Abstract
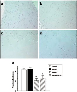
In this study we have explored the feasibility of generating angiostatin by incorporating an endoproteolytic furin cleavage site into plasminogen to allow conversion of the precursor molecule into an angiostatic active K1-3 fragment. We show that secretable angiostatin can be successfully generated from cells infected with adenovirus carrying the furin-mutated plasminogen (AdmuthPlgK3). Supernatant from cells transduced with AdmuthPlagK3 inhibits tube formation and proliferation and migration of human umbilical vein endothelial cells with an efficiency similar to that of supernatant from cells infected with adenovirus expressing kringle 1–3 of plasminogen (AdK1-3). Administration of AdmuthPlgK3 and AdK1-3 in mice results in significantly decreased endothelial cell infiltration in VEGF-embedded Matrigel plugs. Treatment with AdmuthPlgK3 and AdK1-3 exerts strong antitumoral effect in models of hepatocellular carcinoma and Lewis lung cancer. This antitumor effect was associated with decreased microvessel density in the tumors. Taken together, our data demonstrate that angiostatin endowed with strong antiangiogenic and antitumor effects can be released from a furin-mutated plasminogen acting as a precursor. This strategy may have potential to develop angiostatic anti-cancer therapies.
This is a preview of subscription content, access via your institution
Access options
Subscribe to this journal
Receive 6 print issues and online access
$259.00 per year
only $43.17 per issue
Buy this article
- Purchase on SpringerLink
- Instant access to the full article PDF.
USD 39.95
Prices may be subject to local taxes which are calculated during checkout






Similar content being viewed by others
References
Folkman J . Angiogenesis in cancer, vascular, rheumatoid and other disease Nat Med 1995 1: 27–31
Gasparini G . The rationale and future potential of angiogenesis inhibitors in neoplasia Drugs 1999 58: 17–38
Griffioen AW, Molema G . Angiogenesis: potentials for pharmacologic intervention in the treatment of cancer, cardiovascular diseases, and chronic inflammation Pharmacol Rev 2000 52: 237–268
Brower V . Tumor angiogenesis - new drugs on the block Nat Biotechnol 1999 17: 963–968
O'Reilly MS et al. Angiostatin: a novel angiogenesis inhibitor that mediates the suppression of metastases by a Lewis lung carcinoma Cell 1994 79: 315–328
Dong Z, Kumar R, Yang X, Fidler IJ . Macrophage-derived metalloelastase is responsible for the generation of angiostatin in Lewis lung carcinoma Cell 1997 88: 801–810
Gately S et al. Human prostate carcinoma cells express enzymatic activity that converts human plasminogen to the angiogenesis inhibitor, angiostatin Cancer Res 1996 56: 4887–4890
Cao Y et al. Kringle domains of human angiostatin. Characterization of the anti-proliferative activity on endothelial cells J Biol Chem 1996 271: 29461–29467
Cao Y et al. Kringle 5 of plasminogen is a novel inhibitor of endothelial cell growth J Biol Chem 1997 272: 22924–22928
O'Reilly MS, Holmgren L, Chen C, Folkman J . Angiostatin induces and sustains dormancy of human primary tumors in mice Nat Med 1996 2: 689–692
Sim BK et al. A recombinant human angiostatin protein inhibits experimental primary and metastatic cancer Cancer Res 1997 57: 1329–1334
Lannutti BJ et al. Human angiostatin inhibits murine hemangioendothelioma tumor growth in vivo Cancer Res 1997 57: 5277–5280
Tanaka T, Cao Y, Folkman J, Fine HA . Viral vector-targeted antiangiogenic gene therapy utilizing an angiostatin complementary DNA Cancer Res 1998 58: 3362–3369
Griscelli F et al. Angiostatin gene transfer: inhibition of tumor growth in vivo by blockage of endothelial cell proliferation associated with a mitosis arrest Proc Natl Acad Sci USA 1998 95: 6367–6372
Indraccolo S et al. Effects of angiostatin gene transfer on functional properties and in vivo growth of Kaposi's sarcoma cells Cancer Res 2001 61: 5441–5446
