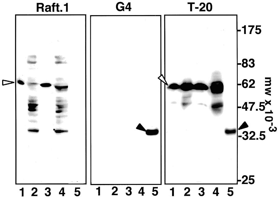
Figure 5

Confirmation of the antigen molecules with GST-Gβ1 and β2 fusion proteins. Purified GST-Gβ fusion protein (lanes 1 and 3, open triangle) and DH5α lysate (lanes 2 and 4) were separated by SDS PAGE in a 10% acrylamide gel and transferred to a nitrocellulose membrane in triplicate. The Triton X-100 extracts from the rat brain were subjected to lane 5 as a source of Gβ5 (closed triangle). The blot was probed with Raft.1, G4, or T-20. GST-Gβ 1 in lanes 1 and 2, GST-Gβ 2 in lanes 3 and 4, rat brain extracts in lane 5.