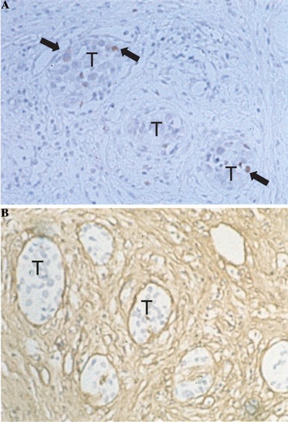
Figure 4

Immunohistochemical findings. (A) The immunodetection of proliferating cells (by Ki-67 antigen staining) reveals positive staining in several tumor cells (arrows) within the tumor nests. (B) The immunolocalization of tenascin shows an extensive peritumoral staining indicating significant new formation of matrix material close to the tumor nests (T). Original magnification, × 400.