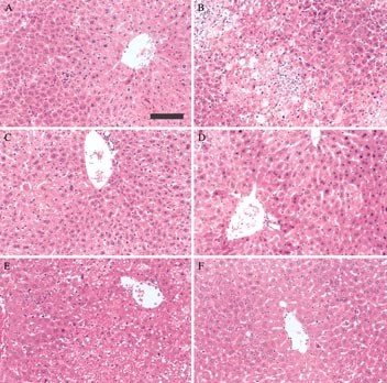
Figure 8

Effect of AxCA-mMIFS or AxCA-mMIFAS on histologic changes in the liver of mice treated with BCG and LPS. A, BCG alone; B, BCG/LPS; C, BCG/AxCA-mMIFS; D, BCG/AxCA-mMIFAS; E, BCG/LPS/AxCA-MIFS; F, BCG/LPS/AxCA-MIFAS. The arrow indicates the marked infiltration of mononuclear cells. The scale bar in A indicates 400 ÎĽm (original magnification, Ă—50)