Abstract
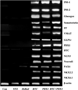
Ultrasound-targeted microbubble destruction (UTMD) was used to direct betacellulin (BTC) and pancreatic duodenal homeobox-1 (PDX1) to rat pancreas 48 h after islet destruction by streptozotocin (STZ). Sprague–Dawley rats were rendered diabetic by STZ injection. Controls included normal rats, STZ only without UTMD, and UTMD with DsRed reporter gene. Blood glucose increased dramatically in all rats 48 h after STZ, and continued to rise after UTMD with BTC alone. Blood glucose declined from day 3 to day 10 after UTMD with PDX1, but remained elevated (261±8 mg/dl). However, in rats treated with both BTC and PDX1, blood glucose remained below 200 mg/dl throughout day 10. This was accompanied by normalization of blood insulin and C-peptide. Histology demonstrated islet-like clusters of glucagon-staining cells in the rats treated with BTC and PDX1, but these clusters disappeared by 30 days after UTMD treatment. Although regeneration of insulin-producing islets was not seen, diabetes was reversed for up to 15 days after a single UTMD treatment by ectopic insulin production by pancreatic acinar cells. These cells co-expressed amylase and insulin and demonstrated several β-cell markers by reverse transcription-PCR. Gene therapy by UTMD can reverse diabetes in vivo in adult rats by restoring pancreatic insulin production.
This is a preview of subscription content, access via your institution
Access options
Subscribe to this journal
Receive 6 print issues and online access
$259.00 per year
only $43.17 per issue
Buy this article
- Purchase on SpringerLink
- Instant access to the full article PDF.
USD 39.95
Prices may be subject to local taxes which are calculated during checkout








Similar content being viewed by others
References
Wild S, Roglic G, Green A, Sicree R, King H . Global prevalence of diabetes: estimates for the year 2000 and projections for 2030. Diabetes Care 2004; 27: 1047–1053.
Roglic G, Unwin N, Bennett PH, Mathers C, Tuomilehto J, Nag S et al. The burden of mortality attributable to diabetes: realistic estimates for the year 2000. Diabetes Care 2005; 28: 2130–2135.
Bonner-Weir S, Wier GC . New sources of pancreatic β-cells. Nat Biotechnol 2005; 23: 857–861.
Samson S, Chan L . Gene therapy for diabetes: reinventing the islet. Trends Endocrinol Metab 2005; 17: 92–100.
Lipsett M, Aikin R, Castellarin M, Hanley S, Jamal A, Laganiere S et al. Islet neogenesis: a potential therapeutic tool in type 1 diabetes. Int J Biochem Cell Biol 2006; 38: 498–503.
Chen S, Ding JH, Bekeredjian R, Yang BZ, Shohet RV, Johnston SA et al. Efficient gene delivery to pancreatic islets with ultrasonic microbubble destruction technology. Proc Natl Acad Sci USA 2006; 103: 8469–8474.
The DCCT Research Group. The effect of intensive treatment of diabetes on the development and progression of long-term complications in insulin-dependent diabetes mellitus. N Engl J Med 1993; 329: 977–986.
The EDIC Study Group. Sustained effect of intensive treatment in type I diabetes mellitus on development and progression of diabetic retinopathy: the epidemiology of diabetes interventions and complications (EDIC) study. JAMA 2003; 290: 2159–2167.
Bonner-Weir S, Baxter LA, Schuppin GT, Smith FE . A second pathway for regeneration of adult exocrine and endocrine pancreas. A possible recapitulation of embryonic development. Diabetes 1993; 42: 1715–1720.
Guz Y, Nasir I, Teitelman G . Regeneration of pancreatic beta cells from intra-islet precursor cells in an experimental model of diabetes. Endocrinology 2001; 142: 4956–4968.
Sarvetnick NE, Gu D . Regeneration of pancreatic endocrine cells in interferon-gamma transgenic mice. Adv Exp Med Biol 1992; 321: 85–89.
Dor Y, Brown J, Martinez OI, Melton DA . Adult pancreatic beta-cells are formed by self-duplication rather than stem cell differentiation. Nature 2004; 429: 41–46.
Hao E, Tyrberg B, Itkin-Ansari P, Lakey J, Geron I, Monosov EZ et al. Beta-cell differentiation from nonendocrine epithelial cells of the adult human pancreas. Nat Med 2006; 12: 310–316.
Zhan Y, Brady JL, Johnston AM, Lew AM . Predominate transgene expression in exocrine pancreas directed by the CMV promoter. DNA Cell Biol 2000; 19: 639–645.
