Abstract
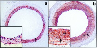
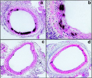
Injury-induced neointimal development results from migration and proliferation of vascular smooth muscle cells (SMC). Cell migration requires controlled proteolytic degradation of extracellular matrix surrounding the cell. Plasmin is a major contributor to this process by degrading various matrix proteins directly, or indirectly by activating matrix metalloproteinases. This makes it an attractive target for inhibition by gene transfer. An adenoviral vector, Ad.ATF.BPTI, was constructed encoding a hybrid protein, which consists of the aminoterminal fragment (ATF) of urokinase-type plasminogen activator (u-PA) linked to bovine pancreas trypsin inhibitor (BPTI), a potent inhibitor of plasmin. This hybrid protein binds to the u-PA receptor, thereby inhibiting plasmin activity at the cell surface, and was found to be a potent inhibitor of cell migration in vitro. Local infection with Ad.ATF.BPTI of balloon-injured rat carotid artery resulted in detectable expression of ATF.BPTI mRNA and protein in the vessel wall. Morphometric analysis of arterial cross-sections revealed that delivery of Ad.ATF.BPTI to the carotid artery wall at the time of balloon injury inhibited neointima formation by 53% (P < 0.01) at 14 days and 19% (P = NS) at 28 days after injury when compared with control vector-infected arteries. Intima/media ratios were decreased by 60% (P < 0.01) and 35% (P < 0.05) at 14 and 28 days, respectively, when compared with control vector-infected arteries. Furthermore, a small but significant increase in medial area was found in the Ad.ATF.BPTI-treated arteries at 28 days (P < 0.05). These results show that local infection of the vessel wall with Ad.ATF.BPTI reduces neointima formation, presumably by inhibiting SMC migration, thereby offering a novel therapeutic approach to inhibiting neointima development.
This is a preview of subscription content, access via your institution
Access options
Subscribe to this journal
Receive 6 print issues and online access
$259.00 per year
only $43.17 per issue
Buy this article
- Purchase on SpringerLink
- Instant access to the full article PDF.
USD 39.95
Prices may be subject to local taxes which are calculated during checkout








Similar content being viewed by others
References
Austin GE et al. Intimal proliferation of smooth muscle cells as an explanation for recurrent coronary artery stenosis after percutaneous transluminal coronary angioplasty J Am Coll Cardiol 1985 6: 369–375
Ross R . The pathogenesis of atherosclerosis: a perspective for the 1990s Nature 1993 362: 801–809
Guarda E et al. Extracellular matrix collagen synthesis and degradation following coronary balloon angioplasty J Mol Cell Cardiol 1996 28: 699–706
Chang MW et al. Adenovirus-mediated over-expression of the cyclin/cyclin-dependent kinase inhibitor, p21 inhibits vascular smooth muscle cell proliferation and neointima formation in the rat carotid artery model of balloon angioplasty J Clin Invest 1995 96: 2260–2268
Claudio PP et al. Adenoviral RB2/p130 gene transfer inhibits smooth muscle cell proliferation and prevents restenosis after angioplasty Circ Res 1999 85: 1032–1039
Ueno H et al. Adenovirus-mediated transfer of a dominant-negative H-ras suppresses neointimal formation in balloon-injured arteries in vivo Arterioscler Thromb Vasc Biol 1997 17: 898–904
Morishita R et al. Single intraluminal delivery of antisense cdc2 kinase and proliferating-cell nuclear antigen oligonucleotides results in chronic inhibition of neointimal hyperplasia Proc Natl Acad Sci USA 1993 90: 8474–8478
Maillard L et al. Percutaneous delivery of the gax gene inhibits vessel stenosis in a rabbit model of balloon angioplasty Cardiovasc Res 1997 35: 536–546
Gunn J et al. The effect of oligonucleotides to c-myb on vascular smooth muscle cell proliferation and neointima formation after porcine coronary angioplasty Circ Res 1997 80: 520–531
Mann MJ . E2f decoy oligonucleotide for genetic engineering of vascular bypass grafts Anti Nucl Acid Dr Dev 1998 8: 171–176