Kuo CJ et al. Comparative evaluation of the antitumor activity of antiangiogenic proteins delivered by gene transfer Proc Natl Acad Sci USA 2001 98: 4605–4610
Molloy SS, Anderson ED, Jean F, Thomas G . Bi-cycling the furin pathway: from TGN localization to pathogen activation and embryogenesis Trends Cell Biol 1999 9: 28–35
Nakayama K . Furin: a mammalian subtilisin/Kex2p-like endoprotease involved in processing of a wide variety of precursor proteins Biochem J 1997 327: 625–635
Gros L et al. Insulin production by engineered muscle cells Hum Gene Ther 1999 10: 1207–1217
Muzzin P, Eisensmith RC, Copeland KC, Woo SL . Hepatic insulin gene expression as treatment for type 1 diabetes mellitus in rats Mol Endocrinol 1997 11: 833–837
Gaken J et al. Fusagene vectors: a novel strategy for the expression of multiple genes from a single cistron Gene Therapy 2000 7: 1979–1985
Groskreutz DJ, Sliwkowski MX, Gorman CM . Genetically engineered proinsulin constitutively processed and secreted as mature, active insulin J Biol Chem 1994 269: 6241–6245
Griscelli F et al. Combined effects of radiotherapy and angiostatin gene therapy in glioma tumor model Proc Natl Acad Sci USA 2000 97: 6698–6703
Yao L et al. Effective targeting of tumor vasculature by the angiogenesis inhibitors vasostatin and interleukin-12 Blood 2000 96: 1900–1905
Gyorffy S et al. Combined treatment of a murine breast cancer model with type 5 adenovirus vectors expressing murine angiostatin and IL-12: a role for combined anti-angiogenesis and immunotherapy J Immunol 2001 166: 6212–6217
Qian C, Bilbao R, Bruna O, Prieto J . Induction of sensitivity to ganciclovir in human hepatocellular carcinoma cells by adenovirus-mediated gene transfer of herpes simplex virus thymidine kinase Hepatology 1995 22: 118–123
Yao L et al. Contribution of natural killer cells to inhibition of angiogenesis by interleukin-12 Blood 1999 93: 1612–1621
Mishima K et al. A peptide derived from the non-receptor-binding region of urokinase plasminogen activator inhibits glioblastoma growth and angiogenesis in vivo in combination with cisplatin Proc Natl Acad Sci USA 2000 97: 8484–8489
Weidner N, Semple JP, Welch WR, Folkman J . Tumor angiogenesis and metastasis – correlation in invasive breast carcinoma N Engl J Med 1991 324: 1–8
Acknowledgements
This work was supported in part by SAF 98-0146 from CICYT and also by J Vidal, MJ Huarte, Dr Cervera, M Losantos and M Mendez grants for Gene Therapy. VS was partly supported by the German Exchange Council (DAAD) and the VERUM Foundation, Munich, Germany. We thank Helena Villanueva and Celia Gomar for their expert assistance.
Author information
Authors and Affiliations
Rights and permissions
About this article
Cite this article
Schmitz, V., Wang, L., Barajas, M. et al. A novel strategy for the generation of angiostatic kringle regions from a precursor derived from plasminogen. Gene Ther 9, 1600–1606 (2002). https://doi.org/10.1038/sj.gt.3301805
Received:
Accepted:
Published:
Issue date:
DOI: https://doi.org/10.1038/sj.gt.3301805
Keywords
This article is cited by
-
Anti-tumoural effects of PlgK1-5 are directly linked to reduced ICAM expression, resulting in hepatoma cell apoptosis
International Journal of Colorectal Disease (2012)
-
Plasminogen fragment K1–3 inhibits expression of adhesion molecules and experimental HCC recurrence in the liver
International Journal of Colorectal Disease (2009)
-
New therapies for hepatocellular carcinoma
Oncogene (2006)
-
Cotargeting tumor and tumor endothelium effectively inhibits the growth of human prostate cancer in adenovirus-mediated antiangiogenesis and oncolysis combination therapy
Cancer Gene Therapy (2005)
-
Effective antitumour mono- and combination therapy by gene delivery of angiostatin-like molecule and interleukin-12 in a murine hepatoma model
International Journal of Colorectal Disease (2005)