Ferber S, Halkin A, Cohen H, Ber I, Einav Y, Goldberg I et al. Pancreatic and duodenal homeobox gene 1 induces expression of insulin genes in liver and ameliorates streptozotocin-induced hyperglycemia. Nat Med 2000; 6: 568–572.
Shing Y, Christofori G, Hanahan D, Ono Y, Sasada R, Igarashi K et al. Betacellulin: a mitogen from pancreatic beta cell tumors. Science 1993; 259: 2681–2689.
Kojima H, Nakamura T, Fujita Y, Kishi A, Fujimiya M, Yamada S et al. Combined expression of pancreatic duodenal homeobox 1 and islet factor 1 induces immature enterocytes to produce insulin. Diabetes 2002; 51: 1398–1408.
Kojima H, Fujimaya M, Matsumura K, Younan P, Imaeda H, Maeda M et al. NeuroD-betacellulin gene therapy induces islet neogenesis in the liver and reverses diabetes in mice. Nat Med 2003; 9: 596–603.
Tada H, Sasada R, Kawaguchi Y, Kojima I, Gullick WJ, Salomon DS et al. Processing and juxtacrine activity of membrane-anchored betacellulin. J Cell Biochem 1999; 72: 423–434.
Gelling RW, Du XQ, Dichmann DS, Romer J, Huang H, Cui L et al. Lower blood glucose, hyperglucagonemia, and pancreatic alpha cell hyperplasia in glucagon receptor knockout mice. Proc Natl Acad Sci USA 2003; 100: 1438–1443.
Lardon J, Huyens N, Rooman I, Bouwens L . Exocrine cell transdifferentiation in dexamethasone-treated rat pancreas. Virchows Arch 2004; 444: 61–65.
Baeyens L, De Breuck S, Lardon J, Mfopou JK, Rooman I, Bouwens L . In vitro generation of insulin-producing beta cells from adult exocrine pancreatic cells. Diabetologia 2005; 48: 49–57.
Rooman I, Heremans Y, Heimberg H, Bouwens L . Modulation of rat pancreatic acinoductal transdifferentiation and expression of PDX-1 in vitro. Diabetologia 2000; 43: 907–914.
Rooman I, Lardon J, Flamez D, Schuit F, Bouwens L . Mitogenic effect of gastrin and expression of gastrin receptors in duct-like cells of rat pancreas. Gastroenterology 2001; 121: 940–949.
Rooman I, Bouwens L . Combined gastrin and epidermal growth factor treatment induces islet regeneration and restores normoglycemia in C57BL/6J mice treated with alloxan. Diabetologia 2004; 47: 259–265.
Fujita Y, Cheung AT, Kieffer TJ . Harnessing the gut to treat diabetes. Pediatr Diabetes 2004; 5 (Suppl 2): 57–59.
Kaneto H, Matsuoka T, Nakatani Y, Miyatsuka T, Matsuhisa M, Hori M et al. A crucial role of MafA as a novel therapeutic target for diabetes. J Biol Chem 2005; 280: 15047–15052.
Chen SY, Shohet RV, Bekeredjian R, Frenkel PA, Grayburn PA . Optimization of ultrasound parameters for cardiac gene delivery of adenoviral and plasmid deoxyribonucleic acid by ultrasound-targeted microbubble destruction. J Am Coll Cardiol 2003; 42: 301–308.
Acknowledgements
This work was supported by NIH grant P01 DK58398, and the Mark Shepherd Research Fund of the Baylor Foundation.
Author information
Authors and Affiliations
Corresponding author
Rights and permissions
About this article
Cite this article
Chen, S., Ding, J., Yu, C. et al. Reversal of streptozotocin-induced diabetes in rats by gene therapy with betacellulin and pancreatic duodenal homeobox-1. Gene Ther 14, 1102–1110 (2007). https://doi.org/10.1038/sj.gt.3302963
Received:
Revised:
Accepted:
Published:
Issue date:
DOI: https://doi.org/10.1038/sj.gt.3302963
Keywords
This article is cited by
-
In vivo targeted delivery of ANGPTL8 gene for beta cell regeneration in rats
Diabetologia (2015)
-
Transplantation of betacellulin-transduced islets improves glucose intolerance in diabetic mice
Experimental & Molecular Medicine (2014)
-
A Short-activating RNA Oligonucleotide Targeting the Islet β-cell Transcriptional Factor MafA in CD34+ Cells
Molecular Therapy - Nucleic Acids (2013)
-
Regeneration of pancreatic islets in vivo by ultrasound-targeted gene therapy
Gene Therapy (2010)
-
Electroporation and ultrasound enhanced non-viral gene delivery in vitro and in vivo
Cell Biology and Toxicology (2010)