Pollman MJ et al. Inhibition of neointimal cell bcl-x expression induces apoptosis and regression of vascular disease Nature Med 1998 4: 222–227
Ohno T et al. Gene therapy for vascular smooth muscle cell proliferation after arterial injury Science 1994 265: 781–784
Harrell RL et al. Inhibition of vascular smooth muscle cell proliferation and neointimal accumulation by adenovirus-mediated gene transfer of cytosine deaminase Circulation 1997 96: 621–627
Hanna AK et al. Antisense basic fibroblast growth factor gene transfer reduces neointimal thickening after arterial injury J Vasc Surg 1997 25: 320–325
Rade JJ et al. Local adenoviral-mediated expression of recombinant hirudin reduces neointima formation after arterial injury Nat Med 1996 2: 293–298
Hall SW, Humphries JE, Gonias SL . Inhibition of cell surface receptor-bound plasmin by alpha 2- antiplasmin and alpha 2-macroglobulin J Biol Chem 1991 266: 12329–12336
Wijnberg MJ et al. The migration of human smooth muscle cells in vitro is mediated by plasminogen activation and can be inhibited by alpha2-macroglobulin receptor associated protein Thromb Haemost 1997 78: 880–886
Okada SS, Grobmyer SR, Barnathan ES . Contrasting effects of plasminogen activators, urokinase receptor, and LDL receptor-related protein on smooth muscle cell migration and invasion Arterioscler Thromb Vasc Biol 1996 16: 1269–1276
Herbert JM, Lamarche I, Carmeliet P . Urokinase and tissue-type plasminogen activator are required for the mitogenic and chemotactic effects of bovine fibroblast growth factor and platelet-derived growth factor-BB for vascular smooth muscle cells J Biol Chem 1997 272: 23585–23591
Reidy MA, Irvin C, Lindner V . Migration of arterial wall cells. Expression of plasminogen activators and inhibitors in injured rat arteries Circ Res 1996 78: 405–414
Jackson CL, Reidy MA . The role of plasminogen activation in smooth muscle cell migration after arterial injury Ann NY Acad Sci 1992 667: 141–150
Sawada M et al. Prevention of neointimal formation by a serine protease inhibitor, FUT-175, after carotid balloon injury in rats Stroke 1999 30: 644–650
Carmeliet P et al. Urokinase but not tissue plasminogen activator mediates arterial neointima formation in mice Circ Res 1997 81: 829–839
Carmeliet P et al. Impaired arterial neointima formation in mice with disruption of the plasminogen gene J Clin Invest 1997 99: 200–208
Carmeliet P et al. Inhibitory role of plasminogen activator inhibitor-1 in arterial wound healing and neointima formation: a gene targeting and gene transfer study in mice Circulation 1997 96: 3180–3191
Lamfers ML et al. Adenoviral gene transfer of a u-PA receptor-binding plasmin inhibitor and green fluorescent protein: inhibition of migration and visualization of expression Thromb Haemost 2000 84: 460–467
Clowes AW, Reidy MA, Clowes MM . Kinetics of cellular proliferation after arterial injury. I. Smooth muscle growth in the absence of endothelium Lab Invest 1983 49: 327–333
Robbie LA et al. Inhibitors of fibrinolysis are elevated in atherosclerotic plaque Arterioscler Thromb Vasc Biol 1996 16: 539–545
Schwartz SM . Smooth muscle migration in atherosclerosis and restenosis J Clin Invest 1997 100: S87–S89
Casscells W . Migration of smooth muscle and endothelial cells. Critical events in restenosis Circulation 1992 86: 723–729
Clowes AW, Schwartz SM . Significance of quiescent smooth muscle migration in the injured rat carotid artery Circ Res 1985 56: 139–145
Reuning U et al. Mitogen crosstalk accompanying urokinase receptor expression in stimulated vascular smooth muscle cells FEBS Lett 1996 392: 125–128
Vassalli JD, Sappino AP, Belin D . The plasminogen activator/plasmin system J Clin Invest 1991 88: 1067–1072
Plow EF et al. The cell biology of the plasminogen system FASEB J 1995 9: 939–945
Blasi F et al. The urokinase receptor and regulation of cell surface plasminogen activation Cell Differ Dev 1990 32: 247–253
