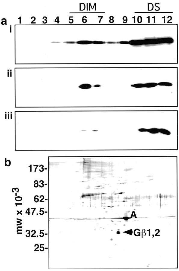
Figure 7

Subcellular distribution of Gβ1 and 2 by sucrose density gradient centrifugation analysis. a, Triton lysates from whole cells (i), plasma membranes (ii), and the other microsome fractions (iii) were separated by sucrose density gradient centrifugation. Each fraction was analyzed by Western blotting and probed with T-20. b, Raft proteins prepared from plasma membrane (DIM in ii) were separated by 2-D PAGE and were silver stained.