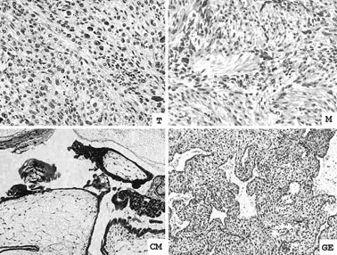
Figure 1

Representative histology of case #5. T: placental site trophoblastic tumor (PSTT) (H&E × 40), M: normal myometrium adjacent to the PSTT (H&E, × 40), CM: complete mole (H&E, × 20), GE: gestational endometrium associated with complete mole (H&E, × 20).