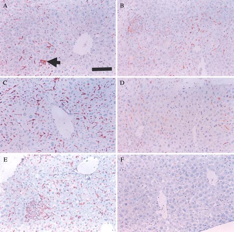
Figure 9

Immunohistochemical localization of F4/80 antigen on infiltrated macrophages in the livers treated with BCG-primed LPS challenge in the presence or absence of transfection with AxCA-mMIFS or AxCA-mMIFAS. A, BCG alone; B, BCG/LPS; C, BCG/AxCA-mMIFS; D, BCG/AxCA-mMIFAS; E, BCG/LPS/AxCA-MIFS; F, BCG/LPS/AxCA-MIFAS. Thearrow indicates the positive staining of antigen F4/80. The scale bar in A indicates 400 ÎĽm (original magnification, Ă—50).