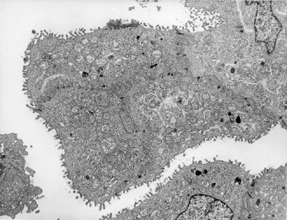
Figure 12 | Modern Pathology