Dollery CM et al. Expression of tissue inhibitor of matrix metalloproteinases 1 by use of an adenoviral vector inhibits smooth muscle cell migration and reduces neointimal hyperplasia in the rat model of vascular balloon injury Circulation 1999 99: 3199–3205
Forough R et al. Overexpression of tissue inhibitor of matrix metalloproteinase-1 inhibits vascular smooth muscle cell functions in vitro and in vivo Circ Res 1996 79: 812–820
Cheng L et al. Adenovirus-mediated gene transfer of the human tissue inhibitor of metalloproteinase-2 blocks vascular smooth muscle cell invasiveness in vitro and modulates neointimal development in vivo Circulation 1998 98: 2195–2201
Lijnen HR et al. Function of the plasminogen/plasmin and matrix metalloproteinase systems after vascular injury in mice with targeted inactivation of fibrinolytic system genes Arterioscler Thromb Vasc Biol 1998 18: 1035–1045
Mazzieri R et al. Control of type IV collagenase activity by components of the urokinase-plasmin system: a regulatory mechanism with cell-bound reactants EMBO J 1997 16: 2319–2332
Bendeck MP, Irvin C, Reidy MA . Inhibition of matrix metalloproteinase activity inhibits smooth muscle cell migration but not neointimal thickening after arterial injury Circ Res 1996 78: 38–43
Appella E et al. The receptor-binding sequence of urokinase. A biological function for the growth-factor module of proteases J Biol Chem 1987 262: 4437–4440
Quax PHA et al. Binding of human urokinase-type plasminogen activator to its receptor – residues involved in species specificity and binding Arterioscler Thromb Vasc Biol 1998 18: 693–701
Fallaux FJ et al. New helper cells and matched early region 1-deleted adenovirus vectors prevent generation of replication-competent adenoviruses Hum Gene Ther 1998 9: 1909–1917
Quax PH et al. Complementation between urokinase-producing and receptor-producing cells in extracellular matrix degradation Cell Regul 1991 2: 793–803
Shabram PW et al. Analytical anion-exchange HPLC of recombinant type-5 adenoviral particles Hum Gene Ther 1997 8: 453–465
Clowes AW, Reidy MA, Clowes MM . Mechanisms of stenosis after arterial injury Lab Invest 1983 49: 208–215
Schulick AH et al. In vivo gene transfer into injured carotid arteries. Optimization and evaluation of acute toxicity Circulation 1995 91: 2407–2414
Boot RG et al. Strong induction of members of the chitinase family of proteins in atherosclerosis: chitotriosidase and human cartilage gp-39 expressed in lesion macrophages Arterioscler Thromb Vasc Biol 1999 19: 687–694
Koolwijk P et al. Cooperative effect of TNFalpha, bFGF, and VEGF on the formation of tubular structures of human microvascular endothelial cells in a fibrin matrix. Role of urokinase activity J Cell Biol 1996 132: 1177–1188
Acknowledgements
We would like to thank Erik Offerman for technical assistance. This study is supported by the Netherlands Heart Foundation, grants 95–126 and M93–001.
Author information
Authors and Affiliations
Rights and permissions
About this article
Cite this article
Lamfers, M., Lardenoye, J., de Vries, M. et al. In vivo suppression of restenosis in balloon-injured rat carotid artery by adenovirus-mediated gene transfer of the cell surface-directed plasmin inhibitor ATF.BPTI. Gene Ther 8, 534–541 (2001). https://doi.org/10.1038/sj.gt.3301437
Received:
Accepted:
Published:
Issue date:
DOI: https://doi.org/10.1038/sj.gt.3301437
Keywords
This article is cited by
-
Spatio-temporal model of Meox1 expression control involvement of Sca-1-positive stem cells in neointima formation through the synergistic effect of Rho/CDC42 and SDF-1α/CXCR4
Stem Cell Research & Therapy (2021)
-
Molecular imaging of the urokinase plasminogen activator receptor: opportunities beyond cancer
EJNMMI Research (2020)
-
S100B is required for maintaining an intermediate state with double-positive Sca-1+ progenitor and vascular smooth muscle cells during neointimal formation
Stem Cell Research & Therapy (2019)
-
Restenosis after PCI. Part 1: pathophysiology and risk factors
Nature Reviews Cardiology (2012)
-
Applied gene therapy in preclinical models of vascular injury
Current Atherosclerosis Reports (2003)


