . Systemic gene expression after intravenous DNA delivery into adult mice Science 1993 261: 209–211
Reszka R et al. Therapeutic and immunohistochemical evaluation of suicide gene transfer in a rat F98 glioblastoma model: liposomal approach versus viral delivery Proceedings of the 3rd International workshop on Gene Transfer in Hematology and Oncology, Düsseldorf, Germany 1997 (Abstr
Tahlil O et al. The Dispatch catheter as a delivery tool for arterial gene transfer Cardiovasc Res 1997 33: 181–187
Nabel EG, Plautz G, Nabel GI . Site-specific gene expression in vivo by direct gene transfer into the arterial wall Science 1990 249: 1285–1288
Yonemitsu Y et al. Transfer of wild-type p53 gene effectively inhibits vascular smooth muscle cell proliferation in vitro and in vivo Circ Res 1998 82: 147–156
Keogh MC et al. High efficiency reporter gene transfection of vascular tissue in vitro and in vivo using cationic lipid-DNA complex Gene Ther 1997 4: 162–171
Boman HG, Steiner H . Humoral immunity in Cecropia pupae Curr Top Microbiol Immunol 1981 94: 75–91
Velasco M et al. Macrophage triggering with cecropin A and melittin derived peptides induces type II nitric oxide synthase expression J Immunol 1997 158: 4437–4443
Hugosson M, Andreu D, Boman HG, Glaser E . Antibacterial peptides and mitochondrial presequences affect mitochondrial coupling, respiration and protein import Eur J Biochem 1994 223: 1027–1033
Christensen B, Fink J, Merrifield RB, Mauzerall D . Channel-forming properties of cecropins and related model compounds incorporated into planar lipid membranes Proc Natl Acad Sci USA 1988 85: 5072–5076
Gazit E, Boman A, Boman HG, Shai Y . Interaction of the mammalian antibacterial peptide cecropin P1 with phospholipid vesicles Biochemistry 1995 34: 11479–11488
Gazit E, Miller IR, Biggin PC, Sansom MSP . Structure and orientation of the mammalian antibacterial peptide cecropin P1 within phospholipid membranes J Mol Biol 1996 258: 860–870
Price J, Turner D, Cepko C . Lineage analysis in the vertebrate nervous system by retrovirus mediated gene transfer Proc Natl Acad Sci USA 1987 84: 156–160
Author information
Authors and Affiliations
Rights and permissions
About this article
Cite this article
Nikol, S., Huehns, T., Krausz, E. et al. Needle injection catheter delivery of the gene for an antibacterial agent inhibits neointimal formation. Gene Ther 6, 737–748 (1999). https://doi.org/10.1038/sj.gt.3300888
Received:
Accepted:
Published:
Issue date:
DOI: https://doi.org/10.1038/sj.gt.3300888
Keywords
This article is cited by
-
Prevention of restenosis using the gene for cecropin complexed with DOCSPER liposomes under optimized conditions
International Journal of Angiology (2011)
-
Beta defensin-3 engineered epidermis shows highly protective effect for bacterial infection
Gene Therapy (2005)
-
Gene therapy for atherosclerosis and atherosclerosis-related diseases
Current Atherosclerosis Reports (1999)


