Figure 2
From: Angiogenic endothelium-specific nestin expression is enhanced by the first intron of the nestin gene

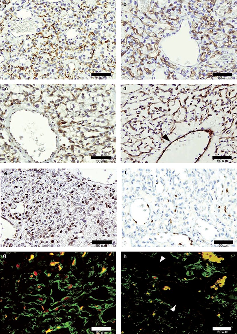
Immunostaining of nestin, hemangioblast markers CD34 and KDR, and proliferation markers PCNA and Ki-67, in hemangioblastomas. (a) nestin; (b) CD34; (c) KDR; (d) vWF; (e) PCNA; (f) Ki-67; (g) and (h) double immunostaining of nestin (green) and Ki-67 (red). (a–f) nestin was visualized brown. Arrowhead in (d) indicates vWF staining along mature-type endothelium. Note that mature-type endothelium is negative for nestin, CD34, and KDR. (g) and (h) yellow is aggregated red blood cells. Arrowheads in (h) indicate nestin-negative mature-type endothelium.