Figure 5
From: Inhibitory effects of autoantibodies on the muscarinic receptors in Sjögren's syndrome

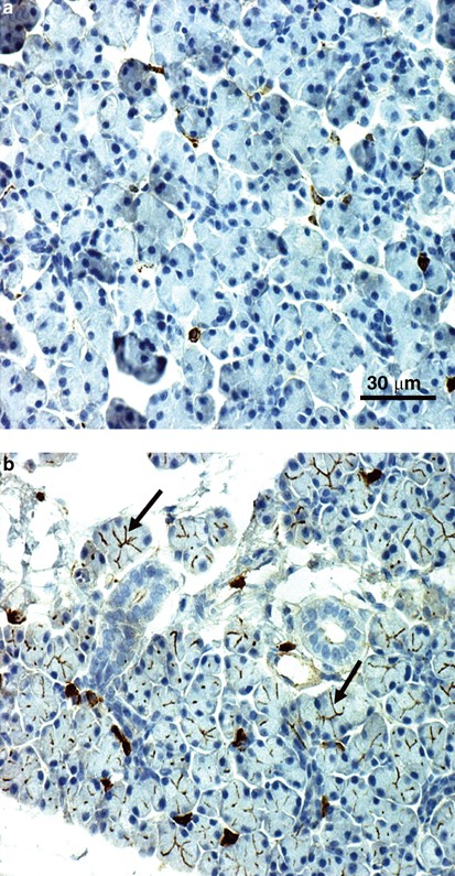
(a) A control tissue that was treated with the secondary antibody alone in the rat parotid acinar cells. (b) AQP-5 expression in the rat parotid acinar cells. Cells were immunostained using a rabbit anti-rat AQP-5 antibody (diluted 1:200 followed by the secondary antibody (diluted 1:200). Many of the dark brown lines (indicated by arrow) exclusively located on the apical membrane in acinar cells are regarded as AQP-5.