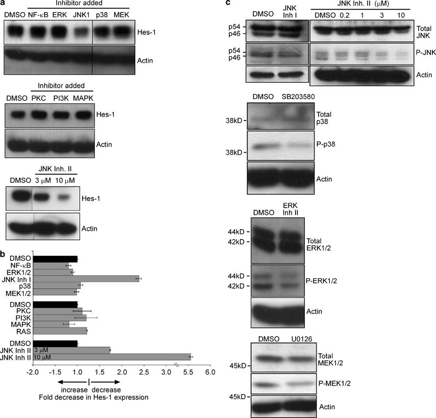
Figure 5

(a) Western blot analysis revealed 1 μM JNK inhibitor I (a peptide inhibitor) significantly reduced Hes-1 protein expression in confluent EC, while other inhibitors had little to no effect on Hes-1 expression. The results were confirmed using JNK inhibitor II (a pharmacologic inhibitor, at 3 μM and 10 μM). Representative results from 3 to 4 independent experiments are shown. (b) The fold decrease in Hes-1 expression was calculated from the Western blot experiments, combined, and shown here in graphical form. A value of 1.0 was assigned to DMSO-treated confluent EC (control) and changes in expression calculated. In this figure, negative numbers represent an increase in expression while positive numbers indicate a decrease in expression. Only the inhibition of JNK resulted in a significant decrease in Hes-1 expression (JNK inhibitor I: 2.4±0.08-fold decrease; JNK inhibitor II (3 μM): 1.7±0.01-fold decrease; and JNK inhibitor II (10 μM): 5.6±0.04-fold decrease). (c) Western blot analysis for total and phosphorylated JNK demonstrated that JNK inhibitor I (1 μM) and JNK inhibitor II (3 and 10 μM) blocked phosphorylation. The blockade was not complete at any drug concentration evaluated for JNK inhibitor I, but JNK inhibitor II at the published concentrations of 3 and 10 μM was very effective.27 Phosphorylation of other members of the MAPK superfamily (ERK1/2, MEK1/2, and p38) were successfully blocked by their respective inhibitors under our experimental conditions.