Figure 11

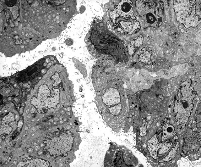
High-grade serous carcinoma. The nuclei are markedly irregular and often contain prominent nucleoli. The cell membranes are closely apposed and microvilli are restricted to the apical surface of the papillae (× 5000).

High-grade serous carcinoma. The nuclei are markedly irregular and often contain prominent nucleoli. The cell membranes are closely apposed and microvilli are restricted to the apical surface of the papillae (× 5000).